Basalzellkarzinom der Oberlippe
Eine sich seit mehreren Jahren alio loco in dermatologischer Betreuung befindliche Patientin wurde mit einer seit Jahren bestehenden Veränderung der Oberlippe in einer weiteren dermatologischen Praxis und nach Probebiopsie dort in der Mund-, Kiefer- und Gesichtschirurgie vorstellig.
Zum Zeitpunkt der Erstvorstellung in der MKG zeigte sich im Bereich der Oberlippe rechts das Lippenweiß, aber auch das Lippenrot betreffend eine etwa 1 cm x 2 cm große Veränderung der Haut. In deren Peripherie zeigte sich ein perlschnurartig aufgeworfener Randwall mit dezenten Teleangiektasien, die besonders im Bereich des Lippenrots zu erkennen waren (Abbildung 1). Zentral im Bereich des Befunds hatte die Haut eine fast normale Farbe und Textur, sie wirkte etwas atroph.
Anamnestisch hatte sich diese Veränderung vor mehr als drei Jahren entwickelt und war nach histopathologischer Abklärung seitdem dermatologisch als Granuloma anulare klassifiziert und entsprechend behandelt worden.
Erst durch den Wechsel des Dermatologen wurde der Befund in seiner Diagnose hinterfragt und neu eingestuft. Nach einer Biopsie wurde ein Basalzellkarzinom diagnostiziert, das dann durch die Mund-, Kiefer- und Gesichtschirurgie entfernt wurde. Nach temporärer Tätowierung zur Markierung der Rot-Weiß-Grenze der Oberlippe erfolgte die Exzision bis auf den darunter befindlichen Musculus orbicularis oris und nach caudal bis hinter die Wetline der Oberlippe (Abbildung 2) mit anschließender Rekonstruktion derselben.
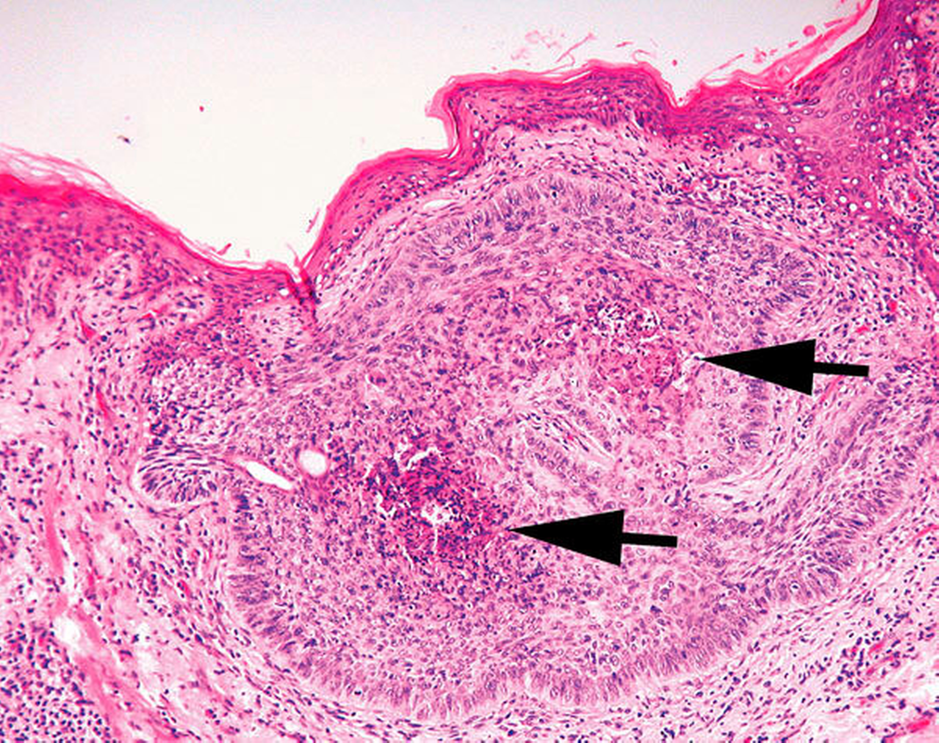
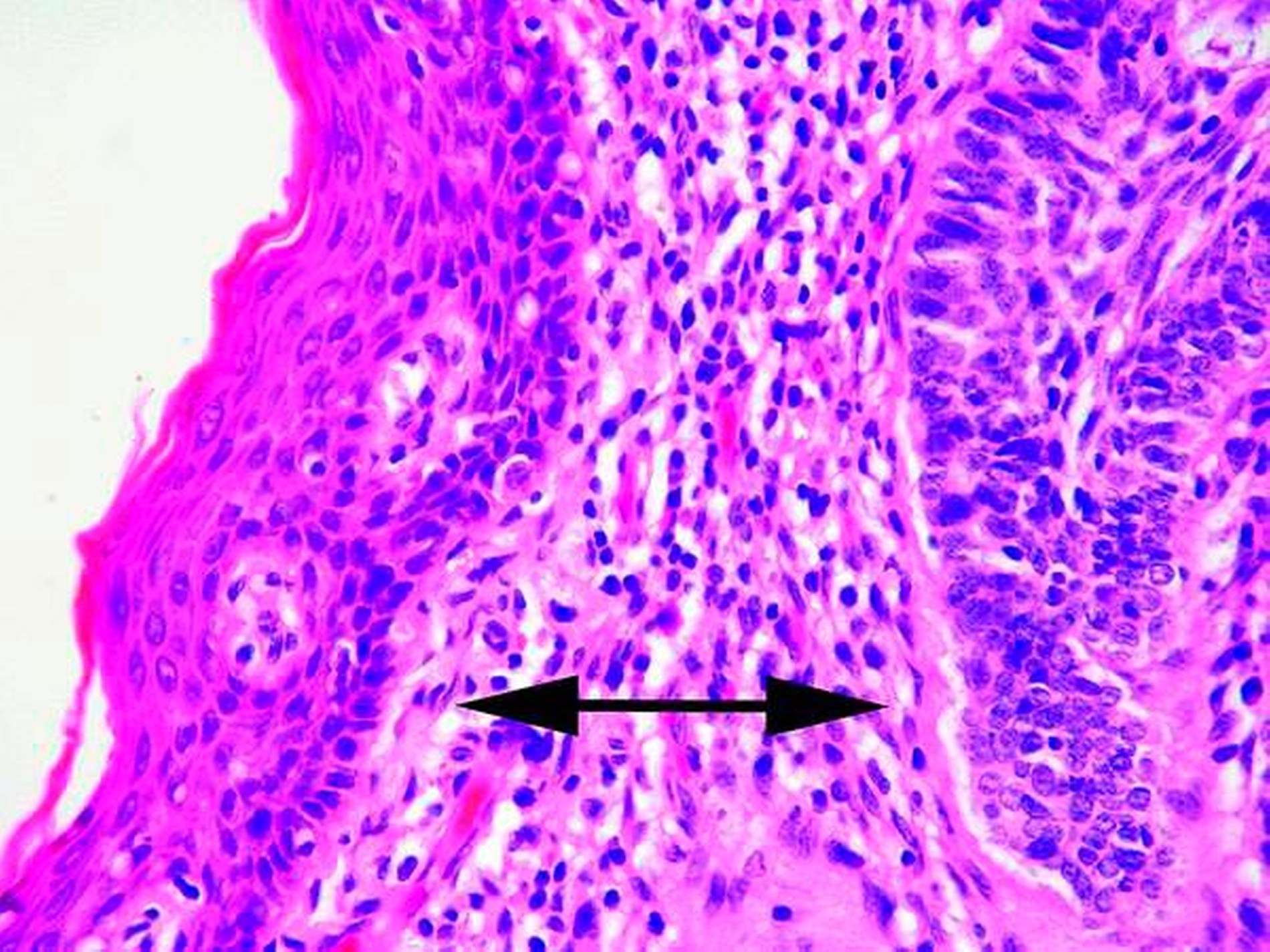
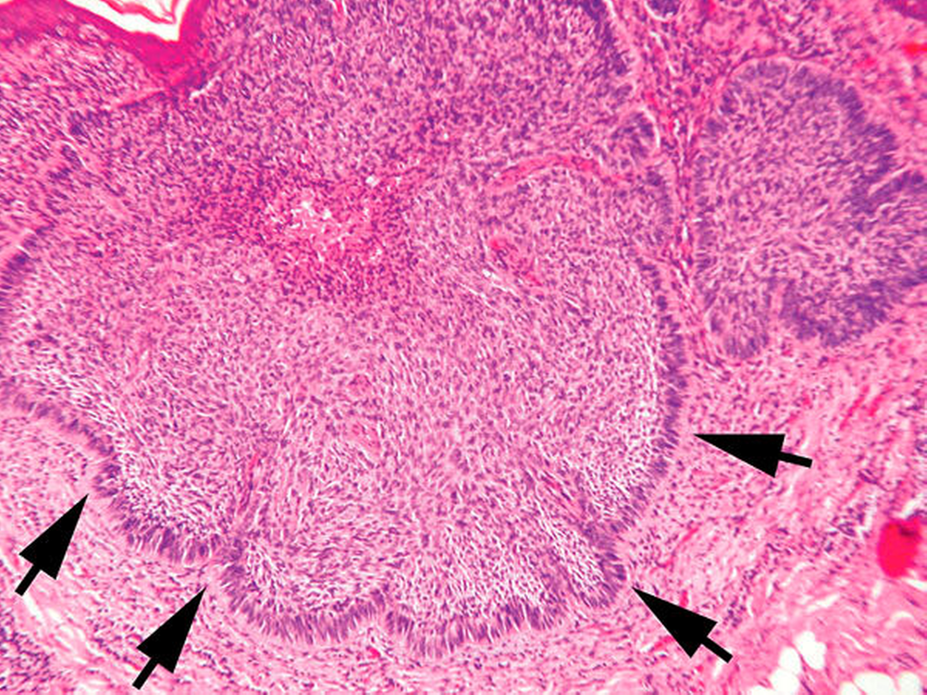
Die histopathologische Aufbereitung des Gewebes (Abbildungen 3 bis 6) bestätigte dabei die Diagnose eines Basalzellkarzinoms.
Diskussion
Das Basalzellkarzinom stellt den häufigsten malignen Tumor beim Menschen dar. Synonym gebraucht wird auch der Begriff des Basalioms – der aber nicht genutzt werden sollte, da er der malignen Komponente des Tumors nicht Rechnung trägt. Der Tumor wächst infiltrativ destruierend, bildet aber nur extrem selten Metastasen, daher wird in älterer Literatur auch von einem semimalignen Tumor gesprochen.
Die Inzidenz in Deutschland wird mit 170 Neuerkrankungen auf 100.000 Einwohner pro Jahr beziffert, Männer sind etwas häufiger betroffen als Frauen. Im Gegensatz beispielsweise zum spinozellulären Karzinom entsteht das Basalzellkarzinom nicht auf Basis vorausgegangener Präkanzerosen, sondern de novo. Prädilektionsstellen sind typischerweise von Sonneneinstrahlung geschädigte Hautareale, das heißt, der Kopf, das Gesicht und das Dekolleté sind weitaus häufiger betroffen als andere Areale, wobei 80 Prozent aller Basalzellkarzinome in der Kopf-Hals-Region auftreten [Hauschild A et al., 2012].
Ätiologisch sind neben einer genetischen Komponente mit geringer Hautpigmentierung vor allem die kumulative Sonneneinstrahlung und hier vor allem die UVB-Exposition zu benennen. Das Basalzellkarzinom kann auch im Rahmen von Syndromen gehäuft auftreten.
In der Zahnmedizin am geläufigsten dürfte das Basalzellkarzinom-Syndrom sein, das auch als Gorlin-Goltz-Syndrom bekannt ist und durch die Trias der multiplen Basalzellkarzinome, der keratozystisch odontogenen Tumore und der verkalkten Falx cerebri gekennzeichnet ist, wobei noch andere Symptome hinzukommen können. Daneben kommt es gehäuft bei der Xeroderma pigmentosa und beim Albinismus zur Entstehung von Basalzellkarzinomen. Im vergangenen Jahrhundert fanden sich diese Tumore vor allem bei Patienten, die einer Arsentherapie unterlagen [Hauschild A et al., 2012].
Die Diagnose wird vornehmlich klinisch gestellt und dann histopathologisch verifiziert. Es gibt unterschiedliche Subtypen, wie zum Beispiel das noduläre, das superfizielle, das sklerodermiforme Basalzellkarzinom und dann den Ulcus rodens und den Ulcus terebrans. Am häufigsten ist das noduläre Basalzellkarzinom als scharf abgegrenzter und flach erhabener Tumor, der gelblich-rötlich imponiert und häufig einen perlschnurartigen Randsaum aufweist, mit den typischen Teleangiektasien, die von peripher nach zentral ziehen. Das sklerodermiforme Basalzellkarzinom unterscheidet sich hiervon vornehmlich durch die weitaus schlechtere Abgrenzbarkeit. Bei Bestehen der Karzinome über einen längeren Zeitraum können diese ulzerieren (Ulcus rodens) und in der Folge auch tiefer liegende Strukuren zerstören (Ulcus terebrans) [Hauschild A et al., 2012].
Die Therapie der Wahl stellt die chirurgische Exzision dar. Weitere therapeutische Methoden, die bei unterschiedlichen Befunden ihre Indikation finden, sind die Strahlentherapie, die Kryotherapie, eine immunologische Therapie oder eine Therapie mit Hedgehog-Inhibitoren [Hauschild A et al., 2012].

Im vorliegenden Fall war der Tumor leider schon etwas größer. Besonders tragisch war die vermutlich initiale Fehleinschätzung als Granuloma anulare, bei gegebenenfalls nicht repräsentativer Probenentnahme. Beim Granuloma anulare handelt es sich um eine benigne, chronische Erkrankung, die vornehmlich bei Kindern auftritt. Klinisch manifestiert sich das Granuloma anulare als sich ringförmig und zentrifugal ausbreitende Papeln. Es kann als lokalisierte oder als disseminierte Form auftreten, wobei letztere dann auch häufiger ältere Patienten betrifft. Eine Beziehung zum Diabetes mellitus wird in der Literatur diskutiert. Typische Prädilektionsstellen sind der Handrücken, seltener Ellenbogen, Füße, Knie und Knöchel. Auch bei der disseminierten Form, die sich vorzugsweise am Stamm manifestiert, bleibt das Gesicht häufig ausgespart. Therapeutisch wird meist lokal mit Cortison gearbeitet, bei der disseminierten Form kommen auch systemische Therapien zum Einsatz [Salomon N et al., 1999].
Prof. Dr. Dr. Christian Walter
MKG-Chirurgie – plastische Operationen
Mediplus Praxisklinik
Haifa-Allee 20, 55128 Mainz
walter@mainz-mkg.de
Dr. Michael Lachner
Hautarzt, Venerologe, Allergologe
Gutenbergplatz 14, 55116 Mainz
PD Dr. Christoph Renné
Fachärzte für Pathologie, Gemeinschaftspraxis Wiesbaden
Ludwig-Erhard-Str. 100, 65199 Wiesbaden
Literatur
1. Hauschild A, Breuninger H, Kaufmann R, Kortman RD, Klein M, Werner J et al.: S2k-Leitlinie Basalzellkarzinom der Haut. AWMF. 2012;032/021.
2. Salomon N, Walchner M, Messer G, Plewig G, Rocken M: [Bath-PUVA therapy of granuloma annulare]. Hautarzt. 1999;50(4):275–9.
Fazit für die Praxis
Das Basalzellkarzinom kommt am häufigsten im Gesicht vor und kann somit leicht vom Zahnarzt entdeckt werden.
Therapie der Wahl ist die chirurgische Resektion.
Auch bereits bestehende Diagnosen sollten bei gegebenem Anlass hinterfragt werden und eine erneute oder weitere Diagnostik eingeleitet werden.








