Endo-Revision und Apexifikation mit MTA
Der Fall
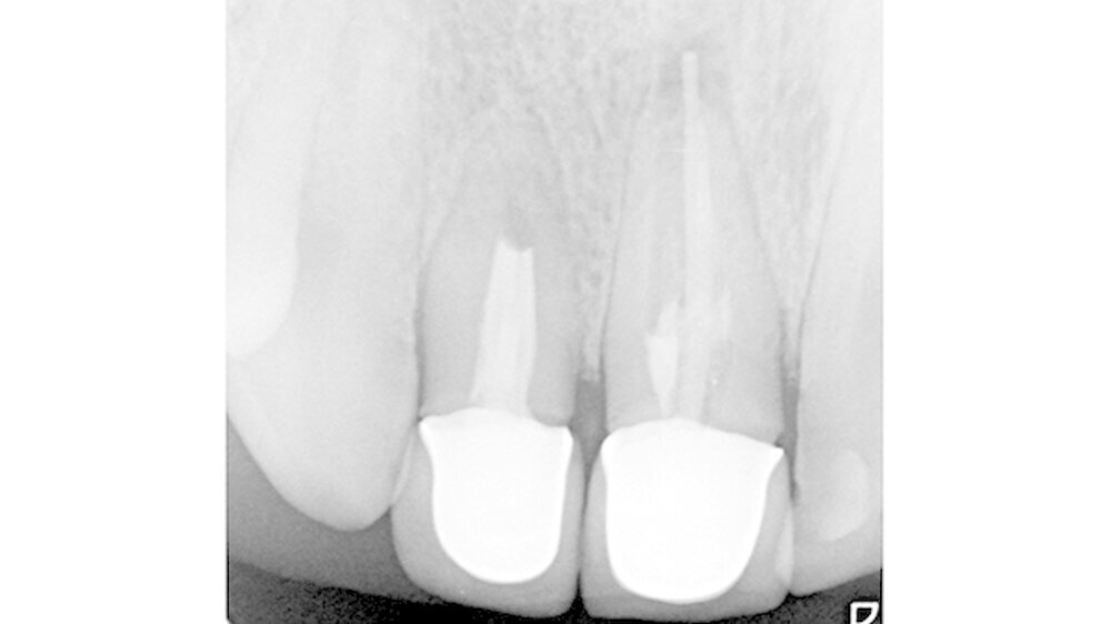
Ein 28-jähriger Mann stellte sich Ende Juli 2015 in der Poliklinik der Universitätszahnklinik Mainz mit herausgefallener Krone an 11 vor (Abbildung 1). Der Patient äußerte den Wunsch der Kronenneuversorgung an 11 und 21 - bei weitestgehend freiliegender Präparationsgrenze mit starker ästhetischer Einschränkung.
Befund und Diagnose
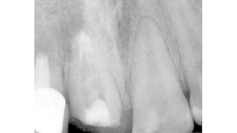
Nach klinischer Befundung und Röntgendiagnostik (Abbildung 2) wurde in der Einzelzahnaufnahme eine insuffiziente über das Foramen apicale hinausgebrachte Wurzelkanalfüllung an 11 festgestellt. Zusätzlich bestand eine periapikale Osteolyse. Zahn 12 war ebenfalls endodontisch versorgt, wobei in der Bildgebung kein Nachweis einer radioopaken Füllung des apikalen Kanaldrittels gelang. Es bestand an 12 keine apikale Osteolyse.
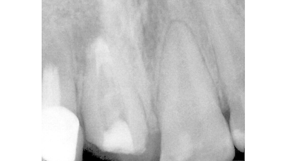
Beide Zähne imponierten radiologisch mit weiten apikalen Foramina sowie verkürzten Wurzeln. Auf Nachfrage gab der Patient ein vor circa 20 Jahren stattgefundenes Frontzahntrauma an. Beide Zähne waren klinisch asymptomatisch. Dem Patienten wurden der klinische und röntgenologische Befund erörtert und die Behandlungsoptionen aufgezeigt.
Behandlung
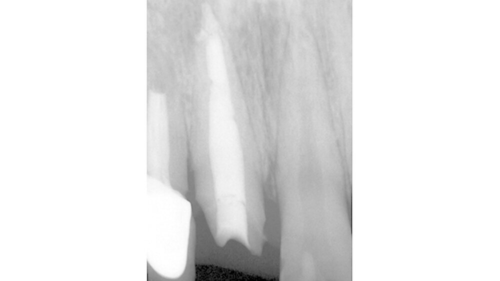
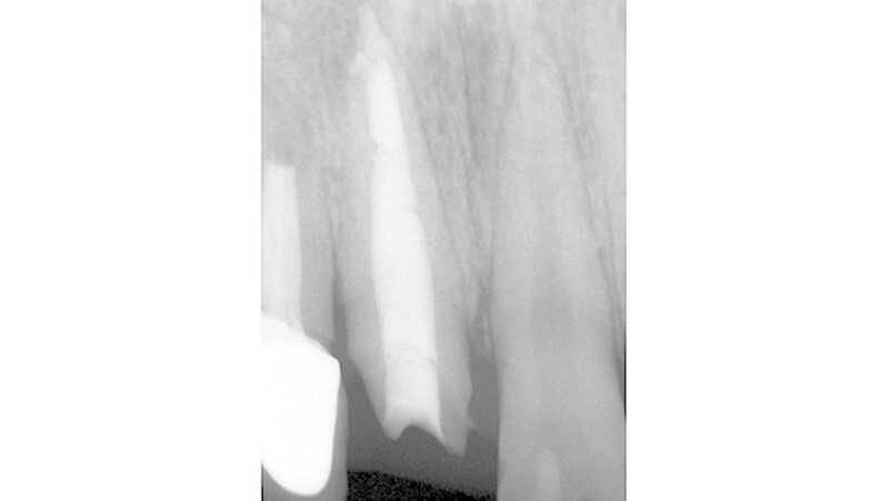
Im Verlauf der Behandlung wurden die prothetische Suprakonstruktion an 11 abgenommen und der Zahn retrepaniert. Durchgeführt wurden eine Revision der weitestgehend insuffizienten und überfüllten Wurzelkanalfüllung sowie eine zweiwöchige Kanaldesinfektion mit Kalziumhydroxid. Im apikalen Bereich wurde anschließend nach ausreichender manueller Aufbereitung in Circumferential Filing Technik sowie chemischer Desinfektion ein apikaler MTA-Plug (Mineral Trioxid Aggregat) eingebracht (Abbildung 3) und kondensiert. Es erfolgte eine röntgenologische Kontrolle des apikalen Verschlusses (Abbildung 4). Der Kanal wurde dann erneut provisorisch mit einer Kalziumhydroxidpaste versorgt und der Zahn mit Cavit verschlossen. Die Krone wurde mit Temp Bond rezementiert.
Am Folgetag erschien der Patient wieder zum Einbringen der definitiven Wurzelkanalfüllung. Die Krone wurde erneut abgenommen, die provisorische Füllung entfernt und der apikale Verschluss mikroskopisch kontrolliert. Nach wiederholter chemischer Desinfektion und abschließender Kanaltrocknung erfolgte die Guttapercha-basierte thermoplastische Wurzelkanalfüllung. Die Versorgung des Zahns mit Stiftaufbau und Krone wurde geplant, aber der Patient erschien nicht mehr zur weiteren Therapie.
Diskussion
2,2 Prozent aller Kinder im Alter von acht bis zehn Jahren erfahren mindestens ein Frontzahntrauma [Lexomboon, Carlson et al., 2015]. Infolge eines solchen Traumas kann es zum Sistieren des Wurzelwachstums mit fehlender Bildung einer apikalen Hartgewebsformation kommen. Daraus erwächst die Notwendigkeit der Apexifikationsbehandlung zur Erzeugung einer apikalen Hartsubstanzbarriere [Beslot-Neveu, Bonte et al., 2011].
Primäres Ziel der Wurzelkanalbehandlung ist die vollständige Obstruktion des Kanallumens. Bei Zähnen mit unvollständigem Wurzellängenwachstum scheitern die herkömmlichen Methoden der Wurzelkanalfüllung. Das Fehlen einer apikalen Konstriktion machen sowohl die Obstruktion als auch die Kanalaufbereitung zu einer endodontischen Herausforderung. Hier ist das Setzen einer apikalen Barriere essenziell, so dass erst danach die herkömmliche Wurzelkanalfüllung möglich wird [Vijayran, Chaudhary et al., 2013]. Das Erzeugen eines apikalen MTA Plugs stellt hierbei eine Alternative zur klassischen Apexifikation mit Kalziumhydroxid dar [Tabrizizade, Asadi et al., 2014].
Die Verwendung des bakteriziden Kalziumhydroxids wurde bereits recht früh inauguriert. Durch seinen alkalischen pH-Wert soll es der Bildung einer apikalen Hartsubstanzbarriere dienlich sein [Binnie and Mitchell, 1973]. Mineral Trioxid Aggregat (MTA) ist hier eine neue Möglichkeit, devitale Zähne mit nicht abgeschlossenem Wurzellängenwachstum zu versorgen, wobei die Patienten-Compliance nachrangig wird.
Eine Versorgung in zwei Terminen innerhalb von zwei Wochen wird hierdurch möglich [Giuliani, Baccetti et al., 2002; Kumar, Zameer et al., 2014]. Der Zeitvorteil unter Verwendung des MTA scheint auch dadurch an Bedeutung zu gewinnen, dass eine zeitnahe koronoapikale Füllung zu realisieren ist. Das Frakturrisiko wird dadurch im Unterschied zur langdauernden Erzeugung einer Hartsubstanzbarriere mit Kalziumhydroxid evident reduziert [Bonte, Beslot et al., 2015], wobei die Verschlussfähigkeit von MTA positiv zu bewerten ist [Tabrizizade, Asadi et al., 2014].
Neben Calciumhydroxid und MTA wurde in der Literatur die Verwendung von allogenem Knochen und Schmelzmatrixproteinen vorgeschlagen - das konnte aber bisher keine breitenwirksame Anwendung finden [Razavian, Haerian et al. 2014]. Allgemein anerkannte Materialien in der Durchführung einer Apexifikation bleiben allerdings weiterhin Kalziumhydroxid und MTA [Tate, 2012].
Im Unterschied zur herkömmlichen Wurzelkanalbehandlung stellt die Behandlung des Zahns mit nicht-abgeschlossenem Wurzelwachstum und offenem Foramen apicale eine endodontische Therapieherausforderung dar. Eine kontrollierte Wurzelkanalfüllung mit Kondensation gegen eine bestehende apikale Hartsubstanzbarriere ist nicht möglich [Vijayran, Chaudhary et al., 2013].
Im hiesigen Fall bestand die Besonderheit aber zusätzlich darin, dass bereits eine zu revidierende Wurzelkanalfüllung vorlag und eine substanzopfernde Präparation des Zahns zur Aufnahme einer Vollkrone durchgeführt wurde. Behandlungsablauf und Prognose ließen sich nur schwer einstufen. Sicherlich wäre im kassenzahnärztlichen Ablauf eine Extraktion des Zahns die Therapie der Wahl gewesen.
Neuere Materialien auf Mineraltrioxidbasis sowie neue Erkenntnisse in der Endodontie lassen den Zahnerhalt auch in solch ungünstigen Situationen möglich werden. Die Apexifikation und die Endorevision bleiben allerdings Behandlungen mit unsicherer Prognose, gerade wenn eine Kombination aus beiden Behandlungen notwendig wird. Das geringe Ausmaß an klinischer Restzahnhartsubstanz ist prothetisch beherrschbar, das geringe Ausmaß an Wurzeldentin um den breiten Wurzelkanal endodontisch bewältigbar - birgt allerdings die ständige Gefahr einer Wurzelfraktur. Wenngleich die Prognose des Zahns fraglich erscheinen mag, stellt der Zahn im Sinne einer präimplantologischen Alveolarfortsatzprophylaxe einen planungstechnischen Zeitvorteil dar und seine Erhaltung erscheint also nicht nur deswegen gerechtfertigt.
Alternative therapeutische Vorgehen wären die Extraktion mit prothetischem Ersatz, entweder implantat- oder zahngetragen, die Apexifikation mit alternativen vorwiegend Kalziumhydroxid basierten Materialien sowie die Revaskularisationstherapie gewesen. Das schlichte Belassen der asymptomatischen Situation mit ständiger Infektionsgefahr stellt eine weitere, wenn auch nicht sinnvolle therapeutische Alternative dar.Max Lukas, Univ.-Prof. Dr. Dipl.-Chem. Brita WillershausenUniversitätsmedizin der Johannes Gutenberg Universität MainzPoliklinik für Zahnerhaltungskunde und ParodontologieAugustusplatz 2, 55131 Mainzmax-lukas@hotmail.de
Literatur
Beslot-Neveu, A., E. Bonte, B. Baune, R. Serreau, F. Aissat, L. Quinquis, S. Grabar and J. J. Lasfargues (2011). "Mineral trioxyde aggregate versus calcium hydroxide in apexification of non vital immature teeth: study protocol for a randomized controlled trial." Trials 12: 174.
Binnie, W. H. and D. F. Mitchell (1973). "Induced calcification in the subdermal tissues of the rat." J Dent Res 52(5): 1087-1091.
Bonte, E., A. Beslot, T. Boukpessi and J. J. Lasfargues (2015). "MTA versus Ca(OH)2 in apexification of non-vital immature permanent teeth: a randomized clinical trial comparison." Clin Oral Investig 19(6): 1381-1388.
Giuliani, V., T. Baccetti, R. Pace and G. Pagavino (2002). "The use of MTA in teeth with necrotic pulps and open apices." Dent Traumatol 18(4): 217-221.
Kumar, V., M. Zameer, V. Prasad and T. Mahantesh (2014). "Boon of MTA Apexification in Young Permanent Posterior Teeth." Case Rep Dent 2014: 673127.
Lexomboon, D., C. Carlson, R. Andersson, I. von Bultzingslowen and T. Mensah (2015). "Incidence and causes of dental trauma in children living in the county of Varmland, Sweden." Dent Traumatol.
Razavian, H., A. Haerian and H. Mosleh (2014). "Novel apexification method in a non-vital tooth with an open apex: a case report." J Dent (Tehran) 11(3): 371-378.
Tabrizizade, M., Y. Asadi, A. Sooratgar, S. Moradi, H. Sooratgar and F. Ayatollahi (2014). "Sealing ability of mineral trioxide aggregate and calcium-enriched mixture cement as apical barriers with different obturation techniques." Iran Endod J 9(4): 261-265.
Tate, A. R. (2012). "Calcium hydroxide or mineral trioxide aggregate may be used for the apexification of immature teeth." J Evid Based Dent Pract 12(1): 24-25.
Vijayran, M., S. Chaudhary, N. Manuja and A. U. Kulkarni (2013). "Mineral trioxide aggregate (MTA) apexification: a novel approach for traumatised young immature permanent teeth." BMJ Case Rep 2013.






