Schön ist der Durchschnitt
Für Zahnproportionen spielt der goldene Schnitt offenbar keine Rolle. Oberkieferfrontzahnbögen, die nach dem antiken Proportionsgesetz gestaltet werden, wirken sogar weniger attraktiv (1). Dagegen wird zum Beispiel ein Verhältnis zwischen Länge und Breite mittlerer Frontzähne von etwa 0,8 als schön eingeschätzt (2). Eine weitere akzeptierte Regel besagt, dass Schneidekanten bei seitlichen Inzisiven zirka 1,5 mm weiter kranial verlaufen sollten als bei mittleren (1, 3).
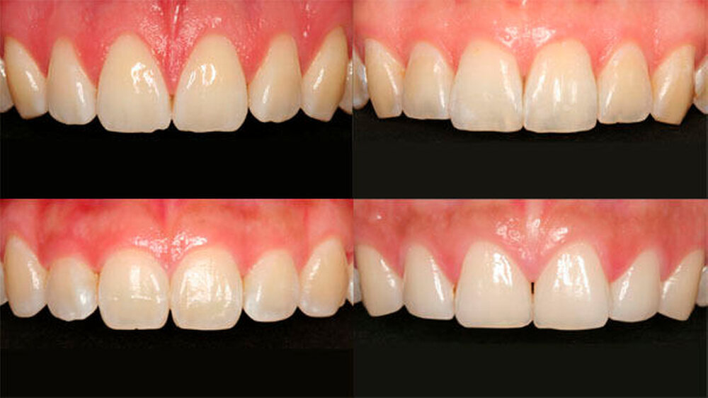
Zu der Studie: Prothetiker der Aachener und Kieler Universitätszahnkliniken ließen je 160 Zahnärzte und zahnmedizinische Laien zunächst ihre eigenen Zahnbögen nach den Kriterien „zufrieden“, „durchschnittlich“ und „unzufrieden“ einstufen (4). Dann wurden Fotos der Zahnbögen aus allen drei Gruppen mithilfe einer Morphing-Software so lange einander angeglichen, bis je ein weibliches und männliches Durchschnittsbild entstand.
Hintergrund für dieses Vorgehen ist das Wissen, dass aus attraktiven Antlitzen künstlich erzeugte Durchschnittsgesichter als besonders attraktiv angesehen werden. Das Ergebnis: Auch gemorphte aus subjektiv attraktiv eingeschätzten Einzelbögen abgeleitete Frontzähne wurden von den Teilnehmern der Studie bei der Betrachtung der Fotos überwiegend als attraktiv eingestuft.
###more### ###title### Schönheit ist weiblich ###title### ###more###
Schönheit ist weiblich
Noch interessanter ist die Beobachtung, dass die attraktiven Durchschnittsfrontzahnbogen der Frauen und Männer von jeweils mehr als 60 Prozent der Probanden als weiblich eingestuft wurden – und zwar sowohl von weiblichen als von männlichen Studienteilnehmern. Die weniger attraktiven Bögen wurden dagegen Männern zugeordnet.
Simulation am besten mit Wax-up oder Mock-up
Die Probanden bezogen also vorgefasste Meinungen von geschlechtsspezifischer Schönheit auf die anonymisierten Bilder. Die Autoren der Studie geben zu bedenken, dass die subjektive Einschätzung der Probanden (zufrieden, unzufrieden, durchschnittlich) durch psychologische Faktoren beeinflusst worden sein könnte. Zudem könnte eine Rolle gespielt haben, dass auch die umgebende Gingiva mit beurteilt wurde.
Fazit: Wie auch andere Studien gezeigt haben, unterscheiden sich Zahnärzte und Laien nicht wesentlich in ihrer Einschätzung. Entsprechend können die Erkenntnisse mit guter Erfolgsaussicht auf die tägliche restaurative oder orthodontische Behandlung übertragen werden. Zu bedenken sind zusätzlich funktionelle Aspekte, das Gesicht als „Rahmen“ für die Zahnbögen und nicht zuletzt individuelle und kulturbedingte Vorstellungen von Schönheit. Daher ist es sinnvoll, größere Veränderungen routinemäßig mit Wachs (Wax-up) oder Komposit (Mock-up) zu simulieren.
Quellen:
1. Raj V. Esthetic paradigms in the interdisciplinary management of maxillary anterior dentition-a review. Journal of esthetic and restorative dentistry : official publication of the American Academy of Esthetic Dentistry[et al] 2013;25:295-304.
2.
Wolfart S, Thormann H, Freitag S, Kern M (2005). Assessment of dental appearance following changes in incisor proportions. Eur J Oral Sci 113(2):159-165.
3. Machado AW, McComb RW, Moon W, Gandini LG, Jr. Influence of the vertical position of maxillary central incisors on the perception of smile esthetics among orthodontists and laypersons. Journal of esthetic and restorative dentistry : official publication of the American Academy of Esthetic Dentistry [et al] 2013;25:392-401.
4. Wolfart S, Lawrenz B, Schley JS, Kern M, Springer I. Composite images of upper front teeth--judgment of attractiveness and gender-specific correlation. Journal of esthetic and restorative dentistry : official publication of the American Academy of Esthetic Dentistry [et al] 2014;26:394-402.










