Das pleomorphe Adenom
Ein 65-jähriger Patient wurde von seinem behandelndem Zahnarzt überwiesen und stellte sich zur Abklärung einer seit längerem bestehenden Schwellung präaurikulär links in der Klinik und Poliklinik für Mund-, Kiefer- und Gesichtschirurgie des Uniklinikums Marburg vor.
Laut Aussage des Patienten bestand diese bereits seit mehreren Jahren. Seit einem Jahr hatte er keine Größenprogredienz mehr festgestellt.
Die klinische Untersuchung zeigte eine gut tastbare, verschiebliche Raumforderung im Bereich der linken Glandula parotidea (Abbildung 1). Der Nervus facialis war uneingeschränkt in Funktion.
Allgemeinanamnestisch lag eine arterielle Hypertonie, eine Hypercholsterinämie, eine Hyperuricämie sowie eine absolute Arrythmie bei Vorhofflimmern vor. Dementsprechend bestand eine orale Antikoagulation mit Marcumar.
Zur weiteren Diagnostik erfolgte eine Sonografie (Abbildung 2) sowie eine drei- dimensionale Bildgebung mittels MRT (Abbildung 3). Hier zeigte sich eine Formation in der linken Glandula parotis ohne Infiltration der Nachbarstrukturen, die bildmorphologisch am ehesten einem pleomorphen Adenom entsprach.
Es wurde eine laterale Parotidektomie mit intraoperativem Fazialismonitoring durchgeführt (Abbildung 4). Die orale Antikoagulation mit Marcumar wurde stets fortgesetzt.
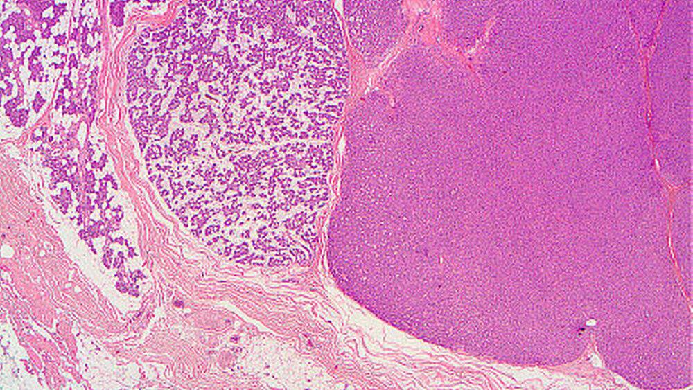
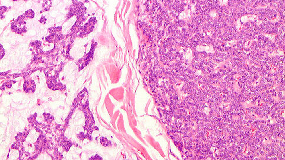
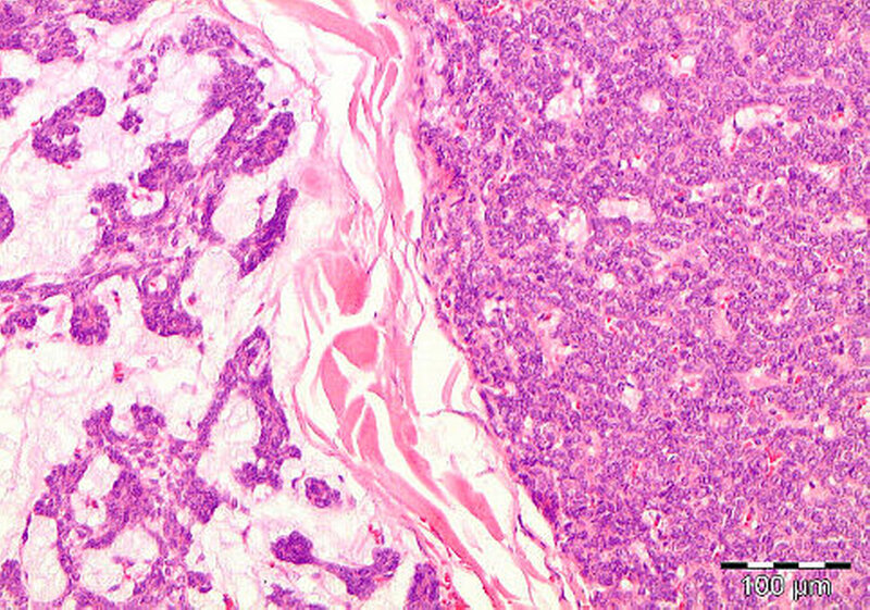
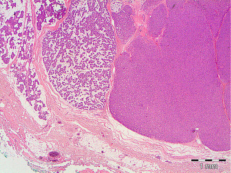
Der histopathologische Befund bestätigte den Verdacht eines pleomorphen Adenoms mit kapselartiger Begrenzung zum umgebenden, strukturell unauffälligem Speicheldrüsenparenchym der linken Glandula parotis (Abbildungen 5 und 6).
Der Nervus facialis zeigte postoperativ keinerlei Beeinträchtigung. Im weiteren Verlauf sind regelmäßige ambulante Kontrolluntersuchungen geplant.
Diskussion
Das pleomorphe Adenom ist ein gutartiger Mischtumor der Speicheldrüsen, der sich durch seine strukturelle Pleomorphie auszeichnet. So erscheinen im histopathologischen Bild epitheliale und myoepitheliale Zellen, vermischt mit mucoiden, myxoiden und chondroiden Komponenten [Jain et al., 2015].
Als häufigster Speicheldrüsentumor mit etwa 50 Prozent ist das pleomorphe Adenom zu 85 Prozent in der Parotis lokalisiert. Es tritt jedoch auch in den kleinen Speicheldrüsen sowie zu einem geringen Anteil in der Glandula submandibularis und Glandula sublingualis auf [Luna, 2001].
Am häufigsten wird es zwischen dem 30. und 60. Lebensjahr diagnostiziert, wobei häufiger Frauen als Männer betroffen sind [Laccourreye et al., 1994].
Bei fehlender vollständiger Kapsel ist eine klare Abgrenzung zum angrenzenden Gewebe schwierig. Das pleomorphe Adenom ist von gesundem Speicheldrüsengewebe umgeben, welches durch sein Wachstum komprimiert wird [McGurk et al., 1996; Zbären und Stauffer, 2007].
Charakteristisch ist eine langsam zunehmende und symptomarme Schwellung ohne Beeinträchtigung der Fazialisfunktion [Mendenhall et al., 2008]. Das Risiko einer malignen Transformation liegt bei etwa drei bis vier Prozent, wobei die Wahrscheinlichkeit mit Dauer des Bestehens zunimmt. Hierbei kann es neben einer Zunahme der Wachstumsgeschwindigkeit auch zu einer plötzlich auftretenden Fazialisschwäche kommen [Ohtake et al., 2002]. Goldstandard der chirurgischen Therapie ist die laterale Parotidektomie, bei der der Tumor inklusive der lateral des Nervus facialis gelegenen Drüsenanteile entfernt wird. Jedoch kann bei oberflächlich gelegenen, kleinen gutartigen Tumoren eine extrakapsuläre Dissektion erwogen werden. Hier erfolgt die Extirpation außerhalb der Kapsel im gesunden Gewebe [Foresta et al., 2014].
Chirurgische Komplikationen bei beiden operativen Eingriffen sind zum einen eine passagere oder persistierende Schädigung des Nervus facialis, zum anderen das Auftreten von Rezidiven sowie das Frey-Syndrom. Durch eine fehlgeleitete Regeneration parasympathischer Nervenfasern, welche ursprünglich für die Steuerung des Speichelflusses verantwortlich waren und jetzt sympathischen Nervenfasen mit Innervation der Schweißdrüsen angegliedert sind, kommt es bei Anregung des Speichelflusses zum sogenannten gustatorischen Schwitzen, was sich durch eine Schweißabsonderung präaurikulär äußert [Motz und Kim, 2016].
Differenzialdiagnostisch müssen andere gutartige Tumoren der Speicheldrüsen berücksichtigt werden, wie zum Beispiel das Zystadenolymphom, auch Warthin-Tumor genannt, das als zweithäufigster gutartiger Tumor auch beidseits auftreten kann. Aber auch bösartige Tumoren der Speicheldrüsen wie das Mukoepidermoidkarzinom und das adenoid-zystische Karzinom dürfen nicht außer Acht gelassen werden. Sie zeigen jedoch im Gegensatz zu gutartigen Tumoren ein deutlich rascheres Wachstum mit Beeinträchtigung der Fazialisfunktion und auftretenden Schmerzen [Sungur et al., 2002].
Dr. Anne Attrodt, Dr. Dr. Paul Heymann. Dr. Dr. Dr. Thomas Ziebart
Klinik und Poliklinik für Mund-, Kiefer- und Gesichtschirurgie, Universitätsklinikum Gießen und Marburg, Standort Marburg
Baldingerstraße, 35043 Marburg
Dr. Marion Rößler
Institut für Pathologie, Universitätsklinikum Gießen und Marburg, Standort Marburg
Baldingerstraße 35043 Marburg










