Der Fall: Schmerzen durch freie Gelenkkörper
Eine 87-jährige Patientin wurde im November 2014 erstmals über unsere zentrale Notaufnahme vorstellig. Sie berichtete über starke Schmerzen im Bereich des linken Kiefergelenks. Die Beschwerdesymptomatik sei jedoch unter lokal abschwellenden Maßnahmen sowie der hochdosierten Gabe von Antiphlogistika, die ihr von ihrem Hauszahnarzt bereits verordnet wurden, etwas rückläufig.
Allgemeinmedizinisch gab sie an, sie leide an einer arteriellen Hypertonie und Arthrose, sei aber in Behandlung. Zur weiteren Therapie und Diagnostik wurde die Patientin stationär aufgenommen.
Klinische Diagnosestellung
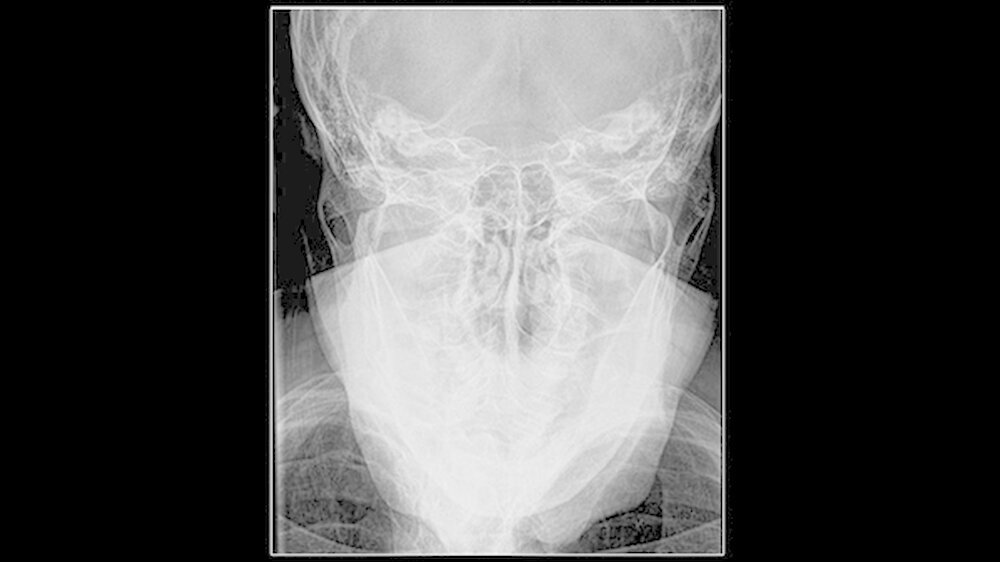
Die klinische Untersuchung zeigte eine überwärmte, schmerzhafte Schwellung präauriculär links und eine stark eingeschränkte Mundöffnung bei zahnlosem Kiefer. Das angefertigte Orthopantomogramm und die Schädelaufnahme in posterior-anteriorer Projektion gaben keinen eindeutigen Hinweis auf Pathologien im Bereich des linken Kiefergelenks, mit denen die ausgeprägten Beschwerden der Patientin hätten erklärt werden können.
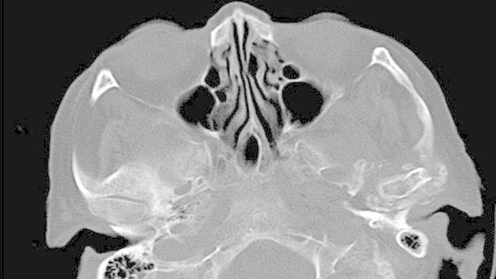
Es war lediglich ein stark verschmälerter Gelenkspalt im Bereich des linken Kiefergelenks erkennbar, woraufhin eine Computertomografie des Unterkiefers durchgeführt wurde (Abbildungen 1 und 2). Dabei zeigten sich eine Deformierung des linken Kiefergelenksköpfchens mit Unregelmäßigkeiten der Kortikalis sowie eine Fremdkörpereinlagerung (freie Gelenkkörperchen) im Bereich des Gelenkspalts (Abbildungen 3 und 4).
Aufgrund der uns nun vorliegenden Befunde und der ausgeprägten Beschwerdesymptomatik haben wir der Patientin die Entfernung der freien Gelenkkörper (Gelenkrevision) im Bereich des linken Kiefergelenkköpfchens von außen in Intubationsnarkose empfohlen. Zunächst bat sie um Bedenkzeit - entschloss sich aber nach kurzer Zeit zu dem oben genannten operativen Eingriff unter stationären Bedingungen.
###more### ###title### Entfernung der freien Gelenkkörper ###title### ###more###
Entfernung der freien Gelenkkörper
Das linke Kiefergelenk wurde über einen präaurikulären-temporalen Zugang unter Schonung des N. fazialis dargestellt. Nach Sichtbarwerden der deutlich verdickten Gelenkkapsel erfolgte die Inzision circa zwei Millimeter unterhalb der Gelenkgrube und Eingehen in den oberen Gelenkspalt (Abbildungen 5 und 6). Mithilfe der Schere wurde nun die Adhärenz des Discus artikularis von der Gelenkkapsel scharf getrennt und damit in den unteren Gelenkanteil eingegangen.
Jetzt wurde der zum Teil intraartikulär und zum Teil in der verdickten Gelenkkapsel liegende korpuskuläre Gelenkkörper unter ausgiebiger Spülung der Gelenkkapsel entfernt. Danach ließ sich der stark deformierte Gelenkkopf erkennen (Abbildung 7). Mithilfe von Diamantkugeln und einer maschinell betriebenen Feile wurde der Gelenkkopf ausgiebig modellierend osteotomiert und das Gelenk erneut inspiziert.
Die sich in situ befindlichen Fremdkörper wurden mit einem kleinen scharfen Löffel entfernt und das Gelenk nochmals gespült (Abbildung 8). Anschließend erfolgte eine adaptierende Naht der Gelenkkapsel und das Einbringen einer 8-er Redon-Drainage in die Wundhöhle. Nun erfolgten die Subkutan-Naht sowie die Hautnaht und das Anlegen eines sterilen Verbandes. Die entfernten Fremdkörper wurden zur patho-histologischen Untersuchung in Formalin aserviert und versandt.
###more### ###title### Postoperative Therapie und Fazit ###title### ###more###
Postoperative Therapie und Fazit
Perioperativ wurde bereits eine intravenöse Antibiose mit Cefuroxim 1,5 Gramm eingeleitet und während des fünftägigen stationären Aufenthalts dreimal täglich weitergeführt. Die intraoperativ eingelegte Redon-Drainage konnte zeitgerecht am dritten postoperativen Tag entfernt werden.
Am fünften postoperativen Tag konnte die Patientin mit reizlosen Wundverhältnissen und unter Fortführung der Antibiose in oraler Form mit Cefuroxim 500 Gramm zweimal täglich für weitere vier Tage in die ambulante Nachsorge entlassen werden. Der weitere Heilungsverlauf gestaltete sich komplikationslos. Die patho-histologische Untersuchung ergab die bereits vermutetete Diagnose von freien Gelenkkörperchen im Bereich des linken Kiefergelenks.
Fazit
Dieser Fallberichts verdeutlicht, dass bei Kiefergelenkbeschwerden nicht immer von einer „einfachen“ Funktionsstörung des Kiefergelenkes ausgegangen werden sollte, sondern bei einem sehr ausgeprägten Beschwerdebild eine weitere bildgebende Diagnostik in Form einer Computertomografie oder einer Magnetresonaztomografie der Kiefergelenke sinnvoll ist.
Die Therapie mittels eines Aufbisshelfs (konservative Therapie), wie oft bei einer Funktionsstörung angewendet, hätte bei oben genannter Patientin mit großer Wahrscheinlichkeit zu keiner Schmerzfreiheit geführt. Grundsätzlich sollte man daher zwischen Funktionsstörungen (zum Beispiel muskuläre Hyperaktivität, kondyläre Hypermobilität, degenerative Gelenkerkrankung oder Diskuspathologien) einerseits und den eigentlichen Erkrankungen des Kiefergelenks (zum Beispiel synoviale Chondromatose, Ankylose, kondyläre Hyperplasie, Trauma oder Tumor) andererseits unterscheiden [Teschke, Reich, 2015].
Die synoviale Chondromatose gehört in die Gruppe der Kiefergelenkerkrankungen und ist eine eher seltene Entität, für die das Auftreten von freien Gelenkkörperchen charakteristisch ist. Die Erkrankung kann nicht nur im Bereich der Kiefergelenke, sondern an allen Gelenken des Körpers auftreten [Umstadt, Kusch, 2003].
Im Bereich des Kiefergelenks findet man freie Gelenkkörperchen seltener als in den großen Gelenken, wie zum Beispiel dem Knie- oder Hüftgelenk. Das Krankheitsbild ist durch eine Metaplasie der Synovialmembran gekennzeichnet, wobei die Ursache noch nicht eindeutig geklärt ist [Glanzmann et al., 2009].
Arthritis oder Arthrose liegen meist zugrunde
Man geht davon aus, dass die freien Gelenkkörper infolge einer Verletzung, einer knochenschwächenden Erkrankung (zum Beispiel einer Osteomyelitis), einer Arthritis oder einer Arthrose entstehen. Bei freien Gelenkkörpern handelt es sich um abgetrennte Knorpel- und Knochenstücke, die sich in den Gelenken ablagern und anfangs eine unregelmäßige Form besitzen.
Durch die Abnutzung werden sie aber mit der Zeit glatt, kugelig oder sogar scheibenförmig. Sobald sie sich im Gelenkspalt zwischen dem Gelenkkopf und der Gelenkpfanne verfangen, können sie den Bewegungsablauf stören. Zusätzlich kommt es zu einer Abnutzung des Gelenkknorpels. Dieses Stadium bleibt zunächst ohne jegliche Schmerzen, da der Knorpel keine Nervenendigungen hat.
Im späteren Stadium der Erkrankung, wenn der Knorpeldefekt bis zum Knochen reicht, können indes starke Schmerzen mit Schwellungen und Überwärmungen auftreten, wie in unserem beschriebenen Fallbericht [Mason et al. 2003; McCarthy 2004; McCarthy, Demirtacs 2006; Sahin, Demirtacs 2006; Singh, O`Donnell, 2010].
Die Therapie der Wahl bei Kiefergelenkerkrankungen mit Schmerzen, eingeschränkter Motilität und morphologisch nachweisbaren Veränderungen ist ein operatives Vorgehen sowie in unserem beschriebenen Fall die operative Entfernung der freien Gelenkkörperchen. Hingegen ist bei einer alleinigen Funktionsstörung zunächst eine konservative Therapie (zum Beispiel Aufbissbehelf, Physiotherapie, medikamentöse Therapie oder Verhaltenstherapie) indiziert.
Erst wenn diese nicht zur gewünschten Beschwerdefreiheit des Patienten führt, ist die operative Behandlung als Option in die therapeutischen Überlegungen mit einzubeziehen [Teschke, Reich, 2015].
Dr. Simone Bojer, Susanne Schnabel, Dr. Dr. Herbert RodemerKlinik für Mund-, Kiefer- und GesichtschirurgieKlinikum Saarbrücken gGmbhWinterberg 1, 66119 Saarbrückensbojer@klinikum-saarbruecken.de
1. Glanzmann MC, Schwyzer HK, Bode PK, Simmen BR: Sekundäre synovialeOsteochondromatose des Schultergelenkes eines 14-jährigen Athleten. ObereExtremität; 4 (1): 23-25, 2009
2. Mason JB, McCarthy, O`Donell J, Barsoum W, Mayor MB, Busconi BD: Hip arthroscopy: surgical approach, postioning, and distraction. Clinical orthopaedics and related research; 406: 29-37, 2003
3. McCarthy JC: Hip arthroscopy: when it is and when it is not indicated. Instructional course lectures; 53: 615-621, 2004
4. McCarthy JC, Lee JA: Arthroscopic intervention in early hip disease . Clinical orthopaedics and related research; 429: 157-162, 2004
5. Sahin G, Demirtacs M: An overview of MR arthrosgraphy with emphasis on the cureent technique and applicational hints and tips. European journal of radiology; 58 (3): 416-430, 2006 6. Singh PJ, O`Donnell JM: The outcome of hip arthroscopy in Australian football league players: a review of 27 hips. arthroscopy: the journal of arthroscopic & related surgery; 26 (6): 743-749, 2010
7. Teschke M, Reich RH:Funktionsstörungen und Erkrankungen des Kiefergelenks. MKG-Chirurg; 8: 47-60, 2015
8. Umstadt H, Kusch B: Freie Gelenkkörper im Kiefergelenk. Oral andMaxillofacialSurgery; 7 (6): 330-334, 2003











