Tumor wanderte vom Mund in den Arm
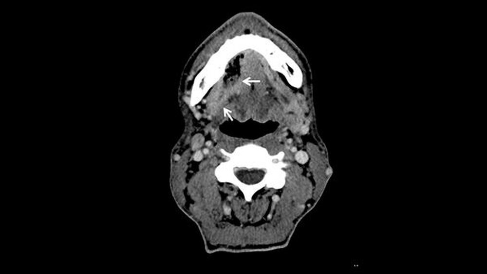
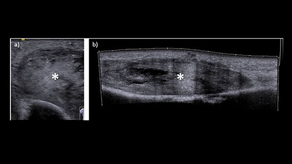
Ein Jahr nach der Exzision des Primärtumors, der begleitenden Radiatio sowie dem mikrochirurgischenAufbau des Unterkieferdefekts stellte sich der Patient erneut vor, um einen Termin zur Entfernung des Osteosynthesematerials zu vereinbaren. Bei dieser Untersuchung bemerkten die Chirurgen eine erhebliche Raumforderung am linken Oberarm, die nach Angaben des Patienten sehr schnellem Wachstum.
Röntgen und MRT sind nicht eindeutig
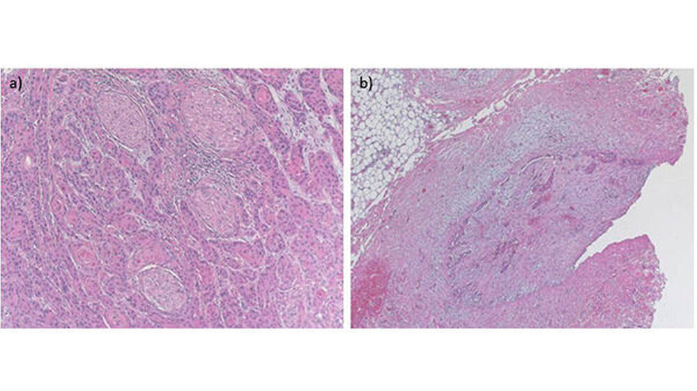
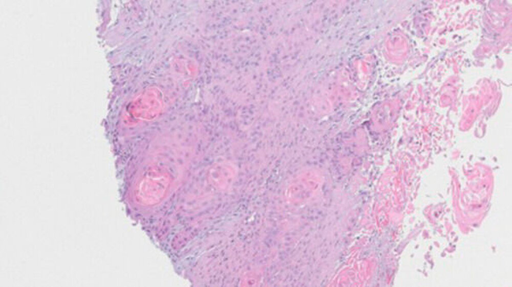
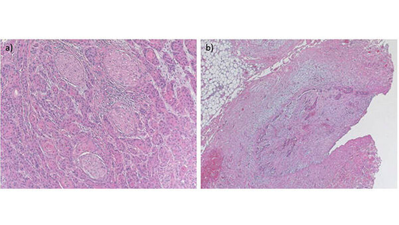
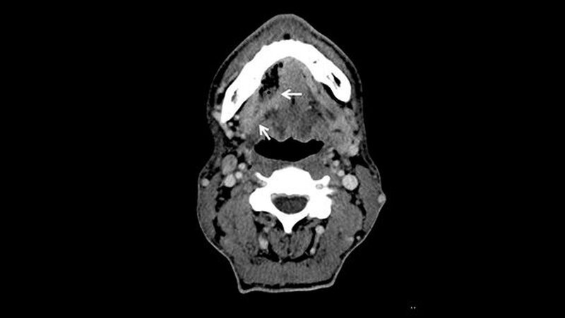
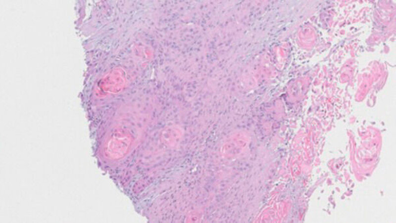
Weder das Röntgenbild noch die weitere Untersuchung mit magnetresonanztomografischer Bildgebung gaben eindeutigen Aufschluss. Daraufhin wurde eine Biopsie veranlasst, die die Verdachtsdiagnose einer Metastase des oralen Plattenepithelkarzinoms histologisch bestätigte.
Die Metastase wurde mittels Radiatio behandelt. Da Patienten mit Plattenepithelkarzinom und regionalen Lymphknotenmetastasen eine höhere Wahrscheinlichkeit haben, Fernmetastasen zu entwickeln und sich – nicht zuletzt wie dieser Patientenfall zeigt – auch entfernte Metastasen über die Blutwege bilden können, empfiehlt die DGMKG eine systematische Tumornachsorge mittels bildgebender Verfahren durchzuführen.
Plattenepithelkarzinome sind von den Epithelien der Haut und der Schleimhäute ausgehende bösartige Tumoren, die häufig metastasieren über die abführenden Lymphgefäße in regionale oder weiter entfernt liegende Lymphknoten. Sie gelten als zweithäufigste bösartige Hauttumoren. Man geht von rund 70.000 Neuerkrankungen pro Jahr aus. Eine Streuung dieses Karzinoms über den Blutweg ist sehr selten, aber kann - wie in diesem Fall - sogar vom Mundboden bis in den Oberarm reichen.
Quelle:Wurm MC, Nkenke E, Neukam FW, et al.Case report: upper arm metastasis of an oral squamous cell carcinoma. BMC oral health 2015;15:22












