Der Fall: Arteriovenöse Unterkiefermalformation
Hintergrund:Intraossäre vaskuläre Malformationen des Gesichtsskeletts sind eine Seltenheit und machen 0,5 bis 1 Prozent der Gesamtheit der pathologischen Knochenveränderungen aus. Unterschieden werden venöse (niedrigfluss/low-flow) von arteriovenösen (hochfluss/high-flow) Malformationen. Neben der Destruktion des betroffenen Knochens kann es aufgrund einer stetigen Größenprogredienz ebenfalls zu einer Infiltration des benachbarten Weichgewebes kommen1, 2. Primäre klinische Zeichen können neben einer Schwellung die Lockerung von bleibenden Zähnen sowie rezidivierende Zahnfleischblutungen sein.
Ausgangssituation:Im Alter von 9 Jahren wurde die Patientin aufgrund gelockerter Zähne im vierten Quadranten des bleibenden Gebisses mit rezidivierenden Zahnfleischblutungen vorstellig. Die anschließend durchgeführte Diagnostik mit Probengewinnung bestätigte den Verdacht einer arteriovenösen Malformation.
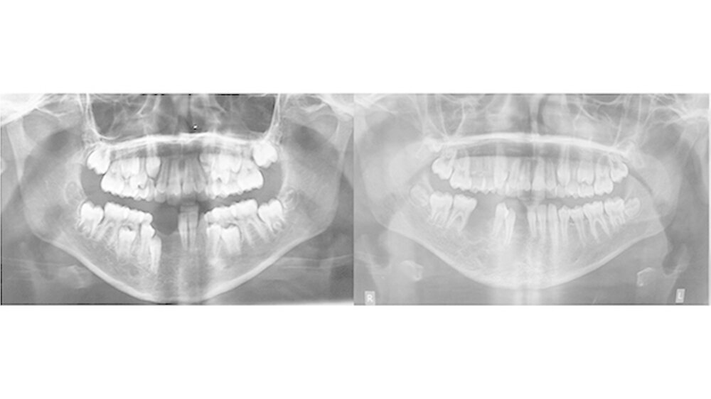
Therapie und Verlauf:Trotz mehrfach primär durchgeführter Embolisationen mittels Polyvinylalkohol und Äthylen-Vinyl-Alkohol Copolymer (Onyx®) (Abb. 1) kam es zu einer Größenprogredienz des bestehenden Befundes mit Beteiligung der äußeren Haut submental (Abb. 2).
Als es zu einer lebensbedrohlichen Blutung bei der Entfernung der lockeren Zähne in der AVM kam, wurde die Indikation einer chirurgischen Resektion des betroffenen Kieferabschnitts im Zeitfenster von 48 Stunden nach der Embolisation geplant.
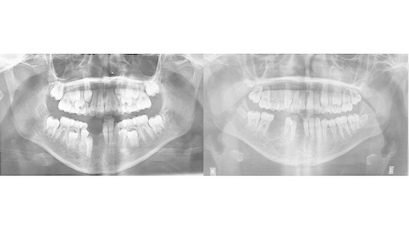
Auf Basis einer präoperativen computerassistierten Planung wurde eine Unterkieferteilresektion mit primärer Rekonstruktion mittels mikrovaskulärem Fibulatransplantat durchgeführt (Abb. 3). Die Patientin ist seitdem beschwerdefrei und es konnte keine weitere Progredienz des vorbestehenden Befundes beobachtet werden (Abb. 4).
Schlussfolgerung:Intraossäre arteriovenöse Malformationen können trotz ihrer benignen Entität zu erheblichen sowohl knöchernen als auch weichgeweblichen Destruktionen führen. Bei Vorliegen einer arteriovenösen Malformation kann selbst eine Zahnextraktion zu lebensbedrohlichen Blutungen führen. Die Embolisation ist daher der chirurgischen Intervention bei therapierefraktären Fällen vorgeschaltet. Mithilfe einer präoperativ durchgeführten Embolisation und einer exakten Computerplanung ist es möglich, eine sichere Resektion mit primärer knöcherner Rekonstruktion durchzuführen. Literatur:1. North PE. Pediatric Vascular Tumors and Malformations. Surgical Pathology Clinics 2010 Sep;3(3):455-94.2. Theologie-Lygidakis N, Schoinohoriti O, Tzermpos F, Christopoulos P, Iatrou I. Management of Intraosseous Vascular Malformations of the Jaws in Children and Adolescents: Report of 6 Cases and Literature Review. Journal of Oral & Maxillofacial Research 2015, Jun 30;6(2):e5.
Der Fall wurde auf dem 66. Kongress der DGMKG in Hamburg vorgestellt.






