"Wir müssen die MIH-Forschung endlich vorantreiben"
"Wir müssen das Thema 'Kreidezähne' in die Öffentlichkeit bringen", sagte Prof. Dr. Michael Walter, Präsident der Deutschen Gesellschaft für Zahn-, Mund- und Kieferheilkunde (DGZMK) heute in Berlin. "Wir haben es mit einer neuen Volkskrankheit zu tun, über die bisher noch viel zu wenig bekannt ist." Aus diesem Grund stellte Experte Prof. Dr. Norbert Krämer, Präsident der Deutschen Gesellschaft für Kinderzahnmedizin (DGKiZ) heute auf einer Pressekonferenz das Krankheitsbild der breiten Öffentlichkeit vor (siehe Kasten).
MIH habe eine rasante Entwicklung durchlaufen: "1987 wurde die Krankheit erstmals wissenschaftlich beschrieben", erläuterte Krämer. "Heute leiden im Durchschnitt bereits 10 bis 15 Prozent der Kinder in Deutschland an der Strukturanomalie." Laut der Fünften Deutschen Mundgesundheitsstudie sind sogar knapp 30 Prozent der 12-Jährigen betroffen. "Bezogen auf die Mundgesundheit und die Lebensqualität der Kinder ist MIH mittlerweile ein größeres Problem als Karies in dieser Altersgruppe", betonte Krämer.
<image xmlns:ns5="http://www.w3.org/1999/xlink" seo-title="" alt-text="" aspect-ratio="16-9" ns5:href="censhare:///service/assets/asset/id/166956" ns5:role="censhare:///service/masterdata/asset_rel_typedef;key=actual."/>
Die Frontzähne sind häufig ebenfalls von MIH betroffen. Aufgrund der Farbveränderungen und dem Einbruch der Oberfläche ist die deutliche ästhetische Beeinträchtigung erkennbar. Die Kinder leiden auch psychisch mit diesem Aussehen. |
Krämer
<image xmlns:ns5="http://www.w3.org/1999/xlink" seo-title="" alt-text="" aspect-ratio="16-9" ns5:href="censhare:///service/assets/asset/id/166957" ns5:role="censhare:///service/masterdata/asset_rel_typedef;key=actual."/>
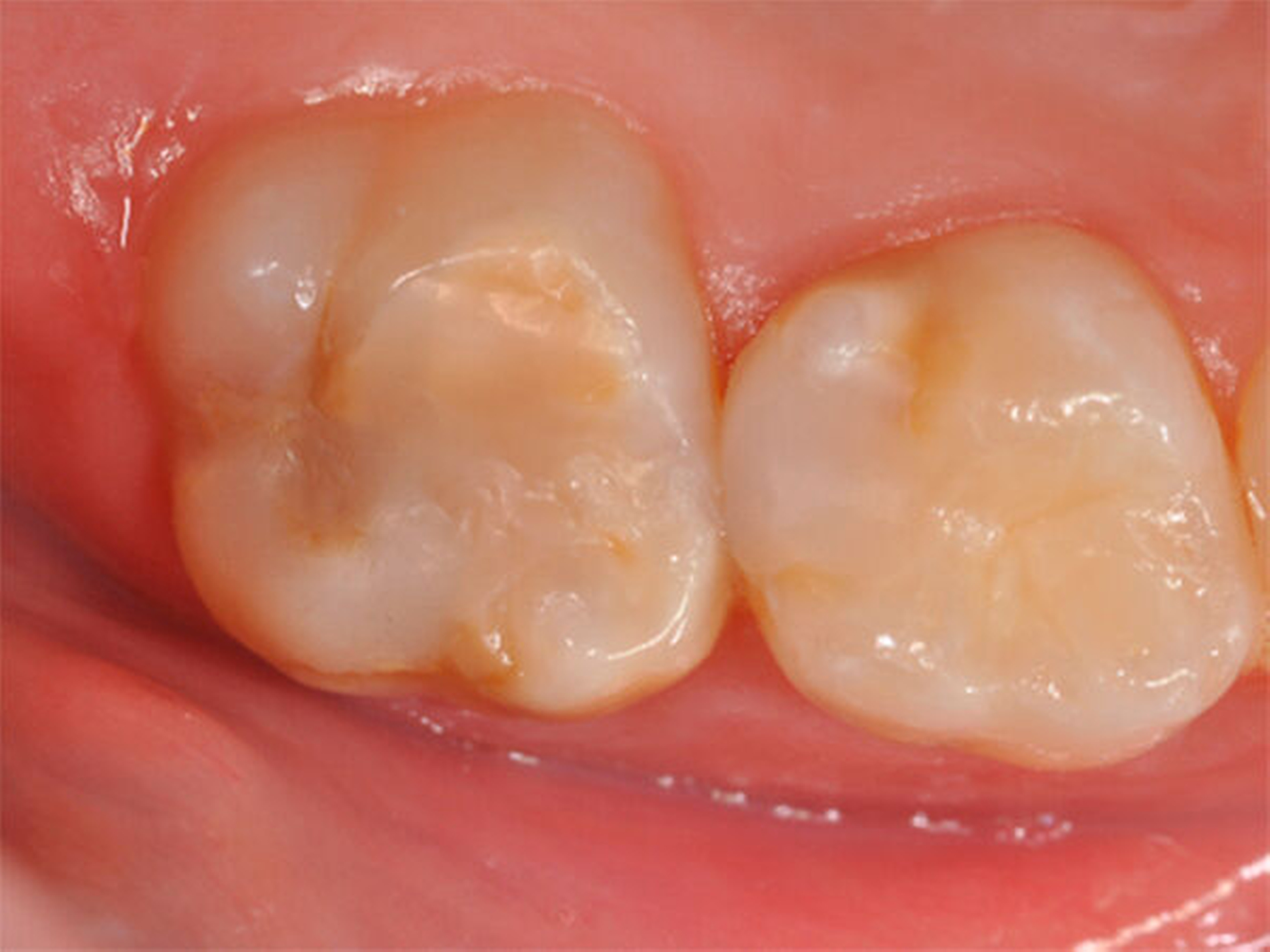
Milde Form der MIH. Verfärbungen, die auf den weichen MIH-Schmelz hinweisen, sind auf der Kaufläche des Backenzahnes zu erkennen. Ein wichtiges Charakteristikum des Schmelzes ist die um Faktor 10 reduzierte Härte, so dass mit Karies und Einbruch der Oberfläche unter Kaubelastung gerechnet werden muss. |
Krämer
Quelle: DGZMK
Ursachen weiterhin unklar - Verdacht gegen Bisphenol A erhärtet sich jedoch
"Die Ätiologie der MIH muss bis zum gegenwärtigen Zeitpunkt als weitgehend ungeklärt angesehen werden", erläuterte Krämer weiter. Eine wesentliche Rolle bei der Entstehung scheinen jedoch Weichmacher aus Kunststoffen zu spielen, die mit der Nahrung aufgenommen werden. Aufgrund von Tierversuchen ließ sich ein Zusammenhang zwischen Bisphenol A-Konsum und der Entwicklung von MIH nachweisen.
Als weitere potenzielle Ursachen würden Probleme während der Schwangerschaft, Infektionskrankheiten, Antibiotikagaben, Windpocken, Einflüsse durch Dioxine sowie Erkrankungen der oberen Luftwege in Betracht kommen. "Da die Schmelzentwicklung der ersten Molaren und der Inzisivi zwischen dem achten Schwangerschaftsmonat und dem vierten Lebensjahr stattfindet, muss die Störung auch in dieser Zeitspanne aufgetreten sein", erläuterte Krämer. "Diskutiert wird ein multifaktorielles Geschehen. Aber im Prinzip müssen wir zugeben, dass die präzise Ursache von MIH wissenschaftlich weiterhin ungeklärt ist."
Prävention nicht möglich - Prophylaxe schon
Eine wirksame Prävention gegen MIH sei daher nicht möglich, erläuterte anschließend Prof. Dr. Stefan Zimmer, Präsident der Deutschen Gesellschaft für Präventivzahnmedizin (DGPZM). In der Zahnarztpraxis stellen die Patienten aufgrund der akuten Beschwerden jedoch meist einen Schmerz-Notfall dar. "Unser Schwerpunkt liegt daher bei der Therapie", ergänzte Krämer. "Unsere Ziele sind: die Schmerzausschaltung, die Versiegelung des Defektes, die Rekonstruktion der Kaufläche sowie Stabilisierung der Zahnhartsubstanz."
"Allerdings", erinnerte Zimmer, "haben die betroffenen Zähne eine raue Oberfläche und sind zerfurcht. Dementsprechend sind Zähne mit Strukturanomalien besonders kariesanfällig." Aus diesem Grund müsse über das Zähneputzen hinaus eine besonders intensive Prophylaxe betrieben werden, um die Zähne vor Karies zu schützen. Zimmer empfiehlt insbesondere Fluoridierungsmaßnahmen in der häuslichen Umgebung und der Zahnarztpraxis.
Für Kinder unter sechs Jahren sei demnach die täglich zweimalige Anwendung einer fluoridhaltigen Kinderzahnpasta (500 ppm) dringend zu empfehlen. "Die Eltern müssen darauf achten, dass die Zahnpasta intensiv in Kontakt mit den geschädigten Zähnen kommt", betonte Zimmer. Zusätzlich sei eine viertel- bis halbjährliche Vorstellung in der Zahnarztpraxis wichtig. Der Zahnarzt könne hier die geschädigten Bereiche mit einem Fluoridlack (22.600 ppm) behandeln, der die Zähne besonders wirksam vor Karies schützt.
Ab dem 6. Lebensjahr sollte das Kind dann zweimal täglich eine Erwachsenenzahnpasta mit höherer Fluorid-Konzentration (1000 ppm bis 1500 ppm) verwenden. Zusätzlich kann nun auch zweimal täglich eine fluoridhaltige Mundspüllösung (500 ppm) oder einmal wöchentlich ein hoch konzentriertes Fluorid-Gelee (12.500 ppm) verwendet werden. Alternativ sei auch das zweimal tägliche Zähneputzen mit einer Zahnpasta mit deutlich erhöhter Fluoridkonzentration (5.000 ppm) zu empfehlen. Diese ist jedoch verschreibungspflichtig.
Werden alle Empfehlungen umgesetzt, könne es in den meisten Fällen gelingen, die besonders anfälligen MIH-Zähne vor Karies zu schützen. "Regelmäßige Untersuchungen beim Zahnarzt, die Behandlung mit Fluoridlack und der Aufbau der Zähne mit verschiedenen Techniken können dazu beitragen, auch von MIH befallene Zähne bei guter Pflege ein Leben lang zu erhalten", sagte Zimmer.
"Wir haben einen steigenden Forschungsbedarf", resümierte Krämer abschließend. "Wir wissen immer noch viel zu wenig über MIH - sowohl zur Ätiologie, zur Prävention aber auch zur Therapie." Seine Forderung an die Politik: Akzeptanz der Erkrankung; Forderung nach mehr MIH-Forschung; Schaffung der strukturellen Voraussetzungen. "Dann werden wir gezielt gegen MIH vorgehen können."
Mehr zum Thema: MIH
Bei der systemisch bedingten Hypomineralisation können beide Dentitionen betroffen sein. Hier sehen Sie verschiedene Therapieoptionen.









