S3-Leitlinie zu Crystal Meth
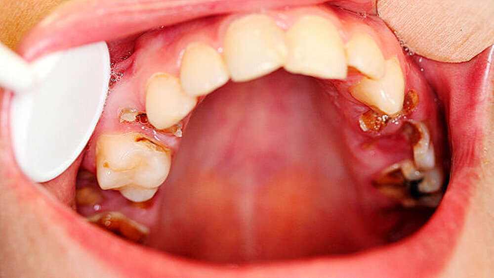
Ärzte, Zahnärzte, Psychotherapeuten, Sozialarbeiter und Pflegepersonal erhalten mit der S3-Leitlinie "Methamphetamin-bezogener Störungen" für die Behandlung von Crystal-Süchtigen eine neue Hilfestellung: Die weltweit erste und methodisch anspruchsvolle S3-Leitlinie enthält Empfehlungen für Akut- und Postakutbehandlungen sowie für die Behandlung von Begleiterkrankungen, wie zum Beispiel das"Meth Mouth"-Syndrom.
Die Leitlinie wurde am 2. Dezember von der Drogenbeauftragten der Bundesregierung Marlene Mortler (CSU) und Vertretern der Bundesärztekammer sowie der Deutschen Gesellschaft für Psychiatrie und Psychotherapie, Psychosomatik und Nervenheilkunde (DGPPN) vorgestellt.
Ziel der Leitlinie ist, auf Basis substanzspezifischer Studien eine bessere Versorgung von Betroffenen zu ermöglichen und therapeutisch tätigem Personal in der klinischen Praxis mehr Handlungssicherheit zu geben. Im Fokus der Leitlinie stehen evidenzbasierte Aussagen zur Wirksamkeit von medikamentösen und psychotherapeutischen Interventionen, zum Verzicht auf wirkungslose oder riskante Therapien und zu einer besseren Vernetzung der Akteure in der suchtmedizinischen Versorgung.
Artikel nicht gefunden id_extern: typo3-import-article-750
<interactive-element xmlns:ns3="http://www.w3.org/1999/xlink" ns3:href="censhare:///service/assets/asset/id/" ns3:role="censhare:///service/masterdata/asset_rel_typedef;key=actual."/>
Besonderheiten beachten
Bei der Behandlung von Konsumenten gibt es Besonderheiten, die beachtet werden müssen, sagte Dr. Josef Mischo, Vorsitzender der Arbeitsgruppe Sucht und Drogen der Bundesärztekammer. Beispielsweise hätten Studien gezeigt, dass bei der Behandlung von Co-Morbiditäten manche Medikamente, die eigentlich erste Wahl sind, ungünstige oder gar keine Wirkungen haben. Das gilt nach der Leitlinie etwa für Antidepressiva zur Behandlung von co-morbider Depression.
Die Leitlinie wurde von einem interdisziplinären Expertengremium erstellt und vom Ärztlichen Zentrum für Qualität in der Medizin (ÄZQ) im Auftrag der Bundesärztekammer koordiniert und wissenschaftlich begleitet. Das Projekt wurde von der Bundesdrogenbeauftragten und dem Bundesgesundheitsministerium gefördert. Eine Kurz-und Langfassung der Leitlinie finden Sie unterwww.aezq.de/aezq/crystal-meth.
Artikel nicht gefunden id_extern: typo3-import-article-950
<interactive-element xmlns:ns3="http://www.w3.org/1999/xlink" ns3:href="censhare:///service/assets/asset/id/" ns3:role="censhare:///service/masterdata/asset_rel_typedef;key=actual."/>






