Weisheitszähne: die extraorale Extraktion
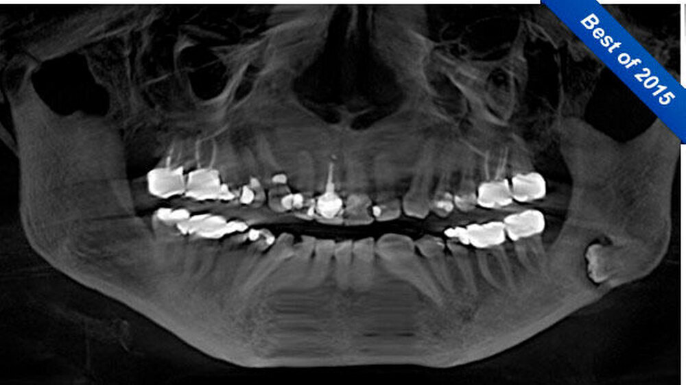
Die 53-Jährige stellte sich mit klinischem Verdacht auf einen dentogenen Abszess im Unterkiefer linksseitig bei ihrem Hauszahnarzt vor. Bei durchgeführtem OPT zeigte sich ein tief retinierter und impaktierter Zahn 38, welcher sich röntgenologisch parallel zum Unterkieferrand abbildete. Weiterhin imponierte dort eine apikale Transluzenz, die diesen Weisheitszahn bei ansonsten gut saniertem Gebiss als Infektfokus erscheinen ließ.
Es erfolgte durch den Hauszahnarzt zunächst eine intraorale Inzision von vestibulär sowie der Beginn einer oralen Antibiotikatherapie mittels Clindamycin 300 mg 1-1-1. Unter regredienter Symptomatik wurde die Patientin zur weiteren Therapie überwiesen. Nach ausführlicher Anamnese und klinischer Untersuchung wurde die Röntgendiagnostik durch eine Digitale Volumentomografie (DVT) zwecks exakter Lagebestimmung des retinierten Zahns 38 erweitert. Das DVT war insbesondere im Hinblick auf die anatomische Lagebeziehung zum Nervus alveolaris inferior aber auch zur Evaluation der Osteodestruktion nach stattgehabtem Entzündungsgeschehen indiziert.
Das Ziel: eine erneute Entzündung verhindern
Hierbei kam der Zahn 38 in seiner Längsachse rund 6 mm parallel zum Unterrand der Mandibula im Bereich des linken Kieferwinkels zur Darstellung. Weiterhin fiel eine perikoronare Transluzenz und die enge räumliche Lagebeziehung zum N. alveolaris inferior auf. Im weiteren Verlauf wurde die Indikation zur operativen Entfernung des Zahns von extraoral gestellt. Die Indikation zu diesem Eingriff war in der Sanierung des Infektionsherdes und damit der Prävention einer erneuten Entzündung und weiterer osteolytischen Schädigung des Unterkiefers begründet.
Der Zugangsweg von extraoral birgt zwar höhere Risiken für den Patienten, insbesondere die potenzielle Schädigung des N. facialis mit konsekutiver Einschränkungen der fazialen Motorik, war aber in dieser Situation aufgrund der sehr kaudalen Verlagerung des Zahns schonender, so dass mehr Knochensubstanz der Mandibula erhalten werden konnte.
Der intraoperative Verlauf gestaltete sich komplikationslos. Sowohl der N. alveolaris inferior als auch der N. facialis konnten geschont werden. Der Zahn 38 wurde mitsamt dem umgebenden Granulationsgewebe vollständig entfernt. Die Abbildungen 3, 4 und 5 zeigen den operativen Vorgang und den entfernten Weisheitszahn. Die pathohistologische Aufarbeitung bestätigte die Verdachtsdiagnose einer entzündlichen Veränderung. Eine follikuläre Zyste konnte ausgeschlossen werden.
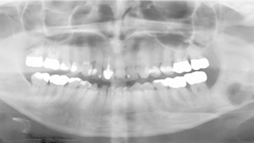
Der Heilungsverlauf gestaltete sich ohne Einschränkung der fazialen Sensomotorik stadiengerecht. Im Anschluss wurde ein Orthopanthomogramm (OPT) als postoperativer Kontroll- und Ausgangsbefund angefertigt (Abbildung 5). Es erfolgte eine klinische und röntgenologische Nachkontrolle drei und sechs Monate post operationem. Hierbei zeigte sich eine regelrechte Reossifizierung der Defektregion im Kieferwinkel.
###more### ###title### Diskussion ###title### ###more###
Diskussion
Impaktierte und retinierte Weisheitszähne treten häufig auf (78 Prozent) [Schwenzer N. et al., 2010 ]. Meist liegt dies an einem unzureichenden Zahndurchbruch. Seltener können auch Entwicklungsstörungen der Kiefer oder Entzündungen ursächlich sein [Freyschmidt J. et al., 2010; Schwenzer N. et al., 2010]. Auch Traumata, ektopische Bildung von Zahnkeimen sowie follikuläre Zysten [Iglesias F. et al., 2011) und odontogene Tumoren wie Ameloblastome oder keratozystisch odontogene Tumoren können ätiologisch infrage kommen [Düker J., 2000].
Die histopathologische Aufarbeitung von entnommenem Gewebe ist vor allem beim Vorliegen einer unklaren zystischen Raumforderung indiziert. Eine weiterführende Therapie und Verlaufskontrolle ist entsprechend des Befundes anzupassen.
Generell wird der intraorale Zugang aufgrund anatomischer Gegebenheiten und der Vermeidung von sichtbaren Narben favorisiert. Gründe für einen extraoralen Zugang können wie in diesem Fall in einem unterkieferrandnah verlagerten Zahn oder in einer unklaren begleitenden Raumforderung liegen [Iglesias F. et al., 2011].
Fazit für die Praxis:
Häufig werden impaktierte und dislozierte Weisheitszähne röntgenologisch als Zufallsbefund diagnostiziert. Der intraorale Zugang stellt zur Entfernung den Zugang der Wahl dar. Trotzdem gibt es Indikationen für den extraoralen Zugang, die meist in der topografischen Lage begründet sind.
Zystische Veränderungen sollten immer histopathologisch aufgearbeitet werden.
Operative Eingriffe gelingen nach dem Abklingen der akuten Entzündungssymptomatik meist besser.
Aida BurnicAlexander BartellaPriv.-Doz. Dr. med. Dr. med. dent. Bernd LethausUniv.-Prof. Dr. med. Dr. med. dent. Frank HölzleKlinik und Poliklinik für Mund-,Kiefer- und GesichtschirurgieUniversitätsklinikum RWTH AachenPauwelsstraße 30, 52074 Aachenaburnic@ukaachen.de
Literatur
J. Düker, Zysten und Pseudozysten der Kiefer, Röntgendiagnostik mit der Panoramaschichtaufnahme, Verlag Hüthig, Heidelberg 2000
N. Schwenzer, M. Ehrenfeld, Mund-, Kiefer-Heilkunde; vollständig überarbeitete und erweiterte Auflage 2010
J. Freyschmidt, H. Ostertag, G. Jundt, Knochentumoren mit Kiefertumoren, Klinik · Radiologie · Pathologie, Springer Verlag 2010
N. Jakse, Kieferzysten Differentialdiagnosen und Therapie, Universitätsklinik für Zahn-, Mund- und Kieferheilkunde, Graz 2001
B. Chrcanovic, B. Freire-Maia, Risk factors and prevention of bad splits during sagittal split osteotomy, Oral Maxillofac Surg. 2012
F. Iglesias-Martin, P. Infante-Cossio, E. Torres-Carranza, V. Prats-Golczer, A. Gracia-Perla-Gracia, Ectopic third molar in the mandibular condyle- A review of literature , Department of Oral and Maxillofacial Surgery, Virgen del Rocio, Univesity Hospital, Seville, Spain, 2011








