Unterkiefer-Osteonekrose infolge einer Gürtelrose
Abstract: Herpes zoster virus (HZV) infections are caused by reactivation of the varicella zoster virus. Reactivation symptoms commonly affect the thoracolumbar trunk, and rarely affect the mandibular branches of the trigeminal nerve. When the mandibular branches are involved, lesions appear proximal to the innervation area. This condition may be associated with exfoliation of the teeth and osteonecrosis of the jawbone. We report a case of mandibular osteomyelitis after herpes zoster infection and we present a review of the literature on mandibular-branch involvement of HZV-related osteonecrosis.
I. Einleitung
Der Begriff Gürtelrose (auch Herpes zoster oder einfach Zoster genannt) bezeichnet per Definition eine Hauterkrankung, die als Spätfolge einer Infektion mit dem Erreger der Windpocken auftritt: dem sogenannten Varicella-Zoster-Virus. Mediziner bezeichnen den Erreger der Windpocken und der Gürtelrose auch als humanes Herpes-Virus Typ 3 (HHV 3).
Bei Windpocken handelt es sich in der Regel um eine harmlose Erkrankung im Kindesalter, doch bleibt das Virus in den sensorischen Ganglien latent bestehen. Wird das Virus reaktiviert, kann es Gürtelrose mit Bläschenbildung mit einer ausgeprägten Virusvermehrung entlang des betroffenen Nervs hervorrufen. Das Virus wird oft im Zuge einer Schwächung des Immunsystems reaktiviert und bleibt entweder systemlos oder bewirkt nun die Zweiterkrankung mit (Gürtelrose) oder ohne Bläschenbildung (Zoster sine herpete).
Gürtelrose tritt in der Regel im Alter auf. Durchschnittlich zwei bis drei Frauen und Männer je 1.000 erkranken pro Jahr. Die Inzidenz steigt mit dem Alter: fünf je 1.000 pro Jahr bei Patienten über 50 Jahre, sieben bis acht je 1.000 bei Patienten über 60 Jahre und zehn je 1.000 bei Patienten über 80 Jahre. Prädisponierende Faktoren sind: HIV und Aids, Leukämie, Lymphome oder Diabetes mellitus, aber auch systemische Steroidtherapien, Chemo- oder Strahlentherapien. Stress oder Traumata können die Gürtelrose ebenfalls auslösen.
Am häufigsten befallen sind die thorakalen Dermatome (56 Prozent) und die Trigeminalganglien (etwa 20 Prozent). Von den drei Ästen des Trigeminus ist der Nervus ophthalmicus am häufigsten betroffen. Begleitet werden die oralen Manifestationen im Oberkiefer- oder Unterkieferbereich von unspezifischen Symptomen. Alveolarknochennekrosen und die Abstoßung abgestorbener Gewebe- und Kochenteile treten dabei häufig als Komplikationen auf. Geschildert wird im Folgenden der Fall einer Osteonekrose im Unterkiefer nach einer Gürtelroseninfektion.
###more### ###title### II. der Fallreport ###title### ###more###
II. der Fallreport
Ein 64-jähriger Mann stellte sich am 16. Dezember 2013 am Institut für Kiefer- und Gesichtschirurgie des Pusan National University Hospitals in Busan (Korea) vor. Er klagte über starke Schmerzen - sein Alveolarknochen des linken Unterkiefers lag komplett frei. Fünf Wochen zuvor hatte er eine Hautveränderung im linken Unterkieferbereich bemerkt, woraufhin ihm sein Hautarzt ein antivirales Mittel verschrieb. (Abb. 1 A). Davon abgesehen hatte er keine ernsten Beschwerden.
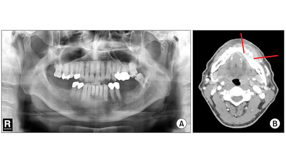
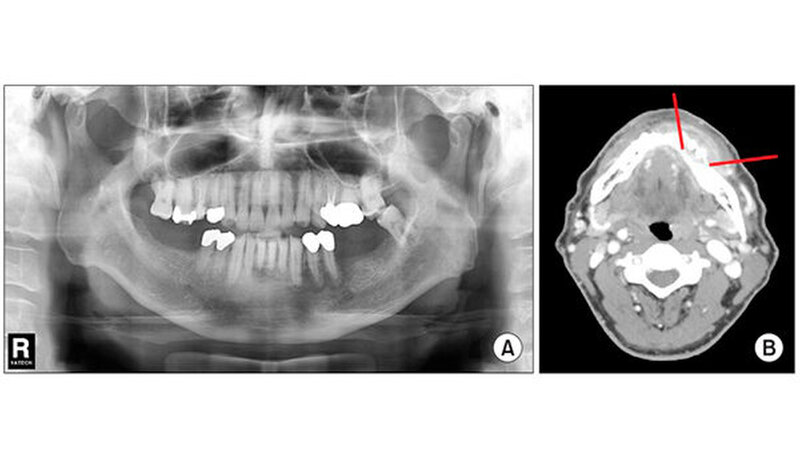
Die intraorale Untersuchung zeigte einen freiliegenden Alveolarknochen in den Bereichen 34, 35 sowie eine Lockerung dritten Grades der Zähne 31 bis 35. (Abb. 1 B) Röntgenaufnahmen offenbarten eine diffuse und unregelmäßige strahlendurchlässige Knochenläsion im linken Unterkiefer sowie eine Weichteilschwellung mit niedriger Dichte. (Abb. 2) Mithilfe einer Biopsie stellten die Zahnärzte akute und chronische Entzündungen fest. Der Patient hatte weder Rezepte für Medikamente verschrieben bekommen, die den Knochenstoffwechsel beeinflussen, noch hatte er jemals eine Strahlentherapie erhalten.
Die Zahnärzte fanden heraus, dass die Entzündung von den Zähnen herrührte. Sie diagnostizierten eine linke Unterkiefer-Osteonekrose infolge einer Gürtelrose des Gesichtsnervs (Nervus trigeminus. Abgestorbene Knochen- und Zahnfragmente (Sequester) wurden entfernt, die Zähne 31 bis 35 extrahiert (Abb. 3).
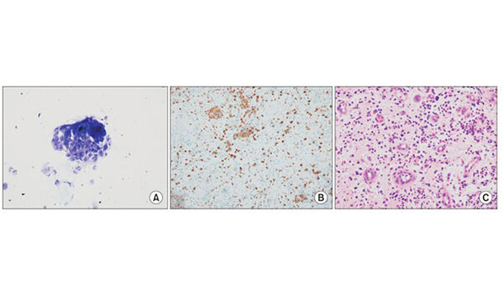
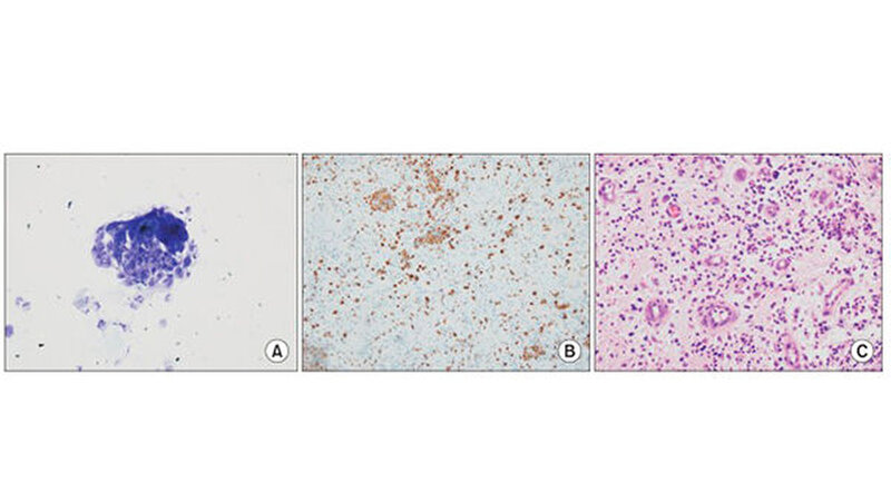
Histopathologisch wurden eosinophile intranukleare Einschlusskörper und mehrkernige Riesenzellen im Epithel identifiziert und die immunhistochemische Färbung zeigten die Zellen CD68 +. Was den nekrotischen Teil des Knochens betrifft, wurden neutrophile Granulozyten, Lymphozyten und Plasmazellen in den akuten und chronischen Entzündungen Bereichen bestimmt (Abb. 4).
Während der Nachsorge traten weder zusätzliche Zahnverluste, Knochenexpositionen oder Osteonekrosen auf, noch gab es weitere Komplikationen wie Nervenschmerzen (postherpetische Neuralgie).
###more### ###title### III. Diskussion ###title### ###more###
III. Diskussion
Der Herpes-Zoster-Virus (HZV) befällt am häufigsten die thorakalen Dermatome - der Trigeminus ist dabei in 13 Prozent beteiligt. In diesen Fällen sind die Sehnerven am häufigsten betroffen, gefolgt vom Nervus maxillaris und dem Nervus mandibularis. Bläschen können im Gesicht auftreten, in der Mundhöhle, den Augen und der Zunge.
Darüber hinaus werden bei einer Beteiligung der Ober- und Unterkiefernerven auch oft eine akute Pulpitis, Zahnschmerzen, Wurzelresorption und periapikale Läsionen beobachtet. Seltener sind Gürtelrosen, die eine Osteonekrose und die Abstoßung abgestorbener Knochen- und Gewebeteile nach sich ziehen - durchschnittlich sind davon betroffene Patienten 57,6 Jahre, Unterschiede nach Geschlecht sind nicht bekannt.
Welche pathologischen Mechanismen bei der HZ-verursachten Osteonekrose greifen, ist umstritten. Eine Hypothese benennt die lokale Vaskulitis infolge der Ausdehnung der neuronalen Entzündungsreaktion auf die benachbarten Blutgefäße als Ursache. Sie könnte den Infarkt der Trigeminus-Gefäße auslösen und zu der Kieferknochennekrose führen, indem sie eine Ischämie antriggert. Die zweite Hypothese besagt, dass die allgemeine Infektion im Trigeminus der Grund für die Vaskulitis der Knochenhaut und des Parodontiums sei, welche wiederum die Osteonekrose und die Abstoßungsreaktionen bewirkt. Die dritte Hypothese argumentiert, dass die Osteonekrose durch die Denervierung des Knochens entsteht, aber dass ein solcher Schweregrad nicht einer so kurzen Zeitspanne hervorrufen wird. Die vierte Hypothese beinhaltet, dass eine systemische virale Infektion die Odontoblasten beschädigt, was eine Pulpanekrose begünstigt. Die fünfte Hypothese sagt aus, dass eine bereits bestehende Pulpitis, Parodontitis oder frühere chirurgische Eingriffe zu einer Osteonecrose führen können.
Das Behandlungsziel bei HZV-Infektionen ist, die akute virale Infektion, akute Schmerzen sowie Nervenschmerzen zu reduzieren. Die sofortige Gabe eines antiviralen Medikaments und eines Schmerzmittels für Postzosterschmerz ist daher angezeigt. Am wirksamsten ist die prophylaktische Impfung. Generell tritt eine durch eine Gürtelrose entstandene Osteomyelitis oder Osteonekrose zwei bis sechs Wochen (im Durchschnitt 21,2 Tage) nach der Reaktiverung des Virus auf. Die Kiefer-Osteonekrose kann man durch die richtige Antibiotikagabe, eine Kürettage oder das Débridement nekrotischen Gewebes im Zusammenspiel mit regelmäßigen Folllow ups in den Griff bekommen.
In unserem Fall haben wir den abgestorbenen Knochen entfernt und mit einer peripheren Ostektomie den noch intakten Teil des Knochens freigelegt. Es gibt viele prädisponierende Faktoren für eine Osteonekrose des Kieferknochens. Obwohl eine Gürtelrose mit Befall des Trigeminus eine Osteonekrose und eine Abstoßung des abgestorbenem Knochens verursachen kann, sind diese Bedingungen durch eine sofortige Verabreichung eines antiviralen Mittels, Schmerzkontrolle und die operative Entfernung des nekrotischen Gewebes behandelbar.
Jae-Min Song, Jeong-Seok Seo, and Jae-Yeol Lee:Mandibular osteonecrosis following herpes zoster infection in the mandibular branch of the trigeminal nerve: a case report and literature review, in: J Korean Assoc Oral Maxillofac Surg. 2015 Dec; 41(6): 357–360. Published online 2015 Dec 17. doi: 10.5125/jkaoms.2015.41.6.357 PMCID: PMC4699940






