Der Fall: Direkte Überkappung der Pulpa
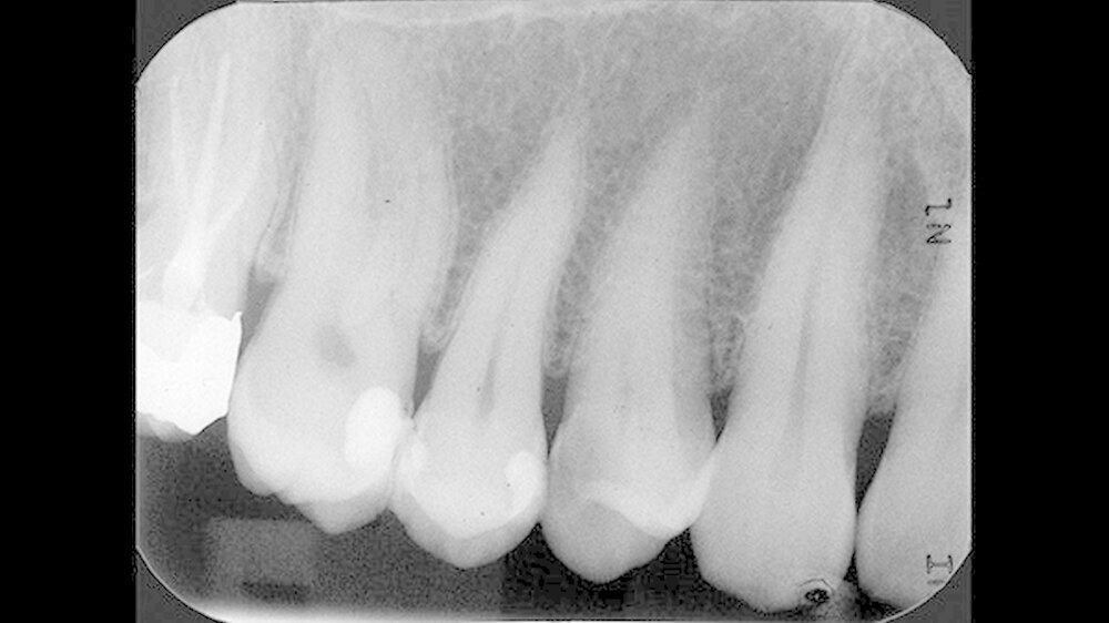
Ein 43-jähriger Patient stellte sich zur Routinekontrolle in der Poliklinik für Zahnerhaltung des Universitätsklinikums Münster vor. Die allgemeinmedizinische Untersuchung zeigte keine Besonderheiten. Sowohl der klinische zahnmedizinische Befund als auch die angefertigte Röntgenaufnahme deuteten auf eine Approximalkaries distal an Zahn 14 hin (Abbildungen 1 und 2). Daher wurde der Patient auf die Notwendigkeit einer Füllungstherapie hingewiesen.
Behandlung
Der Zahn 14 zeigte sich in der Sensibilitätstestung mit CO
2
-Schnee positiv und in der Perkussionsprobe negativ. Nach ausführlicher Beratung des Patienten und Aufklärung über den Therapieablauf wurde eine terminale Infiltrationsanästhesie (Septanest, Septodont, Niederkassel) an Zahn 14 durchgeführt und Kofferdam gelegt (Abbildung 3). Nach Primärpräparation (Abbildung 4) kam es bei der vollständigen Exkavation der Dentinkaries zu einer iatrogenen Freilegung der Pulpa (Abbildung 5).
Klinisch stellte sich das Pulpagewebe als vital und ohne ausgeprägte Blutung dar, so dass zum Erhalt der Pulpavitalität eine direkte Überkappung in Betracht gezogen werden konnte. Zur Blutstillung sowie zur Reinigung und Desinfektion der Kavität wurde eine Kavitätentoilette mit NaOCl (2,5 Prozent) durchgeführt. Biodentine (Septodont, Niederkassel) wurde als Mittel für die direkte Überkappung ausgewählt. Der Zement wurde nach Herstellerangaben angemischt und sowohl auf das freiliegende Pulpagewebe als auch auf das Dentin im Sinne einer Unterfüllung appliziert (Abbildung 6).
Nach dem Anmischen benötigt das Material etwa 15 Minuten für die initiale Abbindung. Während dieser Abbindezeit änderte sich das Aussehen der Zementoberfläche von feucht-glänzend (Abbildung 6) hin zu matt (Abbildung 7). Dieser Zeitraum muss abgewartet werden, ehe man die Füllungstherapie fortsetzen kann. Während der Wartezeit erfolgte das Legen einer Matrize (Composi-Tight 3D; Garrison, Übach-Palenberg) und eines Keils (Abbildung 8).
Nach dem initialen Abbinden des Materials wurden auf die gesamte Kavität einschließlich der Zementoberfläche ein selbstätzendes Dentinadhäsiv (Optibond XTR; Kerr, Bioggio, Schweiz) aufgetragen und eine Kompositfüllung (Grandio; VOCO, Cuxhaven) gelegt (Abbildung 9 und 10).
Bei den Kontrolluntersuchungen sechs und 26 Monate nach direkter Überkappung war der Zahn 14 klinisch unauffällig (Abbildung 11) und zeigte sich wiederum bei der Sensibilitätsprobe mit CO
2
-Schnee positiv und bei der Perkussionsprobe negativ.
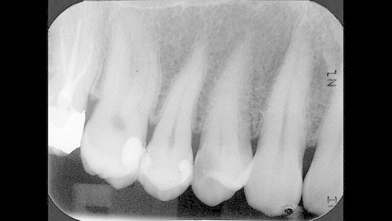
Auf dem 26 Monate nach direkter Überkappung angefertigten Zahnfilm konnten apikal an Zahn 14 keine pathologischen Veränderungen festgestellt werden (Abbildung 12). Dem Patienten zufolge war es zu keinem Zeitpunkt, zum Beispiel im Kontakt mit kalter Nahrung, Flüssigkeit oder Luft, nach der direkten Überkappung zu Beschwerden an Zahn 14 gekommen.
Fazit
Kalziumhydroxid beziehungsweise Kalziumhydroxidpräparate sind die am besten dokumentierten und sichersten Materialien für die direkte Überkappung der Pulpa und somit ist Kalziumhydroxid nach wie vor der Goldstandard für die Vitalerhaltung der Pulpa [Hørsted-Bindslev P et al., 2003].
Dennoch hat Kalziumhydroxid einige Nachteile: Die Haftung an Dentin ist schlecht, es ist mechanisch instabil, das gebildete Hartgewebe weist Porositäten (sogenannte Tunneldefekte) auf und es wird im Laufe der Zeit unter Füllungen resorbiert [Barnes IM et al., 1979; Cox CF et al., 1996; Goracci G et al., 1996].
Folglich kann Kalziumhydroxid langfristig ein Mikroleakage nicht verhindern. Die Tunneldefekte können pathogenen Keimen als Eintrittspforte in die Pulpa dienen, was zu einer Sekundärinfektion des Pulpagewebes führen kann. Es wurde vermutet, dass dies die Ursache für das Scheitern einer Vitalerhaltung und die Bildung dystrophischer Kalzifikationen im Pulpalumen sein könnte.
Darüber hinaus kommt es durch den hohen pH-Wert des Kalziumhydroxids von 12,5 zu einer oberflächlichen Liquidationsnekrose des Pulpagewebes [Barnes IM et al., 1979; Cox CF et al., 1996; Duda S et al., 2008]. Daher wurden immer wieder verschiedene andere Materialien für die direkte Überkappung erprobt und empfohlen.
Das primäre Ziel eines Überkappungsmaterials ist, durch die Aktivierung von Pulpazellen eine Hartgewebsbildung zu induzieren, um die Eröffnungsstelle zu verschließen und letztlich zum Erhalt der Pulpavitalität beizutragen [Schröder U, 1972].
Histologisch konnte eine Tertiärdentinbildung nach direkter sowie indirekter Überkappung mit Biodentine eindeutig nachgewiesen werden [Boukpessi T et al., 2009; Nowicka A et al., 2013; Shayegan A et al., 2012].
Bei der Überkappung der Pulpa bietet dieser Zement daher einige Vorteile gegenüber Kalziumhydroxid: Er hat eine größere mechanische Festigkeit, ist weniger löslich, haftet am Dentin und ist dadurch deutlich dichter [Pradelle-Plasse N et al., 2009].
Somit können die Nachteile von Kalziumhydroxid vermieden werden: Materialresorption, mechanische Instabilität und der daraus resultierende mangelhafte Schutz vor Mikroleakage.
Prof. Dr. Till DammaschkeUniversitätsklinikum MünsterZentrum für Zahn-, Mund- und KieferheilkundePoliklinik für ZahnerhaltungAlbert-Schweitzer-Campus 1, Gebäude W 30Waldeyerstraße 30, 48149 Münstertillda@uni-muenster.de
Mit freundlicher Genehmigung aus: Septodont: Biodentine Handbuch Fallbericht 6
Literatur
Barnes IM, Kidd EA. Disappearing Dycal. Br Dent J 1979; 147: 111.
Boukpessi T, Septier D, Goldberg M. VI-2-2-2 Animal studies. In: Goldberg M (Hrsg.). Biocompatibility or cytotoxic effects of dental composites. Oxford: Coxmoor, 2009: 200–203.
Cox CF, Sübay RK, Ostro E, Suzuki S, Suzuki SH. Tunnel defects in dentinal bridges. Their formation following direct pulp capping. Oper Dent 1996; 21: 4–11.
Duda S, Dammaschke T. Maßnahmen zur Vitalerhaltung der Pulpa. Gibt es Alternativen zum Kalziumhydroxid bei der direkten Überkappung? Quintessenz 2008; 59: 1327–1334, 1354.
Goracci G, Mori G. Scanning electron microscopic evaluation of resin-dentin and calcium hydroxide-dentin interface with resin composite restorations. Quintessence Int 1996; 27: 129–135.
Hørsted-Bindslev P, Vilkinis V, Sidlauskas A. Direct pulp capping of human pulps with a dentin bonding system or with calcium hydroxide cement. Oral Surg Oral Med Oral Pathol 2003; 96: 591–600.
Nowicka A, Lipski M, Parafiniuk M, Sporniak-Tutak K, Lichota D, Kosierkiewicz A, Kaczmarek W, Buczkowska-Radli´nska J. Response of human dental pulp capped with biodentine and mineral trioxide aggregate. J Endod 2013; 39: 743–747.
Pradelle-Plasse N, Tran X-V, Colon P. VI-2-1 Physico-chemical properties. In: Goldberg M (Hrsg.). Biocompatibility or cytotoxic effects of dental composites. Oxford: Coxmoor, 2009: 184–194.
Schröder U. Evaluation of healing following experimental pulpotomy of intact human teeth and capping with calcium hydroxide. Odontol Revy 1972; 23: 329–340.
Shayegan A, Jurysta C, Atash R, Petein M, Abbeele AV. Biodentine used as a pulp-capping agent in primary pig teeth. Pediatr Dent 2012; 34: e202–e208.















