Der Fall: Persistierender Milchmolar
Die Patientin stellte sich unmittelbar vor der Entnahme ihrer festsitzenden kieferorthopädischen Apparatur vor. Für die kieferorthopädische Behandlung waren die Planung und die Behandlung so erfolgt, dass der persistierende Milchzahn 75 anstelle des Zahns 35 mit einbezogen wurde.
Laut Aussage der Patientin und ihrer Mutter war zunächst keine Rede davon, dass dieser Milchzahn nach Abschluss der Behandlung eine zusätzliche Behandlung oder Restauration benötige, deshalb sei dies auch bei der Krankenkasse nicht mit beantragt worden. Leider habe sich aber eine Mitbehandlung im Laufe der Behandlung dann doch ergeben, weil dieser Zahn im Vergleich zu den anderen nicht richtig „mitgewandert“ sei. Nun wollten sich Mutter und Tochter über Möglichkeiten der Restauration erkundigen.
Klinischer Befund
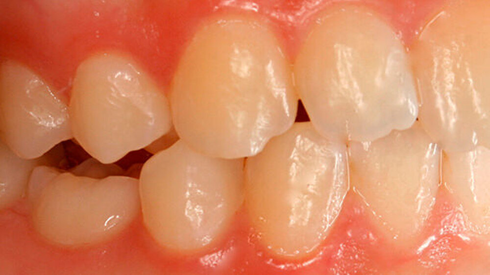
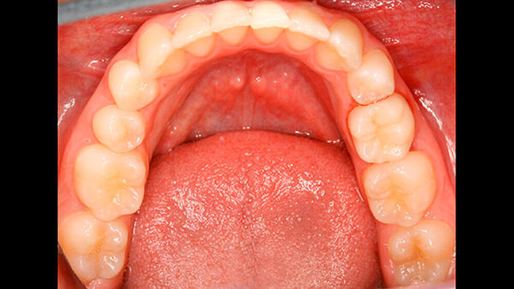
Die Patientin zeigte ein kariesfreies bleibendes Gebiss mit Nichtanlage des Zahns 35 und Persistenz des Zahns 75 auf (Abbildung 1). Sie wies im Frontzahnbereich sowie im rechten Seitenzahnbereich eine Klasse I auf, im linken Seitenzahnbereich aufgrund der Größe des Zahns 75 eine Klasse II. Zahn 75 befand sich in deutlicher Infraokklusion (Abbildung 2). Der Perkussionstest wies allerdings nicht eindeutig auf eine Ankylosierung hin.
An Zahn 11 zeigte sich im inzisalen Drittel zusätzlich eine runde Schmelzopazität mit geringfügiger Hypoplasie (Abbildung 3), beides waren die Folge eines Frontzahntraumas im Milchgebiss. Darüber hinaus befand sich im zervikalen Drittel des gleichen Zahns eine rillenförmige Hypoplasie im Schmelz, höchstwahrscheinlich durch denselben Unfall verursacht (Abbildung 3).
###more### ###title### Diagnose ###title### ###more###
Diagnose
Nichtanlage des Zahns 35
1. Differenzialdiagnose
a)Impaktion des Zahns 35. Ginge man ausschließlich nach dem klinischen Befund, so wäre eine Impaktion des Zahns 35 durchaus denkbar. Aufgrund des für die kieferorthopädische Behandlung notwendigen Orthopantomogramms konnte dies aber vor Beginn der Behandlung schon mit Sicherheit ausgeschlossen werden.
b)Verzögerter Durchbruch beziehungsweise Durchbruchsstörung des Zahns 35. Ebenso wie für die Differentialdiagnose der Impaktion gilt auch hier, dass anhand des klinischen Befundes beides hätte infrage kommen können, aufgrund der vorliegenden Röntgenübersichtsaufnahme konnte dies aber frühzeitig ausgeschlossen werden.
2. Behandlungsablauf
Da die junge Patientin bisher keine Restaurationen benötigt hatte, sprach sie sich vehement für eine möglichst wenig oder sogar non-invasive Vorgehensweise aus. Weil der Zahn 75 prinzipiell völlig intakt war, sich nur eben im Vergleich zu den benachbarten permanenten Zähnen in Infraokklusion befand, war das primäre Ziel der Restauration, diesen in maximale Interkuspidation zu bringen. Deshalb wurde vereinbart, die bis zur Interkuspidation fehlende Zahnhartsubstanz - etwa ein Drittel der klinisch sichtbaren Krone - durch ein Onlay auszugleichen. Diese Lösung entsprach zusätzlich dem Wunsch der Patientin, nach Möglichkeit eine non-invasive Behandlung zu erhalten.
Unmittelbar nach der Entbänderung erfolgte deshalb die Abformung beider Kiefer (Aquasil Ultra Heavy und Aquasil Ultra LV, Dentsply DeTrey) sowie eine Bissnahme im Schlussbiss (Futar Fast (1:1), Kettenbach GmbH). Im Labor erfolgte die Herstellung eines Overlays aus Komposit (SR Adoro, Ivoclar Vivadent) (Abbildungen 4 bis 6), das etwa zehn Tage nach der Abformung eingesetzt wurde.
Zum Einsetzen wurde zunächst ein Kofferdam appliziert. Es folgte die Reinigung des Zahns mittels eines Pulverstrahlgeräts (AIRFLOW® HANDY 2+ mit AIR-FLOW Prophylaxe Pulver, Firma EMS). Nach Einpassung der Restauration wurde die Unterseite angeraut (CoJet™ Verbundsystem und CoJet™ Sand, 3M ESPE) und silanisiert (Monobond Plus, Ivoclar Vivadent).
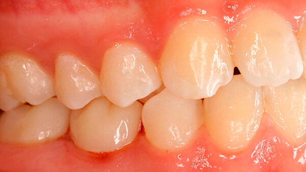
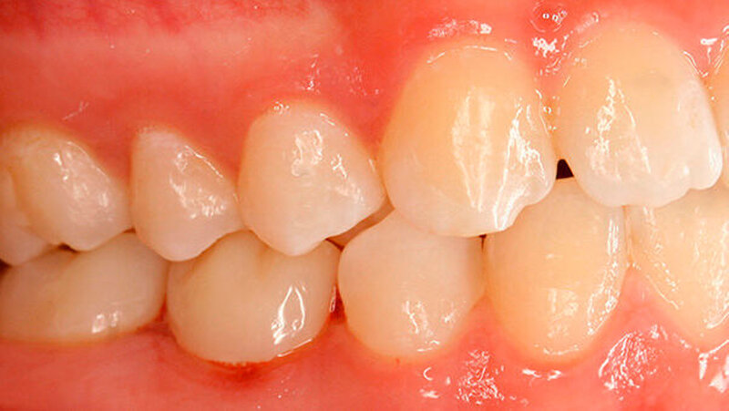
Anschießend wurde der Zahn okklusal und auf den bukkalen und lingualen Höckerabhängen mit 35-prozentiger Phosphorsäure geätzt. Es folgte die Applikation des Bondings (Optibond FL, Kerr Hawe) sowie die Applikation eines dual-härtenden Befestigungssystems auf Kompositbasis (BiFix QM, VoCo). Zuletzt wurden die Ränder der Restauration sowie die Übergange zum Zahn geglättet (Brownie und Greenie, Shofu Dental GmbH) und die Okklusion überprüft (Abbildungen 7 und 8).
###more### ###title### Erläuterungen zum Therapieentscheid ###title### ###more###
Erläuterungen zum Therapieentscheid
Nichtanlagen der Zähne sind relativ häufig, neben den Weisheitszähnen sind in der Regel die unteren zweiten Prämolaren sowie die seitlichen oberen Schneidezähne am häufigsten betroffen (die Angaben variieren teils nach Quelle) [Aktan et al, 2012]. Nichtanlagen im Milchgebiss sind dagegen wesentlich seltener, so dass im klinischen Alltag meist ein oder mehrere persitierende Milchzähne den typischen Befund darstellen.
Werden Milchmolaren während der - kieferorthopädischen - Behandlung belassen, so häufig mit dem Wissen, dass eine Implantation als dauerhafte Versorgung später erfolgen sollte, jedoch nicht während des Wachstums [Sabri, 2008]. Andere direkte oder indirekte Versorgungen werden oft schon früher eingesetzt [Sabri, 2008]. Nicht immer gelangen die belassenen Milchmolaren in eine Infraokklusion, so dass oft (zunächst) keine weitere Behandlung notwendig wird.
Obwohl die Datenlage zu dieser Fragestellung auf einer sehr dünnen Basis steht, kam immerhin schon eine Studie mit verhältnismäßig langer Nach-Beobachtungszeit zu dem Ergebnis, dass die Verweildauer persistierender Milchzähne selbst bei konsekutivem Verlust zunächst durchaus dem einer gängigen prothetischen Restauration entsprechen kann [Sletten et al., 2003].
Was bisher nicht eindeutig geklärt ist, ist die Tendenz und/oder die Regelmäßigkeit, mit der persistierende Milchzähne doch einer physiologischen Resorption der Wurzeln unterliegen und in der Folge exfoliieren [Harokopakis-Hajishengallis, 2007]. Das heißt, darauf zu bauen, dass das Belassen eines persitierenden Milchzahns eine Dauerlösung darstellt, ist unter Umständen sehr trügerisch.
Der genaue Mechanismus wie auch die Faktoren, die Indikatoren bezüglich einer möglichen Resorption/Exfoliation darstellen könnten, sind bisher ungeklärt (Harokopakis-Hajishengallis). Als sehr grobe Faustregel kann gelten, dass ein Verbleiben des Milchzahns in der Mundhöhle über das 20. Lebensjahr hinaus die langfristige Prognose deutlich verbessert [Harokopakis-Hajishengallis, 2007]. Es ist daher ratsam, den Patienten darüber aufzuklären. Relativ häufig wird beobachtet, dass eine Infraokklusion des persistierenden Milchzahns mit einer Ankylosierung des Zahns einhergeht [Ith-Hansen und Kjaer, 2000].
Eine Alternative zu dem hier vorgestellten Vorgehen wären die direkte Applikation von Komposit als Aufbau oder die Versorgung des Milchzahns mit einer konfektionierten Stahlkrone beziehungsweise anderen Milchzahnkronen gewesen. Aus ästhetischen Gründen entschied sich die Patientin direkt gegen die Stahlkrone. Wichtig ist aber ebenso, dass für die Applikation einer solchen Krone zumindest approximal eine Präparation erforderlich gewesen wäre.
Sofern andere non-invasive Therapieotionen zur Verfügung stehen, sollte dies auf jeden Fall abgewogen werden. Für andersartige konfektionierte Milchzahnkronen (wie NuSmile® Kronen (Fa. NuSmile) als teilverblendete Variante oder Vollkronen aus Zirkonkeramik (EZ-Pedo crowns, Fa. EZ-Pedo Inc.) hätte deutlich mehr Zahnhartsubstanz abgetragen werden müssen, wenn auch im Vergleich zur herkömmlichen Stahlkrone das Ergebnis sicherlich eher den ästhetischen Vorstellungen der Patientin entsprochen hätte.
Es bleibt allerdings die Ungewissheit, ob eine Präparation des Milchzahns dazu beitragen kann, eine bisher nicht (oder röntgenologisch nicht-sichtbare) Wurzelresorption nach beziehungsweise aufgrund der Behandlung in Gang zu setzen [Harokopakis-Hajishengallis, 2007]. Es scheint, als ob generell verhältnismäßig lange Wurzeln in Milch- und bleibenden Zähnen dazu beitragen, die Verweildauer der Milchzähne in der Mundhöhle positiv zu beeinflussen [Ith-Hansen und Kjaer, 2000].
Weiterhin wäre es möglich gewesen, die zu überbrückende Distanz mittels eines direkten Aufbaus aus Komposit herzustellen [Sabri, 2008]. Dies wurde in diesem Fall nicht durchgeführt, um durch eine Labor-Restauration eine maximale Funktionalität herstellen zu können.
Ebenso wurde vermieden, aufgrund der Schichtung des Komposits sowie der notwendigen Aushärtung, die Restauration mehrfach einer Polymerisationsschrumpfung auszusetzen. Durch das Einsetzen der Laborrestauration konnte diese Phase auf einen Schritt reduziert werden.
Bei der Laborrestauration wurde hier bewusst keine Keramik gewählt, da die Prognose des Zahns nicht sicher ist und somit Komposit eine wesentlich kostengünstigere Variante darstellte. Das Angleichen der Ränder im bukkalen und lingualen Bereich wurde damit ebenfalls erleichtert, weil das Komposit auf Schichtstärken reduziert werden kann, die für Keramik (noch) nicht möglich sind [Sabri, 2008; Feierabend et al., 2012].
3. Fazit
Die hier vorgestellte Lösung der Versorgung eines persistierenden Milchmolaren in Infraokklusion stellt langfristig wahrscheinlich nur eine Zwischenversorgung dar, ist aber non-invasiv, absolut funktionell und darüber hinaus ästhetisch ansprechend.
Dr. Stefanie FeierabendAlbert-Ludwigs-Universität FreiburgAbteilung für Zahnerhaltungskunde und ParodontologieHugstetter Str. 55, 79106 Freiburg i. Brsg.stefanie.feierabend@uniklinik-freiburg.de
Literatur
Feierabend S, Halbleib K, Klaiber B, Hellwig E (2012). Laboratory-made composite resin restorations in children and adolescents with hypoplasia or hypomineralization of teeth. Quintessence Int 43(4):305-311
Ith-Hansen K, Kjaer I (2000). Persistence of deciduous molars in subjects with agenesis of the second premolars. Eur J Orthod 22(3):239-243
Sabri R (2008). Management of over-retained mandibular deciduous second molars with and without permanent successors. World J Orthod 9(3):209-220
Sletten DW, Smith BM, Southard KA, Casko JS, Southard TE (2003). Retained deciduous mandibular molars in adults: a radiographic study of long-term changes. Am J Orthod Dentofacial Orthop 124(6):625-630
Harokopakis-Hajishengallis E (2007). Physiologic root resorption in primary teeth: molecular and histological events. J Oral Sci 49(1):1-12
Aktan AM, Kara I, Sener I, Bereket C, Celik S, Kirtay M, Ciftçi ME, Arici N (2012). An evaluation of factors associated with persistent primary teeth. Eur J Orthod 34(2):208-212
Mehr zum Thema: MIH
Bei der systemisch bedingten Hypomineralisation können beide Dentitionen betroffen sein. Hier sehen Sie verschiedene Therapieoptionen.













