Benigner odontogener Tumor im Unterkiefer
Einleitung
Definitionsgemäß können odontogene Tumoren (OT) in jedem Lebensabschnitt aus epithelialen, ektomesenchymalen und/ oder mesenchymalen Bestandteilen zahnbildender Gewebe entstehen. Entsprechend treten OT ausschließlich im Knochen und Weichgewebe der maxillofazialen Region auf (Philipsen et al. 2005). Erstmals wurde im Jahre 1839 ein odontogener Tumor im Rahmen eines Fallberichts im American Journal of Dental Science (AJDS) beschrieben (Rodriguez 1839).
Gemäß der WHO-Klassifikation der Kopf- und Halstumoren aus dem Jahre 2005 werden die Odontome den gutartigen Tumoren des odontogenen Apparats zugeordnet und gehören zur Gruppe der odontogenen epithelialen Tumoren mit odontogenem Ektomesenchym mit oder ohne Hartsubstanzbildung (Philipsen et al. 2005). Zusammen mit dem Ameloblastom (14,02-48,6 Prozent) und dem keratozystischen odontogenen Tumor (KOT) (12,15-38,9 Prozent) gehört das Odontom mit einem Anteil von 4,7-56,7 Prozent zu den häufigsten odontogenen Tumoren (Sekerci et al. 2015).
Klinisch und histopathologisch kann das Odontom - eine tumorähnliche Fehlbildung (Hamartom) - in zwei Untergruppen unterteilt werden: komplexer (complex) Typ und zusammengesetzter (compound) Typ. Die Unterscheidung ergibt sich dadurch, dass der zusammengesetzte Typ im Gegensatz zum komplexen Typ aufgrund des Vorhandenseins aller zahnbildenden Substanzen, die einander zugeordnet werden können, zahnähnliche Strukturen unterschiedlichster Anzahl, sogenannte Odontoide, enthält (Philipsen et al. 2005).
Komplexe Odontome scheinen eher häufiger aufzutreten als zusammengesetzte Odontome (Boffano et al. 2012). Die Verteilung zwischen den Geschlechtern ist in etwa gleich, wobei das Durchschnittsalter in den meisten Untersuchungen zwischen 20 und 30 Jahren liegt (Boffano et al. 2012). Bezüglich der Lokalisation zeigen Odontome eine ähnliche Inzidenz sowohl für den Ober- wie auch für den Unterkiefer. Komplexe Odontome sind häufiger im posterioren Unterkiefer, zusammengesetzte Odontome hingegen häufiger im anterioren Oberkiefer anzutreffen (Boffano et al. 2012).
Das Ziel dieses Fallberichts ist, das schrittweise Vorgehen bei der Entfernung eines zusammengesetzten Odontoms im Eckzahn-Prämolarenbereich des Unterkiefers darzustellen.
Fallbericht
Anamnese
Ein 16-jähriger Patient wurde von seinem Zahnarzt aufgrund einer langsam aber stetig größer werdenden knöchernen Vorwölbung am Alveolarfortsatz regio 32-34 lingual zur diagnostischen Abklärung und entsprechenden Therapie an die Klinik für Mund-, Kiefer-, Gesichtschirurgie und Oralchirurgie des Luzerner Kantonsspitals in Luzern überwiesen. Anamnestisch war der Patient gesund, subjektiv hatte er keine Beschwerden. Eine kieferorthopädische Behandlung war ein Jahr zuvor abgeschlossen worden, wobei bei der radiologischen Routinekontrolle zufällig eine radioopake Veränderung im Bereich der Wurzeln der Zähne 33 und 34 imponierte.
Klinischer Befund
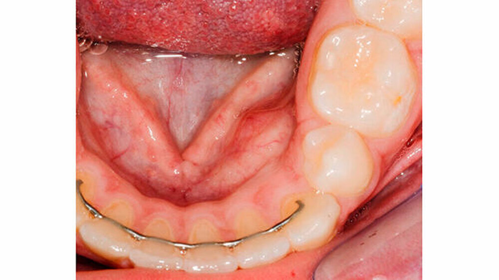
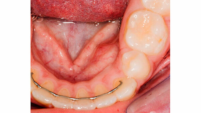
Der extraorale Befund zeigte eine normale Sensibilität der Unterlippe. Intraoral am Alveolarfortsatz des linken Unterkiefers regio 32-34 lingual konnte eine circa 2×2,5 cm große, schmerzreie knöcherne Vorwölbung palpiert werden (Abbildung 1). Die Zähne 31-36 reagierten normal auf den Test mit CO2-Schnee.
Radiologischer Befund
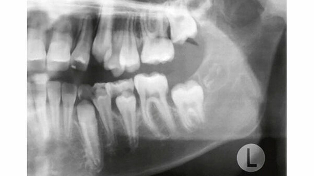
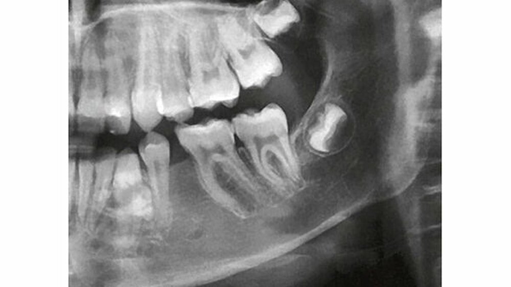
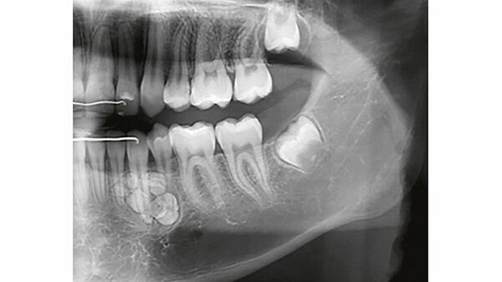
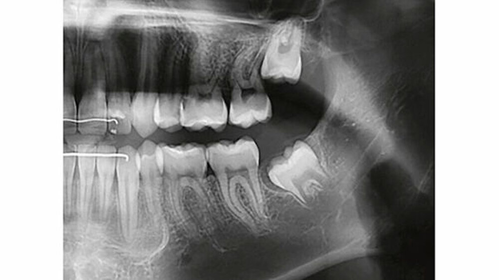
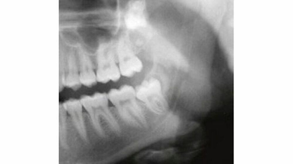
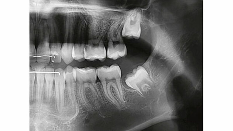
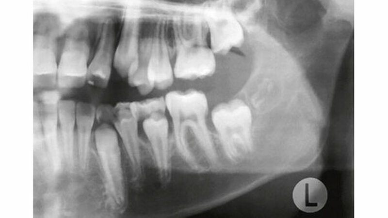
Auf dem mitgelieferten vier Jahre zuvor erstellten Orthopantomogramm (OPT) waren noch keine Hinweise auf das Vorhandensein einer Veränderung regio 32-34 sichtbar (Abbildung 2). Ein Jahr später konnte anhand des OPT bereits eine radioopake Struktur regio 33, 34 festgestellt werden (Abbildung 3). Auf dem aktuellen OPT und digitalen Volumentomogramm (DVT) zeigten sich regio 32-34 lingual multiple, rundliche, unterschiedlich große Radioopazitäten, umgeben von einer radioluzenten Zone.
Die Ränder der radioluzenten Zone waren sehr gut zum umgebenden Alveolarknochen abgrenzbar (Abbildung 4, 5). Eine dreidimensionale Diagnostik (DVT) macht aus dreierlei Gründen Sinn: 1. Erleichterung der Patientenaufklärung, 2. optimale Lagebestimmung des Tumors in Bezug zu benachbarten anatomischen Strukturen wie Nachbarzähne und Nerven, 3. präoperative Bestimmung der Anzahl zahnähnlicher Strukturen (zusammengesetztes Odontom), um kontrollieren zu können, ob während des operativen Eingriffs alle hartgewebigen Tumoranteile entfernt worden sind.
Therapie
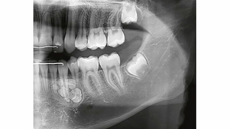
Auf Wunsch des Patienten wurde der operative Eingriff in Intubationsnarkose (ITN) durchgeführt. Nach der Einleitung der ITN sowie der üblichen Lagerung und Desinfektion des Patienten wurde lingual und bukkal von regio 41 bis regio 36 eine Terminalanästhesie (Ultracain D-S forte mit Adrenalin 1: 100.000, Sanofi-Aventis SA, Schweiz) gesetzt. Nach intrasulkulärer Inzision von regio 41 bis 36 lingual erfolgte die subperiostale Darstellung des Tumors (Abbildung 6). Nach Osteotomie der lingualen Kortikalis über dem Tumor wurde die Bindegewebskapsel eröffnet, und die hartgewebigen Tumoranteile konnten alle entfernt werden. Es folgte die vorsichtige Entfernung der gesamten Bindegewebskapsel (Abbildung 7).
Der Knochendefekt, der sich bis zu den Wurzeln der Zähne 33 und 34 ausdehnte, wurde nach gründlichem Ausspülen mittels physiologischer Kochsalzlösung mit einem Kollagenvlies (TissuFleece E 7×3 cm, Baxter Healthcare SA, Schweiz) gefüllt. Nach der Repositionierung des Mukoperiostallappens erfolgte der Primärverschluss mit interdentalen vertikalen Matratzennähten (Prolene 5-0, Ethicon, Fa. Johnson & Johnson, Norderstedt). Im Anschluss an den chirurgischen Eingriff wurde eine 0,1-prozentige Chlorhexidinspülung (Formula hospitalis, Zentrum für Spitalpharmazie, Luzerner Kantonsspital) dreimal täglich für zehn Tage verordnet.
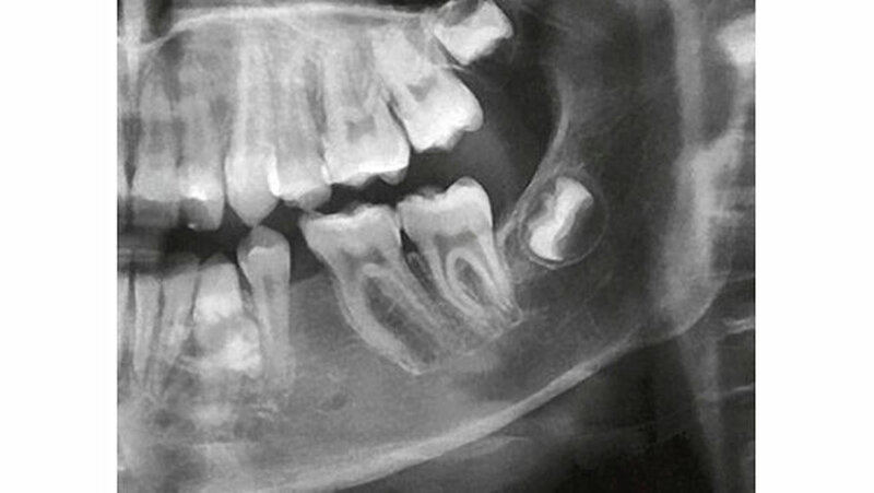
Anlässlich der Nahtentfernung sieben Tage nach dem Eingriff zeigte sich ein beschwerdefreier Patient bei stadiengerechter und reizfreier Wundheilung. Die Zähne 31-36 reagierten normal auf den CO2-Schnee. Bei der Nachkontrolle sieben Monate nach dem Eingriff präsentierte sich klinisch eine reizfreie Situation und radiologisch (OPT) eine bereits stark fortgeschrittene beziehungsweise vollständige Verknöcherung im Alveolarknochenbereich regio 32-34 (Abbildung 8, 9). Die Zähne 31-36 reagierten normal auf den CO2-Schnee.
Diagnose
Basierend auf dem makroskopischen klinischen Bild des Resektats (Abbildung 10) und der mittels Trenndünnschliff durchgeführten histologischen Untersuchung eines hartgewebigen Tumoranteils (Odontoid) wurde die Diagnose eines zusammengesetzten (compound) Odontom gestellt.
Diskussion
Sowohl das komplexe als auch das zusammengesetzte Odontom sind schmerzlose, langsam wachsende, benigne Veränderungen, deren Wachstum selbstlimitierend ist. Beide Odontomtypen zeigen bei histologischer Betrachtung mit Schmelz, Dentin und Zement sowohl alle Zahnhartsubstanzen als auch Pulpagewebe, wobei diese beim komplexen Typ willkürlich miteinander vermischt, beim zusammengesetzten Typ einem natürlichen Zahn entsprechend angeordnet und bereits ohne Vergrößerung deutlich als zahnähnliche Strukturen (Odontoide, Dentikel) zu erkennen sind. Beide Läsionen sind von einer dünnen, fibrösen Bindegewebskapsel umgeben (Morgan 2011, Philipsen et al. 2005, Reichart & Jundt 2008).
Radiologisch können beim komplexen Odontom unterschiedliche Stadien voneinander unterschieden werden: Initial ist auf dem Röntgenbild kaum eine Radioopazität erkennbar (weiches Odontom). Mit zunehmender Mineralisation nehmen entsprechend Kalzifikationen zu, wodurch sich die Radioluzenz stetig verringert. Ausgereifte komplexe Odontome imponieren schließlich als runde oder ovoide Radioopazitäten mit gut erkennbarem Randbereich (Reichart & Jundt 2008).
Das zusammengesetzte Odontom präsentiert sich radiologisch durch Radioopazitäten unterschiedlicher Anzahl und Größe, die kleinen Zahngebilden ähnlich sehen (Reichart & Jundt 2008). Die Ätiologie der Odontome ist unklar. Es existieren verschiedene Hypothesen: lokales Trauma während der ersten Dentition, Infektion, familiäre Vorgeschichte, hereditäre Anomalie (Hermann-Syndrom, Gardner-Syndrom) (Boffano et al. 2010), odontoblastische Hyperaktivität oder spontane genetische Mutation (Boffano et al. 2012, Hammoudeh et al. 2009). Das komplexe Odontom ist in 10 bis 44,4 Prozent der Fälle, das zusammengesetzte Odontom sogar in 40 bis 56 Prozent mit einem oder mehreren nicht durchgebrochenen Zähnen assoziiert (Reichart & Jundt 2008). Beide Tumoren perforieren selten die Mundschleimhaut (Vlcek et al. 2012).
Es gibt jedoch auch Fallberichte, die in die Mundhöhle durchgebrochene Odontome beschreiben. In solchen Fällen zeigten sich die häufigsten Symptome in Form von Schmerzen und Schwellungen aufgrund sekundärer Infektionen (Erdogan et al. 2014, Serra-Serra et al. 2009).
Differenzialdiagnostisch muss beim radiologischen Verdacht auf ein komplexes beziehungsweise zusammengesetztes Odontom im frühen Stadium aufgrund der geringen Radioopazität auch an einen keratozystischen odontogenen Tumor (KOT) gedacht werden (Zürcher et al. 2014).
Da der KOT mit einer Häufigkeit von 12,15-38,9 Prozent (Sekerci et al. 2015) zu den häufigsten odontogenen Tumoren gehört, sich lokal destruierend verhält und eine hohe Rezidivrate zeigt, ist eine klare Abgrenzung notwendig. Das frühe Stadium eines Odontoms kann auch Ähnlichkeit mit einer lateralen radikulären beziehungsweise lateralen parodontalen Zyste aufweisen (Zürcher et al. 2014). Die radiologische Abgrenzung eines sich entwickelnden komplexen Odontoms zum ameloblastischen Fibroodontom (AFO) kann teilweise ebenfalls erschwert sein (Philipsen et al. 2005).
Das AFO ist ein gutartiger, meist asymptomatisch entstehender Tumor, der mit einer Häufigkeit von 0,3-3,7 Prozent relativ selten auftritt (Reichart & Jundt 2008). Das AFO weist die gleichen histologischen Eigenschaften wie das ameloblastische Fibrom auf, mit dem Unterschied, dass zusätzlich Dentin und Schmelz vorhanden sind (Philipsen et al. 2005) (Abbildung 11). Das AFO ist wie das Odontom meistens mit verlagerten Zähnen assoziiert (Reichart & Jundt 2008).
Die Therapie der Wahl ist die chirurgische Entfernung des gesamten Tumors einschließlich der Bindegewebskapsel mit anschließender histopathologischer Untersuchung des Exzisats zur Diagnosesicherung (Iatrou et al. 2010). Mit diesem Vorgehen können mögliche Probleme wie ein Durchbrechen des Odotoms, das Verschieben von Nachbarzähnen oder Wurzelresorptionen an Nachbarzähnen vermieden werden. Die Prognose für einen spontanen Durchbruch eines retinierten beziehungsweise impaktierten Zahns ist nach der Entfernung des Tumors sehr gut (Hisatomi et al. 2002).
Ob nach der Entfernung des Durchbruchshindernisses eine Anschlingung zur definitiven Einreihung des Zahns notwendig ist, hängt von der Lage und dem Patientenalter ab (Ashkenazi et al. 2007, Nagaraj et al. 2009).
Im vorliegenden Fall wurde die Knochenhöhle mit einem Kollagenvlies gefüllt. Auf das Auffüllen mit Eigenknochen wurde verzichtet, da der linguale Zugang zur Höhle klein gehalten werden konnte. Die Morbidität konnte aufgrund der Vermeidung einer Knochenentnahmestelle niedrig gehalten werden (Nkenke & Neukam 2014, Nkenke et al. 2001). Auf den Erhalt der Vitalität der Nachbarzähne hatte dieses Vorgehen keinen Einfluss.
Fazit
Odontome sind gutartige, langsam wachsende Neoplasien. Ihr Wachstum ist jedoch selbstlimitierend. Da sie zusammen mit dem Ameloblastom und dem keratozystischen odontogenen Tumor zu den häufigsten odontogenen Tumoren gehören und aufgrund ihrer klinischen Symptomfreiheit meist zufällig auf Panoramaschichtaufnahmen oder Einzelzahnröntgenbildern entdeckt werden, besteht in der täglichen Praxis eine gewisse Wahrscheinlichkeit, die radiologische Verdachtsdiagnose eines Odontoms stellen zu müssen. Besonderer Aufmerksamkeit bedarf es, wenn der Durchbruch von Milchzähnen oder permanenten Zähnen längere Zeit auf sich warten lässt. Nach vollständiger Entfernung sind keine Rezidive bekannt.
Summary
Bassetti R, Tomasetti P, Crameri M, Kuttenberger J: Benign odontogenic tumor in the lower jaw: A case report (in German). SWISS DENTAL JOURNAL SSO 126: 361–365 (2016)
Odontomas are classified within the group of odontogenic epithelial tumors with odontogenic ectomesenchyme with or without hard tissue formation. Together with ameloblastomas and keratocystic odontogenic tumors they are counted among the most common odontogenic tumors. Their growth is selflimiting and mostly, they are discovered accidentally as part of an x-ray examination. A common finding is that odontomas are associated with an unerupted permanent tooth. The aim of the present case report is to present the step-by-step procedure of a surgical odontoma removal in the lingual premolar/canine area of the lower jaw.













