"Betroffen ist fast immer der Vierer distal"
Dr. Andrea Thumeyer ist niedergelassene Zahnärztin in Wiesbaden und Vorsitzende der Landesarbeitsgemeinschaft für Jugendzahnpflege in Hessen.
zm-online: Frau Dr. Thumeyer, wie häufig ist Approximalkaries im Milchgebiss?
Dr. Andrea Thumeyer:
Die Statistik sagt, dass nur etwa die Hälfte aller Kinder zahngesund im Milchgebiss bleiben. Die Karieslast verteilt sich auf eine kleine Gruppe von Kindern mit einer frühen Milchzahnkaries und Kindern mit Karies auf den Kauflächen und der Kontaktpunktkaries zwischen der Milchmolaren. Ich würde aus meiner praktischen Erfahrung sagen, dass fast ein Drittel aller Kinder diese Kontaktpunktkaries entwickeln.
Welche Bereiche sind zu welchem Zeitpunkt besonders betroffen?
Zuerst ist fast immer der Vierer distal betroffen, dann folgt der Fünfer mesial. Milchzähne haben durchschnittlich nur eine Schmelzdicke von einem Millimeter, der Schmelz am Vierer distal ist noch dünner, das heißt noch anfälliger. Der Kontaktpunkt 4/5 bildet sich erst in der Gebrauchsphase des Milchgebisses, wobei er zusätzlich häufig flächiger wird. Die anderen Kontaktpunkte im Milchgebiss lösen sich durch die physiologische Lückenbildung eher auf, das Kontaktpunktkariesrisiko sinkt also.
Wann und wie sollten Eltern angesprochen werden, um dieser Kariesform vorzubeugen?
So wie wir die Eltern zur Zahnpflege mit der Zahnbürste anleiten, so leite ich sie zur Verwendung von Zahnseide an: Bei jedem Vorsorgetermin prüfe ich selbst mit der Zahnseide, ob ein Kontaktpunkt vorhanden ist und ob sich dort Plaque befindet. Ich zeige den Eltern die Plaque auf der Zahnseide. Wenn Plaque vorhanden ist, zeige ich den Eltern die Anwendung von Zahnseide mithilfe eines Zahnseidensticks oder des üblichen Fadens - flaches Band finde ich besser als eine runde Zahnseide.
Danach lasse ich die Eltern üben, damit sie in der Anwendung bei ihrem Kind sicher sind. Denn die Pflegehandlung der Eltern soll für das Kind angenehm sein. So müssen manche Eltern schon bei ihrem zweieinhalbjährigen Kind Zahnseide anwenden, manche nur oben oder nur unten und manche gar nicht. Durch dieses individuelle Vorgehen machen fast alle Eltern mit. Übrigens: Interdentalraumbürstchen sind theoretisch anwendbar, passen aber in der Realität nur im Ausnahmefall in die Zahnzwischenräume der Milchmolaren.
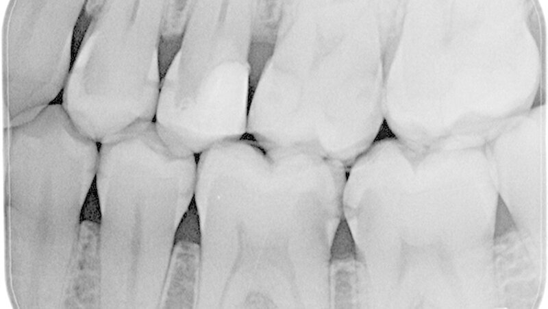
Wie wichtig ist die Bissflügelaufnahme für die Diagnose?
Ich mache immer mehr Bissflügelaufnahmen und immer früher. Denn erkenne ich eine initale Karies früh, kann ich diese mit den Eltern zusammen ausheilen, sprich eine Füllung beziehungsweise abhängig vom Alter und der Kooperationsbereitschaft des Kindes eine Sanierung in Narkose verhindern. Das Röntgenbild zeigt den Eltern das Problem und hilft mir, sie für die Verwendung von Zahnseide zu gewinnen.
Wenn immer mehr Kinder unter drei Jahren durch das neue Verweissystem und die neuen Früherkennungsuntersuchungen zur halbjährlichen zahnärztlichen Vorsorge kommen, dann wird die Zahnseide zum Standardthema für alle Prophylaxekräfte in der Zahnarztpraxis werden.








