Verschluckter Kronenblock führte zum Tod
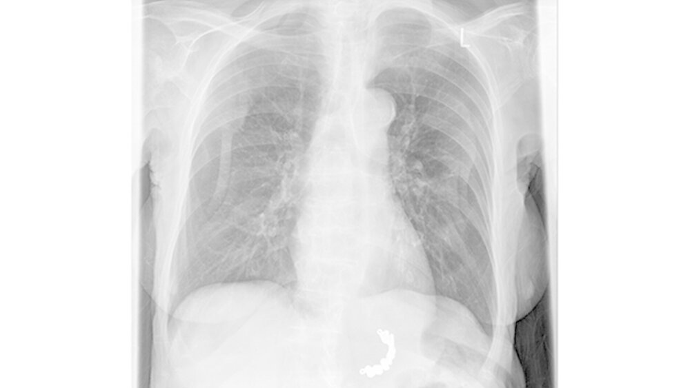
Neben einer Kachexie lag bei der Patientin seit Langem eine ausgeprägte Dysphagie (Schluckstörung) vor, so dass die Nahrungsaufnahme nur assistiert und in flüssiger Form möglich war. Die Patientin war mit einem Kronenblock (34 nach 45) versorgt, der aufgrund von Zahnfrakturen eine nur noch sehr schwache Retention auf den verbliebenen Pfeilerzähnen haben konnte. Dieser Kronenblock löste sich offensichtlich von den Pfeilerzähnen und wurde von der Patientin verschluckt.
Die anschließend durchgeführte Gastroskopie zeigte eine „Nekrose-Zone im Bereich des oberen Ösophagussphinkters“ sowie „eine große Perforation des oberen Ösophagus“. Nach der Entfernung der Prothese mittels Schlinge wurde die Patientin zur palliativen Weiterbehandlung auf die Station verlegt. Die Patientin verstarb am darauffolgenden Tag.
Fataler Verlauf aufgrund mangelnder Kontrolle
Die behandelnden Internisten formulieren in der Epikrise: „Wir sehen den fatalen Verlauf verursacht in den Vorerkrankungen der Patientin, der Tatsache dass die Patientin eine Zahnprothese trug und dass es durch das Herunterwürgen der Prothese zu einer relevanten Schädigung der Speiseröhre kam. Im Rahmen der Gastroskopie konnte der Fremdkörper entfernt werden und die Diagnose gestellt werden. Wir bedauern es, der Patientin nicht geholfen zu haben.“
Zahnersatz regelmäßig kontrollieren
Dieser außergewöhnliche Fall zeigt, wie wichtig es ist, den Sitz eines Zahnersatzes regelmäßig auf Sicherheit und Festigkeit zu kontrollieren. Die Patientin war während der zehn Jahre im Seniorenheim nicht in zahnärztlicher Behandlung. Doch gerade bei dementen Patienten, die intensiver Pflege bedürfen und gefüttert werden müssen, besteht die Gefahr, dass sich durch den Besteckkontakt Teile der prothetischen Versorgung lockern können, ohne dass eine etwaige Lockerung vom Pflegepersonal bemerkt wird. Schnell kann sich hieraus eine Aspirationsgefahr, oder – wie in diesem Fall – eine Gefahr des Verschluckens mit konsekutiver Verletzung des Ösophagus ergeben.
Dr. Hans-Werner Bertelsen
Ambulante Klinik am St. Joseph-Stift
Georg-Gröning-Str. 57, 28209 Bremen
bertelsen@t-online.de








