Was ist besser: Anästhesieren mit 2-oder 4-prozentigem Articainzusatz?
Einleitung
Die hohe Konzentration von 4 Prozent bei Articain lässt ein bestimmtes neurotoxisches Potenzial vermuten. Daher war der Zweck dieser klinischen prospektiven, randomisierten, doppelt-verblindeten Studie, die anästhetische Wirksamkeit von 2- und 4-prozentigem Articain bei der Leitungsanästhesie des N. alveolaris inferior zur Extraktion von Unterkieferseitenzähnen zu vergleichen.
Materialien und Methoden
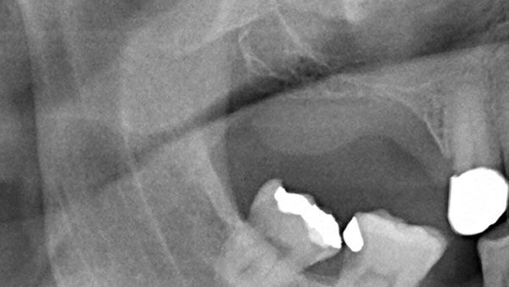
Bei 95 Patienten wurden 105 untere Molaren und Prämolaren nach Leitungsanästhesie des N. alveolaris inferior extrahiert (Abbildungen 1 und 2). In 53 Fällen wurde 2-prozentiges Articain (Gruppe I), in 52 Fällen 4-prozentiges Articain (Gruppe II) verabreicht.
Primäres Ziel war, die Unterschiede der anästhetischen Wirkung zwischen den beiden Gruppen zu analysieren (vollständig/ausreichend versus unzureichend/nicht vorhanden). Darüber hinaus wurden Unterschiede in der Pulpenanästhesie (Beginn und Tiefe (min)) sowie in der Länge der Weichgewebsanästhesie (min) untersucht.
Zusätzlich wurden die Notwendigkeit einer zweiten Injektion, Schmerz während der Injektion (numerische Bewertungsskala (NRS)), Schmerz während der Behandlung (NRS), Schmerz nach der Behandlung (NRS) und andere mögliche Komplikationen (übermäßige Schmerzen, Blutungsereignisse, anhaltende Taubheit) berechnet.
Ergebnisse
Die Anästhesie war für Zahnextraktionen in beiden Gruppen ohne signifikante Unterschiede ausreichend (p=0,201). Der Beginn der Anästhesie unterschied sich nicht signifikant (p=0,297). Eine signifikant kürzere Dauer der Weichgewebsanästhesie wurde in der Gruppe I beobachtet (2,9 h vs. 4 h; p<0,001, Abbildung 3).
Es gab keinen signifikanten Unterschied in der Notwendigkeit einer zweiten Injektion (p=0,359), bei Injektionsschmerzen (p=0,386) sowie bei Schmerzen während (p=0,287) oder nach der Behandlung (p=0,412, Abbildung 4). In beiden Gruppen wurden keine Komplikationen gesehen.
Schlussfolgerung
Selbst für Schmerzen nach der Behandlung ist die lokale anästhetische Wirkung der 4-prozentigen Articain-Lösung im Vergleich zu 2-prozentigem Articain nicht signifikant besser.
Für Unterkieferzahnextraktionen kann Articain 2-prozentig daher ebenfalls als Alternative verwendet werden.
PD Dr. Dr. Peer W. Kämmerer, MA, FEBOMFS, RostockPeer.kaemmerer@uni-rostock.deDr. Dr. Daniel Schneider, SchwerinDr. Victor Palarie, Chinisau, MoldavienDr. Dr. Eik Schiegnitz, Mainz Univ.Prof. Dr. Dr. Monika Daubländer, Mainz
Der mit 1.000 Euro dotierte IPJ-Poster-Award wurde im Rahmen des diesjährigen Zahnärztetags in Frankfurt vergeben.








