Immunologische Grundlagen der Entzündungsreaktion
Die Haut und die Schleimhautepithelien der Atemwege und des Darms stellen als physikalische und chemische Barriere den ersten Teil des unspezifischen Abwehrsystems dar. Mikroorganismen, die diese Barriere überwinden, treffen auf Zellen und Moleküle, die innerhalb kürzester Zeit eine angeborene Immunantwort auslösen können. Gewebsmakrophagen tragen Rezeptoren, die bestimmte Muster an Bakterienoberflächen erkennen können. Die Aktivierung dieser Rezeptoren (Sensoren) durch Pathogenbestandteile (Trigger) führt zur Ausschüttung von Zytokinen und Chemokinen, die neutrophile Granulozyten und Monozyten aus dem Blut ins infizierte Gewebe rekrutieren (Zellrekrutierung) und damit die Entzündungsreaktion initiieren. Gleichzeitig wird auch der Lymphfluss gesteigert und Mikroorganismen sowie Antigen-präsentierende Zellen gelangen hierdurch in die drainierenden Lymphknoten, wo sie Lymphozyten aktivieren und damit die adaptive Immunantwort einleiten. Wenn diese adaptive Immunantwort aktiviert worden ist, gelangen auch Antikörper und T-Zellen an den Ort der Entzündung.
Trigger und Sensoren der Entzündungsreaktionen
In der Evolution haben sich verschiedene Mechanismen der Entzündungsreaktion entwickelt, um Gewebeschäden oder Infektionserreger zu erkennen und spezifisch darauf zu reagieren [Buchmann K. et al., 2014]. Werden Körperzellen einem Trauma, einer Ischämie oder einer Gewebeschädigung ausgesetzt, setzen sogenannte Schädigungs-assoziierte Mustererkennungs-Moleküle (damage-associated molecular pattern molecules (DAMPs)) die Immunantwort in Gang und unterhalten sie, unabhängig von einer Infektion. DAMPs sind sowohl in den Zellen (Zellkern, Zytoplasma, Exosomen) als auch in der extrazellulären Matrix und im Plasma zu finden. Die Gruppe der DAMPs setzt sich aus äußerst unterschiedlichen Molekülen wie zum Beispiel ATP, Harnsäure, Heparin-Sulfat, RNA oder DNA zusammen. Sie können über entsprechend unterschiedliche Rezeptoren die Immunantwort initiieren [Tang, D. et al., 2012].
Im Gegensatz zur sterilen Entzündung werden bei Infektionserregern spezifische Oberflächen-Strukturen von Pathogenen durch Mustererkennungsrezeptoren (pathogen-associated molecular patterns (PAMPs)) auf der Oberfläche von Immunzellen und in geringerem Maß auch auf Epithelzellen erkannt [Mogensen T.H. et al., 2009]. Nach Bindung mikrobieller Bestandteile an diese Mustererkennungsrezeptoren, wie zum Beispiel Toll-like Rezeptoren (TLRs) oder C-Typ-Lectin-Rezeptoren (CLRs), können Zellen des angeborenen Immunsystems (wie Makrophagen) das Signal ins Zellinnere weiterleiten und unmittelbar auf Infektionen reagieren. Bei Patienten mit angeborenen Defekten in der Signalgebung der Toll-like-Rezeptoren treten früh schwere septische Infektionen auf, oft nur von einer geringen Entzündungsreaktion begleitet [Casanova J.L. et al., 2011].
Als ein Beispiel für CLRs seien die Dectine genannt, die die orale Immunität gegen Pilze auslösen. Dementsprechend sind Patienten mit Mutationen in CARD9, bei denen der Dectin-Signalweg unterbrochen ist, empfänglich für Sprosspilz-Infektionen der Mundschleimhaut mit zum Teil invasivem Verlauf [Glocker E.O. et al., 2009].
Da die von den Mustererkennungsrezeptoren erkannten Pathogenbestandteile in der Regel entscheidend für den Lebenszyklus von Bakterien und Pilzen sind, sind Ausweichmutationen, die die Mustererkennung unterlaufen würden, mit hohen Kosten für die Mikroorganismen verbunden oder gar unmöglich.
Daher können unterschiedliche Pathogene gleiche intrazelluläre Multiprotein-Komplexe, sogenannte Inflammasome, aktivieren und damit zu gleichen inflammatorischen Reaktionen führen. So kann zum Beispiel das Inflammasom NLRP3 sowohl durch Viren (Influenza-A-Virus, Respiratorisches Synzytialvirus), Bakterien (Bordetella pertussis, Chlamydia pneumonia, Haemophilus influenzae, Klebsiella pneumonia, Streptococcus pneumonia, Mycobacterium tuberculosis) oder Pilze (Aspergillus fumigatus, Candida albicans), aber auch durch Fremdkörper oder DAMPs aktiviert werden (Abbildung 1). Aktivierende Mutationen in Bestandteilen des Inflammasoms führen zu chronischen Fiebersyndromen, oft begleitet von entzündlichen Veränderungen der Haut und der Schleimhäute [Sanchez G.A. et al., 2013].
Werden ganze Mikroben durch mononukleäre Zellen gefressen, werden diese zunächst in ähnlicher Weise wie beim Oberflächenkontakt aktiviert, allerdings findet der Erregerkontakt mit den Immunzellrezeptoren in diesem Fall auf den inneren Zelloberflächen der Endosomen statt. Über die Art des gebundenen Rezeptors (es gibt zehn humane TLRs) und durch eine präzise gesteuerte Weichenstellung in den rezeptorabhängigen Signalkaskaden kann die Zelle diese Signale unterscheiden. Die Mustererkennung ist jedoch nicht auf membranäre Systeme beschränkt. In den vergangenen Jahren gab es einen großen Erkenntnisgewinn im Bereich der intrazellulären Rezeptoren, die insbesondere mikrobielle DNA, aber auch Zellwandbestandteile erkennen. Beispiele für die intrazellulären Rezeptorsysteme sind die RIG-I-like-Helikasen (RNA-Sensoren), AIM2 und STING (DNA-Sensoren) und die NOD-Moleküle (Zellwandglykopeptide) [Gurtler C. et al., 2013]. Diese intrazellulären Rezeptorsysteme sind wichtig für die Erkennung von Viren und Bakterien, die aus den Endosomen ausbrechen (wie Listerien).
Entzündungssignale und Zellrekrutierung
Nach Erkennung der mikrobiellen oder sterilen Fremdstrukturen werden Botenstoffe gebildet, die als Chemokine bestimmte Zellpopulationen an den Ort der Fremdstrukturerkennung leiten. Weitere Mediatoren wie Histamin und die Prostaglandine E2 und I2 erhöhen lokal die Gefäßpermeabilität, wodurch Plasmaproteine wie Komplementfaktoren die Blutbahn verlassen und ins Gewebe einströmen. Darüber hinaus führen diese Mediatoren zu einer Vasodilatation, die den Blutstrom verlangsamt und somit das Rollen und Adhärieren der Leukozyten am Endothel erleichtert. Gleichzeitig werden im Rahmen der Gewebeschädigung lokal pro-inflammatorische Zytokine wie Interleukin 1 und Tumornekrosefaktor (TNF)-α gebildet, die zu einer Aktivierung der Gefäßendothelzellen mit konsekutiver Expression von Adhäsionsmolekülen führen. An diesen Stellen treten die Leukozyten einem Chemokingradienten folgend durch das aktivierte Endothel in das geschädigte Gewebe ein. Bei angeborenen Leukozytenadhäsionsdefekten kommt es zu schweren Entzündungen, bei denen die typischen Entzündungscharakteristika aber weitgehend fehlen [van de Vijver E. et al., 2013]. Die am Ort des Traumas gebildeten Chemokine oder durch Komplementaktivierung freigesetzten Chemoattractants wie C3a und C5a bestimmen, welche Leukozyten bevorzugt angelockt werden: neutrophile oder eosinophile Granulozyten, Monozyten/Makrophagen, B-Lymphozyten, Antikörper-produzierende migratorische Plasmablasten oder T-Zellen (Abbildung 2).
Somit ist die Kombination bestimmter Chemokine und Chemoattractants für die spezifische Ausprägung der Abwehr- und Entzündungsreaktion verantwortlich: Zum Beispiel induzieren Staphylokokken und Streptokokken primär den Einstrom von neutrophilen Granulozyten und die Eiterbildung mit Abszess beziehungsweise Phlegmone, während Mykobakterien die Einwanderung und Aktivierung von Monozyten/Makrophagen sowie T-Zellen anregen und zur Bildung von Epitheloidzellgranulomen führen [Turner M.D. et al., 2014]. Die Vasodilatation und somit vermehrte Durchblutung, die Extravasation von Plasmaproteinen sowie Entzündungszellen und die Freisetzung von Schmerzmediatoren (wie Substanz P) führen zu den klassischen Entzündungs- zeichen: der Rötung (lat. rubor), der Erwärmung (lat. calor), der Schwellung (lat. tumor), dem Schmerz (lat. dolor) und einer eingeschränkten Funktion (lat. functio laesa).
Das adaptive Immunsystem
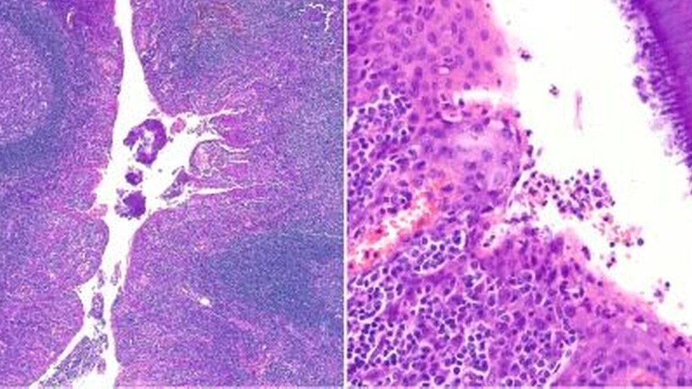
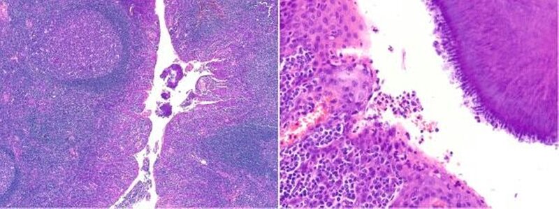
Während das angeborene Immunsystem über Mustererkennungsrezeptoren sofort auf Infektionen reagieren kann, braucht das adaptive Immunsystem eine Lernphase von mehreren Tagen, bis es eine ausreichende Reaktionsfähigkeit entwickelt hat. Dies liegt daran, dass die T- und B-Zellen zunächst anhand der Spezifität ihres Antigenrezeptors auf Passfähigkeit zu dem infizierenden Pathogen selektiert werden. Dieser Vorgang findet in sekundär lymphatischen Geweben, bei oralen Immunreaktionen vor allem den regionären Lymphknoten, den Tonsillen und weiteren Elementen des Waldeyerschen Rachenrings statt. Hier treffen T- und B-Zellen auf Antigen-präsentierende dendritische Zellen, die aus der Schleimhaut über die Lymphbahnen in den Lymphknoten eingewandert sind, nachdem sie über PAMPs Pathogene erkannt und aufgenommen haben. Das Anschwellen der Lymphgewebe im Rahmen der Infektion ist auf eine Expansion dieser Zellen während der Selektion in den Keimzentren zurückzuführen (Abbildung 3). Primäre Keimzentren entstehen innerhalb von vier bis fünf Tagen und erreichen ihre volle Funktion innerhalb von 14 Tagen [Gatto D. et al. , 2010]. Nach der erfolgreichen Beendigung des Infekts kommt es zu einem drastischen Absterben der expandierten Immunzellen, von denen lediglich langlebige zirkulierende Gedächtnis-B- und T-Zellen sowie langlebige Plasmazellen im Knochenmark zum Schutz vor einer Reinfektion mit demselben Erreger übrig bleiben. Bei Kindern mit einer angeborenen Entwicklungsstörung der B-Zellen, dem X-chromosomal vererbten Morbus Bruton, sind Tonsillen infolge der fehlenden adaptiven Immunantwort oft gar nicht nachweisbar [Bruton O. C. et al., 1952].
Bei enoralen Infektionen ist die Bedeutung der adaptiven Immunität sehr variabel. Zwar enthält Speichel sekretorisches IgA, das zur Oberflächenprotektion an Schleimhäuten durch Opsonierung von Erregern beiträgt, allerdings haben die meisten Patienten mit IgA-Mangel keine wesentliche Infektneigung. Selbst Patienten mit einem ausgeprägten Antikörpermangel, der auch die anderen Immunglobulinklassen betrifft, haben zwar rezidivierende Infektionen im oberen Respirationstrakt, aber selten enorale Infektionen [Oksenhendler E. et al, 2008]. Dies spricht gegen eine wesentliche Rolle von Antikörpern als Abwehrmechanismus bei Infektionen der Mundhöhle.
Die wichtige Funktion von T-Zellen bei der Abwehr von Candida-Infektionen der Schleimhäute ist durch die Beobachtungen bei Patienten mit HIV und anderen Patienten mit gestörter T-Zellimmunität eindeutig belegt. In den vergangenen Jahren hat sich gezeigt, dass insbesondere eine Untergruppe der T-Zellen, die den pro-inflammatorischen Botenstoff Interleukin-17 (IL-17) herstellen, sogenannte T-helfer(Th)-17-Zellen, entscheidend für die Abwehr von Candida ist (Abbildung 4). So zeigen verschiedene Immundefekte, bei denen Th-17-Zellen fehlen, (Gruppe der genetisch bedingten chronischen mukocutanen Candidiasis) oder Erkrankungen, bei denen Antikörper gegen IL-17 gebildet werden (APECED), eine erhebliche Anfälligkeit für mukosale Candidainfektionen [McDonald D. R. et al., 2012]. Die Th-17-Zellen sitzen in den Schleimhäuten und werden über lokale dendritische Zellen vor Ort aktiviert. Ihre Zytokine verstärken die Aktivierung des angeborenen Immunsystems.
Entzündungsterminierung
Um Schäden durch eine überschießende Entzündung zu vermeiden, muss diese engmaschig kontrolliert und ein Terminierungsprogramm aktiviert werden. Störungen in diesem Mechanismus können zu chronisch entzündlichen Erkrankungen führen [Perez D. A. et al., 2014]. Die Entzündungsterminierung ist ein aktiver Prozess, der durch verschiedene Mediatoren und Signalmoleküle vermittelt wird [Serhan C. N. et al., 2005]. Hierbei wird die Synthese pro-inflammato-rischer Moleküle vermindert, ihr Abbau gesteigert und anti-inflammatorische Moleküle werden gebildet. Die zuvor eingewanderten Leukozyten, vor allem neutrophile Granulozyten, müssen beseitigt werden. Dies kann durch Wiedereintritt der Zellen in die Zirkulation, Lymphdrainage oder den programmierten Zelltod (Apoptose) geschehen.
Eine wichtige Rolle bei der Terminierung der Entzündung spielen Fettsäuren, die als Ausgangssubstanz für verschiedene Lipid-Mediatoren wie Lipoxine, Resolvine und Protektine dienen. Lipoxine sind Arachidonsäurederivate, die den Eintritt neuer neutrophiler Granulozyten in entzündetes Gewebe verzögern können. Außerdem erhöhen sie die Phagozytose apoptotischer Granulozyten durch Makrophagen. Darüber hinaus können sie die durch Entzündung hervorgerufene Gefäßpermeabilitätssteigerung vermindern und tragen somit zur Entzündungsterminierung bei. Lipoxin A4 erhöht die Synthese von TGF-β1, einem anti-inflammatorischen Molekül. Neben Lipid-Mediatoren gibt es auch Proteine, die die Entzündungsreaktion terminieren. Glukokortikoide erhöhen die Synthese von Annexin A1 (AnxA1). AnxA1 vermindert die Leukozytenrekrutierung sowie die Synthese pro-inflammatorischer Mediatoren [Perretti M. et al., 2009]. Darüber hinaus induziert AnxA1 die Apoptose neutrophiler Granulozyten durch verminderte Expression anti-apoptotischer Faktoren und erhöhte Expression pro-apoptotischer Faktoren. Sowohl AnxA1 als auch LXA4 binden an den Rezeptor ALX, was unter anderem Einfluss auf die Makrophagendifferenzierung hat. So kommt es zu einem Überwiegen von M2-Makrophagen, die Zellproliferation und Gewebereparatur [Mills C.D. et al., 2012] fördern, anti-inflammatorische Zytokine wie IL-10 und TGF-βsezernieren und die Sekretion von VEGF induzieren, das für die Reparatur von Endothelien und Epithelien notwendig ist. Insgesamt ist die Terminierung der Entzündung hier nur ausschnittsweise dargestellt, bisher aber auch erst in Ansätzen verstanden. Wiederum illustrieren angeborene Immundefekte die Bedeutung einzelner Elemente in diesen komplexen Regulationsvorgängen. So zeigen Patienten mit Defekten in IL-10 oder im IL-10-Rezeptor eine früh beginnende, ausgesprochen schwer verlaufende entzündliche Darmerkrankung [Engelhardt K.R. et al., 2014].
cand. med. Sandra Jendrossek
Prof. Dr. Dirk Wagner
Prof. Dr. Philipp Henneke
Prof. Dr. Klaus Warnatz
Prof. Dr. Reinhard Voll
Prof. Dr. Stephan Ehl
Universitätsklinikum Freiburg
CCI - Zentrum für Chronische Immundefizienz
Breisacher Str. 11
779106 Freiburg i. Brsg.







