Goldfäden auf dem OPG
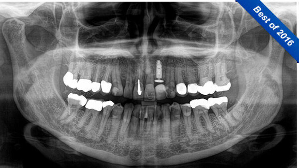
Im April 2016 stellte sich eine 58-jährige Patientin zur Kontrolluntersuchung in unserer Praxis vor. Die Anamnese war unauffällig. Es wurde ein OPG (Sirona, Orthophos SL) zu einer Implantatversorgung an Regio 22 gefertigt (Abbildung 1).
Der Befund
Auf der Röntgenaufnahme waren im Seitenzahngebiet der Patientin unklare, diffuse, faden-ähnliche Verschattungen sichtbar, die wie kleine Fusseln aussahen. Da das Röntgengerät kaum ein Jahr alt war, ging der behandelnde Zahnarzt von einer falschen Einstellung beziehungsweise Fehlaufnahme aus.
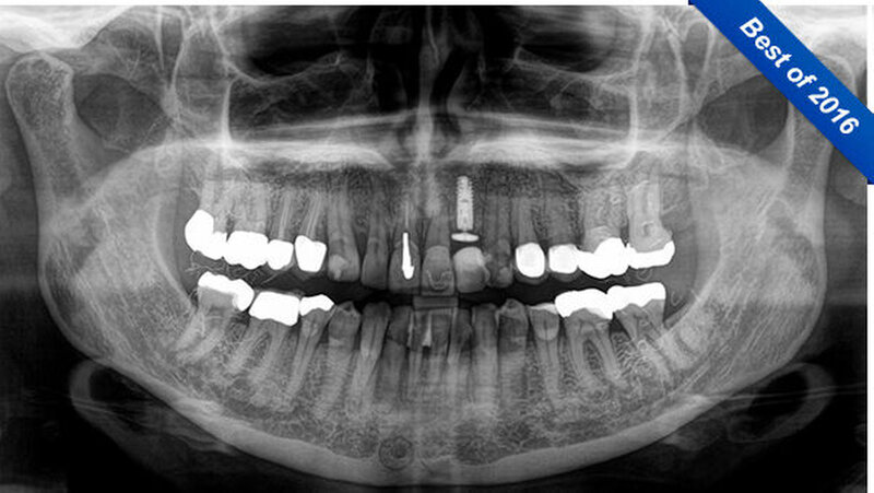
Im September 2016 stellte sich die Patientin erneut zu einer Kontrolluntersuchung in unserer Praxis vor. Es wurde ein neues OPG zur Beurteilung der Implantatversorgung an Regio 22 aufgenommen (Abbildung 2). Wieder traten hierbei diese zerstreuten, kleinfädigen Verschattungen im Seitenzahnbereich auf.
Ein Vergleich der beiden Röntgenaufnahmen zeigte identische Strukturen an gleicher Position. Der Behandler wunderte sich über diese in über 35 Jahren Berufserfahrung noch nie - und jetzt zum wiederholten Mal - gesehene Röntgenverschattung. Auf die Frage, ob sie wüsste, woher diese Fusseln stammen könnten, antwortete die Patientin, sie habe vor vielen Jahren ein Goldfadenlifting erhalten, das die Verschattungen möglicherweise verursacht haben könnte.
Gold in der Wange
Im Rahmen ihrer Kosmetikausbildung stand die Patientin vor etwa 15 Jahren als Model für ein Goldfadenlifting der Firma Vikomed zu Verfügung. In lokaler Anästhesie wurden in München 2001 von einer Ärztin hauchdünne Goldfasern extraoral in die Wangenhaut eingebracht. Die Patientin beschreibt den damals etwa 30-minütigen Vorgang ähnlich wie „Socken stopfen“.
Etwa drei bis vier Tage Tage postoperativ verspürte die Patientin noch geschwollene Wangen sowie ein Spannungs- und Wärmegefühl. Hämatome oder Schmerzen blieben aus. Auch in den kommenden Jahren seien keine weiteren Beschwerden aufgetreten.
Schon wenige Wochen nach dem Eingriff habe man den erfreulichen Effekt des Liftings erkennen können, berichtet die Patientin: „Die hängenden Lippen wurden gestrafft und der positive Effekt war sichtbar“. Die Goldfäden verblieben für immer im Gewebe. Der Patientin zufolge haben sich in den letzten Jahren durch Muskelbewegungen einige Goldfäden verschoben und wurden extradermal sichtbar: „Diese Fäden ziehe ich mir dann aus der Haut heraus. Sie sind hauchdünn und kaum zu erkennen, aber mir als Kosmetikerin fällt dies natürlich sofort auf.“
Durch die Altersveränderungen der Haut, dem Absinken der Weichteilstrukturen und dem Verlust an Fettgewebe, haben sich in den vergangenen Jahren vermutlich die Goldfäden aus der Wangenhaut nach kaudal verlagert und sind im OPG jetzt sichtbar geworden. Von zahnärztlicher Seite wurde nichts weiter unternommen.
Diskussion
Schönheitsbehandlungen zur Gesichtsverjüngung können grob in operative Gesichtsstraffungen und in weniger invasive Verfahren wie zum Beispiel Fetttransplantationen, Botolinumtoxin-Injektionen, Fadenliftings oder Laserbehandlungen eingeteilt werden [Kim et al., 2015].
Bereits 1960 beschäftigten sich plastische Chirurgen mit der Implantation von Goldfäden zur Induktion einer Kollagen-Neubildung, um moderat abgesunkene Regionen im Gesicht anzuheben [Adamyan, 1998]. Das einfache Verfahren zeigt jedoch nur eine begrenzte Wirkdauer und beherbergt die Problematik der permanent im Körper verbleibenden Materialien [Rösken, 2016].
In den letzten Jahren wurden weitere Verfahren für das Fadenlifting entwickelt. Heutzutage werden Methoden mit selbstauflösenden Fäden beispielsweise aus Polydioxanon (PDO) verwendet [Suh et al., 2015]. Der verbliebene Faden soll durch eine gewünschte Umhüllung mit Kollagen biostimulierend wirken oder durch Widerhaken ein Lifting erreichen [Rösken, 2016].
Dr. Alexandra WolfZahnärzte am Forum SteglitzSchloßstraße 125 , 12163 Berlinwolf.alexandra.88@gmail.com
Literatur
Adamyan AA (1998). Clinical aspects of facial skin reinforcement with special (gold) surgical filaments. Ann Plast Reconstr Aestht Surg 3:18-22.
Kim BJ, Choi JH, Lee Y (2015). Development of Facial Rejuvenation Procedures: Thirty Years of Clinical Experience with Face Lifts. Arch Plast Surg. 42 (5): 521-531.
Rösken (2016): Minimal-invasives Lifting mit resorbierbaren Fäden. Plastische Chirurgie 02.
Suh DH, Jang HW, Lee SJ, Lee WS, Ryu HJ (2015). Outcomes of polydioxanone knotless thread lifting for facial rejuvenation. Dermatol Surg. 41: 720-725.
Artikel nicht gefunden id_extern: typo3-import-article-771
<interactive-element xmlns:ns3="http://www.w3.org/1999/xlink" ns3:href="censhare:///service/assets/asset/id/" ns3:role="censhare:///service/masterdata/asset_rel_typedef;key=actual."/>




