Therapie verlagerter Zähne mittels Gaumenimplantat
Grundlagen
Der Zahndurchbruch ist ein komplexer Vorgang, weshalb Zahnretentionen mit relativ hohen Inzidenzen auftreten. In der kieferorthopädischen Praxis sind retinierte und verlagerte Zähne daher Teil des kieferorthopädischen Alltags. Neben den Weisheitszähnen (bis zu 39 Prozent) [Hattab, 1995] sind häufig die oberen Eckzähne (0,92 bis 3 Prozent) betroffen [Bishara, 1998]. Bei ihnen beträgt das Verhältnis von palatinaler zu bukkaler Verlagerung 2,5 bis 4:1 [Harzer, 2002; Stellzig, 1994].
In der Regel besteht bei retinierten und verlagerten Zähnen die Indikation für eine kieferorthopädische Behandlung, da sie zu klinischen Komplikationen führen können. Neben follikulären Zysten kann es zu Zahnhartsubstanzschäden an den Nachbarzähnen kommen. An 12 Prozent der seitlichen Schneidezähne bei verlagertem Eckzahn können Wurzelresorptionen unterschiedlicher Ausprägung nachgewiesen werden [Rimes, 1997], welche in Extremfällen eine Extraktion der betroffenen Zähne erfordern. Prophylaktisch kann eine vorzeitige Extraktion von Milchzähnen in vielen Fällen eine weitere Verlagerung verhindern oder sogar eine Einstellung des zuvor verlagerten Zahns bewirken [Ericson, 1988].
Zur Einordnung von verlagerten Zähnen ist häufig ein kombiniert kieferorthopädisch/ oralchirurgisches Vorgehen erforderlich.
Dies umfasst in der Regel drei Phasen:
die chirurgische Freilegung eines Teils der Zahnkrone mit der adhäsiven Anbringung eines orthodontischen Attachments,
die Mobilisation und Eruption des verlagerten Zahns durch die Applikation einer extrusiven Kraft
und die dreidimensionale kieferorthopädische Einordnung des Zahns in den Zahnbogen [Becker, 1998].
Die orthodontische Kraft, die zur Extrusion des verlagerten Zahns benötigt wird, kann ohne stabile Verankerung Nebenwirkungen wie die Intrusion der Verankerungszähne und die Kippung der Okklusalfläche nach sich ziehen [Kokich, 1993].
Zur Schaffung einer stabilen Verankerungseinheit gewinnt die skelettale Verankerung mithilfe von Mini-Implantaten wie zum Beispiel dem Benefit* Miniimplantat oder dem Gaumenimplantat von Straumann immer mehr an Bedeutung. Sie hat sich in vielen klinischen Studien als verlässliche Verankerungsmethode erwiesen [Yao, 2008], zudem erfreut sie sich aufgrund ihrer vielfältigen Einsetzbarkeit, der minimalinvasiven Insertion und der relativ niedrigen Kosten immer größerer Beliebtheit [Nienkemper, 2012; Wilmes 2008; Melsen, 2000].
###more### ###title### Der Fall ###title### ###more###
Der Fall
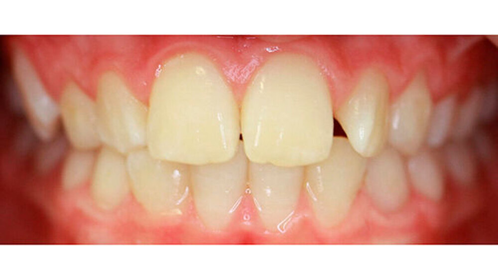
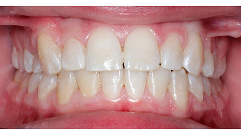
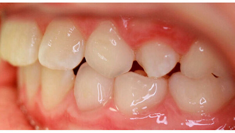
Dieser Fallbericht zeigt eine Patientin mit einer Transposition und multiplen verlagerten Zähnen, die mithilfe eines Gaumenimplantats eingeordnet wurden. Das Mädchen stellte sich im Alter von 13,7 Jahren in unserer Praxis vor. Bei der klinischen Untersuchung fiel die Persistenz mehrerer Milchzähne auf. Der Zahn 13 war distal des Milchzahns 53 durchgebrochen.
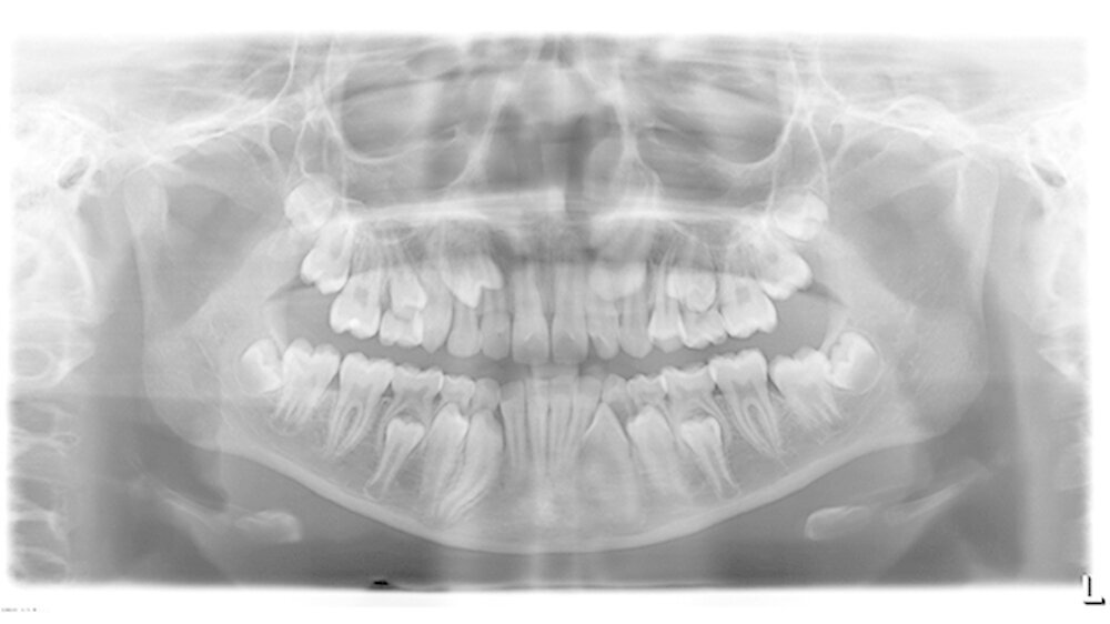
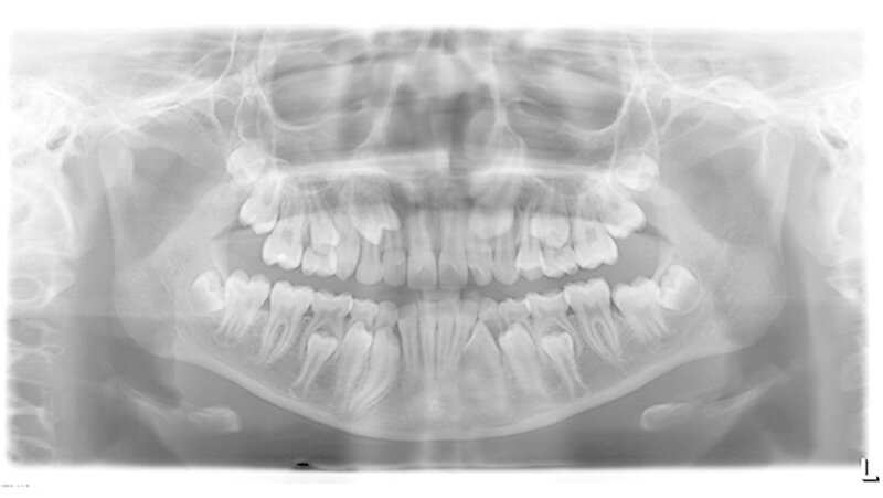
Das OPG zeigte eine Dentitio tarda, eine mesial-exzentrische Verlagerung der Zähne 14 und 23 mit Persistenz der Milchzähne 53 und 63 sowie eine Transposition der Zähne 13 und 14. Alle bleibenden Zähne inklusive der Weisheitszähne sind angelegt. Zudem bestand eine mesial-exzentrische Keimlage der Zähne 15 und 25.
Anhand eines DVT konnten Wurzelresorptionen an den seitlichen Schneidezähnen ausgeschlossen und die genaue dreidimensionale Lage der retinierten und verlagerten Zähne 14 und 23 genauer beurteilt werden. Die Auswertung des FRS ergab eine skelettale Klasse I mit bignather Orthognathie bei mesofazialer Schädelstruktur.
Im Rahmen der Modellanalyse ergaben sich folgende Befunde: Im Oberkiefer lagen außer der Transposition der Zähne 13 und 14 multiple Rotationen und Kippstände vor. Die Unterkieferfront wies einen Engstand auf. Im Molarenbereich lag beidseits eine Distalokklusion von ¼ Prämolarenbreite vor. Der Overjet betrug 2 mm, der Overbite 3 mm. Die Zähne 22/33, sowie 24/74 wiesen eine Kopfbissrelation auf.
Therapie
Der Therapieplan sah die chirurgische Freilegung von 14 und 23 vor, deren Einordnung in den Zahnbogen, die Beseitigung der Transposition zwischen den Zähnen 13 zu 14, sowie die Herstellung einer gesicherten Seitenzahnokklusion mit regelrechter sagittaler und vertikaler Frontzahnstufe.
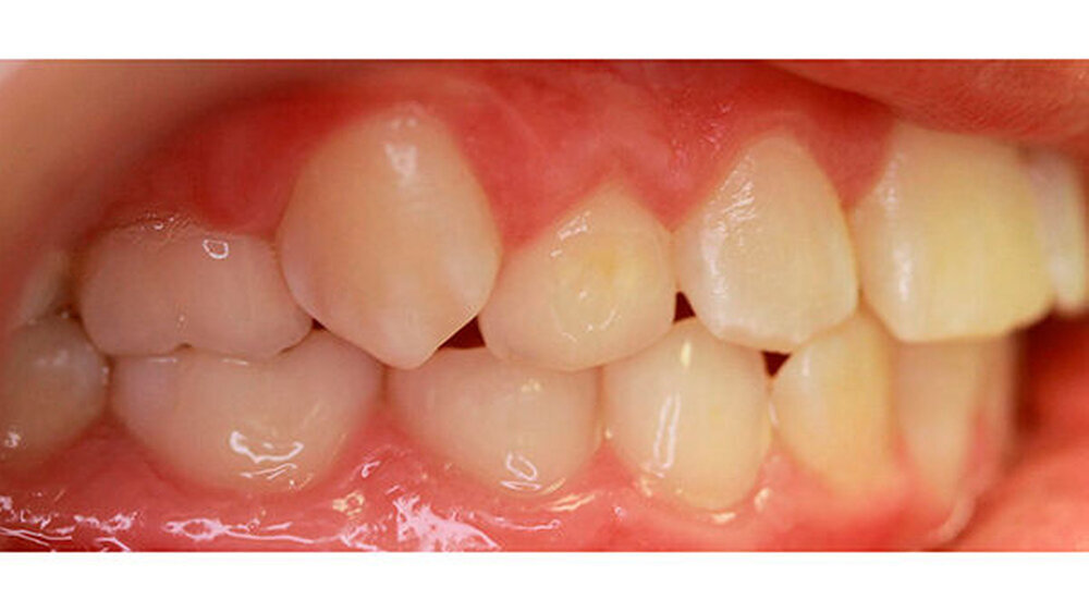
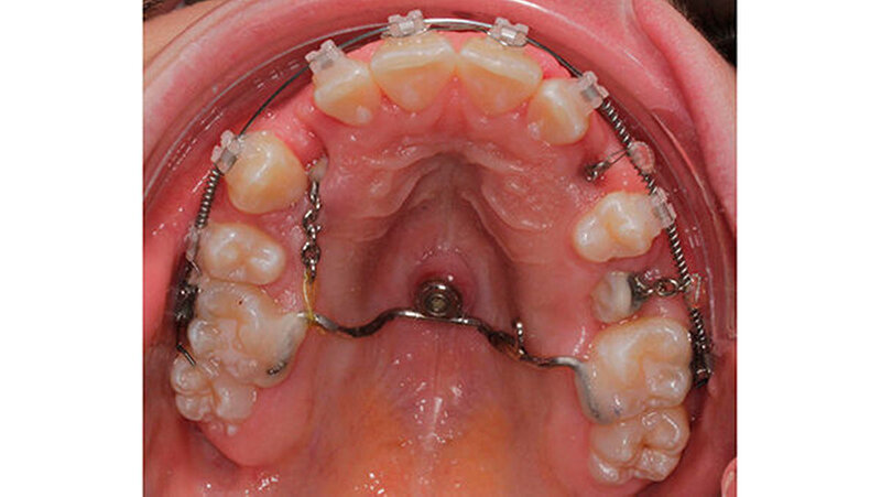
Zur Schaffung einer stabilen Verankerungseinheit wurde zunächst ein Gaumenimplantat inseriert und aufgrund des palatinal verlagerten Prämolaren 14 und des Eckzahns 23 im posterioren Gaumen platziert.
Ein mit dem Implantat verbundener Transpalatinalbogen, welcher adhäsiv an den Sechsjahresmolaren befestigt wurde, sollte letztere in ihrer Position stabilisieren und das während der Extrusion der verlagerten Zähne auf sie wirkende Drehmoment auffangen. Nach der Milchzahnextraktion und der chirurgischen Freilegung von Zahn 14 und 23 begann die kieferorthopädischen Einstellung der Zähne in den Zahnbogen mit geringen, kontinuierlich applizierten Kräften.
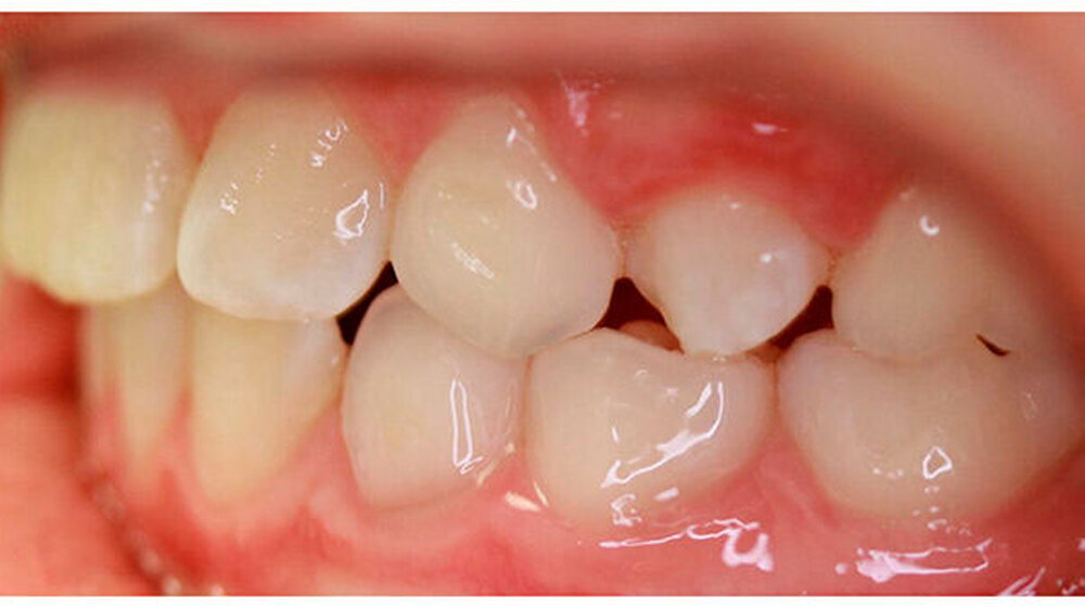
Im Laufe der Behandlung wurde Zahn 13 mesialisiert, um die Transposition mit Zahn 14 aufzulösen. Nachdem die Kronen der verlagerten Zähne soweit durchgebrochen waren, dass ein Bracket geklebt werden konnte, wurden sie mithilfe der Overlaybogentechnik in den Zahnbogen eingestellt. Die Wurzelaufrichtung des Zahn 14 fand mit einer Aufrichtefeder statt. Die restlichen Zähne wurden dabei mit einem 19 x 25 Stahlbogen stabilisiert.
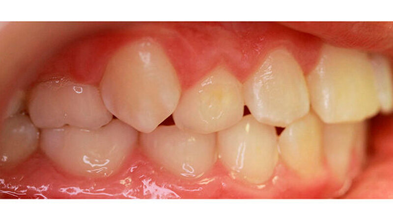
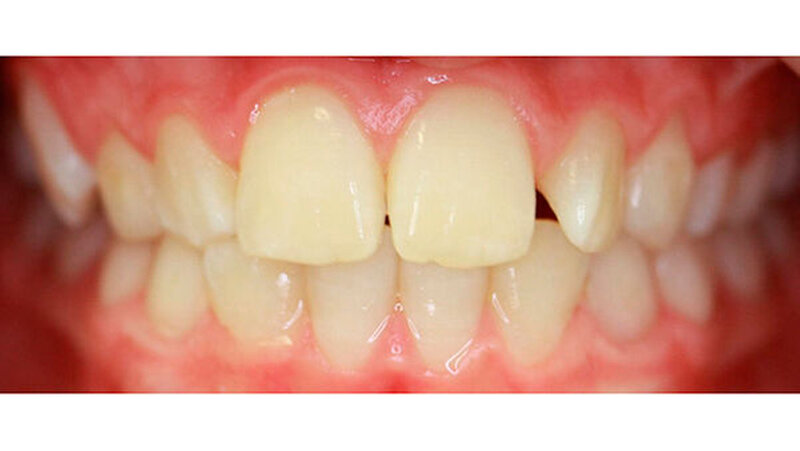
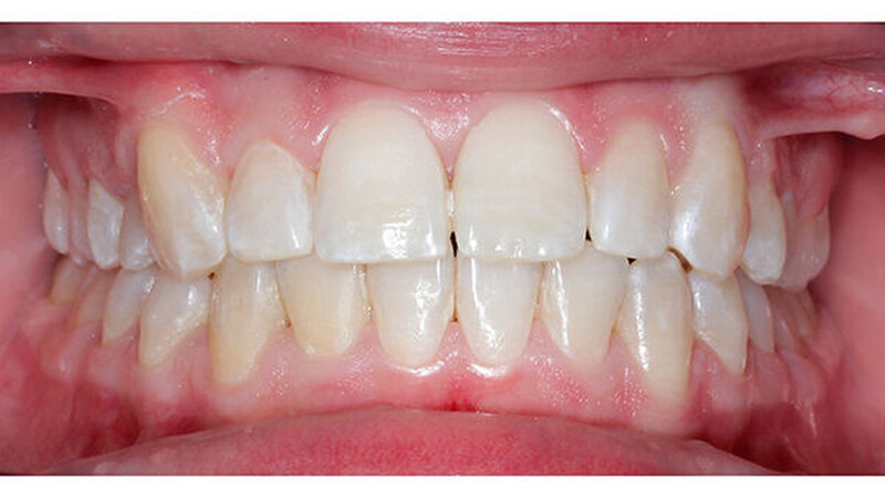
Nach dreijähriger kieferorthopädischer Behandlung konnte die Patientin entbändert werden. Eine Stabilisierungsphase mit herausnehmbaren Essixschienen folgte. Nach Ende der aktiven Behandlungszeit waren die Therapieziele weitgehend erfolgreich umgesetzt worden.
###more### ###title### Diskussion ###title### ###more###
Diskussion
Meistens stellt die kieferorthopädische Einordnung verlagerter Zähne die Therapie der Wahl dar. Zur Vermeidung unerwünschter Nebenwirkungen ist dabei eine stabile Verankerung von großer Bedeutung [Nienkemper, 2012].
Zur Verbesserung der Verankerungsqualität wurde bei der vorgestellten Patientin eine skelettal verankerte Mechanik verwendet. In Fällen mit palatinal verlagerten Zähen empfiehlt sich die radiografische Lokation dieser Zähne vor Implantatinsertion. Der typische Insertionsort für Miniimplantate ist im Oberkiefer der anteriore mediane oder paramediane Gaumen, da hier eine gute Knochenqualität und -dicke zu finden ist [Nienkemper, 2012; Kang, 2007; Wehrbein, 1996].
Um eine Schädigung des verlagerten Eckzahns während der Implantatinsertion zu vermeiden, wurde in diesem Fall weiter posterior implantiert. Der posteriore Gaumen wurde bereits als möglicher Insertionsort für Miniimplantate beschrieben [Ludwig, 2011]. Wie im anterioren Gaumen ist der Gaumen auch hier mit befestigter Mundschleimhaut bedeckt, wodurch die Erfolgsrate der Miniimplantate gesteigert wird [Park, 2006]. Prinzipiell muss eine Transposition nicht zwingend aufgelöst werden. Aufgrund der Wurzelspitzentopografie haben sich die Autoren aber in diesem Fall dafür entschieden.
Großes Augenmerk muss während der Extrusionsphase der verlagerten Zähne auf den Kraftvektor der extrusiven Kraft gelegt werden. Das ist wichtig, um Wurzelresorptionen zu vermeiden [Nienkemper, 2012]. Ein palatinal verlagerter Zahn sollte bei enger Topografie zu den Wurzelspitzen der Nachbarzähne zunächst von diesen weggezogen und zum palatinal zum Durchbruch gebracht werden, um ihn in einem zweiten Schritt beispielsweise mit der im Fallbericht angewendeten Overlaybogentechnik in den Zahnbogen einzuordnen.
Bei dieser Patientin hätte man die Angulation von Zahn 14 den Torque von Zahn 13 noch etwas besser einstellen können. Die Patientin wünschte sich in der Finishingphase jedoch eine vorzeitige Entbänderung.
Fazit für die Praxis
Miniimplantate sind zur Schaffung einer stabilen Verankerung sinnvoll.
Auch im posterioren Gaumen können Gaumenimplantate inseriert werden.
Milchzahnextraktionen können sinnvoll sein, um die weitere Verlagerung eines Zahns zu verhindern.
Dr. Danae BrenderRömerstraße 7571229 Leonberg
Literatur
[1] Hattab FN, Rawashdeh MA, Fahmy MS. Impaction status of third molars in Jordanian students. Oral Surg Oral Med Oral Pathol Oral Radiol Endod 1995;79:24-29[2] Bishara SE. Clinical management of impacted maxillary canines. Semin Orthod 1998;4:87-98.[3] Harzer,W.: Retention von Zähnen, Kieferorthopädie III, Auflage 2002: 76[4] Stellzig, A: Basdra, G., Komposch, G.: Zur Ätiologie der Eckzahnverlagerung – eine Platzanalyse. Fortschr Kieferorthop 55, 97 (1994)[5] Rimes RJ, Mitchell CN, Willmot DR. Maxillary incisor root resorption in relation to the ectopic canine: a review of 26 patients. Eur J Orthod 1997;19:79-8[6] Ericson S, Kurol J. Early treatment of palatally erupting maxillary canines by extraction of the primary canines. Eur J Orthod 1988;10:283-295.[7]Becker A. Palatally impacted canines. In: Becker A (Hrsg.). The Orthodontic Treatment of Impacted Teeth. London: Martin Dunitz Ltd,1998:86[8] Kokich VG, Mathews DP. Surgical and orthodontic management of impacted teeth. Dent Clin North Am 1993;37: 181-204.[9] Yao CC, Lai EH, Chang JZ, Chen I, Chen YJ. Comparison of treatment outcomes between skeletal anchorage and extra-oral anchorage in adults with maxillary dentoalveolar protrusion. Am J Orthod Dentofacial Orthop 2008;134:615-62[10] Nienkemper M, Wilmes B, Lübberink G, Ludwig B, Drescher D: Extrusion of impacted teeth using Mini-implantat Mechanics. JCO 2012;3:150-155.[11] Wilmes, B.: Fields of application of mini-implants, in Innovative Anchorage Concepts: MiniImplants in Orthodontics, ed. B. Ludwig, S. Baumgaertel, and S.J. Bowman, Quintessence, Berlin,2008[12] Melsen, B. and Costa, A.: Immediate loading of implants used for orthodontic anchorage, Clin. Orthod. Res. 3:23-28, 2000.[13] Nienkemper M, Wilmes B, Ludwig B, Pauls A, Drescher D, Klinische Untersuchung skelettal verankerter Mechaniken zur Einordnung retinierter Zähne. Kieferorthopädie 2012;26(1):7–1[14] Kang S, Lee SJ, Ahn SJ, Heo MS, Kim TW. Bone thickness of the palate for orthodontic mini-implant anchorage in adults. Am J Orthod Dentofacial Orthop 2007;131:74-81[15] Wehrbein H., Merz BR., Diedrich P., Glatzmaier J., 1996: The use of palatal implants for orthodontic anchorage – Design and clinicalapplication of the orthosystem. Clin Oral Impl Res. 7: 410-416[16] Ludwig B, Glasl B, Bowman SJ, Wilmes B, Kinzinger, G, Lisson: Anatomical Guidelines for Miniscrew Insertion: Palatal sites, JCO 2011: 8:433-441[17] Park HS, Jeong SH, Kwon OW. Factors affecting the clinical success of screw implants used as orthodontic anchorage. Am J Orthod Dentofacial Orthop 2006;130:18-2











