Strategien zur Vorbeugung einer Wurzelkaries
"Die Studie liefert Untersuchungsergebnisse, die speziell für die alternde Klientel von großem Nutzen werden können", begründete die Jury ihre Entscheidung und verlieh der Arbeitsgruppe aus der Zahnklinik der Charité in Berlin den zweiten Platz im Bereich Wissenschaft des Wrigley-Prophylaxe-Preises, der anlässlich der Jahrestagung der Deutschen Gesellschaft für Zahnerhaltung verliehen wurde.
Die Autoren stellen ihre Ergebnisse hier vor:
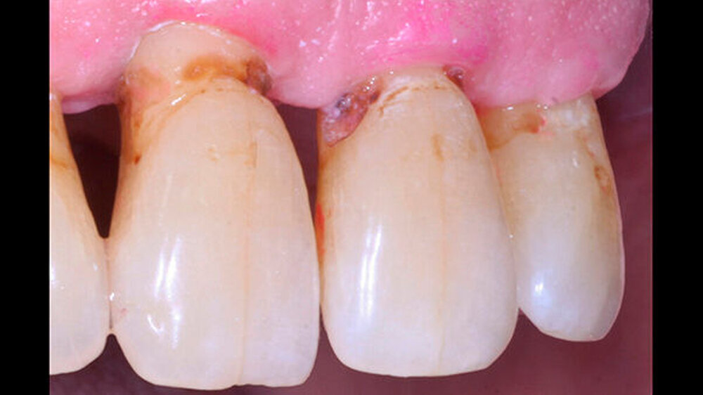
Durch Fortschritte in der zahnärztlichen Prävention und Therapie können Senioren heute ihre eigenen Zähne bis in ein hohes Alter behalten. Aufgrund altersbedingter Veränderungen, wie zum Beispiel der Rückbildung des Zahnhalteapparates, besteht für die erhaltenen Zähne jedoch ein hohes Risiko für die Entwicklung von Wurzelkaries (Abbildung 1).
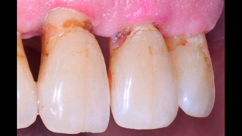
In der aktuellen Deutschen Mundgesundheitsstudie (DMS V) konnte gezeigt werden, dass insbesondere Zähne von pflegebedürftigen Senioren häufig Wurzelkaries aufweisen. Da Wurzelkariesläsionen in unzugänglichen Bereichen wie Approximalräumen schwer zu therapieren sind (Abbildung 2) und die Therapieoptionen bei pflegebedürftigen Patienten meist eingeschränkt sind, ist es von großer Bedeutung, der Entstehung von Wurzelkaries bei Senioren vorzubeugen. Daher war es das Ziel unserer Untersuchung, den Effekt von unterschiedlichen kariesprophylaktischen Substanzen in verschiedenen Darreichungsformen (als Lack oder Spülung) auf die Entstehung von Wurzelkaries in einem kariogenen Biofilmmodell zu untersuchen.
Durchführung der Untersuchung
Hierzu wurden 140 Dentinproben aus den Wurzeln von Rinderzähnen gewonnen (Abbildung 3) und randomisiert einer von sieben Gruppen mit je 20 Proben zugeteilt. In vier Gruppen wurden jeweils Lacke appliziert: 38-prozentigen Silberdiaminfluorid; 35-prozentigen Chlorhexidinlack; 22,600 ppm Natriumfluoridlack; Plazebolack (Lack ohne kariesprotektive Substanz);
In zwei Gruppen wurden Spüllösungen appliziert: 500 ppm Natriumfluoridspülung; 0,1-prozentige Chlorhexidinspülung; Eine Gruppe wurde nicht kariespräventiv behandelt und diente als Kontrolle. Die Lacke wurden einmalig vor Versuchsbeginn aufgetragen und die Spüllösungen einmal täglich während des Versuchs appliziert. Die kariogenen Bedingungen wurden in einem kariogenen Biofilmmodell durch Kultivierung von Lactobazillus rhamnosus Bakterien erzeugt. Die Bakterienkulturen wurden dabei mehrmals täglich im Wechsel mit Substrat (Saccharose-haltige Spülung) und mit künstlichem Speichel umspült.
Nach zwölf Tagen wurde, als Maß für den kariesprotektiven Effekt, der Mineralverlust in den Proben unterhalb der behandelten Flächen mittels Transversaler Mikroradiografie ermittelt. Bei den Proben aus den Lackgruppen wurde zusätzlich der Mineralverlust unterhalb der dem Lack angrenzenden Flächen untersucht. Um die antibakteriellen Eigenschaften der getesteten Substanzen zu untersuchen, wurde zudem die Bakterienzahl des die Proben bedeckenden Biofilms bestimmt.
Ergebnisse
Die tägliche Spülung mit Natriumfluorid hatte den stärksten kariesprotektiven Effekt (Abbildung 4). Der Effekt von Silberdiaminfluorid- und Plazebolack war zwar geringer als der von Natriumfluoridspülung, jedoch signifikant besser als der karisesprotektive Effekt von Chlorhexidinlack oder -spülung. Keine der Behandlungen hatte einen signifikanten Effekt auf die Bakterienzahl und keiner der Lacke hatte einen kariesprotektiven Effekt auf die angrenzende, nicht von Lack bedeckte Dentinoberfläche.
Fazit
Aufgrund der Ergebnisse der Studie kann angenommen werden, dass die regelmäßige Applikation remineralisierender Substanzen in Form von Spüllösungen wirksamer ist als die einmalige Applikation in Form von Lacken. Die antibakteriell wirkende Substanz Chlorhexidin hatte unabhängig von der Applikationsform keinen Effekt auf die Kariesprogression im Mundmodell. Da es sich bei der vorliegenden Studie jedoch um eine Laboruntersuchung handelt, sollten zunächst weitere Untersuchungen unter klinischen Bedingungen durchgeführt werden, um klare Empfehlungen für die Praxis ableiten zu können.Dr. Gerd GöstemeyerAnna KohlsProf. Dr. Sebastian ParisPD Dr. Falk SchwendickeCharité Centrum für ZMK-HeilkundeAbteilung für Zahnerhaltungskunde und PräventivzahnmedizinAßmannshauser Str. 4-6, 14197 Berlingerd.goestemeyer@charite.de






