KZV Rheinland-Pfalz fordert schnelle Umsetzung
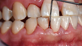
Bislang fehlt im Leistungskatalog der Gesetzlichen Krankenversicherung eine strukturierte Nachbehandlung. „Die Krankenkassen bezahlen derzeit nur die eigentliche Behandlung, für die Nachsorge müssen die Patienten selbst aufkommen“, erklärt Matovinovic. Dabei seien regelmäßige und dauerhafte Kontrolluntersuchungen entscheidend, um die Therapieergebnisse langfristig zu sichern und die Zähne zu erhalten.
Die Zahnärzteschaft hat daher ein neues Versorgungskonzept erarbeitet. Ziel ist, die vertragszahnärztliche Parodontitistherapie an die aktuellen wissenschaftlichen Erkenntnisse anzupassen. Neben einer strukturierten Nachsorge zählen eine intensive Aufklärung der Patienten durch den Zahnarzt und wiederkehrende Bewertungen einzelner Behandlungsschritte (Reevaluation) zu einer fachgerechten und wirksamen Parodontitistherapie.
"Derzeit erhalten gesetzlich versicherte Patienten eine Versorgung auf dem wissenschaftlichen Kenntnisstand der 1970er Jahre", heißt es in einer Mitteilung der KZV Rheinland-Pfalz. Das Konzept der Zahnärzteschaft setze "Leitplanken für eine Neuausrichtung der vertragszahnärztlichen Versorgung von Parodontalerkrankungen".



