Ebenenkorrektur mit Table Tops auf einer Brücke
Erstmalig wurde die Verblendung einer mehrgliedrigen VMK-Brücke im Molarenbereich zwecks Ebenenkorrektur mit einem vollkeramischen Table Top restauriert (Abbildung 1), begründet die Jury ihre Entscheidung.
Der basale Anteil der Brücke blieb dabei dabei vollständig erhalten. Im Video gibt der Autor dabei ganze Reihe praktischer Tipps. Die systematisch konsequente Durchführung dabei, die hohe Qualität der Darstellung und die didaktische Klarheit wurden als preiswürdig eingestuft, da diese auch auf weniger "exotische" Ausgangssituationen anzuwenden sind.
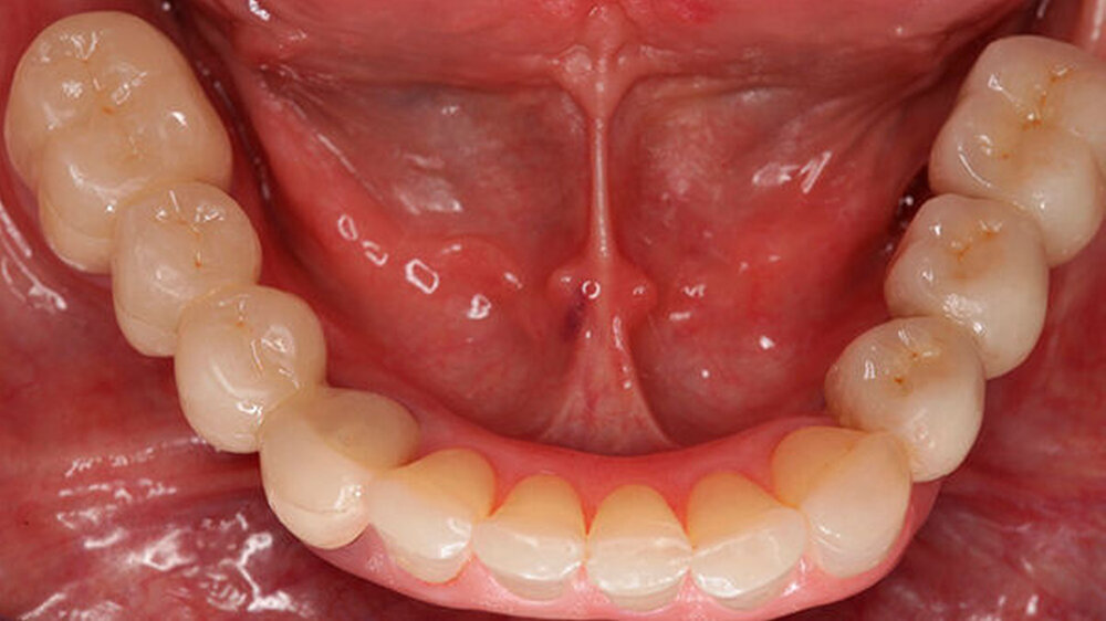
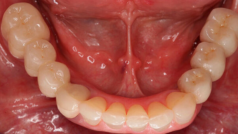
Ausgangssituation war ein insuffizient versorgtes Gebiss mit hängender Ebene im ersten und vierten Quadranten. Auf Wunsch des Patienten sollte die bestehende, implantatgetragene VMK-Brücke regio 43 bis 46 trotz Furkationgrad 3 bei guter Mundhygiene erhalten und weitere augmentative Maßnahmen im Rahmen einer Implantattherapie verhindert werden. Daraus entwickelte sich das Behandlungskonzept, lediglich die Okklusalebene mit einem keramischen Table Top minimalinvasiv zu korrigieren.
Nach Planung eines geringen okklusalen Abtrags in der Verblendkeramik wurde mittels eines Silikonschlüssels der Ist-Zustand ermittelt und die Präparation bis kurz vor die Opakerschicht vorgenommen (Abbildung 2). Für den abgetragenen Bereich wurde ein mehrgliedriges Provisorium aus Kunststoff zahnfarbig angefertigt und, nach Abstrahlung mit Korub, adhäsiv befestigt. Nach Kieferrelationsbestimmung wurde die endgültige vollkeramische Restauration zur Rehabilitation der Okklusalflächen mit einem Wax-up definiert.
Beim Präparieren wurde eine ausgeprägte Stufe gelegt und die Okklusalflächen wurden geringfügig reduziert (Abbildung 3). Das viergliedrige Table Top für die VMK-Brücke wurde aus Lithiumdisilikat-Glaskeramik gepresst und adhäsiv auf die Keramikoberfläche der vorhandenen Brücke eingegliedert.
Anschließend erfolgte die adhäsive Befestigung des Table Tops 33 und der direkte Kompositaufbau der Unterkieferfront mittels Silikonschlüssel vom Wax-up (Abbildungen 4 und 5). Drei Monate nach Eingliederung zeigte sich klinisch ein ästhetisch und funktionell einwandfreies Ergebnis (Abbildung 6).
Hier geht es zumVideo!
Den Preis für seinen Kurzfilm „Keramisches Table Top auf Brücke im Rahmen einer Full-Mouth Rehabilitation“ erhält Dr. Taskin Tuna auf dem Keramiksymposium am 26. November 2016 in Hamburg.








