Eine neue Zunge aus dem Unterarm
Auf der Jahres-Pressekonferenz der Deutschen Gesellschaft für Mund-, Kiefer- und Gesichtschirurgie (DGMKG) in Hamburg berichtete die Patientin über ihre Krebserkrankung und die bislang erfolgreiche Therapie.
Der Fall
Die Frau wurde von einem niedergelassenen MKG-Chirurgen zur weiteren Behandlung zu Prof. Dr. Dr. Max Heiland in Hamburg überwiesen und stellte sich dort in der ambulanten Sprechstunde erstmals im September 2014 vor.
Die Diagnose
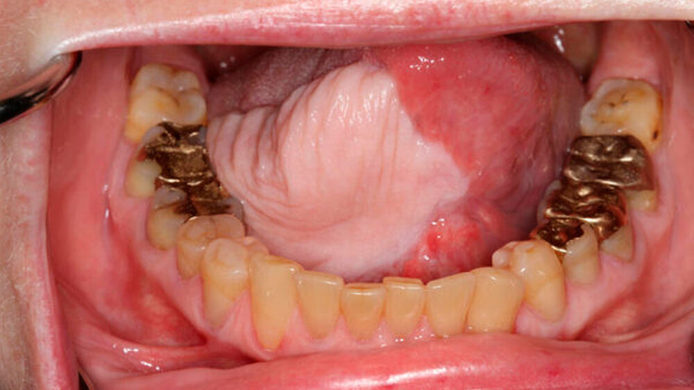
Sie berichtete, dass sie seit etwa sechs Monaten eine auffällige Veränderung der Mundschleimhaut an der vorderen Zungenunterseite sowie am rechten Zungenrand bemerkt habe. Bis vor 34 Jahren habe sie insgesamt zehn Jahre regelmäßig geraucht. Neben einer Schilddrüsenunterfunktion waren keine weiteren Erkrankungen bekannt.
Zunächst wurden Proben zur mikroskopischen Begutachtung entnommen, woraufhin sich die Diagnose einer bösartigen Krebsformation der Mundschleimhaut bestätigte. In den sich anschließenden Untersuchungen zeigten sich keine weiteren auffälligen Befunde oder Absiedlungen des Tumors in der Mundhöhle.
Die Untersuchungsergebnisse wurden in einer interdisziplinären Konferenz bestehend aus MKG-Chirurgen, HNO-Ärzten, Strahlentherapeuten, Onkologen und Pathologen ausführlich besprochen. Im Ergebnis beschlossen die Spezialisten den Tumor operativ zu entfernen.
Die Operation
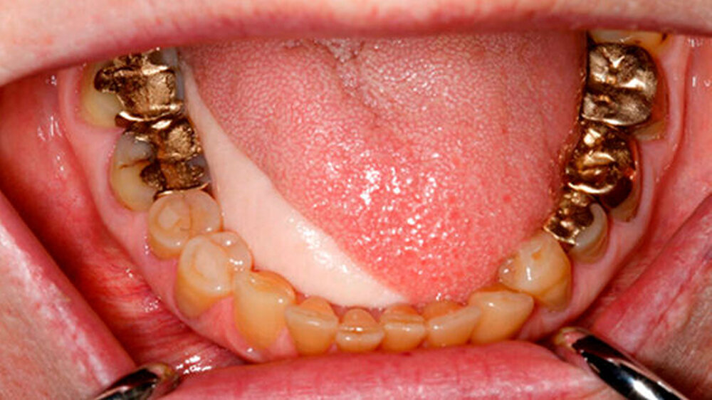
Kurze Zeit später wurde der Tumor im Bereich der Zungenunterseite und des Zungenrandes in toto entfernt. Das dadurch entstandene Volumendefizit stellten die Hamburger MKG-Spezialisten mit einem Transplantat vom Unterarm wieder her.
Damit das Transplantat anwächst, muss die Blutversorgung während der Einheilungsphase sichergestellt sein. Der Anschluss an den Blutkreislauf, konkret an die großen Halsgefäße, wurde in mikrochirurgischer Feinarbeit unter Verwendung eines hochauflösenden Operationsmikroskops erfolgreich durchgeführt.
Nach dem operativen Eingriff wurde die Patientin für eine Nacht auf der Intensivstation überwacht und konnte sich danach auf der Station der Mund-, Kiefer- und Gesichtschirurgie weiter sehr gut erholen.
Nach der OP
Die Wundheilung verlief ohne besondere Vorkommnisse. Die Patientin konnte schnell und problemlos wieder Nahrung zu sich nehmen und bereits nach zwei Wochen die Klinik verlassen. Im Rahmen der interdisziplinären Klinikkonferenz wurden die Ergebnisse der während der OP entnommenen und unter dem Mikroskop untersuchten Gewebe erneut besprochen und festgelegt, dass die Patientin sich in regelmäßigen Abständen zur ambulanten Nachsorge wieder vorstellen möge. Eine weitere Behandlung mittels Chemotherapie oder Bestrahlung war nicht erforderlich.
Die Patientin übte mit einer Logopädin und ist heute in der Lage, die Zunge mit dem ersetzen Muskelteil in alle Richtungen zu bewegen. Eine Sprachveränderung ist nicht zu bemerken. Die Patientin berichtete, dass sie ohne Einschränkung essen und trinken kann, aber heute noch die eine oder andere Geschmacksirritation bemerkt, was ihre Lebensqualität jedoch nicht einschränke. Dafür ist sie bis heute tumorfrei.






