Extraktion bei Molaren-Inzisiven-Hypomineralisation
Der 13-jährige Patient stellte sich mit einer Überweisung und Bitte um Zweitmeinung vor. Die Mutter berichtete, dass vor einigen Jahren eine Schmelzanomalie diagnostiziert worden sei. Dies sei dadurch aufgefallen, dass einer der neu durchbrechenden Backenzähne sehr schnell eine Karies bekommen hätte. Dieses zog eine so umfangreiche Behandlung nach sich, so dass man dazu geraten habe, den Zahn lieber zu extrahieren. Die Extraktion sei auch kurz darauf erfolgt.
Nun bestünden aber wenige Jahre später ähnliche Probleme auf der Gegenseite. Da die erste Extraktion für ihren Sohn ein äußerst unangenehmes Erlebnis war, bat sie nun vor der möglichen Extraktion eines weiteren Zahnes um eine Zweitmeinung.
Anamnese
Anamnestisch beziehungsweise allgemeinmedizinisch wies der Patient keine weiteren Besonderheiten auf, einzig die Fluoridanamnese enthielt Hinweise auf einen übermäßigen Gebrauch von Fluoriden in den ersten Lebensjahren. Zusätzlich zu Fluoridtabletten wurden fluoridiertes Speisesalz und fluoridierte Kinderzahnpasta verwendet.
Im Frontzahnbereich des Oberkiefers hatte der Patient kurz nach Durchbruch der bleibenden mittleren Inzisivi ein Frontzahntrauma erlitten, das zum Verlust der mesialen Ecke an Zahn 21 geführt hatte.
Klinischer Befund
Auf den ersten Blick auffällig waren die Opazitäten der oberen mittleren und seitlichen Inzisivi. Der linien- und teils wolkenförmige Verlauf der Opazitäten der mittleren Inzisivi erschien zunächst dem klinischen Bild einer Fluorose zu entsprechen.
Auch wiesen die lateralen Inzisivi ebenfalls fluoroseähnliche Opazitäten auf, an Zahn 22 war zusätzlich im fluorotischen Bereich eine bräunliche Verfärbung sichtbar (Abbildung 1). Bei genauerer Betrachtung der Frontalansicht sind bukkal im Seitenzahnbereich durchaus schon weitere Schmelz-Opazitäten zu erkennen, die allerdings eher nicht dem Bild einer Dentalfluorose entsprechen (siehe an den Zähnen 14 und 85).
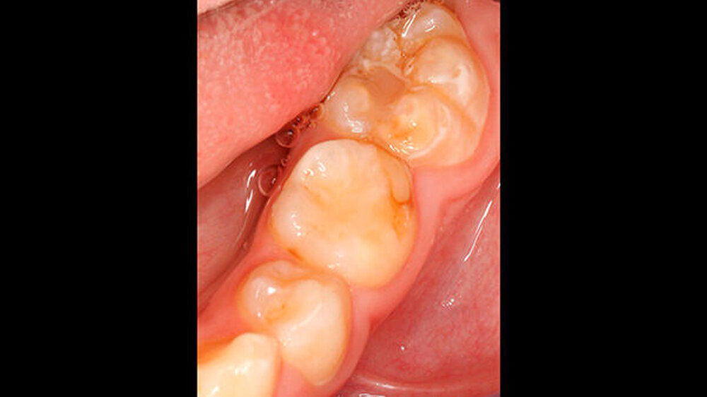
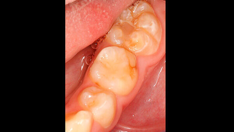
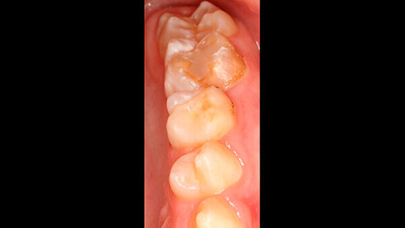
Der vor wenigen Jahren extrahierte Molar war der 16, anschließend war es im Laufe der Zeit im ersten Quadranten zu einer verhältnismäßig gleichmäßigen Lückenbildung gekommen. Der Zahn 17 war weitestgehend aufgewandert (Abbildung 2). Zahn 26 (Abbildung 3) wies eine umfangreiche adhäsive Restauration okklusal-bukkal auf. Zusätzlich dazu gab es aber auch weitere Areale mit veränderter Opazität von milchig-weiß (insbesondere palatinal) bis gelb-braun.
Der Zahnwechsel im 2. Quadranten war noch nicht vollständig, dasselbe galt für den Unterkiefer (Abbildungen 4 und 5). Im Unterkiefer war insbesondere die Opazität und der bukkale Schmelzeinbruch (inklusive der Reste einer adhäsiven Füllung) an Zahn 85 deutlich sichtbar.
Zusätzlich wiesen beide Sechsjahrmolaren im Unterkiefer insbesondere im Bereich der Höcker (46) sowie der Höckerspitzen (36) ebenfalls Opazitäten auf, deren farbliche Veränderung von milchig-weiß bis hellbraun reichte. Zahn 46 war darüber hinaus mit einer erweiterten Fissuren-Versiegelung oder einer kleinen okklusalen Füllung versorgt. Das Trocknen der Seitenzähne mittels Luft rief ein geringfügiges Schmerzgefühl bei dem Patienten hervor, an Zahn 26 allerdings eine starke Sensibilität.
###more### ###title### Diagnose ###title### ###more###
Diagnose
Für den vorliegenden Fall konnte keine eindeutige Diagnose gestellt werden. Für die Sechsjahrmolaren befindet sich das klinische Bild zwischen dem einer Fluorose (eher im Unterkiefer) und dem einer Molaren-Inzisiven-Hypomineralisation (MIH) (eher im Oberkiefer beziehungsweise an Zahn 26). In der Regel sind bei einer MIH die zweiten Molaren nicht betroffen.
Im vorliegenden Fall aber weisen die Zwölfjahrmolaren im Oberkiefer diskrete Opazitätsveränderungen im Bereich der Höcker und Höckerspitzen auf, was wiederum doch eher für eine Fluorose sprechen würde. Von ähnlichen Opazitäten betroffen sind die Oberkiefer-Prämolaren, am besten zu sehen an den Zähnen im 1. Quadranten.
Von den noch vorhandenen zweiten Milchmolaren 65, 75 und 85 weisen 65 und 85 hypomineralisierte Bereiche auf (veränderte Opazitäten), Zahn 85 zeigt zusätzlich einen Schmelzeinbruch sowie eine Restauration im für die Karies nicht typischen bukkalen Bereich. Hier liegt also eher der Verdacht einer Milchmolaren-Hypomineralisation vor (siehe auch die zm-online-Beiträg $(LB222419:Der Fall: Verdacht auf Fluorose)$ und $(LB225647:Der Fall: Die Milchmolaren bröckeln)$).
Im Frontzahnbereich entspricht das klinische Bild sehr deutlich dem einer Fluorose; einzig mit der Einschränkung, dass über den schon restaurierten Bereich des Zahnes 21 (mesial, inzisal, bukkal, palatinal) keine Aussage mehr gemacht werden kann. Der Familie war im Vergleich zu den anderen betroffenen Frontzähnen allerdings nie aufgefallen, dass dieser Bereich andersartig betroffen gewesen wäre.
Differenzialdiagnose
Amelogenesis imperfecta: Bei dem hier vorgestellten Patienten sind nicht alle Zähne beider Dentitionen betroffen. Dies wäre in der Regel die Voraussetzung für eine genetisch bedingte Anomalie des Schmelzes. In sehr seltenen Ausnahmefällen kann es nur zu der Betroffenheit einzelner Zahngruppen kommen. Bei dem hier vorgestellten Patienten überwiegen jedoch die Anzeichen für andere Strukturstörungen wie zum Beispiel die Milchmolaren-Hypomineralisation, die Molaren-Inzisiven-Hypomineralisation, und/oder die Fluorose.
###more### ###title### Behandlungsablauf ###title### ###more###
Behandlungsablauf
Aufgrund der schon erfolgten Extraktion des Zahnes 16 sowie der umfangreichen Hypomineralisation des Zahnes 26 fiel gemeinsam mit dem behandelnden Kieferorthopäden der Entscheid, auch 26 zu extrahieren. Für die Zähne 36 und 46 wurde vereinbart, diese bei Bedarf restaurativ zu versorgen. Der Entschluss zur Extraktion wurde unter anderem von den länger- und langfristigen Restaurationsmöglichkeiten des Zahnes 26 sowie der Anlage der Weisheitszähne im Oberkiefer abhängig gemacht.
Da subjektiv keine ästhetischen Beeinträchtigungen durch die fluorotischen Veränderungen sowie die Restauration im Oberkiefer bestanden, wurde hier von einer Intervention abgesehen.
Erläuterungen zum Therapieentscheid
Im dargestellten Fall ist eine exakte Diagnosestellung nicht durchführbar. Es ist möglich, dass sich zwei beziehungsweise drei Krankheitsbilder übereinander lagern, die Dentalfluorose [Denbesten, 2011], die Milchmolaren-Hypomineralisation [Elfrink et al., 2012] sowie die Molaren-Inzisiven-Hypomineralisation [Lygidakis et al.,2010].
Von keiner der genannten Erkrankungen ist bisher bekannt, dass sie eine andere der genannten bedingen könne. Man muss deshalb davon ausgehen, dass diese unabhängig voneinander, wenn auch gleichzeitig auftreten.
Der Entscheid zur Extraktion des Zahnes 26 fiel auf der Grundlage, dass eine umfangreiche Restauration zum Erhalt des Zahnes relativ frühzeitig notwendig werden würde. Da der Zahn 27 nur sehr wenig von Opazitäten betroffen und klinisch-morphologisch intakt war, erschien mit einer kieferorthopädischen Einstellung dieses Zahnes eher ein befriedigendes Behandlungsergebnis zu erzielen.
###more### ###title### Extraktion der Sechsjahrmolaren ###title### ###more###
Extraktion der Sechsjahrmolaren
Für die Extraktion von Sechsjahrmolaren liegen nur sehr wenige Daten vor, viele Berichte stützen sich auf Einzelfälle oder sehr kleine Patientengruppen. Seit der vermehrten Beachtung der MIH wird diese Therapieoption aber immer wieder diskutiert. Als das optimale Alter für die Extraktion der Sechsjahrmolaren wird der Zeitraum zwischen 8,5 bis neun Jahren (dentales Alter) angegeben [Lygidakis et al., 2010]. Andere Autoren nutzen gerade für den Oberkieferkiefer andere Angaben, zum Beispiel den Zeitraum acht bis 10,5 Jahre und für den Unterkiefer acht bis 11,5 Jahre [Schätzle, Patcas. 2011].
Die Behandlungsergebnisse erscheinen generell für den Oberkiefer günstiger, was unter Umständen mit der Durchbruchsrichtung des zweiten bleibenden Molaren im Oberkiefer zusammenhängt (von distal und bukkal nach mesial und palatinal) [Schätzle, Patcas. 2011]. Im Unterkiefer zeigt sich dagegen eine betont mesiale Neigung [Schätzle, Patcas. 2011].
Einen tatsächlich wesentlichen Faktor scheint das Zeitfenster darzustellen, in dem die Extraktion vorgenommen wird. Eine sehr späte Extraktion des/der Sechsjahrmolaren kann durchaus zur Folge haben, dass es nicht nur insbesondere im Unterkiefer eher zur einer Mesialkippung als einer Mesialwanderung der zweiten bleibenden Molaren kommt, auch der zweite Prämolar kann durchaus Tendenzen der Distalwanderung/-kippung aufweisen [Schätzle, Patcas. 2011; Cobourne et al., 2014]. Der Aufwand der benötigten kieferorthopädischen Therapie wird damit erheblich mehr.
Kaum Hinweise auf Mittellinienverschiebung
Ein anderes, bisher weniger beachtetes Szenario ist die sehr frühe Extraktion der Sechsjahrmolaren. In vielen Fällen ist dann über eine Anlage der Weisheitszähne auch anhand des Röntgenbildes keine bzw. kaum eine Aussage zu tätigen. Oft wird die Anlage des Weisheitszahnes allerdings als conditio sine qua non bei einer Extraktion eines oder mehrerer Sechsjahrmolaren angesehen [Cobourne et al., 2014].
Weiterhin gibt es bisher keine einheitliche Aussage dazu, ob die Extraktion nur eines Molaren mit einer kompensatorischen (= Extraktion im Gegenkiefer) oder einer balancierten (= Extraktion des kontralateralen Zahnes) einhergehen sollte [Schätzle, Patcas. 2011;Cobourne et al., 2014].
Im vorliegenden Patientenfall kam aufgrund der ausgedehnten Hypomineralisation des Zahnes 26 eine balancierte Extraktion zustande, was aber durchaus nicht der Fall gewesen wäre, wenn dieser Zahn nicht oder nur wenig betroffen gewesen wäre. Auch für die oft genannte Mittellinienverschiebung bei nicht balancierter Extraktion sind kaum Nachweise zu finden [Schätzle, Patcas. 2011]. Bei dem vorgestellten Patienten traf dies auch nicht zu.
Zu beachten sind weiterhin auch die Umstände, unter denen die Extraktion(en) vorgenommen werden können oder müssen: Je nach Kooperation des Kindes sowie der Anzahl der Zähne kann eine Behandlung unter Vollnarkose notwendig werden [Cobourne et al., 2014]. Gerade bei Platzmangel sollte sehr genau abgewogen werden, ob ein Erhalt der Sechsjahrmolaren sinnvoll ist, wenn bisher unbehandelte Zähne wie zum Beispiel die Prämolaren aus Platzgründen extrahiert werden sollen [Cobourne et al., 2014].
###more### ###title### Fazit ###title### ###more###
Fazit
Auch wenn alle genannten Faktoren bezüglich der Planung einer Extraktion eingehalten werden, so ist ein gutes Ergebnis nicht garantiert, da die Datenlage tatsächlich noch sehr dünn ist. Dies mag sich im Laufe der nächsten Jahre ändern, wenn im Zuge der Therapie der MIH mehr erste bleibende Molaren extrahiert werden sollten und sich somit eine Untermauerung oder Abänderung verschiedener hier genannter Faktoren bietet.
Dr. Stefanie Feierabend,Klinik für Zahnerhaltungskunde und Parodontologie, Universitätsklinikum FreiburgHugstetter Straße 55, 79106 Freiburgstefanie.feierabend@uniklinik-freiburg.de
PD Dr. Katrin BekesMartin-Luther-Universität Halle-Wittenberg, Sektion Kinderzahnheilkunde und Präventive Zahnheilkunde, Harz 42a, 06108 Hallekatrin.bekes@uk-halle.de
Literatur:
Cobourne MT, Williams A, Harrison M (2014). National clinical guidelines for the extraction of first permanent molars in children. Brit Dent J 217:643-648
Denbesten P, Li W (2011). Chronic fluoride toxicity: dental fluorosis. Monogr Oral Sci 22:81-96
Elfrink ME, ten Cate JM, Jaddoe VW, Hofman A, Moll HA, Veerkamp JS (2012) Deciduous molar hypomineralization and molar incisor hypomineralization. J Dent Res 91:551-555
Lygidakis NA, Wong F, Jälevik B, Vierrou AM, Alaluusua S, Espelid J (2010) Best clinical practice guidance for clinicians dealing with children presenting with molar-incisor-hypomineralisation (MIH): an EPAD policy document. Eur Arch Paediatr Dent11:75-81
Schätzle M, Patcas R (2011) Idealer Extraktionszeitpunkt bei ersten bleibenden Molaren. Eine Literaturübersicht. Quintessenz 62(12):1631-1635
Weerheijm KL, Jälevik B, Alaluusua S (2001) Molar-incisor Hypomineralisation. Caries Res 35:390-391
Mehr zum Thema: MIH
Bei der systemisch bedingten Hypomineralisation können beide Dentitionen betroffen sein. Hier sehen Sie verschiedene Therapieoptionen.










