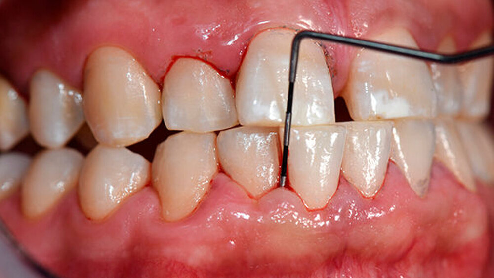
Impfstoff gegen Parodontitis in der Pipeline
Entwickelt haben den Impfstoff Eric Reynolds von der University of Melbourne und zahlreiche weitere Forscher aus Australien und den USA. Seit 15 Jahren arbeiten die Wissenschaftler schon an einer Impfung gegen Parodontitis, jetzt konnten erste Ergebnisse im Journal NPJ Vaccines präsentiert werden.
Grundlage für die Fertigung des Impfstoffs waren P. gingivalis-Proteasen, die als Schlüsselmediatoren der Parodontitis angesehen werden. Die Arbeitsgruppe fand heraus, dass die Behandlung mit diesen Antikörper auslöst, die gegen Parodontitis schützen. Gemessen haben sie das durch den Verlust der Knochenstruktur.
Der entwickelte Impfstoff ist hauptsächlich für Patienten gedacht, die bereits mit Parodontitis zu kämpfen und die entsprechenden Bakterien im Mund haben. Die durch den Impfstoff erzeugten Enzyme sind als "Gingipain"-Enzyme bekannt, die P. gingivalis dazu befähigen, Mundhöhlen zu kolonisieren, die Immunantwort des Wirtes zu deregulieren und Krankheiten zu induzieren. Der Impfstoff der Forscher präsentiert eine abgeschwächte Form dieser Enzyme, so dass das Immunsystem der Wirte Antikörper entwickeln kann, die die "Gingipains"-Enzyme neutralisieren und vor Krankheiten schützen.
Die Ergebnisse deuten aus Sicht der Autoren darauf hin, dass die Impfung von Menschen mit chronischer Parodontitis unter Verwendung der P. gingivalis-Gingipain-Chimäre als Ergänzung zu Skaling und Wurzelglättung einen Umstieg auf eine Th2 (weniger inflammatorische) Reaktion erzeugender Gingipain-neutralisierender Antikörper induzieren sollte. Das Fortschreiten der Krankheit könnte so unterbunden werden.
Da die chronische Parodontitis ein bekannter Risikofaktor für kardiovaskuläre Erkrankungen, Diabetes, spontane Frühgeburt und Geburtenschwäche, Bauchspeicheldrüsenkrebs und rheumatoide Arthritis ist, kann der Impfstoff auch Vorteile für die Gesamtgesundheit haben, betonen die Wissenschaftler. Eine klinische Testreihe an Patienten ist für das Jahr 2018 geplant.
A therapeutic Porphyromonas gingivalis gingipain vaccine induces neutralising IgG1 antibodies that protect against experimental periodontitis npj Vaccines 1, (2016) doi:10.1038/npjvaccines.2016.22
Die Studie wurde von der australischen Regierung, Sanofi Pasteur und CSL Ltd., Bio21 Institute unterstützt.



