Einfluss von Form, Größe und Farbe der Eckzähne auf die Attraktivität des Lächelns
Ein unattraktives Lächeln kann sich negativ auf die Persönlichkeit, das äußere Erscheinungsbild und das persönliche Wohlbefinden auswirken. Bei der Behandlung von Patienten mit fehlenden lateralen Oberkieferinzisiven gibt es drei mögliche Behandlungsalternativen:
1. Lücke belassen,
2. Platz schaffen für eine prothetische Versorgung (Brücke oder Implantat),
3. Lückenschluss durch Einstellung des Eckzahnes anstelle des lateralen Inzisivus und dessen Umgestaltung zu einem lateralen Inzisivus.
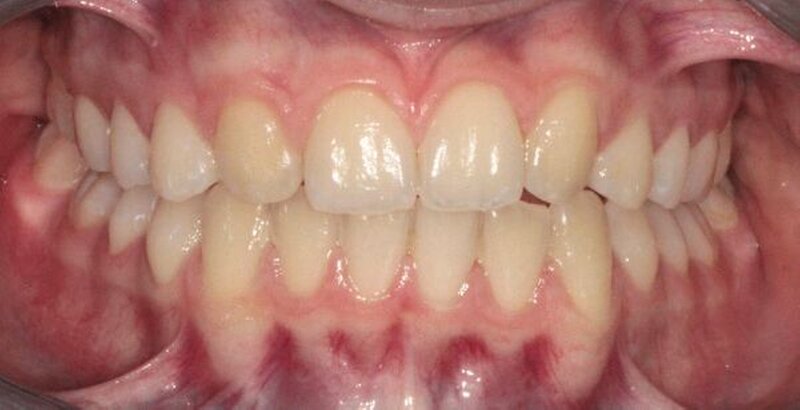
Der Vorteil des Lückenschlusses liegt in der besseren Langzeitprognose im Vergleich zur prothetischen Versorgung. Die Schwierigkeit der Einstellung des Eckzahnes anstelle des lateralen Inzisivus bezogen auf die Ästhetik, liegt in der unterschiedlichen Größe, Farbe und Morphologie der Zähne. Möglichkeiten, den Eckzahn optisch anzugleichen, liegen in der Bracketpositionierung. Die Positionierung des Brackets um 180° gedreht führt zu einer Vergrößerung des palatinalen Torques und damit zu einer Reduzierung der Prominenz des Eckzahnes. Eine weitere gingivale Positionierung des Brackets führt zu einer Extrusion des Zahnes und damit zu einer Verbesserung der gingivalen Ästhetik. Inzisal muss der Eckzahn anschließend etwas eingekürzt werden, womit die Ästhetik ebenfalls der eines lateralen Inzisivus angeglichen werden konnte. Wenn der Eckzahn zu breit ist, kann die mesiodistale Breite reduziert werden. Da der Eckzahn aufgrund seiner Morphologie mehr Dentin hat, ist er meistens dunkler und muss gegebenenfalls etwas gebleicht werden.
Ziel der Studie war erstens die Auswirkung der Ästhetik des Lächelns durch die stufenweise Veränderung folgender Parameter zu untersuchen: Breite der Zahnkrone, Kronenhöhe, Morphologie der Eckzahnspitze, Höhe des Gingivasaums und Farbe sowie zweitens die Wahrnehmung und Bewertung der Attraktivität des Lächelns unter Kieferorthopäden, Zahnärzten und Laien (ohne zahnmedizinischen Hintergrund) zu vergleichen. Dazu wurden die Veränderungen von insgesamt 120 Untersuchern (40 Kieferorthopäden, 40 Zahnärzte und 40 Laien) beurteilt und die Beurteilungen der drei Untersuchungsgruppen miteinander verglichen. Die Beurteilung erfolgte anhand eines digital bearbeiteten Fotos eines Patienten, der anstelle der lateralen Inzisiven stehende Eckzähne hat. Auf dem Foto waren die Oberkieferzähne, die Lippen und die umgebenden Weichgewebe (ohne Nase und Kinn) zu sehen. Das Foto wurde symmetrisch gespiegelt (Photoshop CS2 software, Adobe Systems, San Jose, Californien) und schrittweise bezüglich folgender vier Variablen verändert: 1. Breite des Eckzahnes (sechs Bilder), 2. Kronenhöhe und Morphologie der Eckzahnspitze (neun Bilder), 3. Höhe des Gingivasaumes (sechs Bilder) und 4. Farbe des Eckzahnes (zehn Bilder). Die Bilder wurden farbig auf Fotopapier in der Größe 15 cm x 10 cm ausgedruckt und innerhalb der vier Variablengruppen in randomisierter Reihenfolge ausgelegt. In jede Variablengruppe wurde ein Duplikat integriert, um die Reliabilität der Untersucher festzulegen. Alle Untersucher sollten während einer Sitzung eine der vier Variablengruppe betrachten und sie nach Attraktivität (von am attraktivsten zu am wenigsten attraktiv) ordnen. Nachdem sie alle Gruppen untersucht hatten, wurden die vier attraktivsten und die vier unattraktivsten Bilder in je eine Gruppe zusammenge fasst. Die Untersucher sollten dann das attraktivste und das am wenigsten attraktive Bild aussuchen.
Die Daten wurden statistisch mit einer gemischten logistischen Regressionsanalyse untersucht.
Ein 0,5 mm unterhalb des Gingivasaums des mittleren Inzisiven liegender Gingivasaum wurde als am attraktivsten bewertet. Je höher der Gingivasaum des Eckzahnes war, als desto unattraktiver galt er.
Hellere Eckzähne wurden im Vergleich zu dunkleren bevorzugt, schmale im Vergleich zu breiteren Varianten am häufigsten positiv bewertet. Hohe und spitze Eckzähne wurden als unattraktiv bewertet.
Alle drei Untersuchungsgruppen hatten eine breite Übereinstimmung in der Bewertung der Attraktivität des Lächelns. Innerhalb der Gruppe der Laien gab es dabei die größten Variationen.
Klinische Relevanz: Man kann zusammenfassen, dass sich Eckzähne bei entsprechender Indikation anstelle der lateralen Inzisiven einstellen lassen und bei entsprechender Modifikation ein attraktives Lächeln erreicht werden kann.
Dr. Verena Hohlbach
OÄ Dr. Christina Erbe
Prof. Dr. Dr. Heinrich Wehrbein
Universitätsmedizin Mainz
Poliklinik für Kieferorthopädie
Augustusplatz 2
55131 Mainz
verena.hohlbach@unimedizin-mainz.de
Quelle: Brough E, Donaldson AN, Naini FB: Canine substitution for missing maxillary lateral incisors: The influence of canine morphology, size and shade on perception of smile attractiveness. Am J Orthod Dentofac 2010; 138/6;705.e1-705.e9



