Die verdeckte Zahnlandschaft
Er schreibt: "Als eine Patientin unsere Praxis aufsuchte, um sich im Notdienst ihre frakturierte totale Oberkieferprothese reparieren zu lassen, so war dies an sich noch kein spektakuläres Ereignis (Abbildung 1). Doch als sie gebeten wurde, auch ihre subtotale Unterkieferprothese mit Drahtklammerfixierung am teil-retinierten Zahn 47 zum Zwecke einer eingehenden Inspektion der Mundhöhle zu entfernen, reagierte sie merkwürdig zögerlich, unwillig und peinlich berührt. Erst nach eindringlicher Bitte gab sie nach und entfernte den Zahnersatz (Abbildung 2).
"Cover-Denture-Prothese"
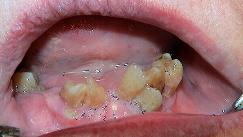
Es ergab sich ein absolut überraschendes und in dieser Form sicherlich einmaliges Bild: Sowohl im Ober- als auch im Unterkiefer befanden sich durchgebrochene, zum Teil gekippte Zähne, die topografisch nur schwer zuzuordnen waren und von dem eingegliederten Zahnersatz vollständig bedeckt wurden (Abbildungen 3 und 4).
Ein daraufhin angefertigtes OPG belegte den vorgefundenen Zustand auf beeindruckende Weise (Abbildung 5). Anamnestisch ließ sich keinerlei Erklärung über die Ursache und das Zustandekommen dieser merkwürdigen Situation finden. Die Patientin konnte oder wollte darüber keine Auskunft erteilen. Nachdem ihr der wiederhergestellte Zahnersatz ausgehändigt worden war, erschien die Patientin trotz Terminvergabe nicht wieder in unserer Praxis."
Diesen Fall reichte Zahnarzt Dr. med. Diethard Marr, Jungstr. 7, aus 98587 Steinbach-Hallenberg ein.
Wir suchen Ihre kuriosen Fälle! zm@zm-online.de - mail
Mehr zum Thema: Kuriose Fälle
"Die Ausnahmefälle kommen Freitagabend kurz vor Praxisschluss", heißt es oft in Fortbildungen. Genauso ist es. Und wenn nicht, sind es Fälle, die auch nach der Arbeit im Gedächtnis bleiben.










