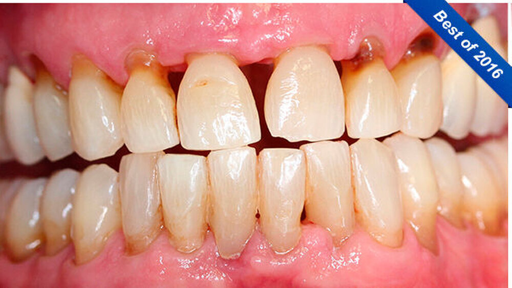
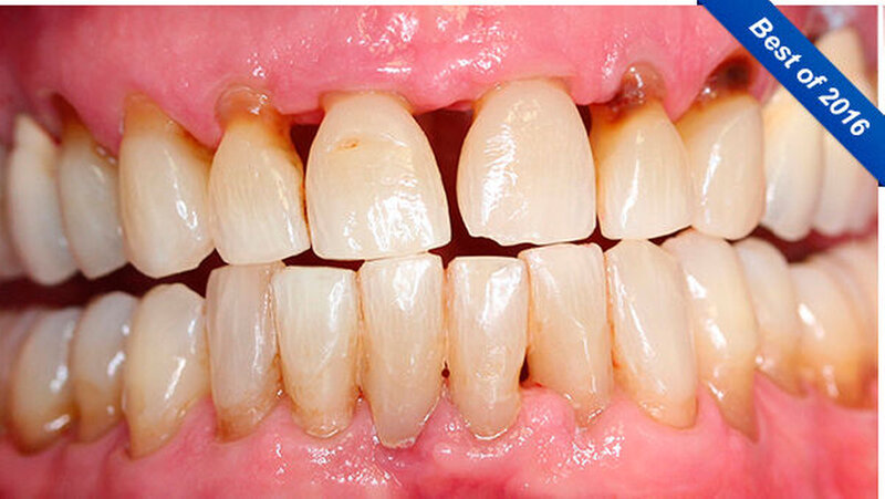
Der horizontale Schwund bleibt die Herausforderung!
Frau Prof. Arweiler, ist Parodontitis eine deutsche Volkskrankheit?
Prof. Nicole Arweiler:Mit ihrer sehr hohen Prävalenz in Deutschland und weltweit ist Parodontitis sicher nicht nur im Jahr 2016, sondern schon seit Jahren eine Volkskrankheit - auch wenn dies so nicht im Bewusstsein der Bevölkerung und auch der Gesundheitspolitik präsent ist. Selbst in Medizinerkreisen oder in den Gesundheitsreporten der Krankenkassen merke ich immer wieder, dass man sich schwer tut, die Parodontitis als „Volkskrankheit“ anzuerkennen. Ganz zu schweigen von den Wechselwirkungen, die die Parodontitis mit anderen „Volkskrankheiten“ wie zum Beispiel Diabetes hat.
Parodontitis hat bereits vor über 100 Jahren Zahnärzte und Ärzte beschäftigt - was wusste man damals darüber?
Mit Zahnfleischschwund oder der akuten Entzündung in Zahnfleischtaschen, die damals noch als Alveolar-Pyorrhoe bezeichnet wurde, haben sich Zahnärzte schon vor über 100 Jahren beschäftigt. In diesem Zusammenhang ist äußerst interessant, dass bereits der Zahnarzt Robert Neumann 1912 in Berlin erkannt hat, dass seine Patienten mit Alveolar-Pyorrhoe häufig auch andere Erkrankungen wie Lues, Gicht, Herzkrankheiten und vor allem Diabetes hatten.
"Neumann hat einen Meilenstein gesetzt, der 100 Jahre vergessen wurde!"
Er hat diese dann bezüglich ihres Allgemeinleidens von Internisten „Hand in Hand“ - wie er in seinem Buch schreibt - behandeln lassen und dabei eine deutliche Verbesserung des Mundzustandes beobachtet. Er hat damit einen Meilenstein gesetzt, der offensichtlich 100 Jahre vergessen wurde, wenn man erst heute von dem „aktuellen“ Thema „Interdisziplinarität“ spricht.
Während aber noch vor wenigen Jahrzenten sehr viel vom entzündeten parodontalen Gewebe „weggeschnitten“ wurde, wissen wir heute viel mehr um die Ursachen und das mögliche Heilungspotenzial, so dass wir derzeit vor allem „antiinfektiös“ vorgehen und weitaus schonendere Maßnahmen bevorzugen.
Ein neuer, sehr wichtiger Aspekt ist mittlerweile aber die Prävention, indem wir Parodontitis gar nicht erst entstehen lassen. Dazu dürfen frühe Anzeichen - wie zum Beispiel eine Gingivitis - nicht nur als „Kavaliersdelikt“ registriert, sondern müssen aktiv therapiert werden.
Was ist bei der interdisziplinären Arbeit essenziell, um Parodontitis zu managen?
In den letzten Jahren ist bereits bei Ärzten als auch bei Patienten sehr viel Aufklärungsarbeit geleistet worden, um die Parodontitis nicht nur als ein dentales oder ästhetisches Problem zu betrachten, bei dem „halt der ein oder andere Zahn verloren geht“, sondern dass diese chronische Erkrankung zahlreiche Folgen für den Gesamtorganismus hat oder auch mit anderen Erkrankungen in gegenseitige Wechselwirkungen tritt.
Artikel nicht gefunden id_extern: typo3-import-article-771
<interactive-element xmlns:ns3="http://www.w3.org/1999/xlink" ns3:href="censhare:///service/assets/asset/id/" ns3:role="censhare:///service/masterdata/asset_rel_typedef;key=actual."/>
###more### ###title### Parodontitis: eine Wundfläche von etwa 20cm2 ###title### ###more###
Parodontitis: eine Wundfläche von etwa 20cm2
Nichtsdestotrotz muss weiter an der Aufklärung gearbeitet werden, um zu veranschaulichen, dass Patienten mit Parodontitis eine Wundfläche von etwa 20cm2in ihrer Mundhöhle aufweisen und mit ihren Taschen wahre Bakterien-Brutkästen mit idealen Bedingungen für anaerobe Keime mit sich tragen.
Die photodynamische Therapie bringt Erfolge
Wie erfolgreich sind neuere Verfahren wie die PDT?
Auch wenn die photodynamische Therapie (PDT) noch kein Standardverfahren in der Parodontitis-Therapie darstellt, so gibt es zahlreiche positive Studien und neuerdings vermehrt sogenannte Meta-Analysen, die der photodynamischen Therapie einen zusätzlichen Erfolg gegenüber einem rein mechanischen Scaling und Root Planing/SRP bescheinigen. Abgesehen von der Taschendesinfektion haben wir im Rahmen einer Studie bereits erste positive Ergebnisse bei der Behandlung von oralem Lichen ruber, die im März auf einem Dermatologen-Kongress in Wien vorgestellt werden.
Und an welchen Therapieformen arbeitet die Wissenschaft ganz aktuell?
Während wir leichte Parodontitisformen therapeutisch sehr gut im Griff haben, ist der horizontale Knochenabbau beziehungsweise der horizontale „Zahnfleisch-Schwund“ immer noch die große Herausforderung. Hier wird derzeit an Verfahren und Materialien geforscht, die eine horizontale Regeneration von Knochen, aber vor allem des gesamten Zahnhalteapparats ermöglichen und so wieder den ästhetischen Ursprungszustand des parodontalen Gewebes für den Patienten wiederherstellen.
###more### ###title### Die "unorganisierte" Nachsorge ###title### ###more###
Die "unorganisierte" Nachsorge
Warum wird die Nachsorge nicht flächendeckend durchgeführt?
Hier kann ich nur spekulieren, da die Nachsorge der Schlüssel für den Erfolg einer durchgeführten Parodontitis-Therapie ist. Außerdem ist sie ein wichtiger Teil zur regelmäßigen Kontrolle und Unterstützung des Patienten bei der dringend notwendigen häuslichen Mundhygiene.
Sicher hängt die häufig „unorganisierte“ Nachsorge mit einem mangelnden Bewusstsein des Patienten zusammen, da für ihn vermeintlich die Therapie abgeschlossen ist, aber auch damit, dass diese Mitarbeit oft vom Praxisteam nicht gefordert wird. Ein weiterer Faktor ist sicher auch die Tatsache, dass die Nachsorge keine Kassenleistung ist und privat vom Patienten bezahlt werden muss. Ich sehe aber gerade darin eine Chance, mit guter Aufklärung die Eigenverantwortung des Patienten zu fördern.
"Keiner wird mit einer (elektrischen) Zahnbürste in der Hand geboren!"
Die Prävalenz steigt. Was kann die biofilmbasierte Erkrankungnoch eindämmen?
Prophylaxe und Frühdiagnostik müssen in den Praxen weiter ausgebaut werden. Trotz allem Wissen und Aufklärung der Öffentlichkeit um Zahnbelagsbildung und notwendiges Putzen, muss es dann doch auch täglich zweimal durchgeführt werden. Mundhygiene ist schwer, keiner wird mit einer (elektrischen) Zahnbürste in der Hand geboren. Ich beobachte sehr häufig, dass gut frisierte, gut parfümierte und gut gekleidete Patienten erscheinen, es aber in der Mundhöhle anders aussieht: Hier ist nicht gut geputzt und nicht gut gepflegt worden. Dieses Umsetzen der Empfehlungen aus Hochglanzbroschüren muss zusammen mit dem Praxispersonal eingeübt werden.
Auch muss das Bewusstsein um den dentalen Biofilm als Hauptursache gestärkt werden. Ich sehe immer wieder, dass Patienten oder Zahnärzte gerne Aussagen wie „Parodontitis kann auch an plaquefreien Zähnen entstehen", „Patienten mit schlechter Mundhygiene müssen nicht unbedingt Parodontitis haben“ oder „ich putze perfekt, an der Mundhygiene kann es nicht liegen“ vorbringen. Sicher ist die Parodontitis multifaktoriell verursacht, viele einzelne Puzzleteile können zum Krankheitsgeschehen beitragen. So können auch Zähne mit Plaque parodontal gesund bleiben oder Patienten mit gut gepflegten Zähnen, aber einer Allgemein-Problematik an Parodontitis erkranken. Aber bei den meisten Patienten weiß ich doch ganz genau, dass der Biofilm die Ursache war.
Die Fragen stellte Sara Friedrich.
Prof. Dr. med. dent. Nicole Arweiler istDirektorinund Lehrstuhlinhaberin der Abteilung für Parodontologie der Philipps-Universität Marburg. Sie forscht schwerpunktmäßig zum oralen Biofilm.





