Das invertierte duktale Papillom
Zu den benignen papillären Läsionen, die dem Gangepithel der kleinen Speicheldrüsen der Mundhöhle entstammen, gehören das intraduktale Papillom, das invertierte duktale Papillom (IDP) und das Sialadenoma papilliferum. Gemäß der aktuellen WHO-Klassifizierung der Speicheldrüsentumoren werden diese als duktale Papillome zusammengefasst.
Klinisch präsentiert sich das IDP als eine symptomlose, noduläre Schwellung von 1 bis 1,5 cm Durchmesser mit einer zentralen Eindellung. Es ist hauptsächlich an der Lippe und an der bukkalen Mukosa, seltener am Gaumen lokalisiert. Das IDP tritt am häufigsten in der sechsten bis achten Lebensdekade auf, wobei Männer häufiger betroffen sind.
Zur Therapie des IDP wird die Exzision der Läsion empfohlen, wobei Rezidive nicht bekannt sind. Dies im Gegensatz zum invertierten Papillom (IP), welches eine auffällige histologische Ähnlichkeit zum IDP aufweist.
Der Fall
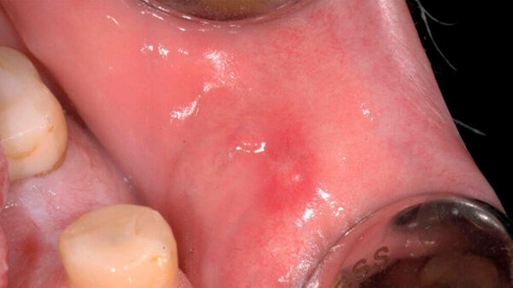
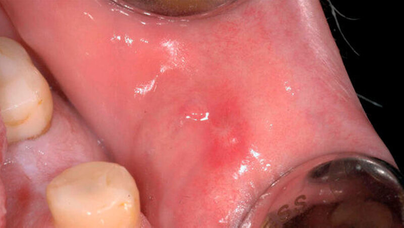
Ein 49 Jahre alter Patient wurde der Klinik zur Abklärung einer seit fünf Jahren persistierenden Mundschleimhautveränderung zugewiesen. Der Mann war zum Zeitpunkt der Erstuntersuchung beschwerdefrei, hatte aber seit zwei Jahren eine kontinuierliche Größenzunahme der Läsion beobachtet. Klinisch präsentierte sich eine runde, gestielte, weiche, verschiebliche, 9×9 mm große, gut durchblutete Veränderung mit einem zentralen Ulkus an der bukkalen Mukosa regio 35 (Abbildung 1).
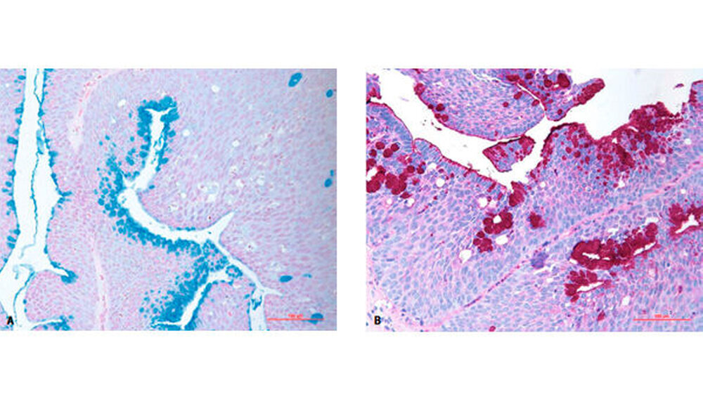
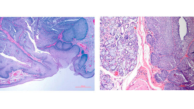
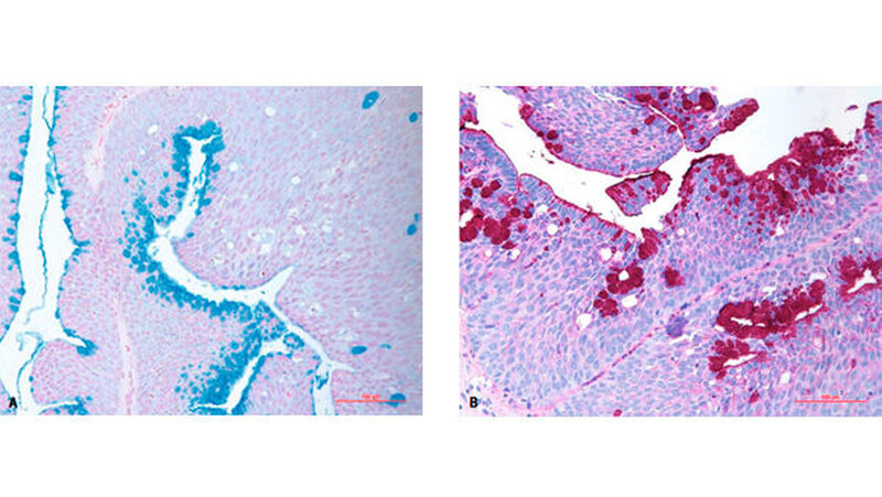
Noch in derselben Sitzung wurde die Veränderung mittels CO2-Laser in toto exzidiert und zur histopathologischen Untersuchung eingesandt (Abbildungen 2 und 3), welche ein IDP ergab. Der mikroskopische Befund zeigte einen vom Oberflächenepithel ausgehenden invertierten Tumor mit glatter Begrenzung zum Stroma.
Das Tumorgewebe war zentral zystisch und bestand aus breiten Verbänden epidermoider Zellen mit papillären Projektionen ins Lumen und eingestreuten schleimbildenden Zellen. Angrenzend zum neoplastischen Gewebe erkennt man eine reguläre kleine Speicheldrüse (Abbildungen 4 bis 6). Die Wundheilung verlief komplikationslos (Abbildung 7). Um ein Rezidiv auszuschließen, wird der Patient vorerst regelmäßig (alle 6 Monate) nachkontrolliert.
Marta Siewczyk (1), Hans Jörg Altermatt (3), Michael M. Bornstein (1,2)(1) Klinik für Oralchirurgie und Stomatologie, Zahnmedizinische Kliniken der Universität Bern(2) Service de Stomatologie et Médecine Dentaire, Policlinique Médicale Universitaire, Lausanne(3) Pathologie Länggasse, Bern, Schweiz,Das invertierte duktale Papillom, in: Swiss Dent J. 2015;125(1):28-9.







