Der Fall: Pyostomatitis vegetans
Einleitung
Die Pyostomatitis vegetans ist eine seltene Erkrankung mit einem klinisch eindrucksvollen Erscheinungsbild. Der Untersucher wird - im typischen Fall einer Pyostomatitis vegetans - eine mit multiplen cremefarbenen Punkten oder Flecken gesprenkelte Gingiva und Mukosa sehen.
Die Pyostomatitis vegetans tritt häufig in Assoziation mit chronisch entzündlichen Darmerkrankungen auf, entweder mit einer Colitis ulcerosa (Healy et al. 1994; Werchniak et al. 2005) oder mit einem Morbus Crohn (Merkourea et al. 2013; Guillerminet et al. 2015) oder einer Kolitis oder einer Diarrhö ohne diagnostische Zuordnung. Der Zusammenhang zwischen Pyostomatitis vegetans und Darmerkrankungen ist hoch, besteht aber nicht zu 100 Prozent. So wurde von verschiedenen Autoren über Patienten mit Pyostomatitis vegetans berichtet, bei denen keine Darmerkrankung gefunden wurde (Thornhill et al. 1992; Gonzalez-Moles et al. 2008).
Intention des Beitrags ist es, dem Arzt die Diagnosefindung dieser ungewöhnlichen Veränderung zu erleichtern. Unsere Erfahrungen in Diagnostik und Behandlung dieser Erkrankung werden anhand eines Patientenfalls näher beschrieben und die Überlegungen bei der Auswahl der Medikamente geschildert.
Das klinische Bild der Pyostomatitis vegetans
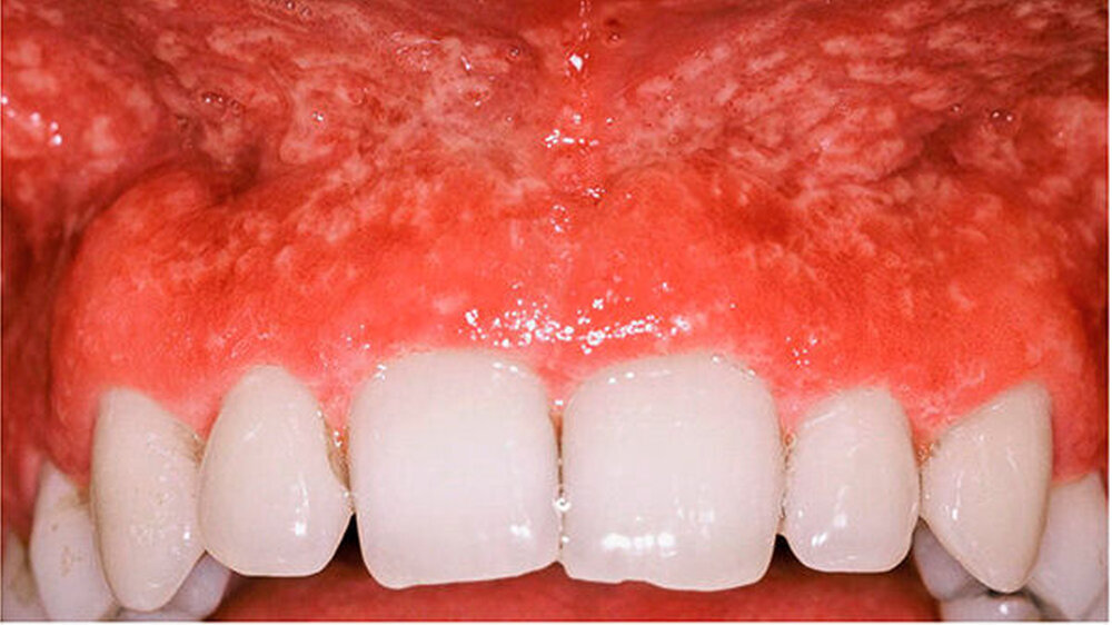
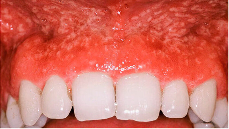
Das klinische Bild der Pyostomatitis vegetans prägen viele kleine, cremefarbene Flecken oder Pünktchen, die teils locker verstreut, teils dichter zusammentretend vorkommen (Abb. 1-4). Diese kleinen, blassgelblichen Punkte sind stecknadelkopfgroße Pusteln (eitergefüllte Hohlräume), aus denen Pus herausgepresst werden kann. Die fragilen Pusteln rupturieren rasch und hinterlassen Erosionen.
Wenn die Einzelherde verschmelzen, so können manchmal lineare, geschlängelte Erosionen (Schneckenspur-Erosionen) entstehen. Ein charakteristisches klinisches Bild einer Schneckenspur-Erosion ist in der Arbeit von Merkourea et al. (2013) gezeigt. Ein weiteres Merkmal sind Mukosaverdickungen, reaktive Wucherungen wie Schleimhautfalten (Abb. 3, 4).
Die Lokalisation der Pyostomatitis vegetans ist bei voller Ausprägung typischerweise bilateral, oft bilateral symmetrisch, wie bei dem nachfolgend beschriebenen Patienten, kann aber auch nur einzelne Stellen oder eine Stelle betreffen, z.B. im Vestibulum oder am Gaumen. Die bevorzugten Erkrankungsregionen der Pyostomatitis vegetans sind Zahnfleisch, Umschlagfalten, Lippen und Wangenschleimhaut sowie harter und weicher Gaumen. Grundsätzlich jedoch können alle Regionen der Mundschleimhaut und die Lippen betroffen sein. Einen Überblick der klinischen Charakteristika der Pyostomatitis vegetans bietetTabelle I.
###more### ###title### Fallbericht ###title### ###more###
Fallbericht
Ein 36-jähriger ansonsten gesunder Patient wurde uns aufgrund der seit drei Monaten bestehenden Zahnfleisch- und Mundschleimhautveränderungen überwiesen. Beschwerden traten dabei nicht auf, jedoch wurde vom Patienten ein veränderter Geschmack wahrgenommen.
Das klinische Bild der Pyostomatitis vegetans des Patienten
Die Untersuchung der Gingiva und Mundschleimhaut zeigte viele blassgelbliche Pünktchen auf roter und verdickter Gingiva und Mukosa. Dieses gesprenkelte Aussehen entsteht durch zahlreiche gelbliche Pusteln bzw. fibrinbedeckte Erosionen auf erythematösem Grund (Abb. 1-4).
Gingiva und Mukosa wiesen bei unserem Patienten einen gleichmäßigen, ganz leicht orangeroten Farbton auf. Als ein weiteres Merkmal der Pyostomatitis vegetans trat bei dem Patienten eine Schleimhautfalte der Wangenmukosa auf, die zu den reaktiven Wucherungen zu zählen ist (Abb. 4, 9).
Erwähnt werden soll, dass bei dem hier vorgestellten Patienten die Ausdehnung der entzündlichen Rötung von der Papillenspitze bis zur Mukogingivalgrenze reichte und kontinuierlich weiter in die Schleimhaut der Umschlagfalten überging (Abb. 1-4). Es gab in den erkrankten Regionen keinen Bezirk oder schmalen Saum von klinisch gesund erscheinender Gingiva oder Mukosa - flächig und kontinuierlich waren Gingiva und Mukosa betroffen.
Mikrobiologische und allergologische Befunde
Die mikrobiologische Untersuchung des Gingiva und Schleimhautabstrichs ergab außer der physiologischen Mundflora [inkl. Prevotella melaninogenica (+) und Gemella haemolysans ++] den Nachweis von Staphylococcus aureus (+). Der mikroskopische und kulturelle Hefepilznachweis war negativ. Die Blutwerte waren im Normbereich bis auf eine milde Bluteosinophilie von 6 Prozent.
Der Patient hatte folgende Allergien: Gräsermischung +++, Roggen +++, Erle +++, Hasel +++, Birke +++, Beifuss +, Gänsefuß +, Zitrusfrüchte (+) und Kreuzallergien auf die Nahrungsmittel Apfel, Pfirsich, Haselnuss +. Eine Darmerkrankung war nicht bekannt, als einziges Darmsymptom gab der Patient einen permanent weichen Stuhlgang an.
Histologie
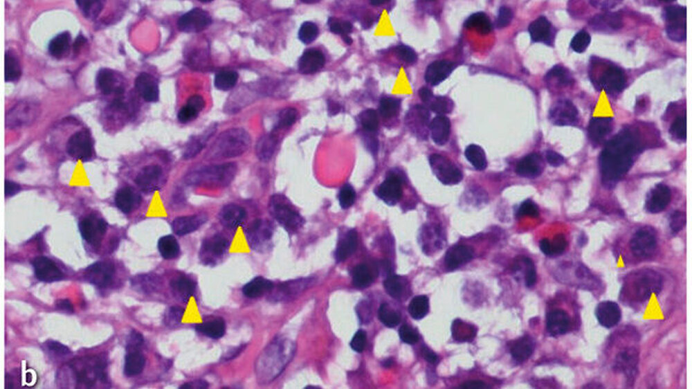
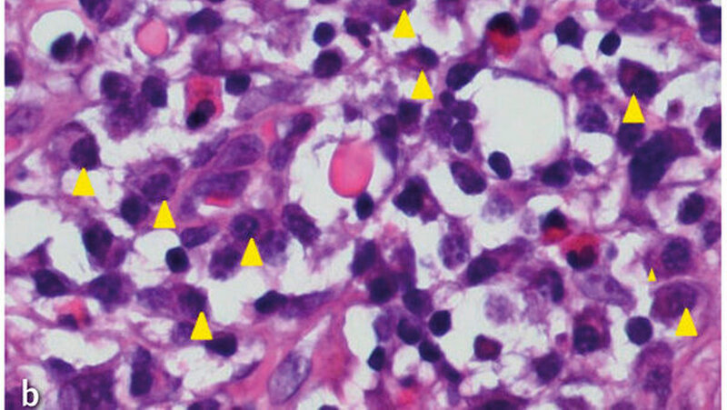
Eine Biopsie (5 mm Stanzbiopsie) aus dem Vestibulum oris des Oberkiefers, regio 24, wurde von uns entnommen. Die histopathologische Untersuchung zeigte eine von einer dünnen Fibrinschicht bedeckte Mikroulzeration und einen Mikroabszess in der Spitze einer Reteleiste. Die Schleimhautoberfläche war papillär gestaltet, teils gefältelt, mit nicht verhornendem mehrschichtigem Plattenepithel. Das subepitheliale Stroma wies ein dichtes, teilweise bandförmiges Entzündungsinfiltrat auf, das ganz überwiegend aus Plasmazellen und beigemengten eosinophilen Granulozyten bestand (Abb. 5).
Darüber hinaus waren in der Submukosa, im Randbereich der quergestreiften Muskulatur, kleine, vorwiegend perivaskulär lokalisierte, eosinophile Zellinfiltrate zu finden. Zusammengefasst zeigte die Histopathologie typische Merkmale einer Pyostomatitis vegetans (Mikroulzeration, Mikroabszess, entzündliches zelluläres Infiltrat mit eosinophilen Granulozyten).
Darmerkrankung
Im Hinblick auf eine mögliche Assoziation der Pyostomatitis vegetans mit einer Darmerkrankung wurde der Magen-Darm-Trakt mittels Gastro-, Duodeno- und Koloskopie untersucht. Während die Gastroduodenoskopie keinerlei Anzeichen auf pathologische Befunde ergab, zeigte sich in der Koloskopie eine leichtgradige Kolitis. Die Mukosa des Dickdarms wies im Bereich des linken Hemicolon mit Betonung des Colon sigmoideum eine dezente Schwellung, Granularität und Rötung auf (Abb. 6).
In der histologischen Untersuchung wurde der Befund als unspezifisch beurteilt. Eine chronisch entzündliche Darmerkrankung konnte histologisch weder mit Sicherheit diagnostiziert noch ausgeschlossen werden. Die Bestimmung des fäkalen Calprotectins ergab einen erhöhten Wert von 416 μg/g (Grenzwert 50 μg/g).
Therapie
Die Behandlung der Pyostomatitis vegetans bestand aus einer Kombination von Glukokortikoid, Tetracyclin und Pimecrolimus-Anwendung mit antimykotischer und antibakterieller Begleitbehandlung. Die Pyostomatitis vegetans wurde allein lokal behandelt. Begonnen wurde die Therapie mit einer antimykotischen Vorbehandlung (Adiclair® Mundgel, Ardeypharm, Herdecke, Deutschland), gefolgt von einer topischen Tetracyclin-Anwendung in Form einer 5-prozentigen Tetracyclin-Mundspülung für eine Woche.
Die Hauptbehandlung bestand aus einer lokalen Glukokortikoid-Anwendung mit abgestufter Wirkstärke, begleitet von einer antimykotischen Therapie. Als Glukokortikoide wurden Betamethasonvalerat als Haftpaste und Triamcinolonacetonid als Mundspüllösung ausgewählt. Die Triamcinolonacetonid-Mundspüllösung wurde in den ersten zwei Wochen zunächst in 0,2-prozentiger Konzentration angewandt, das entspricht der doppelten Triamcinolonacetonid-Standardkonzentration von 0,1 Prozent, und in den darauffolgenden zwei Wochen in 0,1-prozentiger Konzentration.
Der Behandlungsplan sah eine ausschleichende Glukokortikoid-Therapie vor. Zunächst erfolgte eine wochenweise Verringerung der Applikationshäufigkeit (von 3× täglich auf 2× täglich) und dann die Verringerung der Triamcinolonacetonid-Wirkstärke (von 0,2 Prozent auf 0,1 Prozent).
Begleitend zur Glukokortikoid-Therapie wurden ein chlorhexidinhaltiges Gel (Curasept ®ADS 350 Gingival-Gel) und eine chlorhexidinhaltige Zahncreme (Curasept® ADS 712 Gel Zahnpaste, Curaden International, Kriens, Schweiz) angewandt. Daran anschließend folgte bei geringerer Glukokortikoid-Dosierung der adjuvante Gebrauch einer Fluorid-Mundspüllösung.
Nach der topischen Tetracyclin- und Glukokortikoid-Therapie waren die entzündlichen Veränderungen bis auf ein kleines Areal im Vestibulum (Abb. 7) abgeheilt. Daraufhin entschlossen wir uns, diese Stelle für eine weitere Woche mit einem Glukokortikoid zu behandeln, und wählten Betamethasonvalerat-Haftpaste, die sich in der anterioren Umschlagfalte gut applizieren lässt und dort auch für eine längere Zeit verbleibt. Gleichzeitig wurde mit der Pimecrolimus-Anwendung begonnen, d.h., es wurde vom Patienten morgens Betamethasonvalerat-Haftpaste und abends Pimecrolimus-Creme (Elidel®, Meda Pharma, Bad Homburg, Deutschland) aufgetragen. Am Therapieende wurde dann für zwei Wochen Pimecrolimus allein 1× täglich angewandt. Der Therapieplan ist im Detail inTabelle IIdargestellt.
Im Frontzahnbereich des Oberkiefers zeigte sich nach der Therapie ein unvermutetes Erscheinungsbild mit einer teils granulären, teils knötchenförmig verdickten Gingiva, die jedoch keine Entzündungszeichen erkennen ließ (Abb. 7).
Bei der Tetracyclin- und der Glukokortikoid-Therapie traten keine Nebenwirkungen auf. Während der Pimecrolimus-Anwendung hingegen stellte der Patient ein leichtes Schleimhautbrennen fest. Auf diese häufige unerwünschte Wirkung des Pimecrolimus sollte der Patient vor Therapiebeginn hingewiesen werden, da ansonsten das Brennen vom Patienten als Rezidiv missinterpretiert werden und zum Therapieabbruch führen könnte.
Das Nachuntersuchungsergebnis nach einem Jahr zeigte eine entzündungsfreie, blassrosa Gingiva und Mukosa ohne Anzeichen eines Rezidivs (Abb. 10, 11), jedoch weiterhin Stellen mit punktförmig verdickter Gingiva im Frontzahnbereich (Abb. 10).
###more### ###title### Differenzialdiagnosen ###title### ###more###
Differenzialdiagnosen
Die vielen kleinen, gelblichen bis cremefarbenen Punkte der Pyostomatitis vegetans sind sehr charakteristisch und ermöglichen bereits klinisch morphologisch die Abgrenzung zu anderen Erkrankungen - zumindest bei voller Ausprägung. Differenzialdiagnostisch sind bei weniger eindeutiger Symptomatik (initiale oder minimal ausgeprägte Läsionen) andere kleine, gelbliche bzw. gelblich durch die Mukosa schimmernde Veränderungen der Mundschleimhaut zu berücksichtigen, wie ein verruciformes Xanthom und freie Talgdrüsen (Fordyce Granula).
Merkmal der Pyostomatitis vegetans:Die Primäreffloreszenz ist eine kleine Pustel, keine Blase (Abgrenzung zur Pemphigusgruppe und zum Herpes), die Sekundäreffloreszenz ist eine Erosion. Differenzialdiagnostisch von Bedeutung ist, dass sich bei der Pyostomatitis vegetans die blassgelblichen Effloreszenzen auf entzündlich roter Mukosa bzw. Gingiva befinden und nicht auf klinisch unauffälliger Schleimhaut, wie dies beispielsweise bei ektopischen Talgdrüsen (Fordyce Granula) der Fall ist.
Ein weiteres differenzialdiagnostisch wichtiges (jedoch nicht konstant nachweisbares) Merkmal ist die Entleerung von Eiter auf Druck, so dass ein Eitersee oder Eiterschleier entsteht. Im Lauf der Zeit kann sich das Erscheinungsbild verändern und sich aus den ursprünglichen Läsionen mit Pusteln ein mehr hyperplastisches Gewebe entwickeln.
Eine wichtige Differenzialdiagnose ist der orale Morbus Crohn, der teilweise sehr ähnliche morphologische Veränderungen aufweisen kann, wie hyperplastische Schleimhautfalten, zipfelförmige Schleimhautverdickungen, lineare Erosionen bzw. Ulzerationen, Aphthen oder aphthoide Läsionen. Des Weiteren manifestiert sich der Morbus Crohn auch an der Gingiva mit einer flächenhaften erythematösen Gingivitis. Beim oralen Morbus Crohn fehlen jedoch die Pusteln, was ein wichtiges Unterscheidungskriterium ist.
Interessanterweise weist die betroffene Gingiva sowohl bei der Pyostomatitis vegetans als auch beim oralen Morbus Crohn einen leicht orangeroten Farbton auf. Die Ähnlichkeit beider Erkrankungen zeigt auch der Blick auf eine hyperplastische und gefurchte Wangenschleimhaut, die beim Morbus Crohn und auch bei der Pyostomatitis vegetans zu finden ist.
Zur Unterscheidung beider Erkrankungen trägt außerdem die histopathologische Untersuchung wesentlich bei. Der Morbus Crohn ist gekennzeichnet durch nicht verkäsende Epitheloidzellgranulome mit oder ohne vielkernige Riesenzellen. Diese sind aber bei der Pyostomatitis vegetans nicht zu finden. Die wichtigsten Differenzialdiagnosen sind inTabelle IIIzusammengestellt.
Die Unterscheidung zwischen Pyostomatitis vegetans und oralem Lichen planus kann anhand folgender Kriterien getroffen werden: Beim oralen Lichen planus hat die weißliche Formengruppe (papuläre, retikuläre Form und Plaque-Form) eine eher weiße Farbe verglichen mit den blassgelblichen bis grauweißlichen Veränderungen der Pyostomatitis vegetans. Nach unserer Beobachtung haben Gingiva und Mukosa bei der Pyostomatitis vegetans im Unterschied zum Lichen planus einen anderen roten Farbton, einen ganz leicht gelblich roten bis orangeroten, was als differenzialdiagnostisches Kriterium genutzt werden kann.
Erwähnt werden soll, dass Lichen planus und Pyostomatitis vegetans auch gleichzeitig vorkommen können (Chapple & Hamburger 2006). Eigene Beobachtungen in einem anderen Fall, bei dem sich auf dem Boden eines jahrelang bestehenden erythematösen Lichen planus eine Pyostomatitis vegetans entwickelte, zeigen dies ebenfalls.
###more### ###title### Diskussion ###title### ###more###
Diskussion
Therapie
Die Behandlung der Pyostomatitis vegetans kann lokal und/oder systemisch erfolgen. In dem hier beschriebenen Fall wurde die Pyostomatitis vegetans allein lokal behandelt. Dieser Therapieansatz ergab sich einerseits aus der Akuität der Pyostomatitis vegetans (die Therapie sollte rasch beginnen) und andererseits mit Blick auf die Darmsymptomatik, die aus gastroenterologischer Sicht keine systemische Behandlung erforderte.
Ein weiteres gewichtiges Argument für die Lokaltherapie ist das geringere Risiko für schwere unerwünschte Medikamentenwirkungen. Aber auch bei topischen Glukokortikoiden sind mögliche Nebenwirkungen zu bedenken bzw. vorzubeugen, insbesondere der oralen Candidiasis. Regelmäßige Verlaufsuntersuchungen (frühes Erkennen der Nebenwirkung), eine an den Schweregrad angepasste Dosis, die Beachtung der Wirkung von anderen, gleichzeitig verordneten immunsuppressiven Medikamenten, der Blick auf Begleiterkrankungen und ein spezialisierter und mit den Wirkstoffen vertrauter Arzt sind dafür gute Voraussetzungen.
Medikamente, die sich in der topischen Therapie der Pyostomatitis vegetans als wirksam erwiesen haben, sind in erster Linie Glukokortikoide (Ayangco et al. 2002; Gonzalez-Moles et al. 2008) sowie auch Tetracyclin (Chan et al. 1991) und Tacrolimus (Werchniak et al. 2005).
Die von uns gewählte Therapie umfasst diese Wirkstoffe bzw. Substanzen aus diesen Wirkstoffgruppen, die bei unserem Patienten entsprechend dem vorgestellten Therapieschema miteinander kombiniert wurden. Bei einer längeren topischen Glukokortikoid-Therapie, wie hier beschrieben, ist eine präventive antimykotische Vor- und Begleitbehandlung zu empfehlen.
Zu Beginn der intraoralen Glukokortikoid-Anwendung sollte dann keine Candida (mehr) nachweisbar sein. Hierzu wurde eine einwöchige präventive Nystatingabe gewählt. Dies wurde bei unserem Patienten erreicht, so dass vor Behandlungsbeginn - und im gesamten Behandlungsverlauf - keine Candida-Kolonisation bzw. Candida-Infektion nachzuweisen war.
Begleitend zur Glukokortikoid-Therapie in höherer Dosierung wurden ein chlorhexidinhaltiges Gel und eine chlorhexidinhaltige Zahncreme angewandt. Ziel der Chlorhexidin-Begleitanwendung war, das Risiko einer oralen Candidiasis während der Therapie zu verringern. Hierbei sollte die antimykotische Wirkung von Chlorhexidin (neben der antibakteriellen Wirkung) genutzt werden (Ellepola & Samaranayake 2001).
Der Chlorhexidin-Anwendung folgte der adjuvante Gebrauch einer Fluorid-Mundspüllösung, ebenfalls mit dem Ziel, den antimykotischen Effekt präventiv zu nutzen (Meurman et al. 2006).
Ergebnis der Therapie und der Nachuntersuchung
Die für die gesunde Gingiva typische orangenschalenartige Tüpfelung oder Stippelung des Zahnfleischs trat bei dem Patienten nach Therapie stärker ausgeprägt auf. Des Weiteren zeigten sich körnchen- und kleine knötchenförmige Verdickungen der vestibulären Gingiva im Frontzahnbereich (Abb. 7). Vom klinischen Aspekt her sehen diese kleinen Verdickungen wie fibröse Hyperplasien, wie ein fibrös-hyperplastischer Ausheilungszustand aus. Eine weitere Gewebeprobe, mit der die Frage nach Art und Genese der Gewebsverdickung hätte beantwortet werden können, wollten wir aufgrund der Mehrbelastung für den Patienten jedoch nicht durchführen.
Zur Nachuntersuchung nach einem Jahr war die gingivale Stippelung zurückgegangen und die kleinen granulären Verdickungen waren etwas abgeplattet, doch im Wesentlichen morphologisch wenig verändert (Abb. 10). Die kleinen punktförmigen Verdickungen können als granuläre bzw. papuläre fibröse Gingivahyperplasie bezeichnet werden. Diese posttherapeutische Gingivamorphologie wurde bisher in der Literatur über die Pyostomatitis vegetans noch nicht beschrieben.
Therapiemodifikationen und Therapiealternativen
Folgende Therapiemodifikation ist zu erwägen: Das topische Glukokortikoid Triamcinolonacetonid kann durch ein nicht halogeniertes Glukokortikoid der vierten Generation ersetzt werden, z.B. Methylprednisolonaceponat (Bethke 2009).
Bei der hier beschriebenen Behandlung wurde zum Therapieausklang bzw. in der Erhaltungstherapie eine alternierende Anwendung von Glukokortikoid und Calcineurininhibitor gewählt (morgens Glukokortikoid und abends Pimecrolimus) - mit dem Ziel der Wirksamkeitssteigerung und eventuell der Reduktion des Brennens durch Pimecrolimus. Eine überlegenswerte Behandlungsoption ist auch ein tageweise abwechselnder Gebrauch (z.B. 2 Tage Glukokortikoid und 5 Tage Pimecrolimus).
Als Therapiealternative zu dem hier vorgestellten komplexen Behandlungsplan kann die alleinige topische Glukokortikoid-Therapie (+/- antimykotische Begleitbehandlung) angesehen werden (Ayangco et al. 2002; Gonzalez-Moles et al. 2008). Um dabei eine ausreichende Wirkung zu erzielen, ist Wirkstoffen aus der Klasse der mittelstark, stark und sehr stark wirksamen Glukokortikoide, wie Triamcinolonacetonid, Methylprednisolonaceponat, Betamethasonvalerat, Fluocinonid und Clobetasolpropionat, der Vorzug zu geben. Alternativ kann auch eine Monotherapie mit dem Calcineurininhibitor Tacrolimus (Werchniak et al. 2005) oder mit Pimecrolimus in Betracht gezogen werden.
Weitere Diagnostik und Kofaktoren
Eine Eosinophilie im peripheren Blut wurde in 90 Prozent der Fälle beschrieben und kann ein hilfreiches diagnostisches Merkmal sein (Thornhill et al. 1992). Zudem konnten kürzlich Veränderungen der Eosinophilenzahl des Blutes im Erkrankungsverlauf mit der Krankheitsaktivität und der Therapiewirkung assoziiert werden (Shephard et al. 2015).
Auch bei unserem Patienten bestand eine leichte Bluteosinophilie, wobei die multiplen Allergien des Patienten hier ebenfalls berücksichtigt werden müssen. Dies gibt zu der Überlegung Anlass, ob im vorliegenden Fall ein Zusammenhang zwischen Allergien und Pyostomatitis vegetans bestehen könnte, z.B. Allergien als initiierender und/ oder aggravierender Kofaktor. Aufgrund möglicher intestinaler Resorptionsstörungen infolge der Darmerkrankung ist ein vollständiger Vitamin- und Spurenelementestatus empfehlenswert.
Pyostomatitis vegetans und Darmerkrankungen
Bei dem hier vorgestellten Fall wurden im Dickdarm leichte Entzündungszeichen gefunden, die aber nicht als eindeutige histopathologische Veränderung im Sinne einer Colitis ulcerosa oder eines Morbus Crohn charakterisiert werden konnten. Ob es sich bei der leichtgradigen Veränderung der Dickdarmmukosa um eine initiale Läsion einer sich zu einem späteren Zeitpunkt manifestierenden Colitis ulcerosa oder eines Morbus Crohn handelt, wird erst im weiteren Verlauf zu erkennen sein, allerdings ist auch später eine definitive Zuordnung nicht in jedem Fall möglich.
Hierbei ist zu berücksichtigen, dass eine orale Beteiligung bei chronisch-entzündlichen Darmerkrankungen in einigen Fällen der klinisch fassbaren intestinalen Manifestation zeitlich vorausgehen kann. Des Weiteren wäre auch denkbar, dass die Darmveränderung eine regrediente Läsion im phasenhaften Verlauf einer chronisch-entzündlichen Darmerkrankung darstellt, die jedoch bislang klinisch asymptomatisch war.
Die entzündlich veränderte Darmregion (isoliert im Colon sigmoideum) ist eine nicht ganz typische Region für die Erstmanifestation einer Colitis ulcerosa, nachdem in der Mehrzahl der Fälle eine kontinuierliche Entzündung von anal nach oral zu erwarten wäre. Diese Lokalisation wäre eher mit der Kolonbeteiligung bei einem Morbus Crohn vereinbar, schließt jedoch eine subklinische Colitis ulcerosa nicht aus.
Pyostomatitis vegetans und Lebererkrankungen
Die Pyostomatitis vegetans kann mit Lebererkrankungen assoziiert auftreten. Folgende Leber- bzw. Gallenwegserkrankungen wurden bei Patienten mit Pyostomatitis vegetans beschrieben: Leberfibrose (Zegarelli &Kutscher 1962), Hepatitis und Leberzirrhose (Cataldo et al. 1981), periportale Hepatitis und Pericholangitis (Vanhale et al. 1985), sklerosierende Cholangitis (Philpot et al. 1992). Healy et al. (1994) wiesen daher auf den Nutzen von Leberfunktionstests bei Patienten mit Pyostomatitis vegetans hin.
Schlussfolgerungen
Die Pyostomatitis vegetans ist eine Erkrankung, die - trotz ihrer Seltenheit - aufgrund ihrer charakteristischen Morphologie relativ zuverlässig erkannt werden kann. Im akuten Zustand und bei voller Ausprägung weist die Erkrankung ein hochtypisches blassgelblich gesprenkeltes Aussehen auf. Die diagnostisch wichtigen Merkmale sind: blassgelbliche Pusteln auf entzündlich rotem Grund, Erosionen und verdickte Gingiva und Mukosa.
Nach der Therapie wurde bei dem hier vorgestellten Patienten ein unerwartetes klinisches Erscheinungsbild der Gingiva mit kleinen, blassrosa Verdickungen beobachtet und von uns als granuläre bzw. papuläre fibröse Gingivahyperplasie bezeichnet.
Als Fazit der Therapie lässt sich festhalten, dass eine Pyostomatitis vegetans bei gleichzeitiger leichtgradiger Kolitis mit Erfolg allein lokal behandelt werden konnte. Mit den gewählten und in Kombination angewandten Medikamenten stehen Mittel zur Verfügung, die sich in der Behandlung der Pyostomatitis vegetans als wirksam und in der hier beschriebenen Anwendungsweise als nebenwirkungsarm erwiesen haben. Häufig ist die Pyostomatitis vegetans mit entzündlichen Darmerkrankungen assoziiert und sollte als Hinweis auf diese angesehen werden.
Zusammenfassung
Die Pyostomatitis vegetans ist eine Erkrankung der Gingiva und der Mundschleimhaut mit einer auffallenden, ungewöhnlichen Morphologie. Klinische Charakteristika dieser seltenen Erkrankung und differenzialdiagnostische Überlegungen werden beschrieben.
Die Pyostomatitis vegetans ist häufig mit chronisch-entzündlichen Darmerkrankungen assoziiert und kann so den diagnostischen Hinweis auf eine bestehende Colitis ulcerosa oder einen Morbus Crohn geben. Ein Therapieplan für die Pyostomatitis vegetans wird vorgestellt, der bei allein lokaler Behandlung zur Remission führte.
Die Nachuntersuchung nach einem Jahr zeigte, dass das erreichte Behandlungsergebnis stabil geblieben war. Ein unerwartetes klinisches Erscheinungsbild der Gingiva mit kleinen, blassrosa Verdickungen nach Therapie und bei der Nachuntersuchung wird geschildert.
Gösta Bethke, Gudrun Bethke, Matthias Prager, Peter Purucker: Pyostomatitis vegetans - zahlreiche blassgelbe Punkte auf entzündlich rotem Grund, in: Swiss Dent J. 2017;127(6):523-537.
Korrespondenz: Dr. med. dent. Peter PuruckerCharité-Universitätsmedizin BerlinCampus Benjamin Franklin Charité Centrum für Zahn-, Mund- und KieferheilkundeAbteilung für Parodontologie und Synoptische ZahnmedizinAssmannshauser Strasse 4-6, 14197 BerlinE-Mail: peter.purucker@charite.de

















