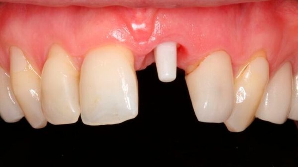
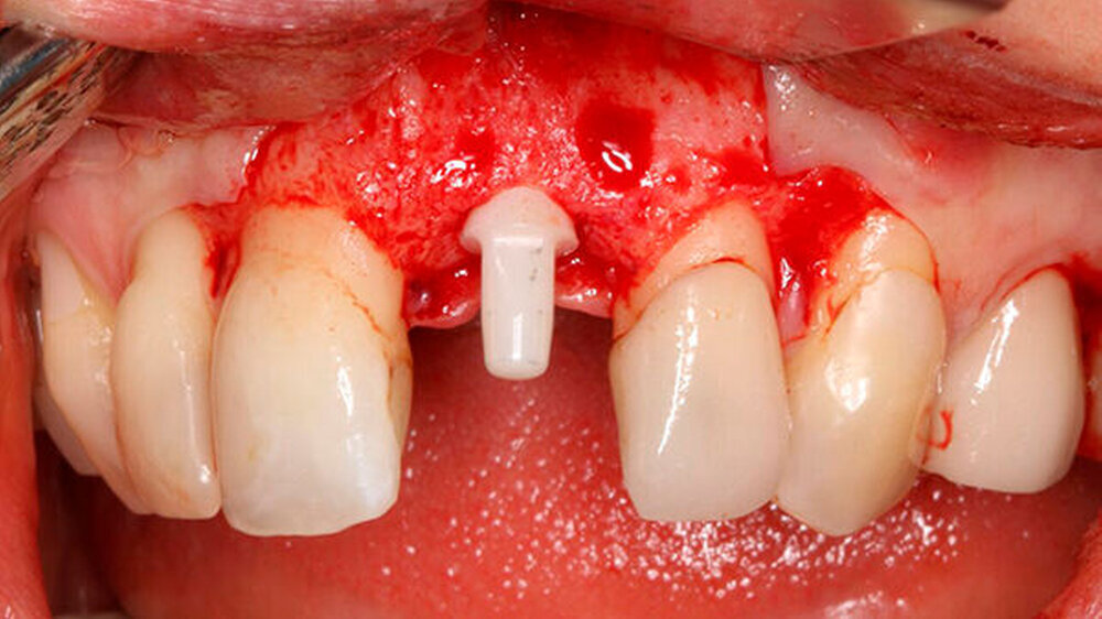
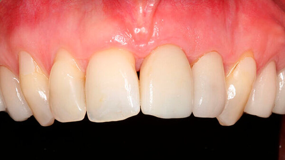
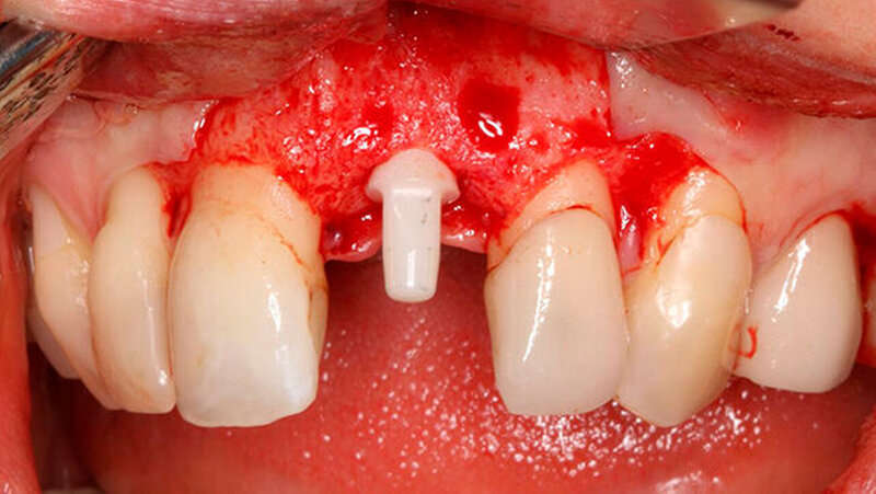
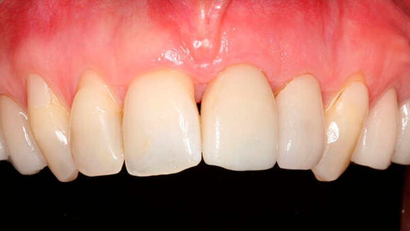
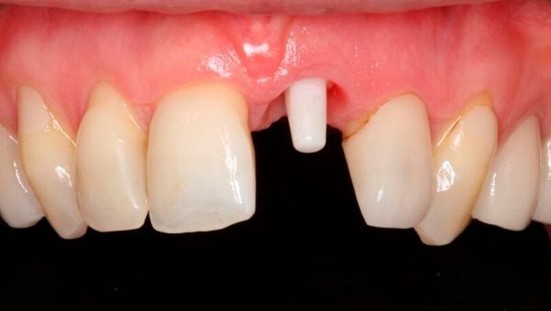
Einteiliges Keramikimplantat im Frontzahnbereich
Vor allem bei einem gingivalen Biotyp A, also einem dünnen Gingivatyp, biete sich das einteilige Keramikimplantat im Frontzahnbereich an, erklärt Dr. Michael Erbshäuser in einem Beitrag im aktuellen Implantologie Journal (11/2015). Auf Nachfrage ergänzt der Fachzahnarzt für Oralchirurgie, dass ein dunkles Durchschimmern durch die Schleimhaut bei diesem Implantattyp entfällt. Für Patienten mit Biotyp A sei das ein starkes ästhetisches Argument.
Die nächste Generation von Dentalimplantaten
Erbhäuser verweist auf eine Forschergruppe der Universität Cardiff (Großbritannien), die in einer umfangreichen Literaturauswertung zu dem Schluss kommt, das Keramikimplantate das Potenzial haben, die nächste Generation von Dentalimplantaten zu werden.
Hinsichtlich Plaqueanlagerung und Ästhetik hätten Zirkoniumdioxid-Implantate die metallenen Varianten überholt, schreibt der Autor in dem von der DGZI zertifizierten Beitrag. Inwieweit sich zweiteilige Implantate dieses Werkstoffs durchsetzen, müsse man aber abwarten. Zwar böten sie die klassischen Vorteile zweiteiliger Systeme, wie flexibleres Augmentationsvorgehen und prothetische Flexibilität, erhöhten aufgrund des Mikrospalts innerhalb des Implantats jedoch das Risiko, eine Periimplantitis zu entwickeln und büßten damit an Bruchfestigkeit ein.
Barfeie A, Wilson J2, Rees J3.Implant surface characteristics and their effect on osseointegration. Br Dent J. 2015 Mar 13; 218(5):E9. doi: 10.1038/sj.bdj.2015.171






