Restauration fortgeschrittener Zahnhartsubstanzverluste mit Komposit
In der täglichen Praxis werden vermehrt Zahnhartsubstanzschäden beobachtet, die nicht auf Karies beruhen, sondern die durch verschiedene chemische (Erosion) und/oder mechanische Einflüsse (Abrasion, Attrition) verursacht werden. Dentale Erosionen entstehen ohne Beteiligung von Mikroorganismen durch den Kontakt exogener oder endogener Säuren mit der Zahnsubstanz. Die durch Fremdstoffe hervorgerufene mechanische Abnutzung von Zähnen wird Abrasion genannt, während der mechanische Abrieb durch direkten Kontakt antagonistischer Zahnflächen als Attrition bezeichnet wird. Durch das Einwirken solcher mechanischen Reize auf erosiv demineralisierte Schmelz- und Dentinoberflächen wird der Zahnhartsubstanzverlust weiter verstärkt, so dass es zu einem schnelleren Voranschreiten der Läsionen kommt. Da sich die Krankheitsbilder klinisch häufig überlagern, ist eine sorgfältige anamnestische Abklärung wichtig, um ätiologische Faktoren identifizieren und eine Kausaltherapie einleiten zu können.
Therapeutische Eckpfeiler müssen präventive Maßnahmen sein, um ein weiteres Voranschreiten der Zahndestruktion zu verhindernund die Prognose von Restaurationen zu verbessern [Johansson et al., 2008]. Eine restaurative Therapie ist insbesondere dann indiziert, wenn weite Dentinbereiche freigelegt sind und daraus eine Schmerzhaftigkeit der Zähne resultiert. Ebenso ist diese angesagt, wenn die strukturelle Integrität des Zahnes bedroht ist beziehungsweise wenn die Gefahr einer Pulpaexposition besteht. Auch zu empfehlen ist eine restaurative Therapie, wenn das ästhetische Erscheinungsbild des Patienten stark beeinträchtigt ist [Lambrechts et al., 1996].
Klassische Therapiemöglichkeiten
Je nach Ausmaß der Zahnhartsubstanzdefekte stehen dem Zahnarzt verschiedene Restaurationsoptionen zur Auswahl. Diese reichen von der Abdeckung freiliegender Dentinoberflächen mit einem Versiegelungsmaterial über direkte adhäsive Kompositrestaurationen bis hin zu komplexen indirekten Rekonstruktionen [Bartlett et al., 2011; Hamburger et al., 2011; Schwarz et al., 2011]. Sollte aufgrund fortgeschrittener Substanzverluste eine Bisshebung erforderlich sein, kann diese gemäß einer Übersichtsarbeit von Abduo und Lyons [2012] bei Patienten ohne bestehende kraniomandibuläre Dysfunktionen in der Regel ohne vorausgehende Schienentherapie durchgeführt werden. Bei Patienten mit kraniomandibulären Dysfunktionen oder bei Erhöhung der okklusalen vertikalen Dimension über die Ruhelage beziehungsweise über fünf Millimeter sollte jedoch zur langsamen Adaptation des Kausystems eine Schienentherapie stattfinden.
Die Rekonstruktion der vertikalen okklusalen Dimension erfolgt für gewöhnlich mittels indirekter Restaurationen. Neben Kronenversorgungen, die mit einer massiven Opferung der noch verbliebenen gesunden Zahnhartsubstanz einhergehen [Edelhoff and Sorensen, 2002], wurde auch der Einsatz weniger invasiver Restaurationsarten wie okklusaler vollkeramischer Overlays im Seitenzahnbereich und Veneers in der Front beschrieben [Hastings, 1996]. Allerdings ist zu berücksichtigen, dass es sich auch bei diesen Restaurationen um Werkstücke handelt, die eine Präparation der Zähne erfordern und darüber hinaus hohe Behandlungskosten verursachen.
Direkte adhäsive Restauration mit Komposit
Kompositmaterialien ermöglichen eine rein defektorientierte restaurative Therapie, ohne dass die verbliebene gesunde Zahnhartsubstanz durch Präparationsmaßnahmen geopfert werden muss. Die stetige werkstoffkundliche Verbesserung dentaler Komposite, gepaart mit kontinuierlichen Fortschritten in der Adhäsivtechnologie, führt zu einer zunehmenden Erweiterung des Indikationsspektrums direkter Kompositrestaurationen.
Insbesondere mit der Einführung der Nanohybridkomposite und von rein nanogefüllten Kompositen, die neben guten mechanischen Eigenschaften eine relativ geringe Abrasion aufweisen [Ferracane, 2011; Palaniappan et al., 2012], werden diese Materialien immer häufiger in Bereichen eingesetzt, die früher ausschließlich indirekten Restaurationsformen vorbehalten waren. Dennoch ist der Einsatz von Komposit zur direkten Bisshöhenrekonstruktion im fortgeschrittenen Abrasions-Erosions-Gebiss bisher kaum verbreitet [Tauböck et al., 2011; Hamburger et al., 2011].
Eine Fall-Kontroll-Studie mit einer Beobachtungszeit von durchschnittlich fünfeinhalb Jahren zeigte gute klinische Ergebnisse von direkten okklusalen Kompositaufbauten, die zur Bisshöhenrekonstruktion eingesetzt wurden [Attin et al., 2012]. Neben den positiven klinischen Resultaten gaben die Patienten eine sehr hohe Zufriedenheit bezüglich der Funktion der Versorgungen an [Schmidlin et al., 2009]. Die direkte Bisshöhenrekonstruktion mit Komposit erfolgte dabei unter Zuhilfenahme von Übertragungsschienen, die auf der Basis von individuellen Wax-up-Modellen hergestellt wurden. Eine Befragung von niedergelassenen Zahnärzten, die diese Technik in ihrer Praxis angewendet haben, ergab, dass die Umsetzung auch unter Praxisbedingungen gut und effizient gelingt [Tauböck et al., 2012]. Nachfolgend wird die Technik der direkten Schienen- unterstützten Bisshöhenrekonstruktion mit Komposit anhand eines Patientenfalles detailliert vorgestellt.
Fallbeispiel
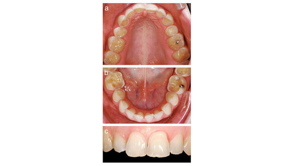
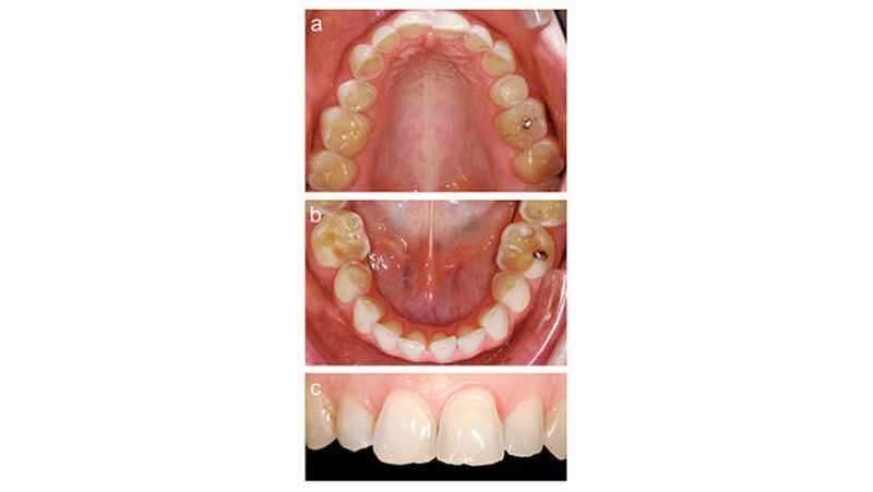
Eine 31 Jahre alte Patientin war von einem zahnärztlichen Kollegen zur weiteren Therapie überwiesen worden. Wie in Abbildung 1 zu erkennen, wies sie an allen Zähnen erosive Defekte auf, die sich bevorzugt auf den Okklusal- und Palatinalflächen im Seitenzahngebiet manifestiert hatten. Im Frontzahngebiet lagen sowohl palatinal als auch inzisal-bukkal erosiv veränderte Zahnoberflächen vor. Die Patientin gab an, unter gastroösophagealem Reflux zu leiden, der medikamentös mit H2-Blockern von ihrem Hausarzt behandelt und kontrolliert wurde. Sie litt unter Hypersensibilitäten der Seitenzähne. Zudem störte sie das Erscheinungsbild ihrer Oberkieferfrontzähne.
Die Patientin wurde über die verschiedenen Therapiemöglichkeiten ausführlich aufgeklärt und entschied sich für direkte Rekonstruktionen mit Komposit, da sie möglichst keine weitere Opferung an Zahnhartsubstanz durch präparatorische Maßnahmen in Kauf nehmen wollte. Nach der Versorgung der vorhandenen approximalen Läsionen erfolgte im Dezember 2012 die Versorgung mit Kompositrestaurationen:
In einer ersten Phase wurden insuffiziente Restaurationen ersetzt sowie palatinal gelegene Erosionsschäden im Oberkieferseitenzahnbereich versorgt. Hierzu wurde das nanogefüllte Kompositmaterial Filtek Supreme XTE (3M Espe) in Kombination mit dem 3-Schritt-Etch-and-rinse-Adhäsivsystem Optibond FL (Kerr) verwendet. Die vorgängige Versorgung der palatinalen Erosionsschäden erfolgte, um die spätere Applikation von Kofferdam zu ermöglichen und die Herstellung der direkten okklusalen Kompositaufbauten zu erleichtern.
Nach diesen Vorarbeiten wurden Alginatabformungen von Ober- und Unterkiefer genommen und eine Bissregistrierung durchgeführt. Im zahntechnischen Labor wurde die ideale Okklusion im Artikulator bei einer Sperrung der Frontzähne um etwa einen Millimeter aufgewachst. Bei der Anfertigung der Wax-up-Modelle wurden jeweils die Frontzähne und Bereiche der endständigen Molaren nicht aufgebaut. Auf den Modellen wurden für Ober- und Unterkiefer je zwei stabile, lichtdurchlässige Übertragungsschienen hergestellt, die später im Mund der Patientin eine ausreichende Abstützung in der Front und in den nicht aufgewachsten distalen Bereichen gewährleisteten (Abbildung 2).
Nach Kofferdamapplikation wurde die Bisshebung im Seitenzahnbereich mit direkten okklusalen Kompositaufbauten (Tabletops) mit dem Kompositmaterial Filtek Supreme XTE (3M Espe) und dem Adhäsivsystem Optibond FL (Kerr) durchgeführt. Der Aufbau erfolgte dabei Zahn für Zahn unter Zuhilfenahme der Übertragungsschienen. Um ein interdentales Verblocken zu verhindern, wurden jeweils die Nachbarzähne der zu restaurierenden Zähne mit Teflonband isoliert (Abbildung 3).
Die Kompositoberflächen der Zähne wurden entsprechend des Vorgehens bei einer Korrekturfüllung mit einem Sandstrahler (SiO2-Pulver) angeraut und silanisiert. Die erodierten beziehungsweise sklerotisch veränderten Dentinoberflächen wurden vor der Applikation des Adhäsivsystems mit einem Feinkorndiamanten zur Verbesserung der Haftkräfte angefrischt [Camargo et al., 2008; Zimmerli et al., 2012]. Das Komposit wurde in einer der fehlenden Zahnsubstanz entsprechenden Menge in die Schiene eingebracht und unter einem Lichtschutz für etwa fünf Minuten auf einer Wärmeplatte (Calset; AdDent) erwärmt. Durch das Erwärmen wird die Viskosität des Komposits reduziert und damit die Positionierung der Schiene erleichtert, ohne dass die Materialeigenschaften des Komposits beeinträchtigt werden [Tauböck et al., 2015].
Die Lichtpolymerisation erfolgte durch die Schiene hindurch für zunächst nur etwa drei bis fünf Sekunden. Nach Abnahme der Schiene wurden Überschüsse des noch nicht vollständig polymerisierten Kompositmaterials mit einem Skalpell entfernt. Anschließend wurde eine gründliche (zweite) Polymerisation für 60 Sekunden durchgeführt. Neue Untersuchungen konnten zeigen, dass durch diese zweizeitige – sogenannte Pulse-Delay-Polymerisation – die Qualität des Komposits nicht reduziert wird [Tauböck et al., 2014].
Die schwer zugänglichen Approximalflächen und -übergänge wurden mit oszillierenden, einseitig diamantierten Feilen ausgearbeitet und geglättet. Mit dieser Technik wurden die Seitenzähne im Ober- und im Unterkiefer schrittweise aufgebaut und abschließend poliert (Abbildung 4).
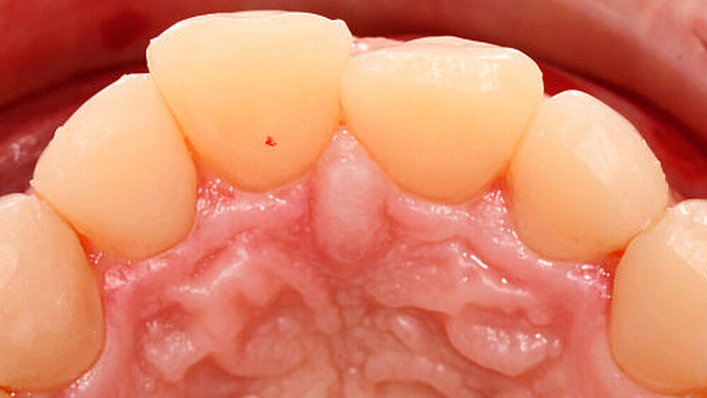
Nach der Bisshebung im Seitenzahnbereich wurden die erosiven Frontzahndefekte im Oberkiefer ebenfalls mit Komposit (Filtek Supreme XTE; 3M Espe) adhäsiv (Optibond FL; Kerr) versorgt. Zunächst wurden die palatinalen Zahnhartsubstanzverluste freihändig mit Komposit aufgebaut (Abbildung 5), daraufhin erfolgte eine Alginatabformung.
Im zahntechnischen Labor wurden die inzisalen Anteile der Zähne aufgewachst, sodass anschließend ein Silikonschlüssel angefertigt werden konnte (Abbildung 6).
Nach Kofferdamapplikation konnte nun mithilfe des Silikonschlüssels der inzisal- palatinale Anteil der Zähne mit Komposit-Schmelzmasse kontrolliert aufgebaut werden (Abbildung 7). Anschließend wurden mithilfe von Transparent-Matrizen die approximalen Randleisten ebenfalls mit Schmelzmasse modelliert (Abbildung 8). In die so gestaltete Umrissform der Zähne wurden nach Entfernung der Matrizen Komposit-Dentinmassen zum Aufbau des Dentin-kerns appliziert (Abbildung 9). Die Dentinmassen wurden schließlich von bukkal mit einer dünnen Schicht Schmelzmasse überschichtet.
Das so erzielte Behandlungsergebnis (Abbildung 10) stellte die Patientin sowohl bezüglich der Funktion als auch der Ästhetik voll zufrieden. Abschließend erhielt die Patientin eine weiche Tiefziehschiene zum Schutz der Restaurationen und wurde instruiert, diese insbesondere nachts zu tragen. Die klinische Situation präsentierte sich auch zum Zeitpunkt der Recalluntersuchung drei Jahre nach Abschluss der restaurativen Therapie nahezu unverändert (Abbildung 11).
Fazit
Der vorgestellte Fallbericht zeigt, dass stark geschädigte Abrasions-Erosions-Gebisse mit direkten adhäsiven Kompositrestaurationen erfolgreich versorgt werden können. Neben der maximalen Schonung der verbliebenen gesunden Zahnhartsubstanz und der guten Reparierbarkeit sprechen auch die für den Patienten verhältnismäßig geringen Behandlungskosten für die Erwägung dieser Therapiemöglichkeit.
Dr. Tobias T. Tauböck, Prof. Dr. Thomas Attin
Klinik für Präventivzahnmedizin, Parodontologie und Kariologie
,Zentrum für Zahnmedizin der Universität Zürich
Plattenstr. 11, 8032 Zürich
Dr. Tobias T. Tauböck
2002 bis 2007 Studium der Zahnmedizin an der Julius- Maximilians-Universität Würzburg
2008 Promotion
2008 bis 2013 Postgraduate-Assistent und Assistenz-Zahnarzt in der Klinik für Präventivzahnmedizin, Parodontologie und Kariologie am Zentrum für Zahnmedizin der Universität Zürich
seit 2013 Oberarzt in der Klinik für Präventivzahnmedizin, Parodontologie und Kariologie am Zentrum für Zahnmedizin der Universität Zürich














