Studie: Geschlecht kann Erfolg von Teleskopkronen beeinflussen
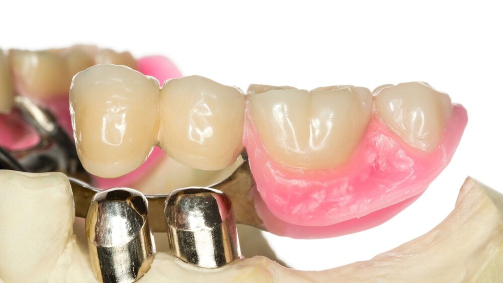
Die Gruppe um Prof. Dr. Richard Wierichs, Oberarzt an der Klinik für Zahnerhaltung, Präventiv- und Kinderzahnmedizin der Zahnmedizinischen Kliniken in Bern, wollte herausfinden, was herausnehmbare Teleskop-getragene Teilprothesen langfristig erfolgreich macht – und was für Probleme sorgt. In die Studie eingeschlossen wurden Daten von 139 Patientinnen und Patienten und insgesamt 174 Teleskop-getragene Teilprothesen sowie 488 Teleskopkronen aus Nichtedelmetalllegierungen mit Friktionspassung, die zwischen 2004 und 2016 eingesetzt wurden. Einige wurden bis zu zwölf Jahre nachverfolgt.
150 (86 Prozent) der Teleskop-getragenen Teilprothesen wurden als erfolgreich eingestuft. Der Misserfolg der Teilprothese wurde von den Autoren definiert als Ausfall der ersten Teleskopkrone. Insgesamt überlebten 89 Prozent der Teleskopkronen (433 von 488), während 76 Prozent bei einer mittleren Nachbeobachtungszeit von 4,2 Jahren als erfolgreich eingestuft wurden (372 von 488). Überleben wurde als Funktionstüchtigkeit definiert, auch wenn im Laufe des Beobachtungszeitraums eine Rezementierung (n = 39) oder endodontische Behandlung (n = 36) notwendig wurden, während eine Erneuerung der Teleskopkrone sowie die Extraktion (n=35) als Misserfolge bewertet wurden [Wierichs et al., 2023].
Ursächlich sind Mundhygiene und Kaukraft
Es zeigte sich, dass Männer ein 1,6-fach höheres Versagensrisiko hatten als Frauen. Auch die Lage und Anzahl der Teleskopkronen spielte eine bedeutende Rolle: An Prämolaren war das Versagensrisiko 2,2-fach höher als an Inzisiven. Bei Prothesen mit drei oder weniger Kronen war das Risiko 2,1-fach höher als bei Prothesen mit mehr als drei Teleskopkronen. Lag die Krone distal im Zahnbogen, versagte sie 2,4-mal häufiger als bei einer mesialen Lage.
Die Forschenden bewerten die Misserfolgsraten als moderat, während „das Geschlecht des Patienten, die DMFT, der Zahntyp, die Zahnposition, die Anzahl der Pfeilerzähne und die Gesamtzahl der verbleibenden eigenen Zähne signifikante Prädiktoren für den Misserfolg“ darstellen. Die Ergebnisse zeigen allerdings auch, dass Teleskop-getragene Teilprothesen auch nach zwölf Jahren noch zufriedenstellende Erfolgsquoten aufweisen können.
Als mögliche Erklärung für den Einfluss des Geschlechts auf den Erfolg diskutieren die Autoren zwei denkbare Faktoren: einerseits die Mundhygiene und andererseits die Kaukraft. Letztere ist beim männlichen Geschlecht höher als beim weiblichen und könnte „der ausschlaggebende Faktor sein, warum herausnehmbaren Teilprothesen auf Teleskopkronen, bei denen der hinterste Zahn des Kiefers ein Pfeilerzahn war, in der vorliegenden Studie auch höhere Raten von Pfeilerzahnverlusten aufwiesen [Youssef et al., 1997]". Es bleibt jedoch anzumerken, dass die Kohorte recht klein war, was bei der Interpretation der Ergebnisse berücksichtigt werden sollte.
Die Jury würdigte insbesondere die hohe praktische Relevanz des Themas für die Zahnarztpraxen. „Die Studie zeigt, wie bei geübter und sorgfältig geplanter Versorgung mit Teleskop-getragenen Teilprothesen ein Langzeiterfolg vorhersagbar wird“, sagte Jurymitglied und Kammerpräsident Dr. Carsten Hünecke. Der seit 2001 ausgelobte Förderpreis der Zahnärztekammer Sachsen-Anhalt wird traditionell im Rahmen des gemeinsam mit der Gesellschaft für Zahn-, Mund- und Kieferheilkunde an der Martin-Luther-Universität Halle (Saale) jährlich veranstalteten ZahnÄrztetages Ende Januar verliehen. Der Förderpreis 2024 wurde bereits ausgeschrieben – Vorschläge können aber noch bis Ende Juni 2024 bei der ZÄK eingereicht werden.
Die Studie:
Wierichs RJ, Kramer EJ, Meyer-Lueckel H, Abou-Ayash S. Success and complication rates of non-precious alloy telescopic crowns in a general dental practice. Clin Oral Investig. 2023 Dec;27(12):7605-7624. doi: 10.1007/s00784-023-05350-2. Epub 2023 Nov 1. PMID: 37910235; PMCID: PMC10713787.




