Ästhetische Korrekturen mit Komposit
Leider ist das ästhetische Ergebnis trotz sorgfältiger Farbauswahl in einigen Fällen eher unbefriedigend, da die Form der Zähne verändert erscheint. Das Beispiel der Lückenschlüsse belegt anschaulich einen Grundsatz der Ästhetischen Zahnheilkunde: Die Form ist immer wichtiger als die Farbe!
Was ist damit gemeint? Ganz einfach: Wenn die Farbe einer Restauration nicht passt, die Form aber korrekt ist, so wirkt das Ergebnis zwar nicht schön, sieht jedoch immer noch nach „Zahn“ aus. Stimmt hingegen die Farbe perfekt, die Form aber nicht, so fällt die Restauration zwar nicht auf, der Gesamteindruck ist aber kompromittiert. Im Falle eines Lückenschlusses in der Front haben der Verlauf und die Krümmung der mesialen und distalen Randleisten der Labialfläche ganz entscheidenden Einfluss auf das ästhetische Erscheinungsbild.
Grundform verändert: "Das sind nicht mehr meine Zähne!"
Schon früh wurde der entscheidende Einfluss der Randleisten auf die Grundform und somit das Gesamterscheinungsbild des Frontzahnes festgestellt. Bei gleicher Zahnbreite wurden so verschiedene Grundtypen der Schneidezahnformen definiert: dreieckig, rechteckig und ovoid. Bei einer dreieckigen Grundform sind die Randleisten meist gerade. Bei rechteckigen Zähnen weisen die Randleisten im zervikalen Drittel eine Wölbung zu den Nachbarzähnen hin auf, während der ovoide Typ eine mehr oder weniger gleichmäßige Wölbung über die ganze Kronenlänge zeigt (Abb. 1).
Wird bei einem Lückenschluss also die Form bzw. Krümmung der Randleisten verändert, so hat dies unweigerlich zur Folge, dass das Gesamterscheinungsbild des betreffenden Zahnes sich ebenfalls wandelt. Im ungünstigsten Fall kann dies dazu führen, dass der so entstandene Zahntyp gar nicht mehr zur Gesichtsform passt. Der Patient kann nicht erklären, was ihm anschließend missfällt, aber typisch ist dann die Aussage „Das bin ich nicht mehr!“ oder „Das sind nicht mehr meine Zähne!“.
Wird bei einem Lückenschluss also die Form bzw. Krümmung der Randleisten verändert, so hat dies unweigerlich zur Folge, dass das Gesamterscheinungsbild des betreffenden Zahnes sich ebenfalls wandelt. Im ungünstigsten Fall kann dies dazu führen, dass der so entstandene Zahntyp gar nicht mehr zur Gesichtsform passt. Der Patient kann nicht erklären, was ihm anschließend missfällt, aber typisch ist dann die Aussage „Das bin ich nicht mehr!“ oder „Das sind nicht mehr meine Zähne!“.
Ausgangssituationen im Frontzahnbereich
Um eine leicht nachvollziehbare Systematik für den Praktiker zu postulieren, muss man zuerst zwischen den beiden grundsätzlichen Ausgangssituationen unterscheiden: dem Diasthema, bei dem die Anrainerzähne insgesamt über die gesamt Kronenlänge verbreitert werden, und dem optischen Verschluss eines dunklen, interproximalen Dreiecks, wo nur in der zervikalen Hälfte geschlossen wird.
Um Fehler und Probleme zu vermeiden ist die Beachtung gewisser Grundregeln bei der Ausführung hilfreich. So sollte der Behandler sich konsequent angewöhnen bei allen Arten der Behandlung approximaler Defekte oder von Lückenschlüssen, immer erst die Restauration an einem Zahn komplett fertig zu stellen, einschließlich der zumindest groben Ausarbeitung. Erst anschließend sollte er mit dem gegenüberliegenden Zahn beginnen. Dabei ist bei „asymmetrischen“ Ausgangssituationen, also ungleich großer Defektausdehnung, zuerst mit der Behandlung des kleineren oder schwieriger zugänglichen Defekts zu beginnen. So verhindert man, sich selber den Zugang zur Restauration am Nachbarzahn zu verlegen. Diese Regel gilt sowohl für den Front- wie für den Seitenzahnbereich. Außerdem ist bei der gleichzeitigen Bearbeitung zweier approximaler Restaurationen ein suffizienter Kontaktpunkt meist nicht zu gewährleisten. Im Frontzahnbereich besteht zusätzlich die Gefahr, den Blick für die Symmetrie zu verlieren, was am Ende unterschiedlich breite Zähne zur Folge hätte.
Der Diasthemaschluss
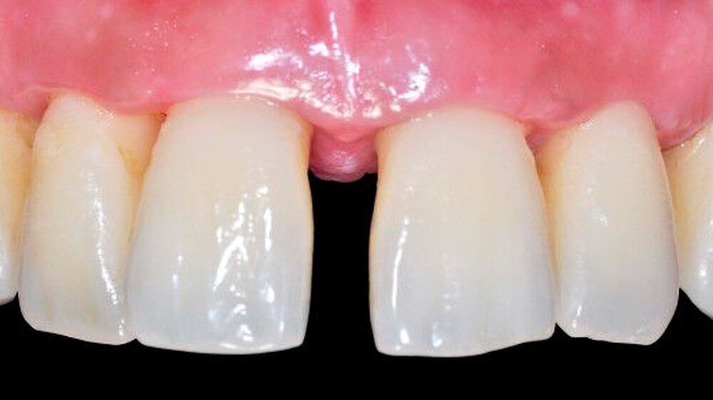
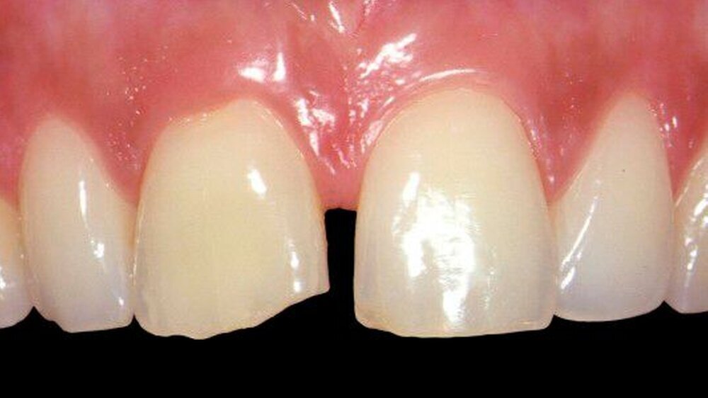
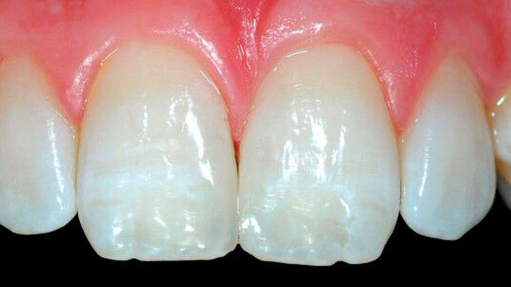
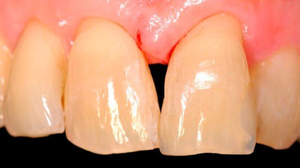
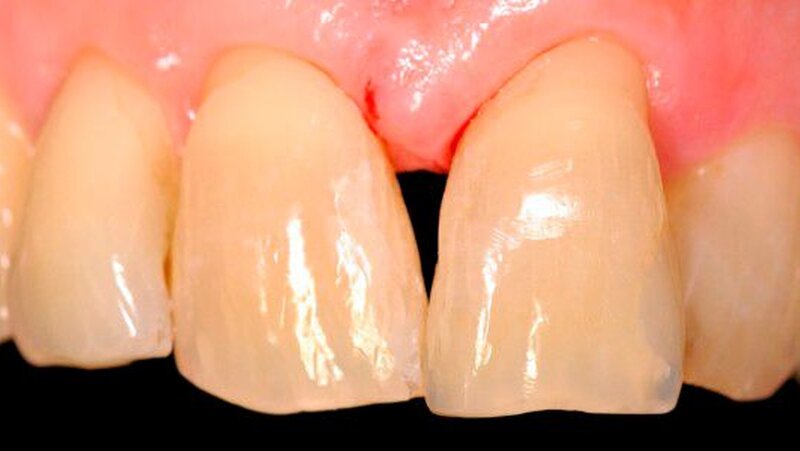
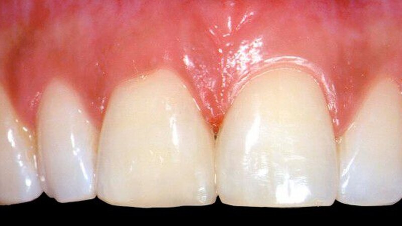
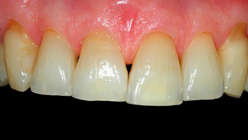
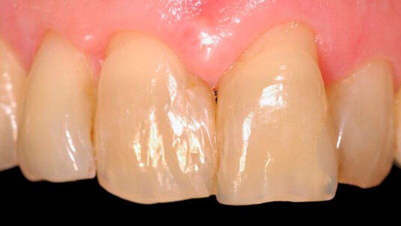
Die klinisch einfacher zu meisternde Herausforderung ist der klassische Diasthemaschluss. Hierbei werden die Zähne auf der ganzen Länge der klinischen Krone ziemlich gleichmäßig verbreitert. Eine Änderung der Grundform ist in der Regel weder notwendig noch erwünscht. Zu diesem Zweck muss durch die Restauration die Randleiste des Zahnes im Sinne einer Parallelverschiebung ohne Änderung der Krümmung auf den Nachbarzahn, bzw. die Lücke zu verlegt werden. Erfolgt diese Verschiebung nicht und die Lücke wird einfach nur geschlossen, so stimmt anschließend die Zahnform nicht mehr, da die Randleiste zu weit zum Zentrum der Labialfläche platziert ist und eben nicht am Rand liegt, wo sie hingehört (Abb. 2a und b).
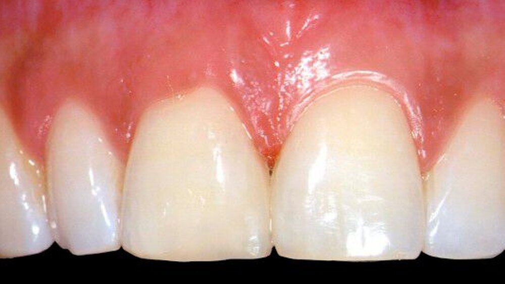
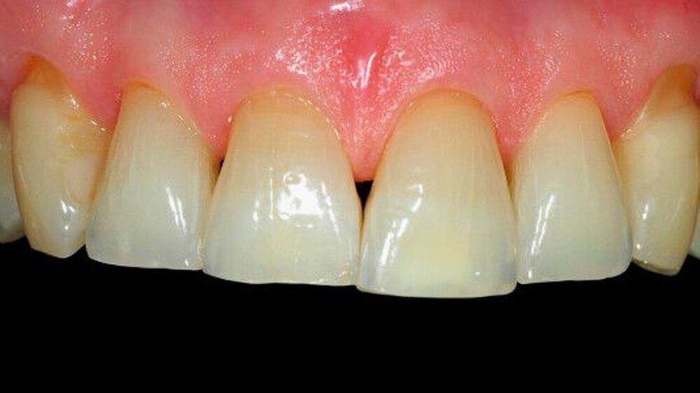
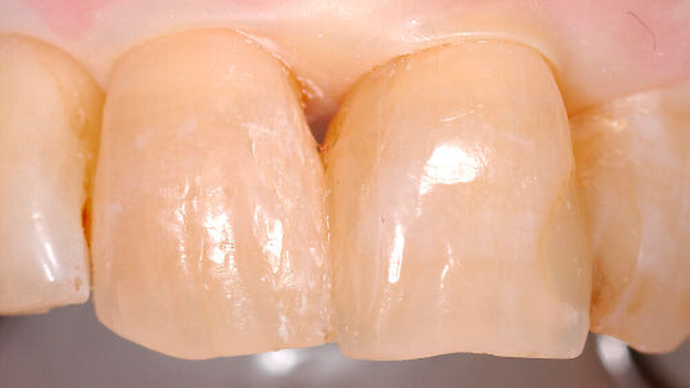
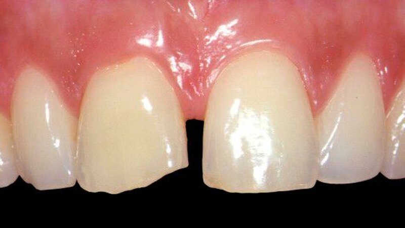
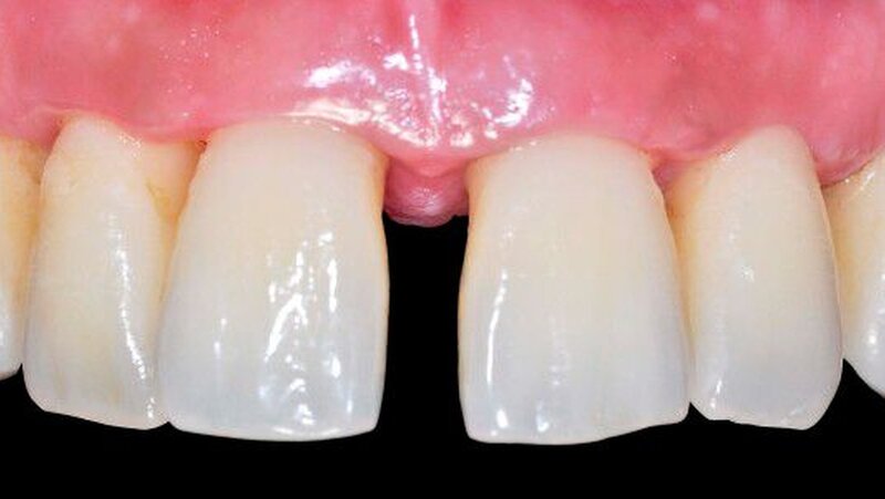
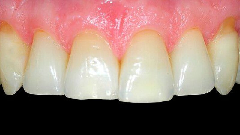
Um diese Parallelverschiebung zu bewerkstelligen, sollte das Komposit nicht nur approximal aufgetragen werden, sondern dünn auslaufend bis auf die vestibuläre Fläche des Zahnes gezogen werden. So wird das notwendige Volumen geschaffen, um die Randleiste zu verlegen, während gleichzeitig das dünn auslaufende Komposit den Farbübergang verbessert (Abb. 3a und b).
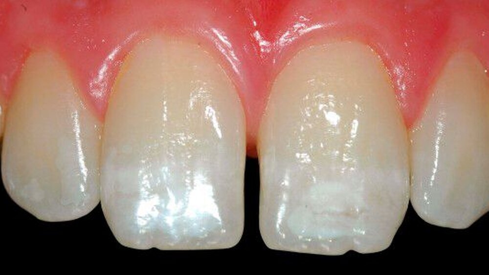
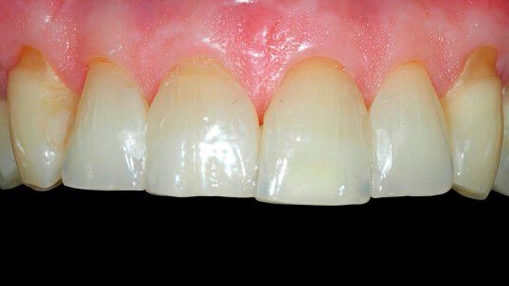
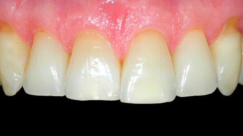
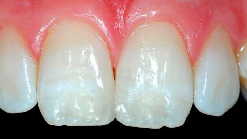
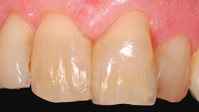
Bei der Auswahl der Kompositmassen für den Diasthemaschluss gibt es wiederum eine einfache Regel: Bei kleinen Lücken, die nicht breiter als zwei Millimeter sind, pro Zahn also maximal um einen Millimeter verbreitert werden muss, wird ausschließlich Schmelzmasse verwendet. Ist das Diasthema breiter als zwei Millimeter, muss pro Zahn also mehr als ein Millimeter verbreitert werden, so sollte zuerst eine Dentinmasse appliziert werden, die anschließend mit einer Schmelzschicht überzogen wird. Käme bei diesen breiteren Lücken nur Schmelzmasse zum Einsatz, so würden die Aufbauten unweigerlich zu transparent und erschienen vor dem dunklen Hintergrund der Mundhöhle zu grau und zu dunkel. Dabei sollte die Dentinmasse ebenfalls dünn auslaufend auf die Labialfläche herum gezogen werden, um die Transparenz des natürlichen Schmelzes abzumildern. Überlagert man den Bereich des natürlichen Schmelzes nicht mit etwas Dentinmasse, besteht die Gefahr, dass die Restauration hinterher streifig wirkt. Dieser Eindruck entsteht durch den Wechsel von natürlicher Opazität (Dentin des Zahnes), gefolgt von natürlicher Transparenz (echter Schmelz), dann der Opazität der Dentinmasse und zuletzt wieder der Transparenz der Schmelzmasse des Komposits (Abb. 4a – 5b).
Ein Problem beim Diasthemaschluss ist immer die Kontaktpunktgestaltung. Auch wenn man immer erst die Restauration an einem Zahn komplett fertig stellt, bevor man mit dem Nachbarn beginnt, ist es meist nicht möglich, einen Keil zu applizieren. Man kann keinen ausreichenden Separationsdruck aufbauen, und gleichzeitig besteht die Gefahr, dass der Keil in der zervikalen Region die Matrize so verformt, dass hier anschließend eine unschöne Delle in der Restauration zurückbleibt. Ein strammer Kontaktpunkt ist eigentlich nur erreichbar, wenn man während des Aushärtens mit einem Instrument manuell separiert. Aber eine Patentlösung, die immer voraussagbar zum Erfolg führt, gibt es leider nicht.
Schluss von dunklen interproximalen Dreiecken
Da ist es schön, dass sich das Problem des strammen Kontaktpunktes bei dunklen interproximalen Dreiecken wenigstens nicht stellt, da hier der natürliche Kontakt vorhanden ist. Dafür ist aber insgesamt diese Art der ästhetischen Korrekturen handwerklich deutlich anspruchsvoller, wegen des schwierigen Zugangs zur Modellation.
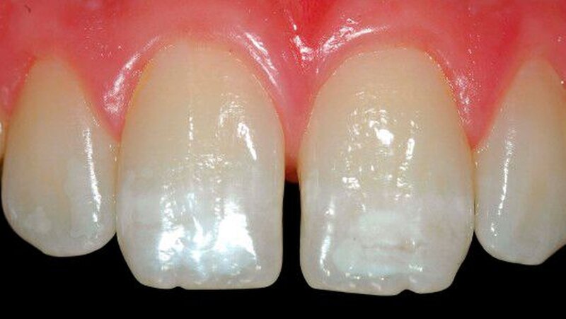
Soll ein dunkles Dreieck optisch geschlossen werden, stellt sich ein anderes, ästhetisches Problem: Die zu schließende Lücke befindet sich in der zervikalen Hälfte. Versucht man nun, was ja naheliegend erscheint, in diesem Bereich die Nachbarzähne von vestibulär zu verbreitern, so verändert man dort zwangsläufig die Krümmung der Randleisten zum Approximalbereich hin. Wie jedoch oben aufgezeigt, führt eine stärkere Wölbung im zervikalen Bereich automatisch zu einer rechteckigen Grundform des Zahnes (Abb. 6a - c).
Einen Ausweg aus diesem Dilemma fand der bekannte Zahntechnikermeister Willy Geller aus Zürich schon vor langer Zeit: Wenn man vestibulär das Dreieck nicht schließen kann, ohne die Zahnform zu verändern, dann muss der Lückenschluss von palatinal erfolgen. Diese Art der Verbreiterung wird von Technikern als „Geller-Flügel“ bezeichnet. Dies sind Verbreiterungen, die von palatinal angesetzt werden und in der Tiefe des Approximalraums optisch das dunkle Dreieck verschließen, ohne die Randleistenform zu verändern (Abb. 7).
Diese „Geller-Flügel“ sind mit Komposit nicht einfach zu modellieren. Die Verwendung von Kofferdam ist hier unerlässlich, nicht nur zur Trockenlegung, sondern auch, um die Interdentalpapille durch die Spannung des Gummis nach zervikal zu verdrängen. So hat man etwas mehr Platz zum Arbeiten und kann ggf. noch die Oberfläche des Kofferdams nutzen, um das Komposit dort aufzulegen. Dies erleichtert die Gestaltung der basalen Seite der „Geller-Flügel“. Der Versuch, diese palatinalen Verbreiterungen durch eine Matrize auszuformen, bleibt meist erfolglos, so dass sie fast immer frei modelliert werden müssen (Abb. 8a – g).
Fazit
So einfach Lückenschlüsse mit Komposit auf den ersten Blick auch scheinen mögen: Sie stellen hohe Anforderungen an die manuelle Geschicklichkeit und die Kenntnis ästhetischer Grundprinzipien an den behandelnden Zahnarzt. Es wird schnell klar, dass die korrekte Farbauswahl, im Gegensatz zu anderen Füllungstherapien, zwar auch wichtig, nicht aber von vorrangiger Bedeutung ist. Absolut essenziell ist dagegen der bewusste Umgang mit der Form der Randleisten. Die hier erwähnten „Rezepte“ sind dabei sehr hilfreich und helfen zumindest, einige grundsätzliche Probleme und Fehler zu vermeiden.
Wolfgang-M. BoerPraxis für Ästhetische ZahnheilkundeKölner Str. 73D-53879 Euskirchen
Der Beitrag ist in erster Fassung im BZB erschienen. Der Autor hat das Thema aktuell auf dem Sylter Symposium für Ästhetische Zahnmedizin präsentiert.























