Kanalikuläres Adenom
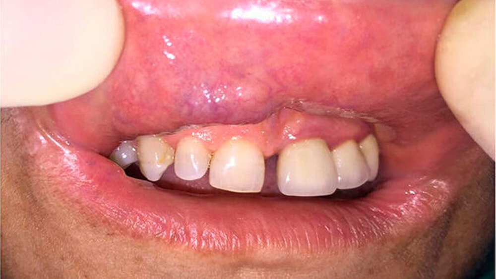
Bei der Primärvorstellung zeigten sich eine leichte Asymmetrie der oberen Lippe (Abbildung 1) und eine leichte bläuliche Verfärbung sowie Erhebung im Bereich der Lippenschleimhaut (Abbildung 2).
Bei der Untersuchung wurde eine gut umschriebene weiche Schwellung im angegebenen Bereich festgestellt. Bei der Palpation entstand kein Schmerzimpuls. Aufgrund der Art und der Lokalisation der Schwellung wurde die Verdachtsdiagnose einer Mukozele gestellt.
Therapie und Diagnose
Unter örtlicher Betäubung und durch Inzision der Schleimhaut von etwa 2 cm, mit stumpfen Dissektionen und sanftem Druck auf die umliegenden Weichgewebestrukturen, wurde die Läsion erreicht und in toto entfernt (Abbildung 3). Sie war von einer umgebenden Kapsel sehr gut abgegrenzt (Abbildung 4). Eine Asymmetrie der Oberlippe war sofort nach der Entfernung des Gewebes auf (Abbildung 5) nicht mehr zu sehen.
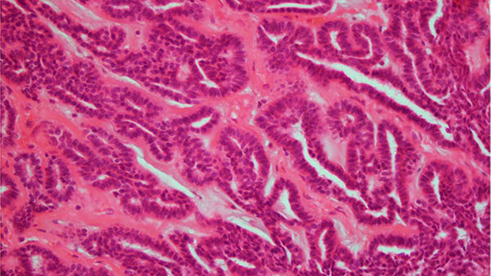
Die histopathologische Untersuchung des entnommenen Materials ergab die Anwesenheit von säulenförmige Zellenschichten, die verzweigte und miteinander verbundene Ausstülpungen darstellen (Hämatoxylin-Eosin-Färbung x 400). Kolumnare Zellen bildeten kanalartige duktale Strukturen (Abbildung 6). Die endgültige histopathologische Beurteilung ergab ein kanalikulaeres Adenom von der Oberlippe (ICD-O:8149/0).
Bei einer Nach-Beobachtungszeit von nunmehr einem Jahr konnte kein Anhalt auf Rezidive gesehen werden.
Diskussion
Kanalikuläre Adenome bilden nach den pleomorphen Adenomen und dem Warthin-Tumor den dritthäufigsten gutartigen Speicheldrüsentumor [Stutz, 2001]. Wie auch hier finden sich über 80 Prozent dieser Läsionen im Bereich der kleinen Speicheldrüsen der Oberlippe. Fereiro berichtet auch über Läsionen mit bukkaler Schleimhaut und Gaumen [Fereiro, 2005]. Diese Raumforderungen treten im höheren Lebensalter auf und das weibliche Geschlecht ist etwas bevorzugt.
Die Tumore sind glatt begrenzt und gut verschieblich und in ihrer Konsistenz weniger fest als das pleomorphe Adenom [Stutz, 2001]. Außerdem sind kanalikuläre Adenome meistens kleiner (0,5 bis 2 cm im Durchmesser) als pleomorphe Adenome. Der beschriebene Tumor war etwa 1,5 cm im Durchmesser.
Bei der Differenzialdiagnose müssen insbesondere das adenoid-zystische Karzinom und das Basalzelladenom ausgeschlossen werden [Knauer, 2016]. In der Literatur wurde über Hybridtumore, die aus Kanalikulärem Adenom und Basalzelladenom bestehen, berichtet [Seifert & Donath, 1996]. Bei dem vorhandenen Fall wurde aufgrund der Art und der Lokalisation der Schwellung die Verdachtsdiagnose einer Mukozele gestellt. Wie bei kanalikulären Adenomen ist als Therapie der Mukozelen der Lippen die Exzision angezeigt.
Für die Therapie der Läsionen, bei der Lokalisation im Bereich der Oberlippe, ist die chirurgische Entfernung indiziert. Die Prognose ist ausgezeichnet und Rezidive sind sehr selten, auch wenn die Tumore mit nur einer lokalen Exzision behandelt worden sind [Fereiro, 2005; Stutz, 2001]. In dem vorhandenen Fall begrenzte eine schmale Bindegewebskapsel die kleinen Tumorläppchen, so dass sich die Läsion leicht von den umliegenden Weichgewebestrukturen entfernen ließ.
In Anbetracht von Alter, Geschlecht, Lokalisation und klinischem Befund ist dies ein klassischer Fall eines kanalikulären Adenoms. Die Entwicklung einer Asymmetrie des Gesichts durch die Entstehung dieses Tumors wurde hiermit erstmalig präsentiert.
Fazit
Das Kanalikuläre Adenom ist ein seltener gutartiger epithelialer Tumor der Speicheldrüsen, der am häufigsten die obere Lippe (80 Prozent) und die bukkale Schleimhaut (9,5 Prozent) von älteren Menschen betrifft [Yüce et al., 2012]. Laut der histologischen Klassifikation von Tumoren der Speicheldrüsen wurde KA von der Weltgesundheitsorganisation (WHO) als schmerzloses, langsam wachsendes, bewegbares, sich vergrößerndes Knötchen determiniert [Fereiro, 2005].
PD Dr. Aydin Gülses, Gastwissenschaftler. an der Klinik für MKG- Chirurgie, Christian-Albrechts-Universität zu Kiel, Arnold-Heller-Str. 3, 24105 Kiel
Dr. med.dent. Mustafa Ayna, Zentrum für Implantologie, DuisburgZA Alpaslan Gündüz, Klinik für Mundchirurgie, Krankenhaus Gülhane, Ankara-Türkei
Univ.-Prof. Dr. Dr.Ralf Gutwald, Danube Private University, Fakultät Zahnmedizin, Donau-Universität, Krems, Österreich
Prof. rer. nat. Yahya Açil, Forschungslabor, MKG-Chirurgie, Christian-Albrechts-Universität, KielKontakt: aydingulses@gmail.com
Literatur:
Yüce S, Uysal IÖ, Doğan M, Ersin T, Müderris S. Canalicular adenoma of the palate. J Craniofac Surg. 2012;23(5):e396-8.
Ferreiro JA. Canalicular adenoma. In: Barnes L, Eveson JW, Relchart P, Sidransky D, eds.World Health Organization Classification of Tumours. Pathology and Genetics of Head and Neck Tumors. Lyon,France: IARC Press, 2005:267ü
Stutz J. Erkrankungen der Mudhöhle und der Speicheldrüsen. İn: Praxis Strutz J, Mann W eds. der HNO-Heilkunde, Kopf- und Halschirurgie, Stuttgart, Deutschland: Thieme Publishing, 2001: 475
Knauer O. Darstellung einer Neubildung am Hartgaumen durch intraorale Sonografie. Oralchirurgie Journal 2016;1:14-5
Seifert G, Donath K. Hybrid tumours of salivary glands. Definition and classification of five rare cases. Eur J Cancer B Oral Oncol.1996;32B(4):251-9.








