Zahnerhalt mit Längsfraktur
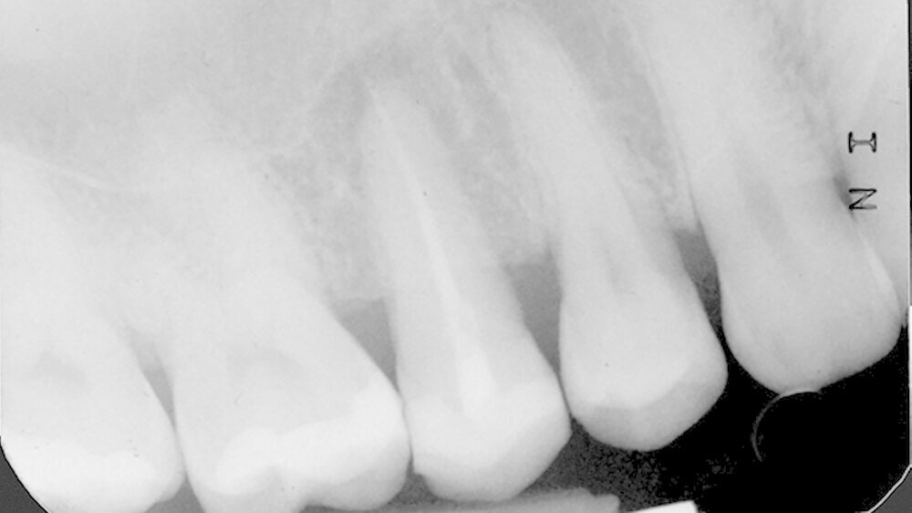
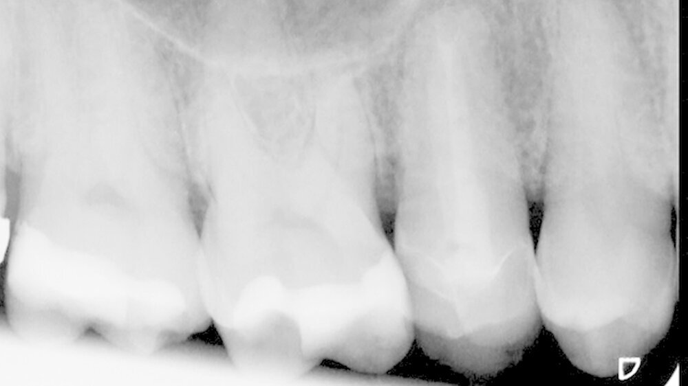
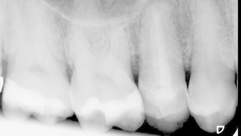
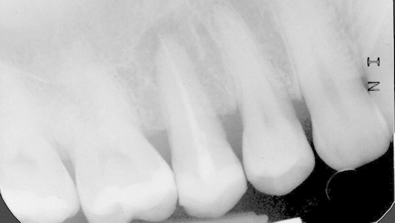
In der Poliklinik für Zahnerhaltung des Universitätsklinikums Münster war zwar die allgemeinmedizinische Anamnese unauffällig, doch zeigte sich klinisch nach Entfernung der vorhandenen mod-Glasionomerzementfüllung ein deutlicher Frakturspalt in mesial-distaler Ausrichtung am Boden der Kavität (Abbildung 1). Darüber hinaus war auf der Röntgenaufnahme des Vorbehandlers eine apikale Aufhellung zu erkennen (Abbildung 2).
Einzige Therapieoption bei der vorliegenden Diagnose ist in der Regel die Extraktion des betroffenen Zahns mit anschließender Brücken- oder Implantatversorgung. Die Patientin lehnte eine Brückenversorgung wegen des Zahnhartsubstanzverlustes bei Präparation von Zahn 16 und 14 ab, und war aus Kostengründen auch gegen eine Implantatversorgung. Sie wünschte sich stattdessen eine Therapiealternative.
###more### ###title### Die Alternativlösung ###title### ###more###
Die Alternativlösung
Nachdem die Patientin darüber aufgeklärt wurde, wie der Zahn möglicherweise erhalten werden kann, wurden die Zahnfragmente nach Gabe einer Infiltrationsanästhesie schonend extrahiert (Abbildung 3). Nach der Extraktion wurden die zwei Zahnfragmente zunächst in der Zellnährlösung einer Zahnrettungsbox (Medice Pharma, Iserlohn) geschwenkt, um sie von Blut und Gewebe zu säubern. Das apikale Granulationsgewebe, das bei der Extraktion an der Wurzelspitze verblieben war, konnte manuell mit einer Luer Zange entfernt werden.
Danach wurden die Wurzelkanalwände des jeweiligen Fragments mit einem diamantierten torpedoförmigen Schleifkörper präpariert, wobei die Frakturflächen nicht berührt wurden (Abbildung 4). Auf die beiden Frakturflächen sowie die Wurzelkanalwände wurde anschließend ein selbstätzender All-In-One Dentinhaftvermittler (Optibond All-In-One; Kerr, Orange, USA) appliziert und die zwei Fragmente mithilfe eines dualhärtenden Komposits (Nexus NX 3; Kerr) adhäsiv zusammengesetzt (Abbildung 5).
Dabei wurde strikt darauf geachtet, dass weder Überschüsse des Dentinhaftvermittlers noch des Komposits auf die Wurzeloberfläche gelangten. Anschließend wurden die apikalen 3 mm der Wurzelspitze im Sinne einer Wurzelspitzenresektion entfernt. Die Resektionsfläche wurde mit einem feinen diamantierten zylinderförmigen Schleifkörper von retrograd etwa 2 mm in den Wurzelkanal hinein präpariert und die Frakturlinie mit einer Flamme dezent erweitert (Abbildung 6).
Der Zahn wird replantiert
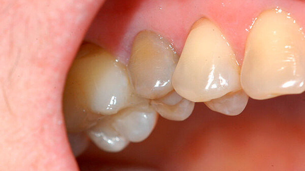
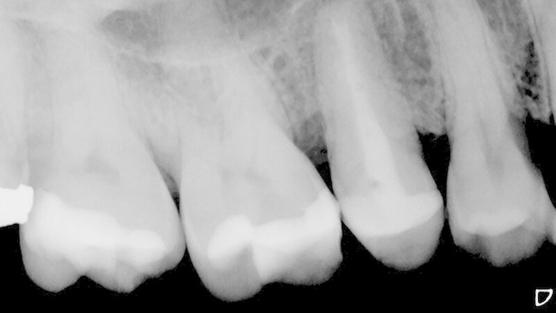
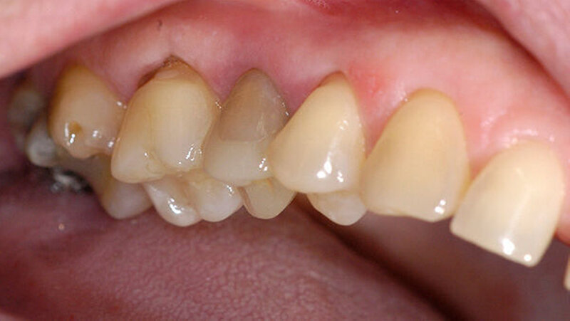
Die retrograde Präparation und der Frakturspalt wurden mit Biodentine aufgefüllt (Abbildung 7). Während des initialen Aushärtens des Zements wurde die restliche Wurzeloberfläche kontinuierlich mit der Nährlösung der Zahnrettungsbox versorgt. Nach etwa 15 Minuten Aushärtungszeit konnte der Zahn replantiert und im Anschluss für zehn Tage mit einer TTS-Schiene (TTS; Medartis, Basel) semirigide geschient werden (Abbildung 8). Kontrollen nach zehn Tagen, drei und sechs Monaten zeigten einen symptomlosen Zahn sowie eine unauffällige Perkussionsprobe ohne Anzeichen einer Ankylose und physiologische Taschensondierungstiefen von 3 mm (Abbildung 9).
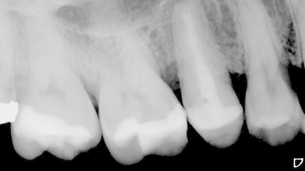
Das röntgenologische Kontrollbild zeigte nach sechs Monaten im Vergleich zur Ausgangssituation im Bereich der entfernten Wurzelspitze und der ehemaligen apikalen Aufhellung eine zunehmende knöcherne Regeneration (Abbildung 10). Zu diesem Zeitpunkt wurde entschieden, den Zahn mit einer Teilkrone zu versorgen, um Scherkräfte zwischen den beiden Höckerspitzen des Zahns zu vermeiden und das Risiko einer erneuten Fraktur zu minimieren. Die Ein-Jahres-Kontrolle zeigte einen konstant klinisch unauffälligen Zahn (Abbildung 11) und eine voranschreitende knöcherne Ausheilung im apikalen Bereich (Abbildung 12).
###more### ###title### Diskussion ###title### ###more###
Diskussion
Aufgrund des Befundes war der Zahn nach aktueller Literaturlage als nicht erhaltungswürdig zu betrachten. Da die Patientin weder einem Implantat noch einer Brückenversorgung zustimmte, war bei der vorliegenden Situation eine Alternative erforderlich. Sie entschied sich nach der Aufklärung über die Behandlung und trotz der nicht vollständig abschätzbaren Prognose für den Versuch den Zahn zu erhalten.
Geeignetes Material ist der Schlüssel zum Erfolg
Für die komplikationslose Einheilung des Zahns ist - genau wie im vorhergegangenen Fallbeispiel - die Versorgung des Frakturspalts mit einem geeigneten Material obligat und der Schlüssel zum Erfolg. In beiden Fällen gelten die gleichen Grundgedanken. Erschwerend kam hinzu, dass bei der Patientin eine komplette Längsfraktur des Zahns vorlag. Da sich auch nach einem halben Jahr die Situation komplikationslos darstellte, wurde entschieden, den Zahn zu diesem Zeitpunkt mit einer Teilkrone zu versorgen, um das Risiko einer erneuten Fraktur durch auftretende Scherkräfte zwischen den beiden Höckern zu minimieren. Alternativ hätte man, um dieses Risiko von Beginn an zu reduzieren, auch kurz nach der initialen Behandlung eine Tabletop-Präparation mit vorübergehender Kompositversorgung anfertigen können.
Fazit
Auch wenn die langfristige Prognose für den beschriebenen Fall ungewiss bleibt und für eine Empfehlung die Datenlage noch zu gering ist, scheint die generelle infauste Prognose und damit eine Extraktion von längsfrakturierten Zähnen nicht mehr zwingend notwendig zu sein. Wichtig bleibt in solch einem Fall die umfangreiche Aufklärung des Patienten über die Diagnose und alle Behandlungsoptionen samt ihrer Vor- und Nachteile.
Dieser Beitrag ist erschienen im Septodont Biodentine Handbuch als Fall 9.
Dr. Paul Hadrossek, MünsterUniversitätsklinikum MünsterZentrum für ZMK Poliklinik für ZahnerhaltungAlbert-Schweitzer-Campus 1, Gebäude W 30Waldeyerstraße 30, 48149 Münsterdr.paul@hadrossek.com














