Der Fall: Osteom nach Weisheitszahnentfernung
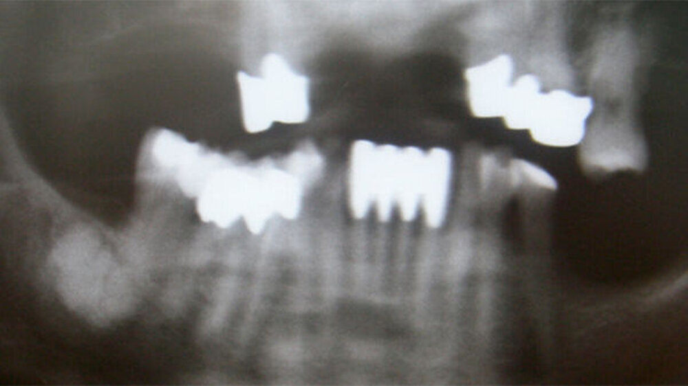
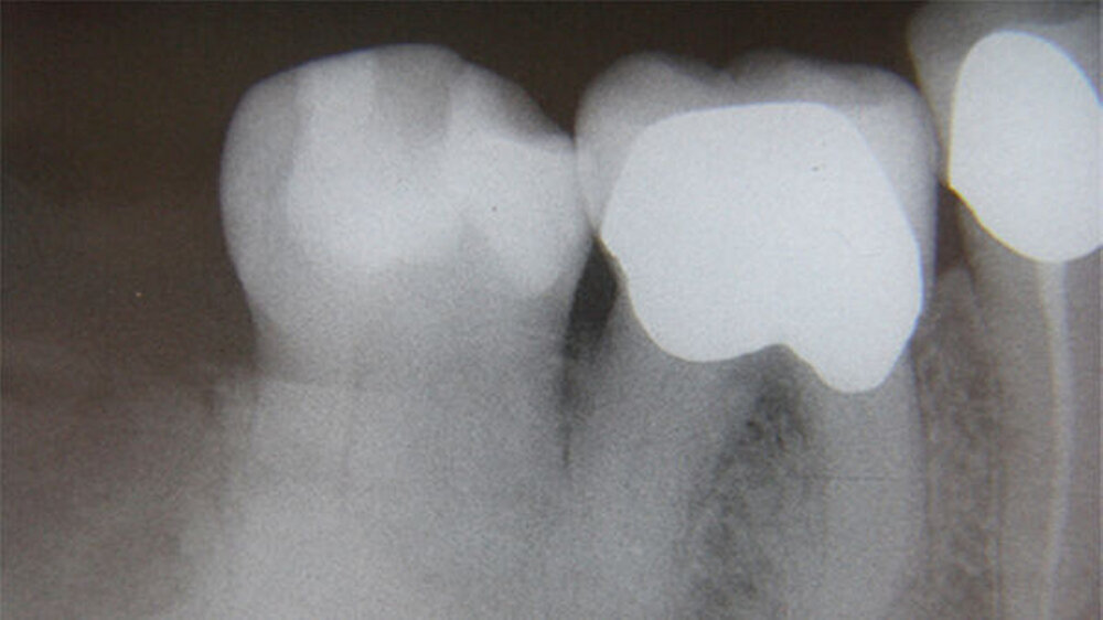
Eine 65-jährige beschwerdefreie Patientin stellte sich zur Routineuntersuchung in unserer Praxis vor. Diagnostiziert wurde eine generalisiert moderate, lokalisiert schwere chronische Parodontitis. Die im Rahmen der parodontalen Vorbehandlung durchgeführte Röntgendiagnostik zeigte eine haselnussgroße wolkige Verschattung regio 48. Anamnestisch wurde eine operative Entfernung des Weißheitszahns 48 vor ungefähr 35 Jahren angegeben.
Der Zahn 47 reagierte positiv auf den Vitalitäts-/ Sensibilitätstest. Eine dreidimensionale Bildgebung musste von der Patientin aus wirtschaftlichen Gründen abgelehnt werden. Die Verdachtsdiagnose: ein Osteom oder ein Zementom. Zur explorativen Probeexzision wurde nach minimalinvasiver Schnittführung ein Knochendeckel präpariert, was eine berührungslose Darstellung der knöchernen Veränderung erlaubte. Weil die Veränderung sehr hart und spröde war, konnte sie nicht in toto entfernt werden.
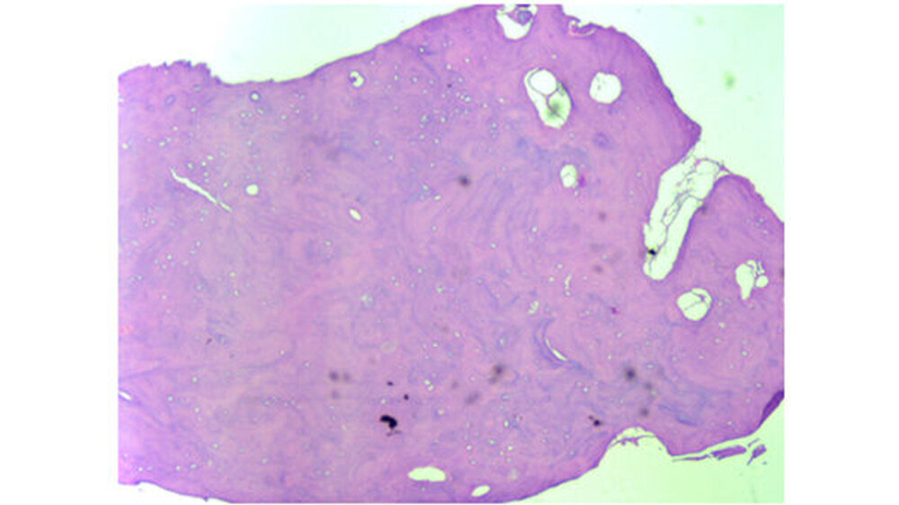
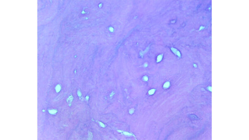
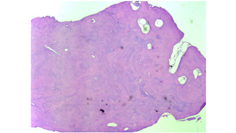
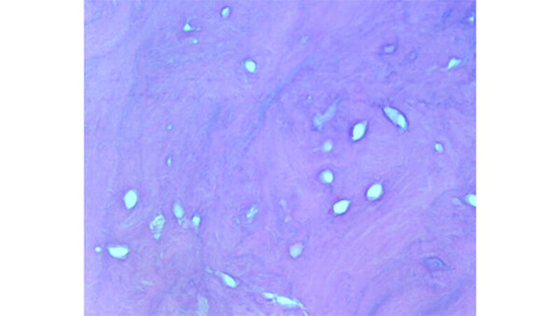
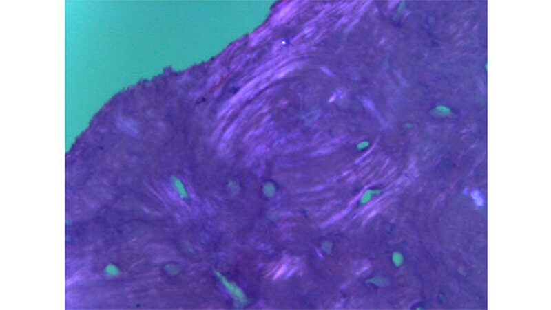
Klinisch zeigte sich, dass die knöcherne Veränderung nicht mit Blutgefäßen durchsetzt war. Erst nach vollständiger Entfernung konnte in der Defekttiefe aus der angrenzenden lingualen Spongiosa eine Blutung provoziert werden. Histologisch wurde ein Osteom aus kompaktem, regressiv verändertem Lamellenknochen mit überwiegend leeren Osteozytenlakunen sowie sehr vereinzelt unreifes Osteoid mit aktivierter Bindegewebszone nachgewiesen.
Differenzialdiagnostik
Differenzialdiagnostische Aspekte umfassen neben benignen knöchernen Tumoren wie Osteom auch benigne odontogene Tumoren mit Hartsubstanzbildung wie Zementom und Odontom. Bei histologischem Nachweis von Malignität ist eine unverzügliche interdisziplinäre Therapieroutine obligatorisch.
Dr. Friedrich Müller M.Sc.Tannenring 76, 65207 Wiesbadenpraxis@muellerzahnaerzte.de













