Angiosarkom-induziertes Gesichtsödem
Eine 75-jährige Patientin, in gutem Allgemeinzustand und ohne relevante Nebendiagnosen, stellte sich mit einem ausgeprägten, schmerzhaften, rezidivierenden und bislang therapieresistenten, rötlichen Gesichtsödem der Gesichtshaut vor (Abbildung 1). Das Gesichtsödem trat erstmals nach einer Alveolarkammaugmentation mit bovinem Knochenersatzmaterial und der späteren Insertion von Zahnimplantaten im Ober- und im Unterkiefer acht Monate zuvor auf.
Zwischenzeitlich wurde die Symptomatik mit Hinblick auf eine allergische Genese mehrmals alio loco frustran mit Antihistaminika und Kortison therapiert. Zum klinischen Untersuchungszeitpunkt forcierte die Patientin die Entfernung der Implantate und des Knochenaugmentats. Die aktuelle Panoramaschichtaufnahme der Patientin zeigte reizfreie und gut osseointegrierte, prothetisch suffizient versorgte Implantate (Abbildung 2).
Zusätzlich zeigte sich bei der klinischen Untersuchung ein faustgroßer, violett schimmernder, erhabener und derber Tumor der behaarten Kopfhaut (Abbildung 3). Parallel zur erneuten Allergietestung zum sicheren Ausschluss einer allergischen Reaktion erfolgten ein MRT sowie ein PET-CT zur weiteren bildgebenden Diagnostik.
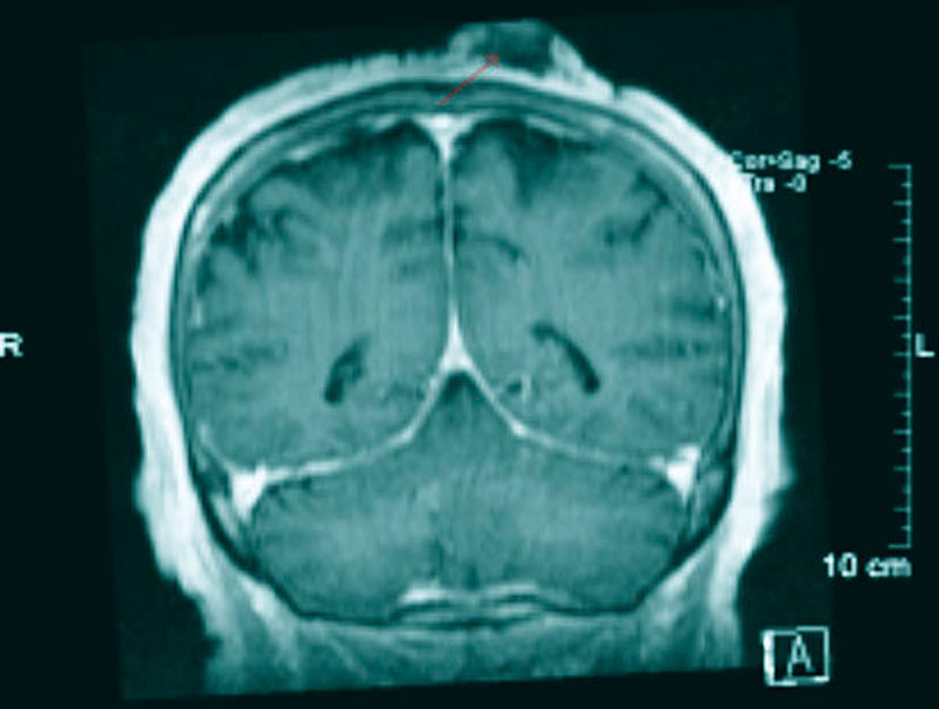
Im MRT zeigte sich eine occipital gelegene, ausgedehnte Raumforderung (Abbildung 4), die im PET-CT zum komplementierenden Staging mit einem Standard-FDG-Uptake (SUVmax) von 19.4 bestätigt wurde. Es ergaben sich keinerlei Hinweise für eine lokoregionäre Metastasierung, Fernmetastasen oder einen Zweittumor (Abbildung 5).
Zeitgleich zur Bildgebung erfolgte die Probenentnahme zur Diagnosesicherung. Die histologische Aufarbeitung ergab die Diagnose eines Lymphangiosarkoms mit Anteilen einer hämorrhagischen Nekrose. Da die Patientin die angebotene chirurgische Resektion des Tumors ablehnte, erfolgte initial eine Chemotherapie mit sechs Zyklen Doxorubicin und Paclitaxel (Abbildung 6). Diese führte zu einer signifikanten Tumorreduktion innerhalb weniger Wochen. Einige Monate später bekam die Patientin ein lokoregionäres, multifokales Tumorrezidiv (Abbildung 7).
Diskussion
Angiosarkome repräsentieren eine spezielle Untergruppe der Weichgewebesarkome innerhalb der Familie der Sarkome (Tumore des Binde- und/oder des Stützgewebes), die sich aus dem Epithel der Blutgefäße (Hämangiosarkome) beziehungsweise der Lymphgefäße (Lymphangiosarkome) entwickeln können. Die Lokalisation dieser Tumore in der Kopf-/Halsregion ist selten. Besonders im Frühstadium der Erkrankung stellen sich Angiosarkome sehr unspezifisch und uncharakteristisch dar.
Die auftretenden Symptome dieser vaskulären Tumore suggerieren häufig eine benigne, hämorrhagische Läsion, die wiederum zu einer erheblichen Verzögerung in Diagnostik und Therapie führen kann. Angiosarkome zeigen ein sehr aggressives und multifokales Wachstum, was mit einer Fünf-Jahres Überlebensrate von etwa 12 bis 24 Prozent in der Kopf-/Halsregion insgesamt in einer limitierten Prognose resultiert.
Die Gesamtprognose hängt dabei entscheidend vom Diagnosezeitpunkt und der histologischen Differenzierung des Tumors ab [Breakey et al., 2017; Pawlik et al., 2003]. Angiosarkome stellen in der Kopf-/Halsregion eine besondere diagnostische, differenzialdiagnostische und therapeutische Herausforderung dar.
Angiosarkome zeigen klinisch häufig paraneoplastische Phänomene, die beim Erstkontakt des Patienten vom Behandler fehlinterpretiert werden. Die beobachtete, rezidivierende und zirkadiane Zu- und Abnahme des fazialen Gesichtsödems wird in erster Linie durch Mastzellen, die Freisetzung von Histamin sowie durch die Zu- und Abnahme des endogenen Kortisonspiegels verursacht. Dieses Phänomen kann leicht zur Fehldiagnose einer allergischen Reaktion führen.
Die Standardtherapie des Angiosarkoms besteht in der chirurgischen Resektion des Tumors in Kombination mit einer Chemotherapie, zum Beispiel Doxorubicin und Paclitaxel. Neben der chirurgischen Therapie und der Chemotherapie wird ebenfalls die Bestrahlung als Therapieoption beschrieben [Vitzthum et al., 2016]. Die chirurgische Resektion mit einem adäquaten Sicherheitsabstand ist aufgrund des multifokalen Wachstums oft sehr schwierig und nur durch aufwendige Defektdeckungen zu lösen [Vogt, 2008; Gonzales et al., 2009].
Bezüglich der Überlebensrate berichteten Bernstein et al. in einer retrospektiven Studie mit 50 Patienten mit einem Angiosarkom der Kopf-/Halsregion, dass das Angiosarkom der Kopfhaut eine signifikant schlechtere Überlebensrate hat als das Angiosarkom der Gesichtshaut, was vermutlich auf den verzögerten Diagnosezeitpunkt zurückzuführen ist [Bernstein et al., 2017]. Mit besonderem Blick auf die chirurgische Therapie berichteten Breakey et al., dass die Langzeitprognose signifikant durch eine frühzeitige Diagnose und – ganz besonders – durch eine radikale chirurgische Resektion verbessert werden kann [Breakey et al., 2017].
Shin et al. analysierten mögliche Faktoren, die mit einer schlechten Prognose von Angiosarkomen in der Kopf-/Halsregion assoziiert sein können. Die Autoren zeigten, dass besonders ein hohes Alter, die Tumorgröße, die Tumorlokalisation und ein ungenügender Sicherheitsabstand mit einer schlechteren Prognose assoziiert sind [Shin et al., 2017].
Zusammenfassend sollte beachtet werden, dass Angiosarkome der Kopf-/Halsregion panfaziale Gesichtsödeme verursachen können, die als allergische Reaktion fehldiagnostiziert werden können. Als zusätzliche mögliche Differenzialdiagnose berichteten Lin und Chang über kutane Angiosarkome der Kopfhaut, die sich klinisch ähnlich wie eine faziale Zellulitis zeigten [Lin/Chang, 2016]. Zusammenfassend ist es durch eine intensive körperliche Untersuchung, eine frühzeitige Diagnose und damit verbunden eine zeitnahe Therapieeinleitung möglich, die Prognose von Angiosarkomen in der Kopf-/Halsregion deutlich zu verbessern.
Dr. Dr. Andreas Pabst
Prof. Dr. Dr. Richard Werkmeister
Klinik für Mund-, Kiefer- und Plastische Gesichtschirurgie
Bundeswehrzentralkrankenhaus Koblenz
Rübenacherstr. 170, 56072 Koblenz
andipabst@me.com
Dr. Dr. Andreas Wysluch
Praxisklinik für Mund-, Kiefer- und Plastische Gesichtschirurgie Fürth
Flößaustr. 22, 90763 Fürth












