Der Fall: Transplantation des 38 nach 37
Abstract
Autogenous tooth transplantation refers to the repositioning of autogenous teeth in another tooth extraction site or a surgically formed recipient site to replace missing teeth due to congenital deformity, grossly decayed carious teeth, mobile teeth due to periodontal disease, teeth lost due to trauma, endodontic failure or any other reason when a suitable donor tooth is available. This is a case report of autotransplantation of impacted #38 with complete root formation into the extraction site of grossly decayed, unrestorable #37 with 18 months follow-up showing excellent periapical healing and tooth stability. In autogenous tooth transplantation, even if the donor's tooth has complete root formation, a high success rate can be achieved if the cases are selected and treated properly. Chances of root resorption are there because of necrotic pulp and periodontal irritation during manipulation. However, autogenous tooth transplantation should always be considered as a good treatment modality in feasible cases.
Der Fallreport
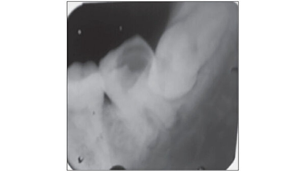
Eine 27-jährige Patientin stellte sich mit Schmerzen im linken Unterkiefer in der Abteilung für Zahnerhaltung und Endodontie am Himachal Dental College in Himachal Pradesh , Indien, vor. Die klinische und radiologische Untersuchung ergab, dass der Zahn 37 stark kariös war. Zudem lag eine chronische irreversible Pulpitis und apikale Parodontitis vor. Der Zahn 38 zeigte horizontale Einbrüche (Abbildung 1). Daher wurde beschlossen, 37 und 38 gleichzeitig zu extrahieren und den 38 in die Extraktionsstelle des 37 zu transplantieren.
Der Patientin wurde über die operative Vorgehensweise sowie über mögliche Komplikationen aufgeklärt. Eine Stunde vor dem Eingriff wurden ihr 1.000 Milligramm Amoxicillin (Novamox, Cipla Ltd., India) und 400 Milligramm Ibuprofen (Flexon, Aristo Pharmaceutical Pvt Ltd., India) verabreicht. Zur Full-Mouth-Desinfektion gurgelte sie mit Betadine (Win-Medicare Pvt Ltd., India).
Die Anästhesie erfolgte mit Lidocain-Hydrochlorid (Lignox zwei Prozent, Indoco-Remedies Ltd., India). Zuerst erfolgte die Extraktion von Zahn 37 extrahiert - ohne die Corticales zu beschädigen. Danach erst erfolgte die Extraktion von Zahn 38, um hier die Gewebeschäden so gering wie möglich zu halten. Eine horizontale intrakrevikuläre Inzision wurde durchgeführt. Zahn 38 wurde bis zur Transplantation in isotoner Kochsalzlösung gelagert, parallel eine Socket Preparation vorbereitet (Abbildung 2).
Zahn 38 wurde in das vorbereitete "Bett" von 37 transplantiert. Mit Nahtmaterial (Nähte India Pvt Ltd, Indien) stabilisierten die Zahnärzte die Position des transplantierten Zahns (Abbildung 3). Die intraradikuläre Schienung erfolgte mit formbarem kieferorthopädischem Draht (Tru-Bogen, Ormco Ltd., USA). Anhand eines postoperativen Röntgenbilds wurde die neue Position des 38 überprüft. Zur Unterstützung des Heilungsprozesses bekam die Patientin einen parodontalen Wundverband (Coe-Pack, G C Indien) angelegt.
Der jungen Frau wurde empfohlen, das Kauen für ein paar Tage auf der operierten Seite zu vermeiden und weiche Nahrung zu sich zu nehmen. Zudem spülte sie - vorsichtig - zweimal täglich mit 0,2 Prozent w / v Chlorhexidingluconat (Rexidin, Indoco-Remedies Ltd., Indien). Sie wurde auf Amoxicillin 500 Milligramm (Novamox, Cipla Ltd., Indien) dreimal am Tag, Metronidazol 400 Milligramm (Metron, Ulticare-Alkem Laboratories, Indien) dreimal täglich und Ibuprofen 400 Milligramm (Flexon, Aristo Pharma Pvt Ltd, Indien) dreimal täglich über einen Zeitraum von sieben Tagen medikamentiert. Die Fäden wurden nach sieben Tagen gezogen.
###more### ###title### Postoperative Kontrollen ###title### ###more###
Postoperative Kontrollen
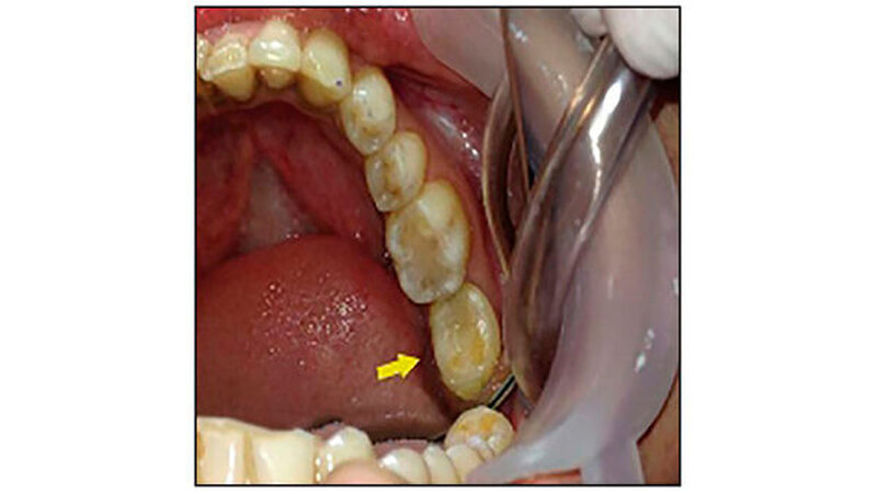
Beim Follow-up nach einem Monat zeigte sich bei der intraoralen Untersuchung eine ausreichende Stabilität des Zahns 38 in der "Fassung" des ehemaligen Zahns 37. Auf einen Kofferdam wurde verzichtet, um den 38 durch die Kofferdamklammer nicht zu schädigen. Mesiale und distale Kanäle wurden mit NiTi-Handfeilen (Denstply Maillefer, Ballaigues, Schweiz) gereinigt und mit Kochsalzlösung 0,9 Prozent w / v (Alkem Laboratories Ltd., Indien) und 5,2 Prozent Natriumhypochlorit (Surya Fine Chemicals getan Ltd., Indien) gespült. Daraufhin erfolgte die Aufbereitung der Kanäle. Ein Calciumhydroxid-Verband (Metapex, Meta Dental Corporation, USA) wurde für zwei Wochen angelegt, um die periapikale Heilung voranzutreiben.
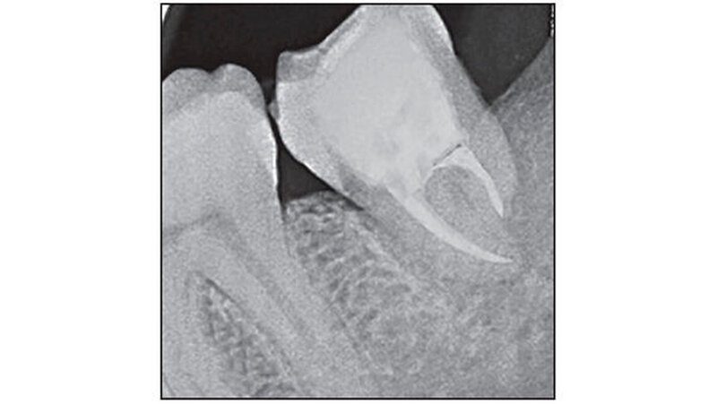
Bei einer Röntgenkontrolle nach vier Wochen präsentierte sich ein zufriedenstellender Heilungsverlauf am periapikalen Bereich. Der transplantierte Zahn wurde als stabil befunden. Der Wurzelkanal des Zahns 38 wurde mit Gutta Percha (Dentsply Maillefer, Ballaigues, Schweiz) gefüllt, danach folgte eine Versiegelung mit Sealapex (Kerr Corporation CA, USA). Die Wurzelkanalfüllung wurde per Röntgenbild überprüft (Abbildung 4). Die Patientin spülte anschließend drei- bis viermal täglich einen Monat lang mit warmer Kochsalzlösung.
Nach sechs, neun, 12 und 18 Monaten folgten weitere klinische und radiologische Kontrollen (Abbildungen 4 und 5). Bei jedem Besuch wurden der Mundhygienestatus, die Stabilität des Transplantats, die Sulkustiefe, Okklusion und die Wurzelresorption überprüft. Die vollständige Heilung war nach 18 Monaten erreicht.
Zusammenfassung
Dieser Fall zeigt, dass sich die autogene Transplantation als Behandlungsmethode bewährt, wenn die Indikationen stimmen: Eine gewissenhafte Planung, aber auch die Auswahl geeigneter Patienten sowie die zu transplantierenden Zähne, eine perfekte Patienten-Compliance und nicht zuletzt die Erfahrung des Operateurs tragen zum Erfolg einer Zahntransplantation erheblich bei.
Autotransplantationen stellen eine kostengünstige Alternative zu Implantaten und festen Teilprothesen dar. Zahntransplantate können zu einer besseren Funktionalität und Biokompatibilität in der Mundhöhle beitragen. Der Erhalt des alveolaren Kamms sollte im Vordergrund stehen.
Der FallreportSandeep Gupta, Munish Goel, Gurmeet Sachdeva, Bharti Sharma, und Divye Malhotra ist im Journal of Conservative Detistry erschienen.







