Erstmals Halswirbel aus dem 3-D-Drucker implantiert
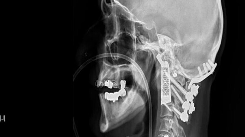
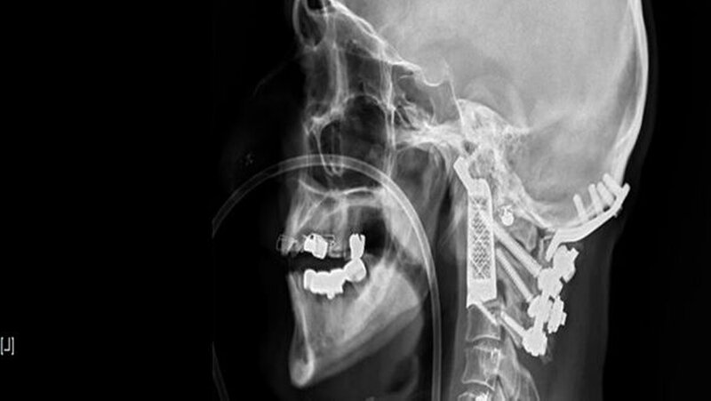
Das Team um den Neurochirurgen Dr. Ralph Mobbs implantierte dem Australier Drage Josevski einen Halswirbel aus einem 3-D-Drucker. Josevski litt an dem sehr seltenen Wirbelsäulenkrebs und konnte mithilfe des medizinischen 3-D-Drucks gerettet werden.
Josevski wurde 15 Stunden lang operiert, berichtet Mobbs auf abc.net.au. Ohne den Eingriff wäre er gestorben, weil er mit der Zeit die Kontrolle über seine Arme und Beine, aber auch die Fähigkeit zum Essen und Sprechen verloren hätte. "Das ist alles andere als ein schöner Tod", sagte Mobbs.
15 Stunden lang wurde der Rachen durch Luftströmung und OP-Instrumente gereizt
Mobbs und seine Kollegen entwarfen die Prothese mit einer speziellen Software und berechneten die Lücke, die der entfernte Tumor hinterlassen würde. Am Ende passte der Halswirbel aus dem 3-D-Drucker tadellos.
Zweieinhalb Monate nach dem Eingriff im Dezember besuchte Mobbs seinen Ausnahmepatienten Zuhause: Josevski hat derzeit noch Probleme beim Sprechen und Essen. Das sei aber dem Procedere der Operation geschuldet, sagt Mobbs. Bei dem OP-Marathon gelangten die Ärzte durch den Mund ihres Patienten an die betroffene Stelle. Daher wurde der Josevskis Rachen 15 Stunden lang durch Luftströmung und OP-Instrumente gereizt. In sechs Monaten seien die Beschwerden verschwunden, versprach der Neurochirurg. Josevski könne dann mit dem 3-D-Drucker-Halswirbel wieder ein ganz normales Leben führen.
Die nächste Stufe in der individualisierten Gesundheitsfürsorge
Und in naher Zukunft können das andere Patienten vielleicht auch. "Der 3D-Druck von Körperteilen ist die nächste Stufe in der individualisierten Gesundheitsfürsorge", prognostiziert Mobbs. Mit dem technischen Fortschritt könnten mit der Zeit immer mehr Ersatzorgane und -knochen maßgeschneidert und erfolgreich implantiert werden.
Chordome sind seltene und langsam wachsende Knochentumore. Sie können entlang der gesamten Wirbelsäule entstehen. Häufig treten Chondrome bei Männern jenseits des 30. Lebensjahrs auf.
Hier geht es zumOP-Video.



