Frakturierte Wurzelkanalinstrumente
Behandlungsmöglichkeiten und Prognose.
Zusammenfassung
Bei der Fraktur eines Wurzelkanalinstruments handelt es sich um eine gefürchtete, aber nicht sehr häufig auftretende Behandlungskomplikation. Die meisten Frakturen erfolgen in den stark gekrümmten Wurzelkanälen von Molaren.
Die verschiedenen Behandlungs- (Belassen mit oder ohne Wurzelspitzenresektion, Umfahren oder Entfernen) und Entfernungsmöglichkeiten (Ultraschallaktivierung, Hohlnadel- und Bypasstechnik) werden besprochen. Die klinische Prognose für Zähne mit frakturierten Instrumenten ist bei entsprechender Weiterbehandlung nicht unbedingt ungünstiger. Sie ist jedoch vom Infektionsgrad und vom Zeitpunkt der Instrumentenfraktur abhängig.
Einleitung
Die Fraktur von Wurzelkanalinstrumenten war schon immer eine gefürchtete, jedoch relativ selten auftretende Komplikation bei der Wurzelbehandlung. Seit der Einführung rotierender Nickel-Titan-Instrumente zur Kanalaufbereitung tritt das Problem vermehrt auf und hat demzufolge eine größere Aufmerksamkeit erfahren. Neue Verfahren zur Entfernung frakturierter Instrumente werden beschrieben sowie Angaben zu Häufigkeit und Lokalisation frakturierter Instrumente gemacht. Ziel dieser Arbeit ist es, oben genannte Verfahren und wissenschaftliche Informationen in praxisorientierter Art zusammenzufassen.
Inzidenz
Von 3.611 beanstandeten zahnärztlichen Behandlungen in Dänemark zwischen 1995 und 2004 betrafen 482 (13,7 %) Wurzelbehandlungen. Dabei ging es in lediglich 16 Fällen (3,3 % der beanstandeten Wurzelbehandlungen) um frakturierte Instrumente (Bjørndal & Reit 2008). In einer retrospektiven Studie untersuchten Tzanetakis et al. (2008) Wurzelbehandlungen, die durch Weiterbildungsassistenten im Endodontologie-Curriculum ausgeführt wurden. Insgesamt wurden 2.180 Wurzelbehandlungen (4.897 Wurzelkanäle) bei 1.367 Patienten innerhalb von knapp vier Jahren vorgenommen. Die Prävalenz von frakturierten Instrumenten betrug dabei 40/2.180 = 1,83 % (0,55 % für Stahlinstrumente resp. 1,33 % für Nickel-Titan-Instrumente).
Es ist also ungefähr bei jeder 55. Wurzelbehandlung mit einer Instrumentenfraktur zu rechnen, wobei die Gefahr für Nickel-Titan-Instrumente gegenüber Stahlinstrumenten gut doppelt so hoch ist. Iqbal et al. (2006) berichten über ganz ähnliche Resultate: 4.865 Wurzelbehandlungen aus dem Weiterbildungsprogramm wurden in dieser retrospektiven Studie nachuntersucht. Die Zeitperiode betrug ebenfalls vier Jahre. Insgesamt frakturierten 81 (1,66 %) Instrumente, wovon 12 (0,25 %) Stahlinstrumente und 69 (1,68 %) rotierende Nickel-Titan-Instrumente waren.
Lokalisation
Iqbal et al. (2006) berichten weiterhin, dass frakturierte rotierende Instrumente am häufigsten in mesiobukkalen Wurzeln von unteren und oberen Molaren gefunden werden. Die Wahrscheinlichkeit für eine Instrumentenfraktur im mesiobukkalen Kanal ist dreimal höher als im mesiolingualen resp. distobukkalen Kanal.
55,5 % aller Instrumentenfrakturen waren in unteren Molaren lokalisiert. Ähnliche Resultate fanden wir in einer eigenen Studie (Suter et al. 2005): 48 von 97 (=49,5 %) frakturierten Instrumenten befanden sich in mesialen Wurzeln von unteren Molaren. Bei 64 (66 %) der frakturierten Instrumente handelte es sich um rotierende Instrumente (Nickel-Titan und Lentulo). Gemäß Iqbal et al. (2006) frakturieren die Instrumente mit einer 33,5-fach höheren Wahrscheinlichkeit im apikalen Kanaldrittel als im koronalen Kanaldrittel. Bei Ungerechts et al. (2014) sind es 76,5 % der frakturierten Instrumente.
Im eigenen Untersuchungsgut war die Verteilung der frakturierten Instrumente wie folgt: 19,6 % im koronalen Kanaldrittel, 32 % im mittleren Kanaldrittel, 41% im apikalen Kanaldrittel, 5,2 % füllten den gesamten Kanal aus, und 2,1 % ragten über den Apex hinaus.
Behandlungsmöglichkeiten
Grundsätzlich hat man nach der Fraktur eines Wurzelkanalinstruments folgende Behandlungsmöglichkeiten:
Das frakturierte Instrument belassen und die Wurzelbehandlung so gut wie möglich fertigstellen.
Wurzelfüllung bis zum Fragment mit anschließender Wurzelspitzenresektion. Da die Prognose für die Wurzelbehandlung beim Belassen des Fragments oft gar nicht so schlecht ist (s.u.), sollte mit der Wurzelspitzenresektion zugewartet werden, bis sich eine entsprechende Indikation (Fortschreiten von Entzündung und/oder Symptomen) ergibt.
Versuchen, seitlich am frakturierten Instrument vorbeizukommen und den Kanal anschließend vollständig aufzubereiten (sogenanntes 'Bypassing'). Das kann jedoch zur Perforation oder 'fausse route' führen, wodurch die weiteren endodontischen Maßnahmen beeinträchtigt werden.
Versuchen, das frakturierte Instrument zu entfernen. Dabei kann es zu einer allzu starken Ausweitung des Wurzelkanals und/oder zu Aufbereitungsfehlern wie Transportation und Perforation kommen.
Idealerweise ist die beste Behandlungsalternative die vollständige Entfernung des frakturierten Instruments, ohne die Wurzelkanalform zu beeinträchtigen. Das ist jedoch nicht immer möglich. Zur Entfernung eines frakturierten Wurzelkanalinstruments braucht es grundsätzlich die Zuhilfenahme des Operationsmikroskops.
Falls das Instrument nicht mit einer feinen Zange, einer diamantierten Pinzette oder einem Excavator (heraushebelnd) entfernt werden kann, was selten vorkommt, wird als Erstes mittels einer konischen schallschwingenden Diamantspitze (KaVo SonicFlex Endo #67) oder mittels GatesGlidden-Bohrern ein gerader Zugang bis zum koronalen Ende des frakturierten Instruments hergestellt.
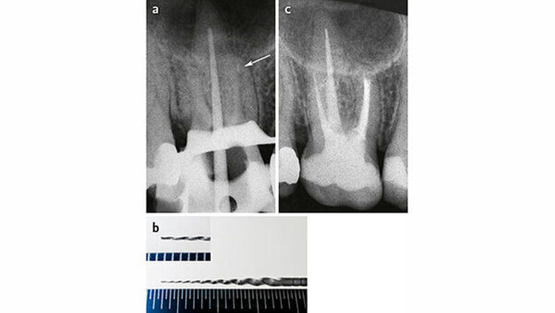
Anschließend kann es mittels Ultraschallspitzen oder feinster Trepanbohrer umfahren und allenfalls gelockert werden (Ward et al. 2003) (Abb.1). Falls das Instrument trotz Ultraschallvibration nicht aus dem Kanal hinausbefördert wird, bietet sich die Möglichkeit, es in einer Hohlnadel zu verkeilen oder zu verkleben und herauszuziehen (Suter 1998; Schutz-Bongert & Tulus 2016) (Abb. 2). Dabei ist es manchmal schwierig, die zueinander passenden Dimensionen von Hohlnadeln und Hedströmfeilen zum Verkeilen des Fragments zu finden. Alternativ kann das Instrument nach 'Bypassing' (s.o.) oft mittels Ultraschall oder Handinstrumenten aus dem Kanal hinausbefördert werden.
Alle diese Prozeduren sind schwierig und zeitaufwendig. Mit entsprechender Geduld und Erfahrung ist es möglich, die meisten frakturierten Instrumente zu entfernen.
Prognose
Die langfristige Prognose für einen Zahn nach Instrumentenfraktur ist abhängig vom Grad der Infektion und vom Zeitpunkt der Instrumentenfraktur (Simon et al. 2008; Ungerechts et al. 2014). Je später die Fraktur passiert, desto größer die Wahrscheinlichkeit, dass der Kanal chemomechanisch schon gut aufbereitet ist und demzufolge weniger Mikroorganismen und/oder nekrotisches Gewebe vorhanden sind (Abb. 3). Je fortgeschrittener die Infektion (entzündete Pulpa, nekrotische Pulpa, periradikuläre Aufhellung), desto mehr und tiefer im Kanal liegende Mikroorganismen sind zu erwarten. Außerdem sind bei Revisionen tendenziell resistentere Keime zu erwarten als bei Ersteingriffen.
In einer Metaanalyse finden Panitvisai et al. (2010) keinen signifikanten Unterschied bezüglich Erfolgsprognose für Wurzelbehandlungen mit oder ohne frakturierte Instrumente. In einer Case-Control-Studie fanden Spili et al. (2005) teilweise signifikante Unterschiede: Die Heilungsraten betrugen für Zähne ohne Aufhellung 91,8 % mit frakturiertem Instrument resp. 94,5 % ohne frakturiertes Instrument (p > 0,05) und für Zähne mit Aufhellung 86,7 % mit frakturiertem Instrument resp. 92,9 % ohne frakturiertes Instrument (p > 0,05). Wenn die Behandlung jedoch durch erfahrene Endodontologen ausgeführt wurde, ergaben sich keine signifikanten Unterschiede bezüglich der Instrumentenfraktur.
In einer Nachfolgeuntersuchung zu unserer eigenen Studie stellte Helbling (2014) fest, dass es keinen Unterschied bezüglich des klinischen Erfolgs nach ≥ 3 Jahren gab, wenn das frakturierte Instrument nicht vollständig entfernt werden konnte und/oder es anlässlich des Entfernungsversuchs zur Perforation gekommen war, verglichen mit Zähnen mit erfolgreicher Instrumentenentfernung (Abb. 4 und 5). Das Untersuchungsgut lässt außerdem die Vermutung zu, dass die Stärke der Kanalkrümmung die Erfolgswahrscheinlichkeit bezüglich Instrumentenentfernung beeinflusst. Wegen der kleinen Anzahl der Fälle sind diese Ergebnisse jedoch nicht abschließend.
Dr. med. dent. Beat SuterPrivatpraxis Bern und Klinik für Zahnerhaltung, Präventiv- und Kinderzahnmedizin, Universität BernPraxis für Endodontologie, Freiburgstraße 2, CH-3008 Bernbs@endodontics-bern.ch
Summary/Abstract
Suter B: Separated Root Canal Instruments – An overview of incidence, localisation, treatment strategies and outcome (in German). SWISS DENTAL JOURNAL SSO 127: 233–237 (2017)
The dreaded fracture of a root canal instrument is in fact a rare adverse event. Most instrument fractures occur in molar teeth with the highest degree of root curvature. Various treatment options (leaving the fractured instrument with or without apicoectomy, bypassing or removing the fragment) and removing techniques (using ultrasonics, hollow tubes or bypassing and removing with debriders) are discussed. The clinical prognosis for teeth with fractured instruments is not necessarily compromised if appropriate further treatment is undertaken. Indeed, it is the timing of instrument fracture and the associated level of infection that will dictate treatment outcomes.












