Gelaserter Wundverschluss nach MKG-Operationen
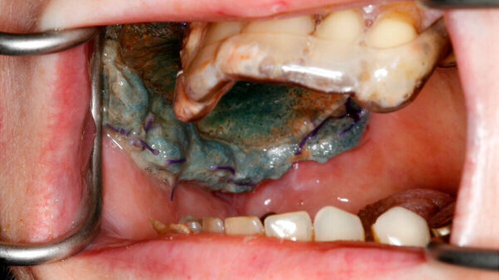
Bislang mussten orale Wunden und Defekte nach chirurgischen Eingriffen ab einer bestimmten Größe mit Kompressen abgedeckt oder mit einem eigenen Transplantat - mit oft aufwendiger Nahttechnik - versorgt werden. Die Wundabdeckung mit Kollagenmembranen, die lasergestützt an der Schleimhaut befestigt werden, ist dagegen eine neue Lösung.
Unter der Leitung des Fraunhofer-Instituts für Lasertechnik ILT entwickelten Projekts "Biophotonic Technologies for Tissue Repair BI-TRE" entwickelten die Forscher einen temperaturgeregelten Laser für medizinische Anwendungen und ein faseroptisches Handstück zur Applikation der Laserstrahlung bei gleichzeitiger Erfassung der Gewebetemperatur.
Der Proteinkleber wurde einst für Brandwunden entwickelt
Ursprünglich sollten damit großflächige Hautwunden wie Brandwunden verschlossen werden. Brandwunden werden heute üblicherweise geklammert - mit dem Nachteil, dass die Klammern wieder entfernt werden müssen und dabei bleibende Vernarbungen entstehen. Der Proteinkleber aus Albumin, der über eine Zeit von zwei drei Wochen für die Haftung der Wundauflage sorgt und anschließend vom Körper absorbiert wird, hat den Vorteil, dass diese Narbenbildung ausbleibt .
Artikel nicht gefunden id_extern: typo3-import-article-733
<interactive-element xmlns:ns3="http://www.w3.org/1999/xlink" ns3:href="censhare:///service/assets/asset/id/" ns3:role="censhare:///service/masterdata/asset_rel_typedef;key=actual."/>
"Ein ähnliches Verfahren wird bereits von Projektpartnern in Italien im Bereich der Augenheilkunde angewendet", sagte Leiter Dr. Martin Wehner: Bei Hornhautoperationen wird auch nicht mehr genäht, sondern ein Laserkoagulationsprozess durchgeführt - etwa 100 Patienten wurden so bereits versorgt.
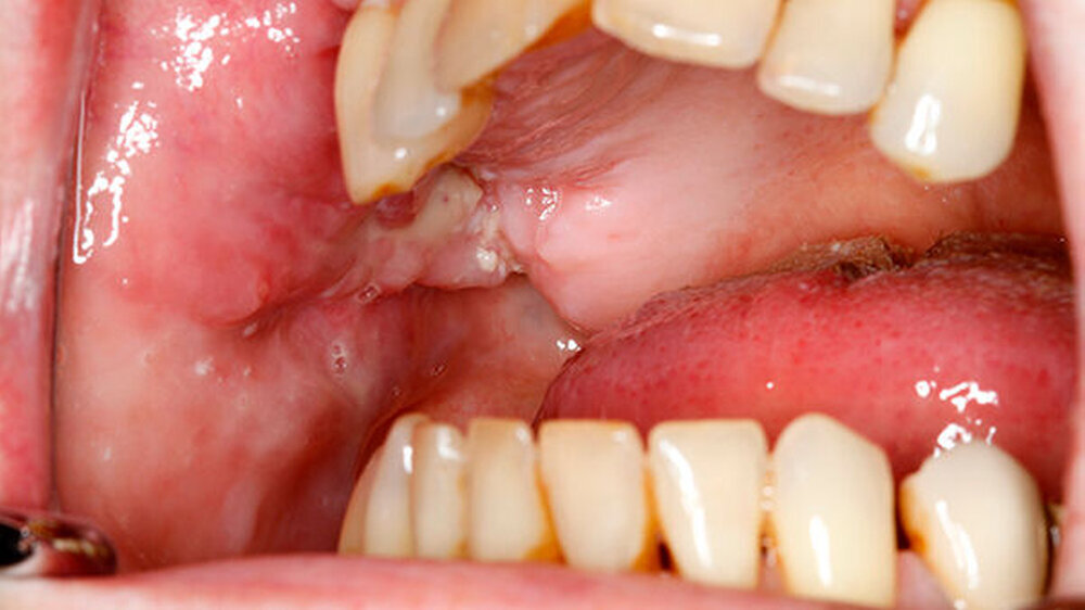
Im Mundbereich ist das Nähen schwierig
"In Tierversuchen am Schweinemodell mit kollagenbasierten Wundauflagen war das Heilungsverhalten positiv, wobei diese Versuche statistisch noch nicht abgesichert sind", berichtete Wehner im Gespräch mit den zm. "In der Oralchirurgie und der Mund-, Kiefer-, Gesichtschirurgie könnte dieses Verfahren eine effektive Lösung für die Patientenversorgung darstellen, weil im Mundbereich aufgrund der anatomischen Verhältnisse, der Keimbelastung wie auch der Feuchtigkeit eine adäquate Wundabdeckung oft nur schwierig möglich ist", sagte Projektpartner Univ.-Prof. Dr. Dr. Ralf Smeets von der Klinik und Poliklinik für Mund-, Kiefer- und Gesichtschirurgie am UKE Hamburg-Eppendorf.
Wehners Team arbeitet gerade daran, das Verfahren so anzupassen, dass es auch an der Mundschleimhaut einsetzt werden kann. Die Herausforderung sei, den Wärmeeffekt in der Tiefe des Gewebes zu minimieren, um möglichst wenig Wärmeenergie in die Haut- oder Schleimhaut bringen. Die Forscher wollen eine Membran entwickeln, die die Abdeckung der Wunde gewährleistet. Zudem muss der Proteinkleber so lange halten, bis sich das Gewebe regeneriert hat.
Damit der Laser speziell im Bereich der Mund-, Kiefer-, Gesichts- und Oralchirurgie eingesetzt werden kann, wurde ein Handstück konstruiert, in dem eine Faser zum Transport der Laserstrahlung sowie außerdem Fasern zur Detektion eines Temperatursignals und weiterer optischer Signale integriert sind. Dadurch wird gewährleistet, dass der Arzt den zulässigen Temperaturbereich einhalten kann und das behandelte Gewebe unbeschadet bleibt.
Nach Angaben von Smeets könnte der lasergestützte Wundverschluss beispielsweise nach Tumoroperationen sowie Traumata eingesetzt werden. Aber auch im Bereich der Implantologie eigne sich das Verfahren.
Das Projekt ist Teil der Initiative BiophotonicsPlus "Biophotonische Geräte für die angewandten Lebenswissenschaften und den Gesundheitssektor", mit der das Bundesministerium für Bildung und Forschung BMBF und die EU den Einsatz biophotonischer Technologien im medizinischen Bereich fördern.






