Der Fall: Retrograde Wurzelkanalfüllung
Ein 61-jähriger Patient stellte sich mit Schmerzen und einer Schwellung (Durchmesser etwa 1 cm) in der Umschlagfalte des rechten Oberkiefers regio 16 in der Poliklinik für Zahnerhaltung des Universitätsklinikums Münster vor. Zahn 16 zeigte sich in der Sensibilitätstestung mit CO2-Schnee negativ und in der Perkussionsprobe positiv.
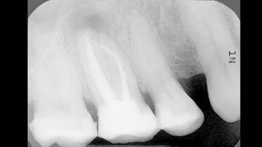
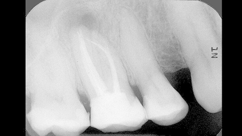
Er berichtete, dass an diesem Zahn ungefähr ein Jahr zuvor eine Wurzelkanalbehandlung alio loco durchgeführt worden war. Das angefertigte Röntgenbild (Abbildung 1) zeigte eine apikale Aufhellung und ein frakturiertes Wurzelkanalinstrument, das vermutlich über den Apex des mesiobukkalen Wurzelkanals herausragte. Die Füllung aller vier Wurzelkanäle erschien röntgendicht, wandständig und ohne Zeichen von Porositäten oder Lufteinschlüssen.
Nach ausführlicher Beratung des Patienten und Aufklärung über den Behandlungsablauf, wurde eine terminale Infiltrationsanästhesie (Septanest, Septodont) an Zahn 16 durchgeführt. Zur akuten Behandlung der bestehenden Schmerzen wurde der Bereich inzidiert, um für einen Abfluss von Pus zu sorgen. Die Wunde wurde gespült und ein Jodoformstreifen eingelegt.
###more### ###title### Die Behandlung ###title### ###more###
Die Behandlung
Am nächsten Tag und dann vier Tage nach der Erstversorgung kam der Patient zur Wundspülung und zum Austausch des Iodoformstreifens. An beiden Tagen berichtete der Patient davon, beschwerdefrei zu sein. Ein Austritt von Pus konnte nicht mehr beobachtet werden. Weitere drei Tage später wurde - nach eingehender Beratung und Aufklärung des Patienten - eine Wurzelspitzenresektion geplant. Nach terminaler Anästhesie wurde ein trapezförmiger mukogingivaler Lappen in regio 16 präpariert.
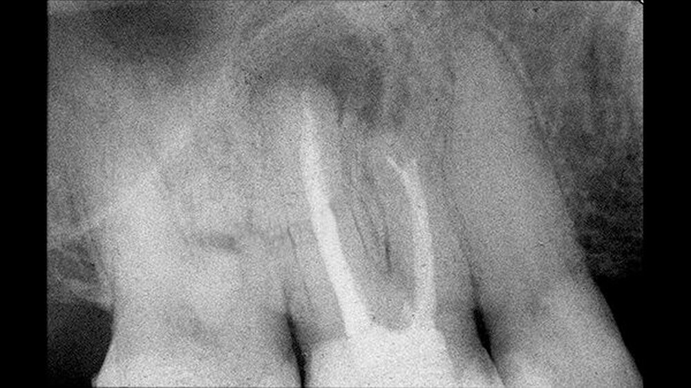
Um die mesiobukkale Wurzel freizulegen, wurde der Knochen darüber entsprechend entfernt (Abbildung 2) und eine Wurzelspitzenresektion an der mesiobukkalen Wurzel Zahn 16 durchgeführt. Das Granulationsgewebe konnte vollständig entfernt werden und wurde für eine histopathologische Untersuchung eingeschickt.
Mit einem ultraschallgetriebenen diamantierten, abgewinkelten Instrument wurden beide Wurzelkanäle der mesiobukkalen Wurzel von retrograd präpariert (Abbildung 3). Das frakturierte Instrument konnte so dargestellt (Abbildung 4) und entfernt werden.
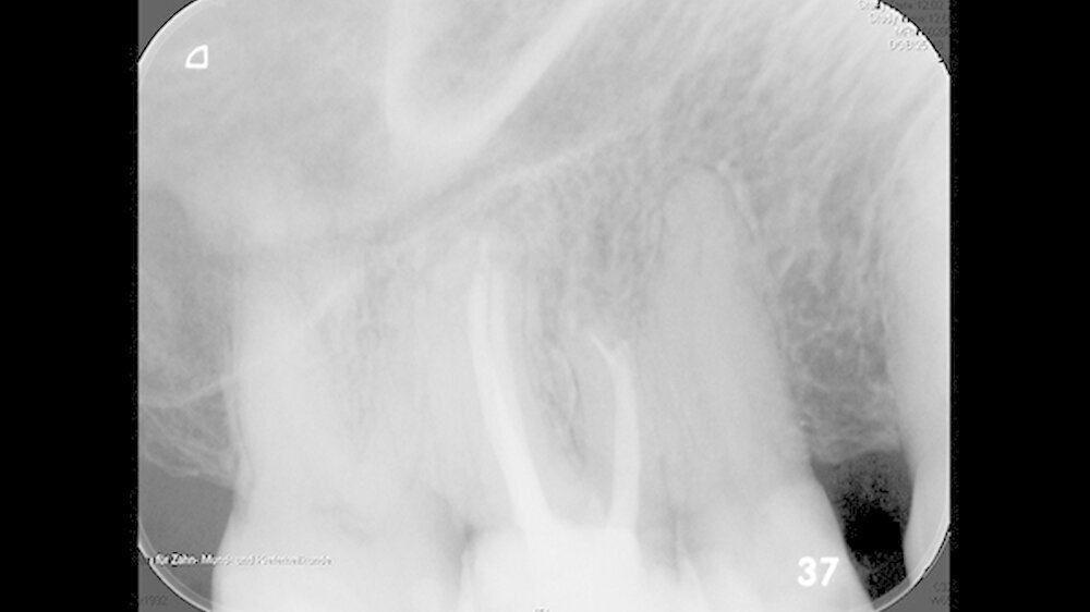
Beide mesiobukkalen Wurzelkanäle wurden mit einem Ultraschallansatz etwa 3 mm tief von retrograd präpariert und gesäubert. Biodentine (Septodont) wurde als retrogrades Wurzelkanalfüllmaterial gewählt, nach Herstellerangaben angemischt und retrograd appliziert (Abbildung 5). Der mukogingivale Lappen wurde adaptiert und vernäht. Das postoperative Röntgenbild zeigte eine vollständige Entfernung des frakturierten Instruments sowie einen Knochendefekt um die mesiobukkale Wurzelspitze herum (Abbildung 6).
Eine Woche nach der Operation wurden die Nähte entfernt. Die Wundheilung verlief komplikationslos und der Patient war beschwerdefrei. Die pathohistologische Untersuchung bestätigte die Diagnose eines apikalen Granuloms mit einer Akkumulation von Granulozyten und Schaumzellen. Ein Zysten-bildendes Epithel oder maligne Zellen konnten nicht nachgewiesen werden.
3, 7, 16 und 39 Monate nach der Wurzelspitzenresektion wurde der Patient zu Kontrolluntersuchungen einbestellt. Bei allen Untersuchungszeitpunkten war er beschwerdefrei und der Zahn 16 zeigte sich sowohl in der Sensibilitätstestung als auch in der Perkussionsprobe negativ.
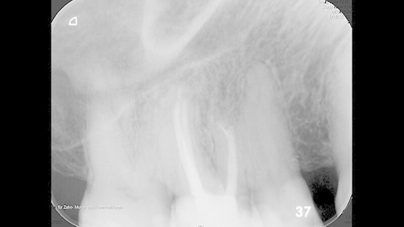
Die angefertigten Röntgenaufnahmen deuteten auf eine beginnende knöcherne Regeneration im Bereich der mesiobukkalen Wurzelspitze bereits nach drei Monaten (Abbildung 7) und eine vollständige Heilung sieben Monate (Abbildung 8) nach retrogradem Verschluss mit Biodentine hin. Der 3 Jahre und 3 Monate nach der Wurzelspitzenresektion angefertigte Zahnfilm zeigte stabile apikale Verhältnisse (Abbildung 9).
###more### ###title### Fazit ###title### ###more###
Fazit
Für eine erfolgreiche Wurzelspitzenresektion ist ein retrograder Verschluss von resizierten Wurzelkanälen zwingend erforderlich, da Guttapercha bekanntermaßen alleine aufgrund seiner Materialeigenschaften und Oberflächenbeschaffenheit nicht in der Lage ist, eine knöcherne Regeneration an der Wurzelspitze zu induzieren [Christiansen R, et al., 2009].
Außerdem ist es das Ziel eines retrograden Verschlusses, die Wurzelkanäle apikal bakteriendicht zu verschließen und ein Mikroleakage zu verhindern. In der Vergangenheit wurden dafür verschiedene zahnärztliche Materialien wie Amalgam, verstärkter Zinkoxid-Eugenol-Zement (IRM, Super-EBA), Glasionomerzement und Komposit verwendet [Bodrumlu E, 2008; Carr GB, 1994; Stropko JJ, 2009].
Zunehmend wird aber auch Mineral Trioxide Aggregate (MTA) hierfür empfohlen, da dieser Zement bessere klinische Ergebnisse zeigt. MTA ist in der Lage den Wurzelkanal bakteriendicht zu verschließen und ist sowohl biokompatibel als auch bioaktiv, das heißt, das Wachstum von Knochenzellen kann durch diesen Zement induziert werden [Bodrumlu E, 2008; Roberts HW et al., 2008].
Nichtsdestotrotz hat MTA auch Nachteile: die Handhabung kann unter Umständen nicht ganz einfach sein, die Abbindezeit ist relativ lang, Druck- und Biegefestigkeit sowie die Vickershärte ist niedriger als die von Dentin, und es ist vergleichsweise teuer. Demgegenüber scheint Biodentine Vorteile zu bieten: Das Material ist ebenfalls bioaktiv und biokompatibel, die Abbindezeit ist kürzer, Druck- und Biegefestigkeit sowie Vickershärte liegen im Bereich von Dentin.
Wie im vorliegenden Fall gezeigt werden konnte, kam es nach Anwendung von dieses Materials bereits nach etwa einem halben Jahr zu einer vollständigen knöchernen Regeneration des Resektionsgebietes. Der positive Effekt auf Knochenzellen und damit die Bioaktivität von Biodentine konnte in vitro eindeutig nachgewiesen werden [Jung S et al., 2013].
Die initiale Abbindezeit des Biodentines von etwa 15 Minuten wurde im vorliegenden Fall nicht abgewartet, bevor die Wunde verschlossen wurde, da das Material – wie andere Kalziumsilikatzemente – auch in feuchter Umgebung abbindet. Vermutlich werden allerdings dann nicht die optimalen werkstoffkundlichen Eigenschaften wie zum Beispiel Endhärte erreicht, was klinisch betrachtet aber von untergeordneter Bedeutung ist, da der retrograde Verschluss Kaukräften nicht direkt ausgesetzt ist.
Danksagung: Mein Dank gilt OA Dr. Sebastian Bürklein für die Unterstützung bei der Durchführung der Wurzelspitzenresektion.
Prof. Dr. Till DammaschkeUniversitätsklinikum Münster, Zentrum für Zahn-, Mund- und Kieferheilkunde, Poliklinik für ZahnerhaltungAlbert-Schweitzer-Campus 1, Gebäude W 30Waldeyerstraße 30, 48149 Münstertillda@uni-muenster.de
Literatur:
Bodrumlu E. Biocompatibility of retrograde root filling materials: A review. Aust. Endod J 2008; 34: 30–35.
Carr GB. Surgical endodontics. In: Cohen S, Burns RC (eds.) Pathways of the pulp. 6th ed. Mosby, St. Louis 1994, pp 531–567.
Christiansen R, Kirkevang LL, Hørsted-Bindslev P, Wenzel A. Randomized clinical trial of root-end resection followed by root-end filling with mineral trioxide aggregate or smoothing of the orthograde gutta-percha root filling - 1-year follow-up. Int Endod J 2009; 42: 105–114.
Jung S, Mielert J, Dammaschke T. Human oral cells´ response to different endodontic restorative materials: An ex vivo study. Int Endod J 2013; 46 (Suppl 100): 39.
Roberts HW, Toth JM, Berzins DW, Charlton DG. Mineral trioxide aggregate material use in endodontic treatment: A review of the literature. Dent Mater 2008; 24: 149–164.
Stropko JJ. Micro-surgical endodontics. In: Castellucci A (ed.) Endodontics. Vol. III. Edizioni Odontoiatriche Il Tridente, Florence 2009, pp 1118–1125.
Mit freundlicher Genehmigung aus: Septodont: Biodentine HandbuchFallbericht 7.












