Geprüfter Schutz gegen Hypersensibilitäten
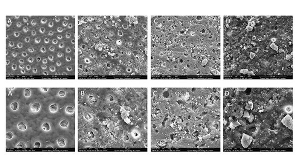
Eine Untersuchung an der Queen Mary University of London zu Zahncremes auf Basis bioaktiver Inhaltsstoffen 2018 ergab, dass BioMin F selbst nach einer Zugabe von 6%iger Zitronensäure einen fast 100%igen Verschluss der Dentintubuli bewirkte und damit ein sinnvolles Mittel für die Dentalhygiene darstellt.(1)
Und auch ein Produkttest im Umfeld des Verbandes Deutscher Dentalhygieniker (VDDH) fiel eindeutig aus: Schon nach wenigen Tagen Anwendung von BioMin F konnten zahlreiche Patienten und DH eine spürbare Reduzierung ihrer Zahnempfindlichkeiten feststellen, unabhängig von der Ursache. Deshalb empfehlen die befragten Dentalhygienikerinnen BioMin F ihren Patienten sowohl bei ernährungsindizierten Sensibilitäten als auch gezielt zur Verwendung nach einer PA oder Zahnaufhellung. Neben der spürbaren Wirksamkeit überzeugte vor allem der angenehme Geschmack der Zahncreme die Tester.
Vertrieben wird die BioMin F-Zahnpasta auf dem deutschen und österreichischen Markt exklusiv von Dent-o-care.
(1) Luiza Pereira Dias da Cruz et al. Dentine Tubule Occlusion by Novel Bioactive Glass-Based Toothpastes. International Journal of Dentistry, Volume 2018, Article ID 5701638, 10 pages. doi.org/10.1155/2018/5701638
Dent-o-care GmbH
Tel.: 08102 7 772 888




