Mit dem Fall wurde ich "Beste Nachwuchszahnärztin"
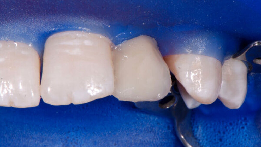
"Ein 14-jähriges Mädchen stellte sich mit einem dens invaginatus (22) in der Universität Witten/Herdecke vor. Es handelt sich um eine typische überschießende Invaginationsstörung in das Endodont hinein. Dabei entsteht im Pulparaum eine Einstülpung von Schmelzepithel, die zu der Bezeichnung ,,dens in dente“ führte.
Dieser Zahn benötigte eigentlich wegen einer apikalen Aufhellung eine Wurzelkanalbehandlung. Aufgrund seiner Morphologie hatte eine Wurzelkanalbehandlung jedoch keinen Erfolg und die apikale Aufhellung persistierte. Der Zahn 22 musste extrahiert werden und dank der kieferorthopädischen Behandlung konnte die Lücke offen gehalten werden.
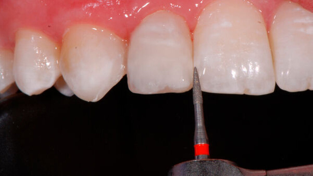
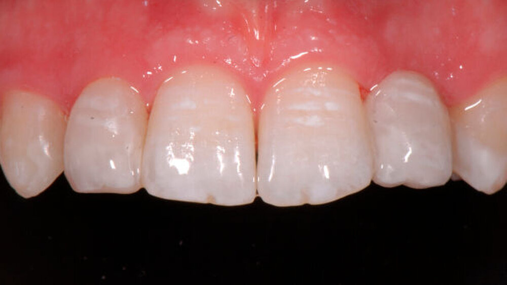
Chief complaint war, eine möglichst günstige und ästhetisch ansprechende Lösung für die junge Patientin zu finden, denn ein Implantat und eine konventionelle Brücke kamen aufgrund des Alters noch lange nicht infrage. Außerdem musste man bei der zu findenden Lösung beachten, dass die Patientin Hypomineralisationen auf ihren Zähnen hat und diese ästhetisch schwierig zu therapieren sind. Wir haben uns letztendlich für eine direkte Restauration mittels Composite entschieden."
Valentina PankratzWiesenstr. 23a, 58452 Wittenvalentina.pankratz@uni-wh.de
Für ihre Arbeit hat Zahnmedizinstudentin Valentina Pankratz den Wettbewerb "Beste Nachwuchszahnärztin" im deutschsprachigen Raum gewonnen. Am 6. Juni hat der Hersteller Dentsply alle nationalen Sieger weltweit zur internationalen Schlussrunde nach Konstanz eingeladen.












