Computersimulation prognostiziert Heilungsverlauf von Frakturen
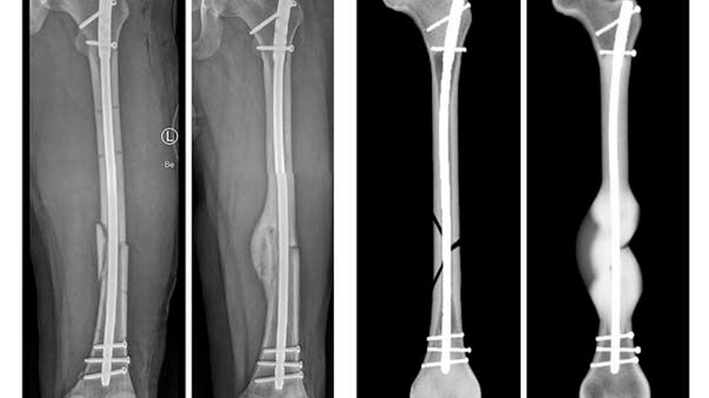
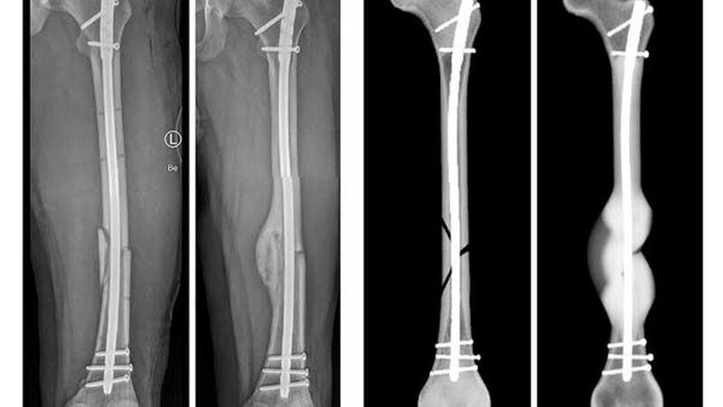
Für die Simulation wurden die klinischen Daten von 36 PatientInnen rückblickend analysiert. Diese hatten sich einen Schaftbruch des Oberschenkelknochens zugezogen, der durch die Implantation von Marknägeln versorgt worden war. Mithilfe von postoperativen Daten konnte die Computersimulation das Heilungsergebnis von 30 Fällen korrekt vorhersagen.
Durchgeführt wurde die Studie von einem Projektteam aus WissenschaftlerInnen und ÄrztInnen der universitären Ausgründung der Uni Ulm „OSORA Medical Fracture Analytics” und der Klinik für Unfall-, Hand-, Plastische und Wiederherstellungschirurgie des UKU.
„Bisherige Studien zum Ulmer Frakturheilungsmodell basierten auf Daten aus Tierversuchen oder aus Versuchen unter Laborbedingungen. Die Kooperation mit dem UKU hat es uns nun ermöglicht, das Heilungsmodell erstmalig mit klinischen Daten zu testen. So konnten wir den Prototypen des Softwaretools weiterentwickeln”, erklärt Dr. Lucas Engelhardt von OSORA. „Das Heilungsmodell ist nicht nur in der Lage, Informationen zu erfolgreichen Heilungsverläufen zu generieren. Es wird ebenso zukünftig möglich sein, das Risiko für Komplikationen bis hin zu Pseudoarthrosen – also knöchernen Fehlheilungen – zu kalkulieren”, ergänzt Dr. Frank Niemeyer, ebenfalls von OSORA.
Jeder Patient heilt anders, jede Fraktur hat ihre Besonderheiten
Unter Berücksichtigung von Größe, Gewicht und Begleiterkrankungen, wie Osteoporose oder Adipositas können dann Behandlungswege für jeden Patienten individuell erstellt werden, schreiben die Autoren. Die Simulation unterstützt dabei die ärztliche Expertise durch Informationen zur Belastungsfähigkeit des Knochens während der Heilung.
Nur in sechs Fällen – von denen zwei Knochenbrüche geheilt und vier nicht geheilt waren – war die Prognose der Computersimulation nicht korrekt. „Jeder Patient heilt anders, jede Fraktur hat ihre Besonderheiten. Wir können aus den Daten ableiten, warum die Simulation in diesen Fällen nicht den realen Frakturheilungsverlauf abbildet, um neben der Biomechanik weitere Einflüsse auf das Knochenwachstum im Modell mit zu berücksichtigen. Diese Informationen sind für die weitere Entwicklung unserer Softwareplattform von größter Bedeutung, um die Präzision der Vorhersage kontinuierlich zu erhöhen”, sagt Engelhardt.
„Die chirurgische Versorgung von Frakturen durch Osteosynthese – also die operative Verbindung von zwei oder mehr Knochen oder Knochenfragmenten – ist ein elementarer Baustein in der Therapie unserer Patienten. Je früher Einflussfaktoren erkannt werden, die den Heilungserfolg gefährden, desto mehr Spielraum hat der behandelnde Arzt für Anpassungen des Therapieplans, so die Autoren. Mit der biomechanischen Analyse und Simulation des Heilungsverlaufs kann zukünftig ein weiteres Hilfsmittel die Behandlungsmöglichkeiten ergänzen und Ärztinnen und Ärzte unterstützen”, sagt PD. Dr. med. Konrad Schütze, Oberarzt an der Klinik für Unfall-, Hand-, Plastische und Wiederherstellungschirurgie.
die Bedeutung digitaler Tools für die Frakturversorgung steigt
Die Frakturheilungssimulation hat zunächst großes Potenzial im digitalen Workflow des Behandlungspfades und wäre eine sinnvolle Ergänzung in einem digitalisierten Krankenhaus, betont Prof. Dr. med. Florian Gebhard, Ärztlicher Direktor der Klinik für Unfall-, Hand-, Plastische und Wiederherstellungschirurgie. Gleichzeitig habe sie große Bedeutung bei der Früherkennung eines abweichenden Heilungsverlaufes.
Das Softwaretool von OSORA wird ab dem kommenden Wintersemester erstmalig in der Lehre an der Universität Ulm und der Technischen Hochschule Ulm eingesetzt, um dem medizinischen und ingenieurswissenschaftlichen Nachwuchs ein digitales Tool zur Vermittlung des Zusammenhangs von Biomechanik und Knochenheilung zur Verfügung zu stellen.
Engelhardt L, Niemeyer F, Christen P, Müller R, Stock K, Blauth M, Urban K, Ignatius A, Simon U. Simulating Metaphyseal Fracture Healing in the Distal Radius. Biomechanics. 2021; 1(1):29-42.Studie



