Perfekt in allen Knochenqualitäten
Seit rund einem halben Jahr testen Sie die neue PROGRESSIVE-LINE. Was sind die Hauptindikationen?Hermann:Im Juni 2018 haben wir in unserer Praxis in Zusammenarbeit mit der Abteilung R&D (Forschung & Entwicklung) von CAMLOG mit der klinischen Dokumentationsphase des CAMLOG PROGRESSIVE-LINE Implantats begonnen. Bis dato haben wir zirka 80 Implantate bei einer ausgewogenen Verteilung in Bezug auf verschiedene klinische Indikationen dokumentiert. Die Dokumentation des neuen Implantatsystems erfolgte im Hinblick auf die erzielte Primärstabilität in Abhängigkeit von der Knochenqualität (dies wurde mit der Chirurgieeinheit iCHIRO-PRO durchgeführt) und die Verlaufskontrolle der knöchernen Stabilität des Implantats mit dem Osstell-ISQ. Zudem wurde anhand eines Beobachtungs- und Dokumentationsbogens relevante Parameter während der Einheilungsphase erfasst. Momentan befindet sich die Hälfte der Implantate schon in der postprothetischen Dokumentationsphase. Unsere Erfahrungen in Bezug auf eine sicher zu erzielende Primärstabilität und eine zuverlässige Osseointegration sind durchweg positiv.
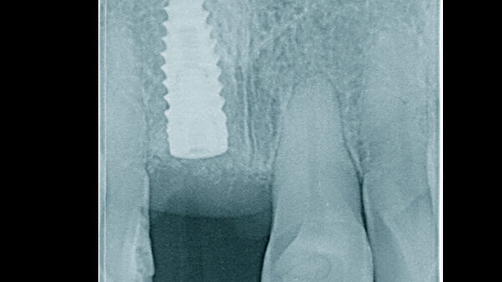
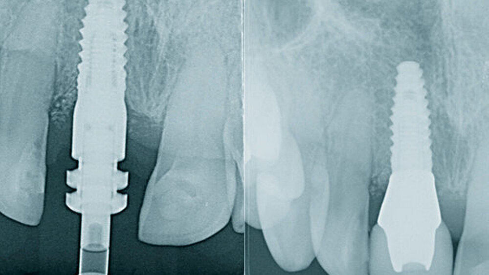
In welchen klinischen Anwendungen bietet das Implantat Vorteile?Hermann:Das neue CAMLOG PROGRESSIVE-LINE Implantat besticht durch sein innovatives parallel-konisches Makrodesign mit einem speziellen Gewinde, bei gleichzeitig bewährter Prothetikschnittstelle der Camlog-Linie. Dies bedeutet, dass in der chirurgischen Phase mit diesem Implantat eine zuverlässige Primärstabilität erzielt werden kann, speziell bei schwierigen anatomischen Voraussetzungen, wie z. B. bei der Sofortimplantation, bei reduzierter Kieferkammbreite oder konkav verlaufenden Alveoloarkämmen sowie bei weichem Knochen im Oberkiefer. Aufgrund des krestalen Verankerungsgewindes sehen wir zudem einen Vorteil bei der Platzierung des Implantats im Zusammenhang mit einer simultanen, offenen Sinusbodenelevation bei stark reduzierter Restknochenhöhe (2–3 mm). Auch einzeitige Verfahren lassen sich einfacher durchführen. Denn auch im kompromittierten Knochen erreicht das Implantat eine hohe vorhersagbare Primärstabilität.
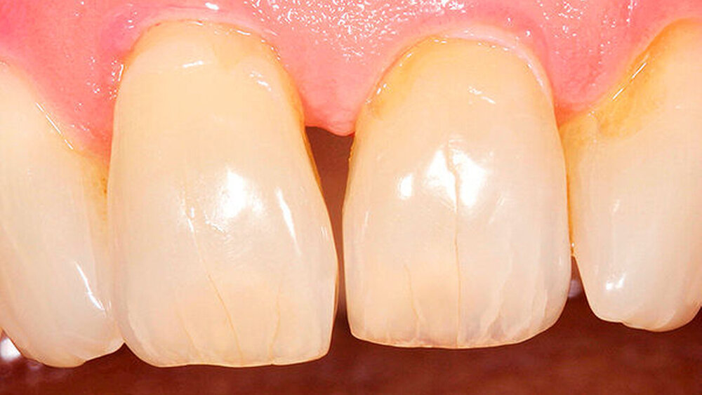
Sind dann auch eher Sofortversorgungsprotkolle umzusetzen?Hermann:Die erzielte Primärstabilität ist in den meisten Fällen so hoch, dass eine sofortige provisorische Versorgung/Belastung möglich ist. Somit können wir unseren Patienten effiziente Behandlungsabläufe anbieten. Die Effizienz zeigt sich beispielsweise auch bei der Reduktion der Bohrschritte durch ein flexibles Bohrprotokoll. Gerade im weichen Knochen benötigen wir meist nur drei Bohrschritte bis zur Insertion des Implantats und erzielten eine exzellente Primärstabilität durch eine geringere Aufbereitung des Implantatbetts. Auf den zusätzlichen Einsatz nicht-ablativer Techniken (Osteotome) kann häufig verzichtet werden. Ein Teil der 80 von uns gesetzten PROGRES ‧ SIVE- ‧ LINE Implantate befindet sich bereits in der prothetischen Nachkontrolle. Das klinische und prothetische Outcome ist hervorragend. Es gibt weder chirurgische Komplikationen noch Probleme bei der Einheilung, und die prothetische Versorgung funktioniert perfekt.
Wie genau managen Sie die prothetische Versorgung?Hermann:Der Anwender kann auf die gewohnte CAMLOG oder CONELOG Prothetik zurückgreifen. Die Entscheidung für die konische oder flache (Butt-Joint) Schnittstelle bietet dem Anwender die Möglichkeit, mit ein und demselben Implantatkörper das Implantat entweder epikrestal oder leicht suprakrestal zu positionieren. Diese Wahlfreiheit kann bei Versorgungen etwa in ästhetisch anspruchsvollen Regionen eine Rolle spielen. Aufgrund der konischen Innenverbindung und des integrierten Platform Switch eignet sich das CONELOG PROGRESSIVE-LINE für eine subkrestale Positionierung.
Ihr Fazit? Hermann:Zusammenfassend kann ich sagen, dass wir mit der CAMLOG PROGRESSIVE-LINE eine Erweiterung der klinischen Indikationen in Bezug auf eine simultane Vorgehensweise (Implantation und Augmentation kombiniert) beobachtet haben, und zwar aufgrund der bereits erwähnten Primärstabilität bei schwierigen anatomischen Situationen. So können wir in vielen Fällen auch eine Sofortversorgung/Sofortbelastung des Implantats in Erwägung ziehen. Die situative Adaptation des Bohrprotokolls verschafft uns eine effiziente Insertion, die vorhandene, bewährte Prothetikschnittstelle der Implantate von CAMLOG das vertraute Handling, und dies alles bei einem Implantat, das wir bei allen klinischen Situationen zum Einsatz bringen konnten.
Dr. Frederic Hermann, M.Sc. aus dem schweizerischen Zug, hat als einer der ersten vier Anwender bereits rund 80 CAMLOG PROGRESSIVE-LINE Implantate gesetzt. Sein Fazit: weniger Augmentationen, keine chirurgischen oder prothetischen Komplikationen.





















