Die Koronektomie als Alternativtherapie
Zusammenfassung
Die Weisheitszahnentfernung stellt den häufigsten chirurgischen Eingriff in der zahnärztlichen Praxis dar. Besteht auf dem OPT eine sehr nahe Lagebeziehung zwischen der Wurzel und dem Mandibularkanal, muss bei der Extraktion mit einer erhöhten Inzidenz der Schädigung des N. alveolaris inferior gerechnet werden.
Eine Nervläsion und die damit einhergehenden Sensibilitätsstörungen sind meistens vorübergehend, können jedoch selten auch permanent sein. Dies kann schwerwiegende Folgen für das Patientenwohlbefinden haben. Nicht nur bei alltäglichen Tätigkeiten wie beim Rasieren oder beim Sprechen können Patienten eingeschränkt sein, es können auch psychische Probleme bis hin zu neuropathischen Schmerzen im Innervationsgebiet auftreten.
Die Koronektomie von Weisheitszähnen im Unterkiefer wurde erstmals vor mehr als 25 Jahren beschrieben. Dabei handelt es sich um eine chirurgische Technik zur Minimierung von Nervschädigungen bei sehr naher Lagebeziehung von Zahnwurzel und dem N. alveolaris inferior bei Weisheitszähnen und Molaren im Unterkiefer, wenn die komplette Entfernung des Zahns nur unter einer wahrscheinlichen Schädigung des N. alveolaris inferior möglich wäre. Diese Technik wurde ausführlich durch randomisierte, kontrollierte Studien dokumentiert. Die Koronektomie wird mit einem Fallbeispiel dargestellt, und die aktuelle Literatur dazu wird diskutiert.
Einführung
Zahnextraktionen gehören zu den häufigsten chirurgischen Eingriffen in der zahnärztlichen Praxis (Celikoglu et al. 2010). Bei der Weisheitszahnextraktion können intraoperative Komplikationen auftreten wie z. B. eine mechanische Traumatisierung des N. lingualis oder N. alveolaris inferior (Vögelin et al. 2008). Um das Risiko von intraoperativen Komplikationen möglichst zu vermeiden, sollte zur Operationsplanung unterer Weisheitszähne immer eine Orthopantomografie (OPT) durchgeführt werden. Das Risiko einer Nervschädigung ist bei folgenden radiologischen Befunden im OPT erhöht (Howe & Poyton 1960; Rood & Shehab 1990; Alantar et al. 1995):
Abweichung des Canalis mandibulae im Wurzelbereich
Aufhellung der Wurzel bei Überlagerung des C. mandibulae
unterbrochene Lamina dura des C. mandibulae bei Überlagerung des C. mandibulae
Eine kürzlich veröffentlichte Studie mit 1.200 Patienten, 51,77 Prozent Männern und 48,3 Prozent Frauen im Alter von 20 bis 40 Jahren (Mittelwert 26,3 Jahre), zeigte bei 50 Prozent der Weisheitszähne im Unterkiefer einen nahen Nervverlauf. Bei Männern war dieser Befund häufiger sichtbar (58,3 Prozent) (Padhye et al. 2013). In diesen Fällen wird eine digitale Volumentomografie (DVT) zur genaueren Abklärung der anatomischen Strukturen empfohlen (Lübbers et al. 2011). Falls im DVT eine ausgesprochen nahe Lagebeziehung zwischen der Weisheitszahnwurzel und dem C. mandibulae sichtbar ist, kann die Operationsplanung entsprechend angepasst werden im Sinne einer Koronektomie (Renton 2013). Das DVT kann bei "high-risk"-Zähnen nachweislich die Inzidenz von Nervschädigungen reduzieren (Umar et al. 2013).
In früheren Studien trat bei der Weisheitszahnextraktion eine Schädigung des N. alveolaris inferior in 8 Prozent der Fälle temporär und in 3,6 Prozent bleibend auf (Howe & Poyton 1960; Rood & Shehab 1990). Das Risiko für eine Nervschädigung nimmt dabei mit der Nähe von Wurzel und dem C. mandibulae zu (Eyrich et al. 2011). In einer neueren Untersuchung wurde eine höhere Inzidenz beschrieben. Falls radiologisch ein sehr naher Nervverlauf sichtbar ist, muss mit 20 Prozent temporärer und 1 bis 4 Prozent permanenter Nervschädigung gerechnet werden (Renton et al. 2005).
Nervschädigungen sind schwierig zu therapieren. Eine permanente Schädigung kann den betroffenen Patienten stark beeinträchtigen z. B. durch eine resultierende Dysästhesie der geschädigten Seite (Schmerzen schon bei leichter Berührung) (Smith et al. 2013). Bei schwierigen anatomischen Verhältnissen und sehr naher Lagebeziehung zwischen der Weisheitszahnwurzel und dem Mandibularkanal ist die Koronektomie eine Therapievariante, welche mit dem Patienten diskutiert werden sollte. Diese Technik wurde zuerst im Jahr 1989 vorgestellt (Knutsson et al. 1989).
Der Weisheitszahn wird dabei dekoroniert, und der Wurzelblock wird ohne Wurzelbehandlung in situ belassen. In einer kürzlich publizierten systematischen Übersicht wurde eine zehnfach geringere Inzidenz einer Nervschädigung beschrieben (Long et al. 2012). Bei der Indikationsstellung zur Koronektomie ist es wichtig, dass Patienten in gutem Allgemeinzustand sind und insbesondere keine Erkrankungen vorliegen, die das Wundheilungspotenzial beeinflussen können (Tab. I). Patienten sollten kooperativ sein und die Risiken der Koronektomie verstehen können.
Weiterhin muss beachtet werden, dass die Koronektomie nur bei sehr komplexen und sehr nahen Lagebeziehungen zwischen der Weisheitszahnwurzel und Mandibularkanal indiziert ist und nicht die komplette operative Entfernung ersetzen darf. Eine Kontraindikation liegt vor, wenn Patienten in abgelegene Regionen verreisen, wo keine genügende zahnärztliche Versorgung garantiert werden kann.
Vor dem Eingriff wird immer eine Einverständniserklärung des Patienten eingeholt, und der Patient wird über die Diagnose, das Vorgehen sowie mögliche Risiken und Alternativen informiert.
Mögliche Komplikationen sind:
Intraoperatives Anluxieren des Wurzelblocks. Die Wurzel muss dann vollständig extrahiert werden, was mit einer erhöhten Inzidenz der Nervschädigung einhergehen kann.
Frühe postoperative Infektion. Die Symptome sind ähnlich wie bei einer Alveolitis sicca und können rezidivierend auftreten. Häufig kann eine falsche chirurgische Technik verantwortlich gemacht werden bei unvollständiger Entfernung von Zahnschmelz (Patel et al. 2014). Eine vollständige Wurzelextraktion ist dann indiziert (Tab. II).
Die Migration bzw. ein weiteres Durchbrechen des Wurzelblocks erfordert einen Zweiteingriff, sobald die Mundschleimhaut durchbrochen wird (Lueng & Cheung 2009; Renton et al 2005). Systemische Antibiotika werden nicht routinemäßig verordnet. Nur bei vorbestehender Infektion, z. B. bei Symptomen einer Perikoronitis, sollten solche abgegeben werden.
Nach der Koronektomie wird der Patient über das postoperative Verhalten instruiert. Chlorhexidin-Mundspülungen 0,2 Prozent sollten während einer Woche durchgeführt werden. Der postoperative Verlauf soll radiologisch dokumentiert werden, um eine mögliche Migration zu erkennen. Im Fall von postoperativen Komplikationen müssen jedoch eine sorgfältige Untersuchung und Diagnose sowie eine zielgerichtete Therapie erfolgen. Sollte im seltenen Fall einer Infektion eine komplette Wurzelextraktion nötig werden, so ist zur erneuten Abklärung der Lagebeziehung zum N. alveolaris inferior eine DVT-Aufnahme des Wurzelblocks indiziert.
Im vorliegenden Bericht wird anhand eines Patientenfalls die Koronektomie als alternative Technik zur Behandlung von Weisheitszähnen im Unterkiefer bei naher anatomischer Lagebeziehung zum N. alveolaris inferior beschrieben. Indikation, die Vor- und Nachteile und die Behandlungsplanung werden aufgezeigt, und die aktuelle Literatur wird diskutiert.
###more### ###title### Der Fallbericht ###title### ###more###
Der Fallbericht
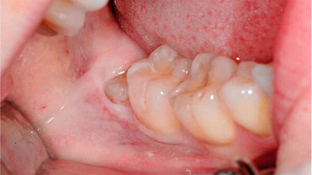
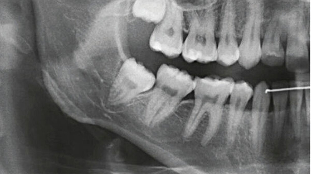
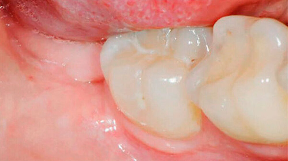
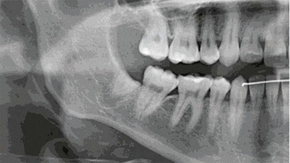
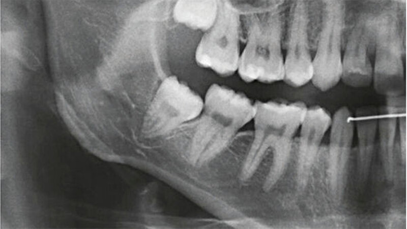
Bei der 27-jährigen, gesunden Patientin, kam es zu rezidivierender Perikoronitis des teilretinierten Zahns 48 (Abb. 1a). Primär wurde eine OPT-Aufnahme zur Operationsplanung erstellt (Abb. 1b). Dabei zeigte sich eine komplette Überlagerung der Zahnwurzel über den C. mandibulae. Zur weiteren Abklärung der Lagebeziehung wurde eine DVT-Aufnahme erstellt (Abb. 1c). Eine linguale Lage des C. mandibulae zur Zahnwurzel konnte festgestellt werden. Eine knöcherne Begrenzung des C. mandibulae zur Zahnwurzel fehlte.
Aufgrund des hohen intraoperativen Läsionsrisikos für den N. alveolaris inferior wurde eine Koronektomie geplant; die Patientin willigte nach eingehender Aufklärung ein. Präoperativ spülte sie mit 0,2 Prozent Chlorhexidin-Mundspülung (Curasept ADS® 220, Curaden AG, Kriens, Schweiz). Eine Leitungsanästhesie des N. alveolaris inferior sowie eine Infiltrationsanästhesie bukkal wurden durchgeführt (Ultracain ds forte, Sanofi-Aventis AG, Vernier, Schweiz).
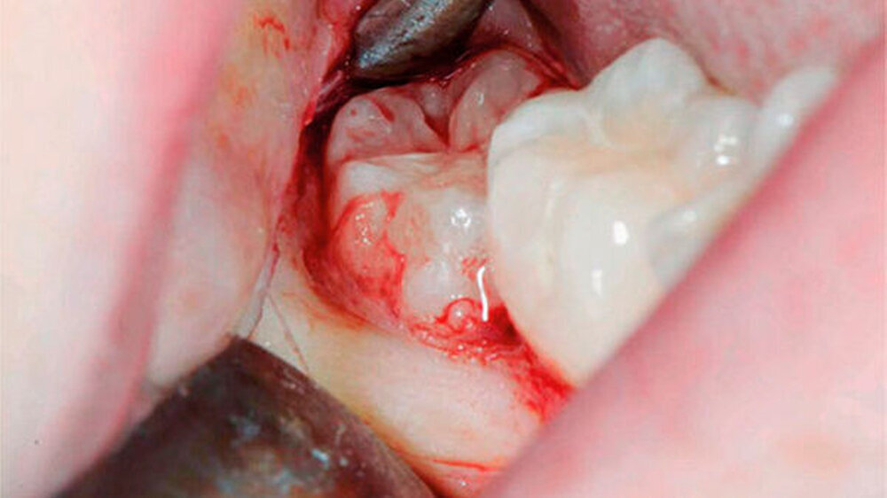
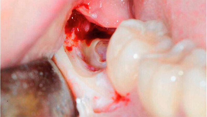
Die Koronektomie wurde, wie in Abbildungen 1a bis k gezeigt, durchgeführt. Die Schnittführung erfolgte intrasulkulär beim Nachbarzahn mit kurzer disto-bukkaler Entlastung über dem Ramus ascendens. Anschließend wurde ein bukkaler Mukoperiostlappen gebildet. Die Zahnkrone, welche von Knochen bedeckt war, wurde mit dem Handstück und dem Rosenbohrer unter ständiger NaCl-Kühlung bis zur Schmelz-Zement-Grenze freigelegt.
Anschließend wurde mit einem Fissurenbohrer die Krone an der Schmelz-Zement-Grenze abgetrennt. Es wird empfohlen, den Fissurenbohrer nur so weit in den Zahn vordringen zu lassen, dass die lingualen Weichgewebe nicht verletzt werden.
Danach wurde die Krone mit dem Hebel abgetrennt. Dabei ist darauf zu achten, dass die Wurzel nicht anluxiert wird. Falls der Wurzelblock nach dem Dekapitieren eine verstärkte Mobilität aufweisen sollte, muss aufgrund einer erhöhten Infektionsgefahr eine komplette Extraktion durchgeführt werden.
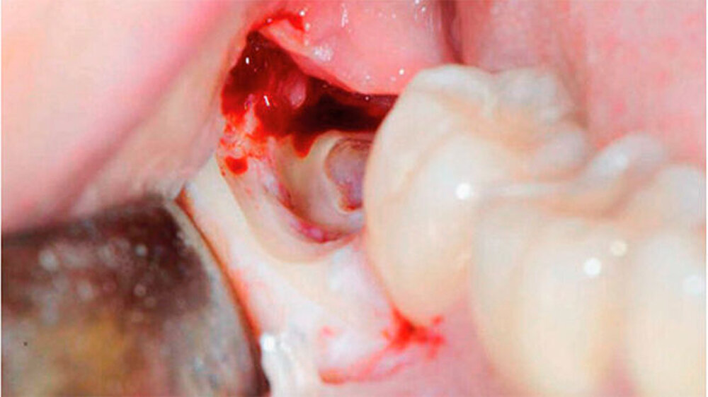
Sobald die Krone abgelöst war, konnte mit einem Rosenbohrer unter ständigem Schutz der lingualen Weichgewebe mittels Raspatorium verbleibender Schmelz abgetragen werden. Der Wurzelblock sollte einige Millimeter unterhalb der bukkalen Knochenkante abgetragen werden. Anschließend wurden scharfe Zahn- und Knochenkanten geglättet. Die Pulpa bedarf keiner weiteren Behandlung.
Nach Kürettage und Spülung mit NaCl-Lösung wurde der Lappen reponiert und ein primärer Wundverschluss durchgeführt (Supramid 4–0, B Braun Medical AG, Sempach, Schweiz). Zur Analgesie wurde der Patientin Mefenaminsäure 500 mg (Mefenacid, Streuli Pharma AG, Uznach, Schweiz) dreimal täglich verordnet.
Nach einem Jahr wurde eine radiologische sowie eine klinische Nachkontrolle durchgeführt. Die Patientin war beschwerdefrei. Radiologisch war eine deutliche Migration des Wurzelblocks in kranialer Richtung sichtbar, die Wurzelspitze war radiologisch nicht über den Mandibularkanal projiziert. Die Schleimhaut war nicht durchbrochen (Abb. 1l und 1m). In diesem Fall sollte eine vollständige Entfernung des Wurzelrests angestrebt werden.
###more### ###title### Diskussion ###title### ###more###
Diskussion
Bei der Weisheitszahnextraktion kann grundsätzlich mit wenig Komplikationen gerechnet werden, wenn eine schonende Operationstechnik angewendet wird (Vögelin et al. 2008). Die häufigste Komplikation ist die Alveolitis (5 Prozent (Vögelin et al. 2008). Diese kann meist mit einfachen Maßnahmen therapiert werden. Eine Alveolitis kann auch nach Koronektomie auftreten und sollte dann ähnlich wie nach Extraktion therapiert werden (0 bis 12 Prozent) (Cilasun et al. 2011; Renton et al. 2005).
Treten nach Koronektomie jedoch wiederholt Symptome einer Alveolitis auf, kann dies ein Hinweis sein auf eine Pulpanekrose, und die Extraktion der Wurzel muss erwogen werden. Eine andauernde Infektion und Devitalisation der Pulpa mit einhergehender infektiöser Neuritis sollte stets vermieden werden (Renton et al. 2005).
Verletzung des N. alveolaris inferior
Eine weitere, jedoch viel schwerwiegendere Komplikation nach Extraktion von unteren Weisheitszähnen ist die Verletzung des N. alveolaris inferior. Falls eine permanente Schädigung auftritt, müssen Patienten an Spezialisten überwiesen werden, um die weitere Behandlung zu planen.
In einer Untersuchung wurden Patienten mit einer Nervschädigung nach Weisheitszahnextraktion zu ihren subjektiven Beschwerden befragt. Dabei wiesen die meisten Patienten (86 Prozent) Schmerzen bei alltäglichen Aktivitäten wie Rasieren, Sprechen und Küssen auf (Smith et al. 2013). In den USA sowie England wurde vor einigen Jahren für untere Weisheitszähne bei naher Lagebeziehung zum C. mandibulae mit hohem Risiko der Nervverletzung die Koronektomie wiedereingeführt (Renton et al. 2005).
Anlässlich der präoperativen Untersuchung vor Weisheitszahnextraktion sollte zur Abklärung der Lagebeziehung der Weisheitszähne zum C. mandibulae primär ein OPT erstellt werden. Bei einer nahen Lagebeziehung sollte dann zusätzlich ein DVT erstellt werden - mit geeignetem Untersuchungsfeld (engl.: field of view) zur Minimierung der Strahlendosis (Eyrich et al. 2011).
In einer Studie wurden 50 untere Weisheitszähne, die auf dem OPT einen problematischen nahen Nervverlauf zeigten, zusätzlich mit dem DVT untersucht. Bei den 78 Prozent der Weisheitszähne, wo im OPT eine Aufhellung der Wurzeln im Kanalbereich sichtbar war, wurde in der DVT-Aufnahme in 68 Prozent eine ausgedünnte kortikale Begrenzung festgestellt. 66 Prozent davon zeigten eine ausgedünnte linguale Kortikalis. Davon wiesen 33 Prozent der Fälle eine Ausdünnung der kortikalen Begrenzung des C. mandibulae auf und 30 Prozent eine Einziehung der Zahnwurzel (Umar et al. 2010).
In einer anderen Studie wurde darauf hingewiesen, dass bei naher Lagebeziehung gemäß OPT aufgrund sehr hoher Variabilität keine genügende Diagnosestellung möglich ist und zur genaueren Lagebestimmung von Wurzel und C. mandibulae ein DVT indiziert ist (Lübbers et al. 2011).
Unnötige Koronektomien sollten vermieden werden. 30 Prozent der Zähne, bei welchen im OPT eine nahe Lagebeziehung sichtbar ist, weisen auf dem DVT keine unmittelbar nahe Lagebeziehung auf, und eine komplette Extraktion sollte durchgeführt werden (Lübbers et al. 2011).
Zwei randomisierte, kontrollierte Studien (RCT: engl. randomised controlled trial) sowie eine systematischen Übersichtsarbeit wurden publiziert, in welchen für die Koronektomie eine tiefere Inzidenz der Nervschädigung gezeigt werden konnte (Leung & Cheung 2009; Long et al. 2012; Renton et al. 2005). Die Inzidenz der Nervschädigung betrug 0 bis 0,65 Prozent. Dabei wies ein einziger Patient nach Koronektomie eine Nervverletzung auf, welche jedoch nach zwölf Monaten komplett regredient war. Dagegen lag die Inzidenz der Nervschädigung bei den Extraktionen mit 5,1 bis 19 Prozent in einem deutlich höheren Bereich. Eine Nervschädigung, die auch nach zwölf Monaten noch nicht komplett regredient war, wurde als permanent eingestuft.
Zwei prospektive Kohortenstudien, eine Fallstudie sowie eine retrospektive Studie zeigten alle für die Koronektomie bei Weisheitszähnen mit naher Lagebeziehung zum C. mandibulae eine geringere Inzidenz der Nervschädigung (O’Riordan 2004; Dolanmaz et al. 2009; Hatano et al. 2009). Postoperative Schmerzen nach Koronektomie sind gering und können in ähnlichem Ausmaß auftreten wie bei der Weisheitszahnextraktion (Long et al. 2012).
Die Alveolitis wird bei der Koronektomie gleich behandelt wie nach Extraktion. Dabei sollte die Wunde ausgespült werden, und es kann eine Wunddrainage eingelegt werden. Bei der Koronektomie kommt es intraoperativ in 2,3 bis 38,3 Prozent der Fälle zur ungewollten Mobilisierung der Wurzeln. Dies tritt bei konischer Wurzelform häufiger auf. Sind die Wurzeln beweglich, so müssen diese wegen einer möglichen Pulpanekrose extrahiert werden. Falls die Wurzeln extrahiert werden müssen, steigt jedoch auch das Verletzungsrisiko für den N. alveolaris inferior (Renton et al. 2005).
Wurzelmigration
Nach Koronektomie kann eine Wurzelmigration auftreten. Die Migrationsdistanz war in den ersten drei postoperativen Monaten am größten, der Mittelwert betrug 1,9 mm (Leung & Cheung 2009). Dies trat bei 62,2% der Patienten auf. Nach zwölf Monaten wurde eine Migrationsdistanz von 2,97 mm beobachtet, nach 24 Monaten eine solche von 3,06 mm. Die Migrationstendenz ist somit mit der Zeit abnehmend. Es konnte eine maximale Migrationsdistanz von 6 mm gemessen werden (Leung & Cheung 2009).
Nicht nur im frühen postoperativen Verlauf kann es zur Wurzelmigration kommen. Es wurden schon Wurzelmigrationen nach über zehn Jahren beobachtet (Zola 1993). Die Tendenz dafür ist bei jüngeren Patientinnen mit konischer Weisheitszahnwurzel erhöht (Hatano et al. 2009). Ein Zweiteingriff ist nur in 0 bis 4,9 Prozent der Fälle nötig; die Indikation wird bei anhaltenden Schmerzen, Wunddehiszenz über der Wurzel oder apikalen Infektionen gestellt (Long et al. 2012). Bei einem Zweiteingriff ist das Risiko einer Nervläsion meist reduziert. Aufgrund der Migration der Wurzel und der weiteren Entfernung vom N. alveolaris inferior nimmt auch das intraoperative Läsionsrisiko ab.
Pulpavitalität
Betreffend der Pulpavitalität des verbleibenden Wurzelblocks nach Koronektomie wurden histologische Untersuchungen durchgeführt. Dabei wurde die Wurzel untersucht, welche bei Patienten mit nötigem Zweiteingriff nach Koronektomie entfernt wurde. Die periradikulären und pulpalen Gewebe zeigten keine Entzündungszeichen oder Anzeichen einer Nekrose (Patel et al. 2014).
Die Autoren vermuten, dass die Symptome, welche zur Wurzelentfernung führten, hauptsächlich aufgrund der Exposition der Wurzel gegenüber der Mundhöhle sowie einer begleitenden Entzündung der Weichgewebe auftraten und nicht aufgrund einer Pulpapathologie.
Kontraindikationen für die Koronektomie sind nekrotische Zähne oder Patienten mit kompromittiertem Wundheilungspotenzial (Tab.I). Dann muss eine Extraktion des Weisheitszahns durchgeführt werden. Dabei sollte der Zahn separiert werden und möglichst atraumatisch extrahiert werden. Die Komplika-tionsrate der Nervverletzung ist dann jedoch erhöht, und der Patient muss darüber informiert werden (Renton 2013). Weitere Indikationen für die Koronektomie sind retinierte Molaren im Unterkiefer bei nahem Nervverlauf (Chalmers et al. 2012).
In einer Fallserie wurde die Koronektomie auch bei Weisheitszähnen mit follikulären Zysten durchgeführt. Der Vorteil dieser Technik besteht darin, dass das postoperative Frakturrisiko des Unterkiefers durch eine weniger invasive Operationstechnik gesenkt werden kann. Gemäß den Autoren sind jedoch noch weitere Studien nötig, um die bisher positiven Ergebnisse bestätigen zu können (Patel et al. 2013).
Zusammenfassend kann die Koronektomie als gut dokumentierte Technik für die Behandlung unterer Weisheitszähne bei nahem Nervverlauf mit geringerer Inzidenz der Verletzung des N. alveolaris inferior angesehen werden. Um unnötige Koronektomien zu vermeiden, sollte präoperativ eine DVT-Aufnahme zur genauen Lageabklärung und Indikationsstellung erstellt werden. Wenn immer möglich sollte die komplette Extraktion des Weisheitszahns sollte angestrebt werden
Abstract
Wolf D, Renton T: Coronectomy - a treatment option for mandibular third molars with a close anatomical relationship to the inferior alveolar nerve (in German). SWISS DENTAL JOURNAL SSO 126: 1147-1153 (2016)
Extractions of mandibular third molars are a common procedure in dental practice. In cases where a close anatomical relationship of the root and the inferior alveolar nerve exists, the risk of transient or even permanent nerve injury increases. Nerve injury is difficult to manage and symptoms may cause severe patient discomfort, i.e. lifelong dysesthesia, i.e. painful sensation of the lower lip and chin area on the affected side. An alternative surgical procedure is coronectomy, which has first been described 25 year ago. Instead of complete tooth removal only the crown is extracted and the root is intentionally left in situ. A lower incidence of inferior alveolar nerve injury has been found with coronectomy in case of high-risk mandibular third molars, as was shown in randomized controlled trials. Coronectomy is presented in detail with indications as well as contra-indications. A patient case is shown and recent literature is discussed.
Wolf D1, Renton T., Die Koronektomie. Eine Behandlungsoption für Weisheitszähne im Unterkiefer bei sehr naher Lagebeziehung zum N.alveolaris inferior, in: Swiss Dent J. 2016;126(12):1147-1159.
Daniel Wolf, King’s College London Dental Institute, Dept of Oral Surgery, Denmark Hill Campus, Bessemer Road, London SE59RS, England, und Klinik für Mund-, Kiefer- und Gesichtschirurgie/ Oralchirurgie, Kantonsspital Luzern, Schweiz
Tara Renton, King’s College London Dental Institute, Dept of Oral Surgery, Denmark Hill Campus, Bessemer Road, London SE59RS, England
Die Literaturliste können Siehierherunterladen.
















