Drittbester Nachwuchs-Zahnarzt
Die Kieferorthopädische Klinik (National Taiwan University Hospital) überwies die 18-jährige Patientin zur Behandlung von Karies und Wiederherstellung der Okklusion. Es wurde festgestellt, dass viele ihrer Zähne große alte Füllungen und Sekundärkaries aufwiesen.
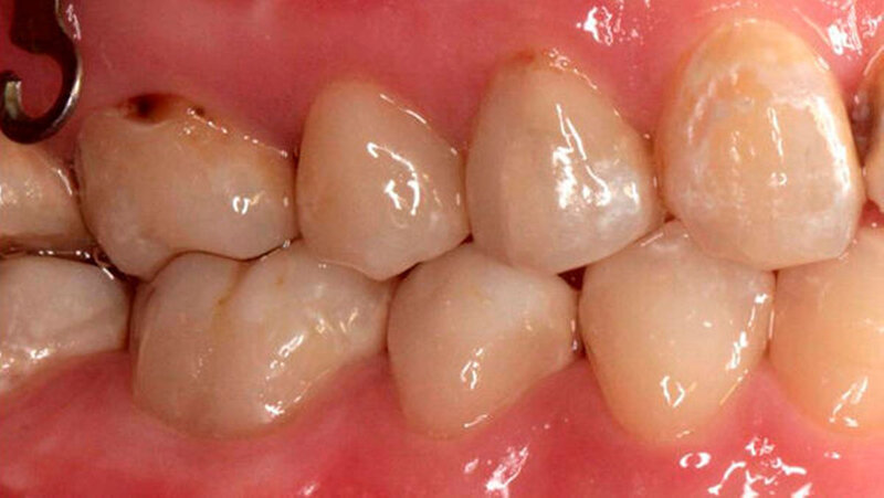
Das Röntgenbild zeigte, dass die Füllungen bei Zahn 45 und 46 nahe an der Pulpakammer lagen. Mit EPT (32/80, 35/80) und thermischen Tests wurde die Pulpavitalität geprüft (normal). Die Diagnose lautete: tiefe Karies. Die Kompositfüllungen wurden daraufhin möglichst substanzschonend ersetzt.
Die Behandlung umfasste zwei Termine (erster: Zahn 46 und 45, zweiter: Zahn 43 und 44). Zur Entfernung der alten Füllungen dienten ein runder und ein zylindrischer Diamantbohrer sowie langsam laufende Hartmetallbohrer und zur Feinbearbeitung der Kavitäten ein Ultraschallinstrument. Nach selektiver Schmelzätzung applizierte man das Adhäsiv XP BOND®. Das Dentin wurde durch SDR ® ersetzt. Dann wurden mit ceram.x one® d3 und e2 jeweils der Rest der Kavität und die Höcker restauriert. Finiert und poliert wurde mit dem Soflex Poliersystem.
Diskussion und Zusammenfassung
Die Restaurationen erfolgten minimal-invasiv. Durch Wiederherstellung der natürlichen Morphologie wurde für eine stabile Okklusion gesorgt. Auch bei der Kontrolle nach 9 Monaten machten die Füllungen morphologisch und farblich einen guten Eindruck. Ästhetik und Funktion gingen Hand in Hand.
Valentina Pankratz, Zahnmedizinstudentin in Witten/Herdecke, wurde mit dieser Fall-Präsentation fünftbeste Nachwuchszahnärztin.Den Fall stellt sie$(LC352921: hier)$ vor!











